Гастроинтестинальная стромальная опухоль
Гастроинтестинальная стромальная опухоль (ГИСО, англ. GIST) — наиболее распространённая мезенхимальная опухоль желудочно-кишечного тракта, составляющая 1-3 % от всех гастроинтестинальных опухолей. Как правило, ГИСО обусловлена мутацией в гене KIT или PDGFRA, окраска на kit вариабельна.[1]
| Гастроинтестинальная стромальная опухоль | |
|---|---|
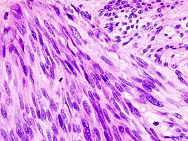
![]() Патогистологическая картина гастроинтестинальной стромальной опухоли желудка. Окраска гематоксилином-эозином. | |
| МКБ-10 | C26.9 |
| МКБ-10-КМ | C49.A и C26.9 |
| МКБ-9 | 215.5, 238.1 и 171.5 |
| МКБ-О | M8936/0 - M8936/3 |
| OMIM | 606764 |
| DiseasesDB | 33849 |
| MeSH | D046152 |


История
ГИСО была предложена в качестве диагностического термина в 1983 году.[2]:1060 До конца 1990-х годов гастроинтестинальными стромальными опухолями называли многие неэпителиальные опухоли желудочно-кишечного тракта. Патогистологически было невозможно дифференцировать типы опухолей, которые, как в настоящее время известно, различаются молекулярными особенностями. В отсутствие специфической (таргетной) терапии диагностическая классификация незначительно влияла на прогноз и лечение.
Понимание биологии ГИСО значительно изменилось после идентификации её молекулярной основы[2]:1065, в особенности c-kit. По данным литературы, до выявления молекулярных особенностей ГИСО и в непродолжительный период после этого, 70—80 % ГИСО рассматривались как доброкачественные.[3][4][5] После выявления молекулярной основы ГИСО многие опухоли, ранее относившиеся к ГИСО, были исключены из этой группы; вместе с тем в эту группу были включены опухоли, ранее расценивавшиеся как другие саркомы и недифференцированные карциномы.[2]:1065 Например, некоторые ранее диагностированные лейомиосаркомы желудка и тонкой кишки на основании иммуногистохимических данных могли быть отнесены к ГИСО. Теперь все ГИСО рассматривались как потенциально злокачественные, и ни одна ГИСО не могла быть однозначно расценена как «доброкачественная».[6] Таким образом, все ГИСО возможно стадировать по системам AJCC (7-го пересмотра) / UICC.[7] Тем не менее, различные ГИСО имеют разную оценку риска рецидива и метастазирования в зависимости от локализации, размера и числа митотических фигур.
В настоящее время данные клинических исследований ГИСО до 2000 года считаются малоинформативными.
Патологическая физиология
ГИСО представляют собой опухоли соединительной ткани, то есть саркомы, в отличие от большинства гастроинтестинальных опухолей, имеющих эпителиальное происхождение. В 70 % случаев поражается желудок, в 20 % — тонкая кишка, пищевод поражается менее чем в 10 % случаев. Опухоли небольших размеров обычно имеют доброкачественное течение, особенно при низком митотическом индексе; крупные же опухоли могут диссеминировать в печень, сальник и брюшину. Другие органы брюшной полости поражаются редко. Считается, что ГИСО возникают из интерстициальных клеток Кахаля,[1] в норме участвующих в управлении спонтанной моторикой желудочно-кишечного тракта.
85—90 % ГИСО взрослых несут онкогенные мутации c-kit или PDGFRA, которые являются высокогомологичными мембранными рецепторами факторов роста. Активирующие мутации этих рецепторов, стимулируют пролиферацию клеток опухоли, их рассматривают как движущую силу патогенеза заболевания. Однако для злокачественного перерождения опухоли, по всей видимости, необходимы дополнительные мутации[8].
