Тучные клетки
Ту́чные кле́тки (также известные как мастоци́ты или лаброци́ты[1], тканевые базофилы) — тканевые клетки миелоидного ряда, содержащие в цитоплазме базофильные гранулы с гистамином и гепарином. В отличие от базофилов, также содержащих базофильные гранулы, тучные клетки в норме никогда не выходят в кровоток. Тучные клетки участвуют в развитии воспаления, реакций гиперчувствительности первого (немедленного) типа, защите организма от многоклеточных паразитов и других патогенов, формировании гематоэнцефалического барьера и других процессах[2][3][4]. Тучные клетки лежат в основе развития аллергии и анафилаксии.

Тучные клетки присутствуют в большинстве тканей и, как правило, располагаются вблизи сосудов и нервов. Они особенно многочисленны в тканях, залегающих на границе организма с внешней или внутренней средой.
Общая характеристика

Морфологически тучные клетки очень близки к базофилам в кровотоке. И тучные клетки, и базофилы содержат базофильные гранулы с гепарином и гистамином. Однако между двумя типами клеток есть и различия в строении: так, у тучных клеток ядро округлое, а у базофилов разделено на доли. Округлое ядро мастоцитов находится центрально, часто замаскировано цитоплазматическими гранулами[5]. Тучные клетки и базофилы связываются с Fc-участками молекул иммуноглобулинов E (IgE), связавшими антиген (кросс-связывание), в результате чего запускается высвобождение содержимого гранул. Из-за сходства с базофилами тучные клетки иногда называют тканевыми базофилами. Кроме того, базофилы и тучные клетки происходят от одного и того же костномозгового предшественника, экспрессирующего CD34. Базофилы покидают костный мозг зрелыми, в то время как созревание тучных клеток завершается после их оседания в тканях. Место оседания тучных клеток может влиять на некоторые их свойства[6].
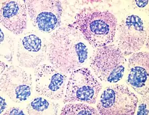
Тучные клетки присутствуют в большинстве тканей и, как правило, располагаются вблизи сосудов и нервов. Они особенно многочисленны в тканях, залегающих на границе организма с внешней или внутренней средой: коже, слизистой лёгких и пищеварительного тракта, а также в ротовой и носовой полостях и конъюнктиве[6]. В подслизистом слое слизистых, дерме, серозных оболочках, селезёнке и периваскулярной соединительной ткани тучные клетки содержатся в количестве 104—106 на 1 г ткани. На гистологических препаратах тучные клетки легко визуализируются при помощи окрашивания толуидиновым синим или алциановым синим[7]. Для тучных клеток характерен эффект метахромазии при окрашивании анилиновыми красителями из-за большого количества кислых радикалов протеогликанов[5].
Тучные клетки достигают 10—20 мкм в диаметре и имеют овальную форму с ворсинчатой поверхностью. Композиция молекулярных маркеров на поверхности тучных клеток выглядит как FcεRI+CD13+CD29+CD45+CD117+СD123+. FcεRI являются высокоаффинными рецепторами IgE. CD117 представляет собой рецептор для фактора стволовых клеток (SCF), а CD123 — рецептор для IL-3. Именно SCF и IL-3 являются основными факторами роста для зрелых тучных клеток. Также тучные клетки несут на своей поверхности рецепторы для компонентов комплемента C3b и C3d, что свидетельствует об их участии в реакциях врождённого иммунитета. Кроме того, тучные клетки несут MHC обоих классов, и благодаря наличию MHC класса II и CD86 тучные клетки функционируют как антигенпрезентирующие клетки, особенно в отношении Th2-клеток[8].
Главная морфологическая особенность тучных клеток — наличие в цитоплазме большого количества (от 10 до 150) базофильных гранул, состав которых существенно варьирует между разными видами тучных клеток. У всех мастоцитов в состав гранул входят вазоактивные амины (прежде всего, гистамин), хондроитинсульфаты A и C и/или гепарин (у некоторых видов, например, кроликов, в их состав также входит серотонин), а также разнообразные ферменты: протеазы, а также дегидрогеназа, пероксидаза, рибонуклеаза, гистидиндекарбоксилаза, и кислые гликозамингликаны. Среди протеиназ тучных клеток выделяют триптазы, близкие к трипсину по специфичности, химазы, сходные с химотрипсином по специфичности, и карбоксипептидазу A[9]. Помимо указанных компонентов, в состав гранул тучных клеток могут входить АТФ, лизосомальные ферменты (β-гексозаминидаза, β-глюкуронидаза, арилсульфатазы), липидные медиаторы эйкозаноиды (тромбоксаны, простагландин D2, лейкотриен C4, фактор активации тромбоцитов), цитокины (TNF-α, основной фактор роста фибробластов, интерлейкин 4 (IL-4), фактор стволовых клеток (SCF), хемокины), активные формы кислорода[6][10][11].
У человека тучные клетки подразделяют на слизистые, или мукозные (тип t) и серозные (тип ct) на основании их локализации и наличия триптазы (t) или химазы (ct) в гранулах. Мукозные тучные клетки находятся в основном в подслизистом слое слизистых оболочек, а серозные — в серозных полостях, дерме, миндалинах. Оба типа мастоцитов образуются в костном мозге, но клетки t-типа в своем развитии зависят от тимуса. Серозные тучные клетки более долговечны, чем мукозные, и крупнее мукозных: их диаметр составляет 10—12 мкм против 5—10 мкм у мукозных[12]. Главным ростовым фактором для обоих типов тучных клеток является SCF, для слизистых тучных клеток в роли кофактора выступают IL-3 и IL-4, для серозных — только IL-3. В слизистых тучных клетках преобладающим протеогликаном является хондроитинсульфат, в серозных — гепарин. Слизистые мастоциты, кроме того, интенсивнее экспрессируют FcεRI и содержат больше IgE в цитоплазме по сравнению с серозными. Преобладающим эйкозаноидом у слизистых тучных клеток являются лейкотриены, а у серозных — простагландины[7].
Активация

FcεR1 представляет собой высокоаффинный рецептор IgE на поверхности тучных клеток. FcεR1 — тетрамер из одной α-, одной β- и двух γ-цепей, соединённых дисульфидными мостиками. Сайт связывания IgE сформирован внеклеточной частью α-цепи, содержащей два домена, близких к иммуноглобулиновым[13]. В состав β-цепи и каждой из двух γ-цепей входит активирующий мотив ITAM. Активирующий сигнальный каскад на FcεR1 запускается, когда ITAM в составе β- и γ-цепей фосфорилируются по остаткам тирозина[14].

Сигнальный путь, активирующийся при кросс-связывании FcεR1 с аллергеном при участии IgE, очень похож на тот, который запускается при активации лимфоцитов антигенами. С цитоплазматической частью β-цепи FcεR1 связана тирозинкиназа Lyn, и после кросс-связывания FcεR1 с аллергеном она фосфорилирует мотивы ITAM в β- и γ-цепях FcεR1. Другая тирозинкиназа, Syk, связывается с фосфорилированными ITAM в γ-цепях и активируется[14], фосфорилируя множество других белков и активируя их, тем самым увеличивая сигнал[15].
Среди белков, активируемых Syk, особенно важен белок LAT, который в результате фосфорилирования приобретает способность к взаимодействию со многими белками. В частности, фосфолипаза C гамма (PLCγ) активируется в результате связывания с LAT и катализирует расщепление фосфатидилинозитол-4,5-бисфосфата на инозитолтрифосфат (IP3) и диацилглицерин (DAG). IP3 повышает уровень ионов кальция в цитозоле, а DAG активирует протеинкиназу C (PKC). PKC фосфорилирует лёгкие цепи миозина, из-за чего базофильные гранулы приходят в движение и достигают контакта с клеточной мембраной. Далее гранула сливается с мембраной при участии белков SNARE, высвобождая наружу своё содержимое[14].
Активированные тучные клетки синтезируют и выделяют эйкозаноиды и цитокины. Среди эйкозаноидов в тучных клетках наиболее активно синтезируются лейкотриен C4 и простагландин E2[9]. Образование эйкозаноидов контролирует цитозольный фермент фосфолипаза A2, который активируется при повышении концентрации кальция в цитозоле или фосфорилировании[16].