Мутации c-kit
Приблизительно 85 % ГИСО ассоциированы с нарушениями функционирования сигнального пути c-kit. KIT — это ген, кодирующий белок c-kit, трансмембранный рецептор фактора стволовых клеток (англ. SCF). Ненормальное функционирование сигнального пути c-kit наиболее часто (в 85 % случаев) обусловлено мутацией самого гена KIT; реже с-kit-ассоциированные. ГИСО связаны с конститутивной активацией этого сигнального пути, выявляемой с помощью иммуноблотинга[2]:1062. c-kit присутствует на поверхности интерстициальных клеток Кахаля и других клеток, главным образом клеток костного мозга, тучных клеток, меланоцитов и некоторых других. c-kit-положительные клеточные массы в желудочно-кишечном тракте, скорее всего, представляют собой ГИСО, происходящие из интерстициальных клеток Кахаля.
Молекула c-kit содержит длинный внеклеточный домен, трансмембранный сегмент и внутриклеточную часть. 90 % всех мутаций KIT происходит в ДНК, кодирующей внутриклеточный домен (экзон 11), который работает как тирозинкиназа для активации других ферментов[8]. Мутантные формы c-kit могут функционировать независимо от активации фактором стволовых клеток, что приводит к высокой частоте деления клеток и, возможно, их геномной нестабильности. По-видимому, для развития ГИСО требуются дополнительные мутации, однако мутация c-kit, вероятно, является первым звеном этого процесса.
Известно, что при ГИСО наблюдаются мутации в экзонах гена KIT 11, 9, и, редко, 13 и 17. Определение места локализации мутаций позволяет делать прогноз о течении заболевания и выбор схемы лечения[9]. Тирозинкиназная активность c-kit имеет большое значение для направленной терапии ГИСО:
- Точечная мутация KIT-D816V в экзоне 17 отвечает за устойчивость к таргетной терапии ингибиторами тирозинкиназ (например, иматинибом);
- KIT-p.D419del (экзон 8) — часть ГИСО, ранее расценивавшиеся как опухоли дикого типа, содержат соматические активирующие мутации в экзоне 8 KIT и чувствительны к иматинибу[9].
Мутации PDGFRA
Около 30 % ГИСО с KIT дикого типа (то есть немутировавшим) вместо этого имеют мутацию в другом кодирующем тирозинкиназу гене, PDGFRA[8]. Сочетанные мутации в KIT and PDGFRA крайне редки (недоступная ссылка). Мутации PDGFRA характерны, главным образом, для ГИСО желудка, такие опухоли характеризуются вялым течением. Большинство мутаций PDGFRA представлено заменой D842V во втором тирозинкиназной домене (экзон 18), которая придаёт клеткам опухоли первичную устойчивость к иматинибу[8].
Опухоли «дикого» типа
Примерно 85 % ГИСО у детей и 10—15 % ГИСО у взрослых не несут мутаций в экзонах 9, 11, 13 и 17 гена KIT и экзонах 12, 14 и 18 гена PDGFRA[10]. Их называют опухолями дикого типа. Постепенно накапливаются данные о том, что ГИСО дикого типа представляют собой разнородную группу опухолей, различающихся по движущим мутациям. Примерно половина таких опухолей синтезирует повышенное количество рецептора инсулиноподобного фактора роста 1 (IGFR1). Описано несколько мутаций, характерных для ГИСО дикого типа, однако их значение неясно. В частности, в 13 % ГИСО дикого типа обнаруживается мутация V600E в экзоне 15 гена BRAF[10].
Эпидемиология
ГИСО встречается в 10—20 случаях на миллион человек. Оценочная выявляемость ГИСО в США составляет приблизительно 5000 случаев ежегодно.[2]:1063 Это делает ГИСО наиболее распространённой саркомой среди более чем 70 злокачественных опухолей, происходящих из соединительной ткани.
Большинство ГИСО развиваются в возрасте 50—70 лет. Во всех возрастах заболеваемость ГИСО одинакова у мужчин и женщин.[11]:1122
ГИСО у взрослых до 40 лет встречаются редко. Детские ГИСО, предположительно, имеют биологические особенности.[12] В отличие от ГИСО у взрослых, детские ГИСО преобладают у девочек и молодых женщин. Онкогенные мутации в KIT и PDGFRA не выявляются.[13] Лечение детских ГИСО отличается от терапии ГИСО у взрослых. Несмотря на то, что в большинстве определений детской ГИСО указывается, что эта опухоль диагностируется в возрасте 18 лет и моложе,[12] ГИСО «педиатрического типа» может наблюдаться у взрослых, что влияет на оценку риска и выбор терапии.[14]
Наследственность
Большинство ГИСО являются спорадическими. Менее чем 5 % развиваются в рамках наследственных семейных или идиопатических мультиопухолевых синдромов. В их числе, по убыванию частоты встречаемости, нейрофиброматоз I типа, триада Карни (ГИСО, хондрома и экстраадренальная параганглиома), эмбриональоные мутации в c-Kit/PDGFRA и диада Карни-Стратакиса.[15]
Клиническая картина
Манифестные ГИСО могут проявляться затруднением глотания, желудочно-кишечным кровотечением, метастазированием (преимущественно в печень). Обструкция кишечника встречается редко в связи с типичным ростом опухоли наружу. Зачастую в анамнезе отмечаются неопределённые боли в животе или дискомфорт. К моменту постановки диагноза опухоль может достигать довольно больших размеров.
Верификация диагноза проводится при биопсии, которая может осуществляться эндоскопически, чрескожно под контролем КТ или УЗИ, а также во время хирургического вмешательства.
Диагностика
Биоптат исследуется под микроскопом для выявления особенностей ГИСО (веретеноклеточный вариант — 70—80 %, эпителиодный — 20—30 %). Опухоли небольших размеров обычно могут быть ограничены мышечным слоем стенки органа. Крупные опухоли обычно растут, преимущественно кнаружи, из стенки органа, пока их объём не превысит их кровоснабжение, после чего в толще опухоли развивается некротическая полость, которая может в конечном счёте сформировать соустье с полостью органа.
При подозрении на ГИСО, в отличие от схожих опухолей, патолог может использовать иммуногистохимический метод с применением специфических меченых антител, окрашивающих молекулу CD117 (c-kit). 95 % всех ГИСО CD117-позитивны (в числе других возможных маркёров — CD34, DOG-1, десмин и виментин). Тучные клетки также являются CD117-позитивными.
В случае отрицательного результата окраски CD117 и сохраняющихся подозрениях на ГИСО может использоваться новое антитело DOG-1. Также для подтверждения диагноза может применяться секвенирование KIT и PDGFRA.
Радиологические исследования
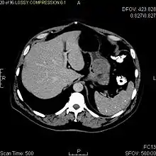
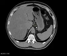
Радиологические исследования используются для уточнения локализации новообразования, выявления признаков инвазии и метастазирования. Проявления ГИСО варьируют в зависимости от размера опухоли и поражённого органа. Диаметр опухоли может составлять от нескольких миллиметров до более 30 см. Крупные опухоли обычно вызывают клинические проявления, бессимптомные опухоли обычно небольших размеров и имеют лучший прогноз.[3][16] Большие опухоли чаще ведут себя более злокачественно, однако и небольшие ГИСО могут иметь агрессивное течение.[17]


Небольшие ГИСО
Так как ГИСО происходят из мышечного слоя (который располагается глубже слизистого и подслизистого слоёв), небольшие ГИСО чаще визуализируются как подслизистое или внутристеночное объёмное образование. При исследовании желудочно-кишечного тракта с барием обычно выявляются ровные контуры образования, формирующие прямой или тупой угол со стенкой, что наблюдается и при любых других интрамуральных процессах. Поверхность слизистой интактна, за исключением случаев изъязвления, которые присутствуют при 50 % ГИСО. При КТ с контрастным усилением, небольшие ГИСО обычно визуализируются как интрамуральные образования с ровными, чёткими контурами и гомогенным контрастированием.