По спектру выделяемых цитокинов тучные клетки близки к T-хелперам 2 типа, или Th2-клеткам. Они продуцируют такие цитокины, как IL-3, IL-4, IL-5, IL-6, IL-10, IL-13, GM-CSF, а также провоспалительные цитокины IL-1, IL-8, IL-12, IL-18, IL-21, IL-23, TNF-α и гомеостатические цитокины IL-7 и IL-15. Также они вырабатывают TGFβ, ряд хемокинов и интерфероны основных типов. Большинство цитокинов тучные клетки синтезируют под действием внешних стимуляторов, и лишь IL-4, TNF и GM-CSF они выделяют постоянно. Кроме того, активированные мастоциты продуцируют ряд ростовых факторов: фактор роста эндотелия сосудов (VEGF), фактор роста фибробластов (FGF) и фактор роста нервов (NGF)[9].
Функции
Тучные клетки принимают участие в развитии аллергических и анафилактических реакций. Высвобождение содержимого гранул при связывании Fc-участка антител IgE, связавших антиген, с рецепторами FcεRI на мастоцитах приводит к проявлению всех основных реакций гиперчувствительности немедленного типа. Дегрануляция не приводит к гибели клеток, и после выброса гранулы восстанавливаются. Также дегрануляция запускается при повышении внутриклеточной концентрации цАМФ и цитозольной концентрации ионов кальция. Благодаря наличию паттернраспознающих рецепторов TLR2, TLR3 и TLR4 тучные клетки могут напрямую распознавать патогены и характерные для них молекулы[9]. Кроме того, за счет специальных рецепторов на тучных клеток их могут активировать некоторые компоненты комплемента[6].
Гистамин, входящий в состав гранул тучных клеток, вызывает расширение посткапиллярных венул, активирует эндотелий и повышает проницаемость сосудов. Выделение гистамина приводит к локальной эдеме (набуханию), покраснению, увеличению температуры и поступлению других иммунных клеток в очаг активации мастоцитов. Гистамин также деполяризует нервные окончания, что вызывает болевые ощущения[6].
Тучные клетки имеются в головном мозге человека, где взаимодействуют с нейроиммунной системой[4]. В головном мозге мастоциты обнаруживаются в структурах, обеспечивающих передачу висцеральных сенсорных сигналов (например, болевых) или осуществляющих нейроэндокринные функции, а также в гематоэнцефалическом барьере. Они присутствуют в стебельке гипофиза, эпифизе, таламусе, гипоталамусе, области area postrema в стволе мозга, сосудистом сплетении, а также мозговых оболочках. В нервной системе тучные клетки выполняют те же основные функции, что и в остальных частях тела: они задействованы в аллергических реакциях, реакциях врождённого и приобретённого иммунитета, аутоиммунных реакциях и воспалении[4][17]. Кроме того, тучные являются главными эффекторными клетками, на которые воздействуют патогены через ось «кишечник—мозг»[18][19].
В пищеварительном тракте слизистые мастоциты находятся рядом с сенсорными нервными окончаниями[20][19][18]. Когда они подвергаются дегрануляции, они высвобождают медиаторы, активирующие висцеральные афферентные нейроны и повышают экспрессию мембранных ноцицепторов в них, связываясь с соответствующими рецепторами на поверхности нейронов[20]. В результате этого процесса могут развиться нейрогенное воспаление, висцеральная гиперчувствительность и нарушения перистальтики кишечника[20]. Активированные нейроны выделяют нейропептиды, такие как вещество P и CGRP, которые связываются с соответствующими рецепторами на тучных клетках и запускают их дегрануляцию, приводящую к выделению таких веществ, как β-гексозаминидаза, цитокины, хемокины, простагландин D2, лейкотриены и эоксины[20].
Развитие
Общий предок тучных клеток находится в костном мозге, а окончательная дифференцировка предшественников этих клеток происходит в селезёнке. Далее в кровоток выходят предшественники тучных клеток, у человека имеющие фенотип CD13+CD33+CD34+CD38+CD117+. Из кровотока предшественники мастоцитов мигрируют в ткани (наиболее интенсивно — в слизистую кишечника), где их дифференцировка завершается. Главные ростовые факторы тучных клеток — SCF и IL-3, кофакторами выступают IL-4, IL-9, IL-10 и фактор роста нервов (NGF). В слизистых оболочках для развития тучных клеток необходим IL-33. Тучные клетки весьма долговечны (срок жизни исчисляется месяцами и годами) и в зрелой форме сохраняют способность к делению[21].