Крупные ГИСО
По мере роста опухоли, она может проецироваться снаружи от органа (экзофитный рост) и/или в просвете органа (интралюминальный рост); чаще всего ГИСО растут экзофитно, таким образом большая часть опухоли располагается в проекции брюшной полости. Если увеличение объёма опухоли опережает рост её кровоснабжения, опухоль может некротизироваться в толще, с формированием центральной зоны жидкостной плотности и кавитацией, что может приводить к изъязвлению и формированию соустья с полостью органа. В этом случае исследование с бариевой взвесью может демонстрировать газ, уровни газ/жидкость или депонирование контрастного препарата в этих областях.[17][18] При КТ с контрастным усилением крупные ГИСО выглядят негомогенно, в связи с неоднородностью структуры опухоли, обусловленной участками некроза, кровоизлияниями и полостями, что радиологически проявляется контрастированием опухоли преимущественно по периферии.[16]
Выраженность некроза и кровоизлияний влияет на интенсивность сигнала при МРТ. Зоны кровоизлияний в толще опухоли будут иметь разный сигнал в зависимости от давности кровоизлияния. Солидный компонент опухоли обычно имеет низкую интенсивность на T1-взвешенных изображениях и высокую интенсивность на T2-взвешенных изображениях, усиливаясь после введения гадолиния. В случае присутствия газа в толще опухоли отмечаются участки отсутствия сигнала.[19][20][21]
Признаки злокачественности
Злокачественность может проявляться локальной инвазией и метастазами, обычно в печень, сальник и брюшину. Однако встречаются случаи метастазирования в кости, плевру, лёгкие и забрюшинное пространство. По сравнению с аденокарциномой желудка или лимфомой желудка/тонкой кишки, злокачественная лимфаденопатия при ГИСО не типична (<10 %).[16] При отсутствии метастазов радиологическими признаками злокачественности являются большие размеры опухоли (>5 cm), гетерогенное контрастирование после введения контрастного препарата и наличие изъязвлений.[3][16][22] Также явно злокачественное поведение (без учёта опухолей со злокачественным потенциалом) реже наблюдается при ГИСО желудка, с отношением доброкачественных опухолей к явно злокачественным 3-5:1.[3] Даже в случае наличия радиологических признаков злокачественности, следует учитывать, что они могут быть обусловлены другой опухолью; окончательный диагноз должен быть установлен иммуногистохимическим методом.
Визуализация
Рентгенография недостаточно информативна для диагностики ГИСО. Патологическое образование обычно выявляется косвенно, благодаря масс-эффекту в поражённой стенке. При рентгенографии желудочно-кишечного тракта ГИСО может визуализироваться как дополнительная тень, изменяющая рельеф органа. Кишечные ГИСО могут смещать петли кишечника, крупные опухоли могут вызывать обструкцию кишки, формируя рентгенологическую картину кишечной непроходимости. При кавитации могут визуализироваться скопления газа в толще опухоли.[19] Обызвествление не типично для ГИСО, однако, при его наличии, возможно его выявление при рентгенографии.
Рентгенографические исследования с барием и компьютерная томография обычно применяются для обследования пациентов с абдоминальными жалобами. Исследования с барием выявляют патологические изменения в 80 % случаев ГИСО.[17] Однако некоторые ГИСО могут располагаться полностью вне просвета органа, что делает невозможным их выявление при исследовании с барием. Даже в случае выявления патологических изменений при рентгенографии с барием, необходимо последующее дообследование методами МРТ или КТ. КТ-исследование проводится с пероральным и внутривенным контрастным усилением, и позволяет визуализировать ГИСО в 87 % случаев[17] Мягкие ткани наиболее контрастны при МРТ, что помогает в выявлении интрамуральных образований. Для оценки васкуляризации опухоли необходимо внутривенное введение контрастного препарата.
Методами выбора в диагностике ГИСО являются КТ и МРТ,[23]:20–21 и, в некоторых случаях, эндоскопическое УЗИ. Томографические методы позволяют уточнить органную принадлежность опухоли (что может быть затруднительно при её больших размерах), визуализировать инвазию в соседние органы, асцит и метастазы.
Терапия
При локальных, резектабельных ГИСО у взрослых и отсутствии противопоказаний хирургическое лечение является методом выбора.[23]:69 В некоторых, тщательно отобранных случаях при опухолях небольших размеров может применяться выжидательная тактика.[24] Может быть рекомендована послеоперационная адъювантная терапия.[25] Метастазы в лимфатические узлы при ГИСО встречаются редко, в связи с чем резекция лимфатических узлов обычно не требуется. Была продемонстрирована эффективность лапароскопической хирургии для удаления ГИСО, что позволяет уменьшить объём операции.[26] Клинические данные по тактике выбора варианта хирургического вмешательства в зависимости от размера опухоли противоречивы; таким образом, решение по выбору лапароскопической методики должно приниматься индивидуально, с учётом размера опухоли, локализации и типа её роста.[27]
Лучевая терапия не продемонстрировала эффективность в лечении ГИСО,[11]:1122 также не было отмечено значимого ответа ГИСО на большинство химиотерапевтических препаратов,[11]:1122 (ответ был достигнут менее чем в 5 % случаев).[2]:1065 Однако была доказана клиническая эффективность трёх препаратов в терапии ГИСО: иматиниба, сунитиниба и регорафениба.
Иматиниб (гливек), пероральный препарат, изначально использовавшийся при лечении хронического миелолейкоза в связи с его способностью ингибировать bcr-abl, также ингибирует мутантные c-kit и PDGFRA, что позволяет в некоторых случаях использовать его в терапии ГИСО. В ряде случаев считается достаточным хирургического удаления ГИСО, однако значительная часть ГИСО имеет высокий риск рецидива и в этих случаях рассматривается возможность проведения адъювантной терапии.[28][29] В качестве критериев для оценки риска рецидива и принятия решения об использовании иматиниба учитываются размер опухоли, митотический индекс и локализация. Опухоли размером <2 cm с митотическим индексом менее <5/50 HPF продемонстрировали меньший риск рецидива, чем более крупные или агрессивные опухоли. При повышенном риске рецидива рекомендуется приём иматиниба в течение 3 лет.[30]
Также иматиниб продемонстрировал эффективность в терапии метастатических и неоперабельных ГИСО. Двухлетняя выживаемость пациентов с поздними стадиями заболевания на фоне лечения иматинибом возросла до 75—80 %.[31]
При формировании резистентности опухоли к иматинибу, для дальнейшей терапии может рассматриваться ингибитор тирозинкиназ сунитиниб (Сутент).[23]:26 and 31[32]
Эффективность иматиниба и сунитиниба зависит от генотипа.[33] cKIT- и PDGFRA-негативные ГИСО, а также ассоциированные с нейрофибромазомом-1 ГИСО «дикого типа» обычно резистентны к терапии иматинибом[28][34] Специфический подтип мутации PDGFRA, D842V, также нечувствителен к иматинибу.[28][35]
Регорафениб (Стиварга) был одобрен FDA[36] в 2013 году для терапии поздних стадий неоперабельных ГИСО, переставших отвечать на иматиниб и сунитиниб.[37]
Примечания
- Miettinen M., Lasota J. Gastrointestinal stromal tumors: review on morphology, molecular pathology, prognosis, and differential diagnosis (англ.) // Archives of Pathology & Laboratory Medicine : journal. — 2006. — Vol. 130, no. 10. — P. 1466—1478. — doi:10.1043/1543-2165(2006)130[1466:GSTROM]2.0.CO;2. — PMID 17090188.