Эволюция
Тучные клетки имеются у представителей всех классов позвоночных животных. Рецепторы FcεRI тучные клетки приобрели, по-видимому, на поздних этапах эволюции, поскольку антитела IgE имеются только у млекопитающих. Триптаза и гистамин имеются в гранулах тучных клеток уже у костистых рыб, и именно у них тучные клетки оформились в том виде, в каком они присутствуют у высших позвоночных. Клетки, от которых, возможно, произошли мастоциты, были идентифицированы у асцидий. Эти клетки содержат гистамин и гепарин и выполняют защитные функции. Кроме того, структурно к тучным клеткам близки некоторые гемоциты членистоногих. Первые тучные клетки, вероятно, появились около 450—500 млн лет назад у последнего общего предка круглоротых, хрящевых рыб и высших позвоночных[22].
Клиническое значение

Выделяют группу заболеваний, известных как расстройства активации тучных клеток (англ. mast cell activation disorders). К ним относят нарушения со стороны иммунной системы, не связанные с заражением патогеном и имеющие схожие симптомы, связанные с несвоевременной активацией тучных клеток. Классификация расстройств активации тучных клеток и их диагностические критерии были предложены в 2010 году[23][24].
Тучные клетки лежат в основе развития аллергии и анафилаксии. Преимущественно с активацией тучных клеток связаны многие формы кожных аллергических реакций и аллергических реакций со стороны слизистых. Тучные клетки играют ключевую роль в развитии астмы, экземы, чесотки, аллергического ринита и аллергического конъюнктивита. Для устранения симптомов аллергии часто применяют антигистаминные препараты, блокирующие связывание гистамина с нервными окончаниями. Препараты на основе кромоглициевой кислоты блокируют кальциевые каналы, необходимые для дегрануляции тучных клеток, благодаря чему стабилизируют мастоциты и предотвращают выделение гистамина и других медиаторов. Антагонисты лейкотриенов, такие как монтелукаст и зафирлукаст, блокируют действие лейкотриенов и находят всё большее применение в устранении симптомов аллергии[6]. При анафилаксии происходит резкое и мощное высвобождение содержимого гранул тучных клеток в организме, что может привести к смерти[25]. Мастоциты связаны с развитием некоторых аутоиммунных заболеваний, таких как ревматоидный артрит и буллёзный пемфигоид[26].
Повышенное количество тучных клеток и их CD34+ клеток-предшественников приводят к развитию состояния, известного как мастоцитоз[27]. Часто мастоцитоз связан с мутациями гена, кодирующего CD117 — рецептор SCF[23]. Иногда из тучных клеток развиваются опухоли — мастоцитомы, при которых в организме накапливается избыточное количество медиаторов, содержащихся в гранулах тучных клеток[23][24]. Мастоцитомы часто встречаются у кошек и собак[28]. С тучными клетками связаны некоторые другие неоплазии, в частности, чрезвычайно агрессивные тучноклеточная саркома[29] и острый тучноклеточный лейкоз[30].
История изучения
Тучные клетки впервые описал Пауль Эрлих в 1878 году в своей докторской диссертации, где он также охарактеризовал их гранулы. Эрлих ошибочно решил, что тучные клетки питают окружающие ткани, поэтому назвал их Mastzellen (от нем. Mast — откармливать). Впоследствии было показано, что тучные клетки функционально относятся к иммунной системе[31][32].
Примечания
- labrocytes (недоступная ссылка). Memidex. Дата обращения: 19 февраля 2011. Архивировано 6 ноября 2018 года.
- Ярилин, 2010, с. 58.
- da Silva E. Z., Jamur M. C., Oliver C. Mast cell function: a new vision of an old cell. (англ.) // The Journal Of Histochemistry And Cytochemistry : Official Journal Of The Histochemistry Society. — 2014. — October (vol. 62, no. 10). — P. 698—738. — doi:10.1369/0022155414545334. — PMID 25062998.