- Demetri, G., chapter author; DeVita, L; Lawrence, TS; Rosenberg, SA., editors. Chapter 87 // DeVita, Hellman, and Rosenberg's Cancer: Principles and Practice of Oncology (англ.). — 9th. — 2011. — ISBN 978-1-4511-0545-2.
- Burkill G.J., Badran M., Al-Muderis O., Meirion Thomas J., Judson I.R., Fisher C., Moskovic EC. Malignant gastrointestinal stromal tumor: distribution, imaging features, and pattern of metastatic spread (англ.) // Radiology : journal. — 2003. — Vol. 226, no. 2. — P. 527—532. — doi:10.1148/radiol.2262011880. — PMID 12563150.
- Nishida T., Hirota S. Biological and clinical review of stromal tumors in the gastrointestinal tract (англ.) // Histology & Histopathology : journal. — 2000. — Vol. 15, no. 4. — P. 1293—1301. — PMID 11005253.
- Miettinen M., Lasota J. Gastrointestinal stromal tumors--definition, clinical, histological, immunohistochemical, and molecular genetic features and differential diagnosis (англ.) // Virchows Archiv. — 2001. — Vol. 438, no. 1. — P. 1—12. — doi:10.1007/s004280000338. — PMID 11213830.
- Raut, Chandrajit and Dematteo, Ronald. Evidence-Guided Surgical Management of GIST: Beyond a Simple Case of Benign and Malignant (англ.) // Annals of Surgical Oncology : journal. — 2008. — March (vol. 15, no. 5). — P. 1542. — doi:10.1245/s10434-008-9817-1.
- AJCC manual
- Miettinen M., Lasota J. Gastrointestinal stromal tumors // Gastroenterol Clin North Am. — 2013. — Т. 42, вып. 2. — С. 399—415. — doi:10.1016/j.gtc.2013.01.001. — PMID 23639648.
- Huss S., Künstlinger H., Wardelmann E., Kleine M. A., Binot E., Merkelbach-Bruse S., Rüdiger T., Mittler J., Hartmann W., Büttner R., Schildhaus H. U. A subset of gastrointestinal stromal tumors previously regarded as wild-type tumors carries somatic activating mutations in KIT exon 8 (p.D419del). (англ.) // Modern pathology : an official journal of the United States and Canadian Academy of Pathology, Inc. — 2013. — Vol. 26, no. 7. — P. 1004—1012. — doi:10.1038/modpathol.2013.47. — PMID 23599150.
- Nannini M., Biasco G., Astolfi A., Pantaleo M. A. An overview on molecular biology of KIT/PDGFRA wild type (WT) gastrointestinal stromal tumours (GIST) // J Med Genet. — 2013. — Т. 50, вып. 10. — С. 653—661. — doi:10.1136/jmedgenet-2013-101695. — PMID 23833252.
- Kantarjian, HM; Wolff, RA; Koller, CA. The MD Anderson Manual of Medical Oncology (англ.). — 2nd. — McGraw-Hill Education, 2011. — ISBN 978-0-07-170106-8.
- Pappo A.S., Janeway K.A. Pediatric gastrointestinal stromal tumors (неопр.) // Hematol Oncol Clin North Am. — 2009. — February (т. 23(1)). — С. 15—34. — doi:10.1016/j.hoc.2008.11.005. — PMID 19248968.
- Kelly L., Bryan K., Kim S.Y., Janeway K.A., Killian J.K., Schildhaus H.U., Miettinen M., Helman L., Meltzer P.S., van de Rijn M., Debiec-Rychter M., O'Sullivan M. Post-Transcriptional Dysregulation by miRNAs Is Implicated in the Pathogenesis of Gastrointestinal Stromal Tumor [GIST] (англ.) // PLoS ONE : journal. — 2013. — Vol. 8, no. 5. — P. e64102. — doi:10.1371/journal.pone.0064102.
- Rege T.A., Wagner A.J., Corless C.L., Heinrich M.C., Hornick J.L. "Pediatric-type" gastrointestinal stromal tumors in adults: distinctive histology predicts genotype and clinical behavior (англ.) // The American Journal of Surgical Pathology : journal. — 2011. — April (vol. 35(4)). — P. 495—504. — doi:10.1097/PAS.0b013e31820e5f7d.
- Agaimy A, Hartmann A. [Hereditary and non-hereditary syndromic gastointestinal stromal tumours]. [in German] Pathologe. 2010 Oct;31(6):430-7. doi: 10.1007/s00292-010-1354-6. PMID 20848108
- Hersh M.R., Choi J., Garrett C., Clark R. Imaging Gastrointestinal Stromal Tumors (неопр.) // Cancer Control. — 2005. — Т. 12, № 2. — С. 111—115. — PMID 15855894.
- Pidhorecky I., Cheney R.T., Kraybill W.G., Gibbs J.F. Gastrointestinal stromal tumors: current diagnosis, biologic behavior, and management (англ.) // Annals of Surgical Oncology : journal. — 2000. — Vol. 7, no. 9. — P. 705—712. — doi:10.1007/s10434-000-0705-6. — PMID 11034250.
- Lehnert T. Gastrointestinal sarcoma (GIST)--a review of surgical management (англ.) // Ann Chir Gynaecol : journal. — 1998. — Vol. 87, no. 4. — P. 297—305. — PMID 9891770.
- Shojaku H., Futatsuya R., Seto H., et al. Malignant gastrointestinal stromal tumor of the small intestine: radiologic-pathologic correlation (англ.) // Radiat Med : journal. — 1997. — Vol. 15, no. 3. — P. 189—192. — PMID 9278378.
- Levine M.S., Buck J.L., Pantongrag-Brown L., et al. Leiomyosarcoma of the esophagus: radiographic findings in 10 patients (англ.) // American Journal of Roentgenology : journal. — 1996. — Vol. 167, no. 1. — P. 27—32. — doi:10.2214/ajr.167.1.8659399. — PMID 8659399.
- Tervahartiala P., Halavaara J. Radiology of GIST. Gastrointestinal stromal tumours (англ.) // Ann Chir Gynaecol : journal. — 1998. — Vol. 87, no. 4. — P. 291—292. — PMID 9891768.
- Ulusan S., Koc Z., Kayaselcuk F. Gastrointestinal stromal tumours: CT findings (неопр.) // Br J Radiol. — 2008. — Т. 81, № 968. — С. 618—623. — doi:10.1259/bjr/90134736. — PMID 18628330.
- NCCN Clinical Practice Guidelines in Oncology Soft Tissue Sarcomas, version 3.2012. National Comprehensive Cancer Network.
- Casali P.G., Blay J-Y, on behalf of the ESMO/CONTICANET/EUROBONET. Gastrointestinal stromal tumours: ESMO Clinical Practice Guidelines for diagnosis, treatment and follow-up (англ.) // Annals of Oncology : journal. — 2010. — Vol. 21, no. suppl 5. — P. v98—v102. — doi:10.1093/annonc/mdq208.
- Bamboat Z.M. Updates on the management of gastrointestinal stromal tumors (англ.) // Surg Oncol Clin N Am : journal. — 2012. — Vol. 21, no. 2. — P. 301—316. — doi:10.1016/j.soc.2011.12.004. — PMID 22365521.
- Nguyen S.Q., Divino C.M., Wang J.L., Dikman S.H. Laparoscopic management of gastrointestinal stromal tumors (англ.) // Surgical Endoscopy : journal. — 2006. — May (vol. 20, no. 5). — P. 713—716. — doi:10.1007/s00464-005-0435-8. — PMID 16502196.
- Lee, Chung-Ho; Hyun, Myung-Han; Kwon, Ye-Ji; Cho, Sung-Il; Park, Sung-Soo. Deciding Laparoscopic Approaches for Wedge Resection in Gastric Submucosal Tumors: A Suggestive Flow Chart Using Three Major Determinants (англ.) // Journal of the American College of Surgeons : journal. — doi:10.1016/j.jamcollsurg.2012.07.009.
- Joensuu H. Adjuvant therapy for high-risk gastrointestinal stromal tumour: considerations for optimal management. Drugs. 2012 Oct 22;72(15):1953-63. doi: 10.2165/11635590-000000000-00000. PMID 22994537
- Reichardt P., Blay, J-Y, Boukovinas, I et al. Adjuvant therapy in primary GIST: state-of-the-art (англ.) // Annals of Oncology : journal. — 2012. — Vol. 23(11). — P. 2776—2781. — doi:10.1093/annonc/mds198.
- Cohen M.H., Johnson J.R., Justice R., Pazdur R. Approval summary: imatinib mesylate for one or three years in the adjuvant treatment of gastrointestinal stromal tumors. U.S. Food and Drug Administration, Silver Spring, MD 20993-0002, USA (англ.) // Oncologist : journal. — 2012. — Vol. 17(7). — P. 992—997. — doi:10.1634/theoncologist.2012-0109. — PMID 22643537.
- Patel Shreyaskumar R., Wong Patrick. http://www.touchoncology.com/articles/efficacy-imatinib-unresectablemetastatic-gastrointestinal-stromal-tumors (неопр.) // US Oncology. — 2009. — Т. 5(1). — С. 61—4.
- Okuno, S. The Use of Tyrosine Kinase Inhibitors for Gastrointestinal Stromal Tumors (GIST). Contemporary Oncology (14 сентября 2011).
- News: Genetic Variations in GI Tumors Determine Which Medications Are Efficacious.. Genetic Engineering & Biotechnology News (13 ноября 2008).
- Stratakis CA, Carney JA. The triad of paragangliomas, gastric stromal tumours and pulmonary chondromas (Carney triad), and the dyad of paragangliomas and gastric stromal sarcomas (Carney-Stratakis syndrome): molecular genetics and clinical implications. J Intern Med. 2009;266(1):43. PMID 19522824
- ASCO-SEP 3rd ed
- Управление по санитарному надзору за пищевыми продуктами и медикаментами США.
- Pazdur, Richard. FDA Approval for Regorafenib. National Cancer Institute.
Источники
- de Silva C.M., Reid R. Gastrointestinal stromal tumors (GIST): C-kit mutations, CD117 expression, differential diagnosis and targeted cancer therapy with Imatinib (англ.) // Pathol Oncol Res. : journal. — 2003. — Vol. 9, no. 1. — P. 13—9. — doi:10.1007/BF03033708. — PMID 12704441.
- Kitamura Y., Hirota S., Nishida T. Gastrointestinal stromal tumors (GIST): a model for molecule-based diagnosis and treatment of solid tumors (англ.) // Cancer Science : journal. — 2003. — April (vol. 94, no. 4). — P. 315—320. — doi:10.1111/j.1349-7006.2003.tb01439.x. — PMID 12824897. (недоступная ссылка)
Ссылки
- Копп Михаил Валерьевич, Королева Ирина Альбертовна. Мультидисциплинарный подход в диагностике и лечении гастроинтестинальных стромальных опухолей // Русскоязычное издание журнала «Злокачественные опухоли». — 2013. — Вып. №1. — С. 15—27.
- Кравцов Владимир Григорьевич. Клинико-морфологическая, иммуногистохимическая характеристика и критерии прогноза гастроинтестинальных стромальных опухолей : Автореферат диссертации на соискание ученой степени кандидата медицинских наук. — Москва, 2007.
- Prognosis in GIST ESUN (August 15, 2006)
- SPAEN (Sarcoma Patients EuroNet) — European Network of Sarcoma, GIST and Desmoid Patient Advocacy Groups
- GIST Support International
- Life Raft Group International GIST Advocacy Organization
- Project FLAG — GISTs that occur in families
- American Cancer Society Patient Guide to GIST tumors.
- Cancer.Net: Gastrointestinal Stromal Tumor
.jpg.webp)