- Polyzoidis S., Koletsa T., Panagiotidou S., Ashkan K., Theoharides T. C. Mast cells in meningiomas and brain inflammation. (англ.) // Journal Of Neuroinflammation. — 2015. — 17 September (vol. 12). — P. 170—170. — doi:10.1186/s12974-015-0388-3. — PMID 26377554.
- Жункейра, Карнейро, 2009, с. 120.
- Prussin C., Metcalfe D. D. 4. IgE, mast cells, basophils, and eosinophils. (англ.) // The Journal Of Allergy And Clinical Immunology. — 2003. — February (vol. 111, no. 2 Suppl). — P. 486—494. — doi:10.1067/mai.2003.120. — PMID 12592295.
- Ярилин, 2010, с. 61.
- Ярилин, 2010, с. 60—61.
- Ярилин, 2010, с. 60.
- Moon T. C., Befus A. D., Kulka M. Mast cell mediators: their differential release and the secretory pathways involved. (англ.) // Frontiers In Immunology. — 2014. — Vol. 5. — P. 569—569. — doi:10.3389/fimmu.2014.00569. — PMID 25452755.
- Ashmole I., Bradding P. Ion channels regulating mast cell biology. (англ.) // Clinical And Experimental Allergy : Journal Of The British Society For Allergy And Clinical Immunology. — 2013. — May (vol. 43, no. 5). — P. 491—502. — doi:10.1111/cea.12043. — PMID 23600539.
- Жункейра, Карнейро, 2009, с. 122.
- Kinet J. P. The high-affinity IgE receptor (Fc epsilon RI): from physiology to pathology. (англ.) // Annual Review Of Immunology. — 1999. — Vol. 17. — P. 931—972. — doi:10.1146/annurev.immunol.17.1.931. — PMID 10358778.
- Abbas, Lichtman, Pillai, 2015, p. 423—424.
- Rivera J., Cordero J. R., Furumoto Y., Luciano-Montalvo C., Gonzalez-Espinosa C., Kovarova M., Odom S., Parravicini V. Macromolecular protein signaling complexes and mast cell responses: a view of the organization of IgE-dependent mast cell signaling. (англ.) // Molecular Immunology. — 2002. — September (vol. 38, no. 16-18). — P. 1253—1258. — doi:10.1016/s0161-5890(02)00072-x. — PMID 12217392.
- Abbas, Lichtman, Pillai, 2015, p. 424.
- Ren H., Han R., Chen X., Liu X., Wan J., Wang L., Yang X., Wang J. Potential therapeutic targets for intracerebral hemorrhage-associated inflammation: An update. (англ.) // Journal Of Cerebral Blood Flow And Metabolism : Official Journal Of The International Society Of Cerebral Blood Flow And Metabolism. — 2020. — September (vol. 40, no. 9). — P. 1752—1768. — doi:10.1177/0271678X20923551. — PMID 32423330.
- Carabotti M., Scirocco A., Maselli M. A., Severi C. The gut-brain axis: interactions between enteric microbiota, central and enteric nervous systems. (англ.) // Annals Of Gastroenterology. — 2015. — April (vol. 28, no. 2). — P. 203—209. — PMID 25830558.
- Budzyński J., Kłopocka M. Brain-gut axis in the pathogenesis of Helicobacter pylori infection. (англ.) // World Journal Of Gastroenterology. — 2014. — 14 May (vol. 20, no. 18). — P. 5212—5225. — doi:10.3748/wjg.v20.i18.5212. — PMID 24833851.
- Wouters M. M., Vicario M., Santos J. The role of mast cells in functional GI disorders. (англ.) // Gut. — 2016. — January (vol. 65, no. 1). — P. 155—168. — doi:10.1136/gutjnl-2015-309151. — PMID 26194403.
- Ярилин, 2010, с. 59.
- Crivellato E., Ribatti D. The mast cell: an evolutionary perspective. (англ.) // Biological Reviews Of The Cambridge Philosophical Society. — 2010. — May (vol. 85, no. 2). — P. 347—360. — doi:10.1111/j.1469-185X.2009.00105.x. — PMID 19961471.
- Frieri M. Mast Cell Activation Syndrome. (англ.) // Clinical Reviews In Allergy & Immunology. — 2018. — June (vol. 54, no. 3). — P. 353—365. — doi:10.1007/s12016-015-8487-6. — PMID 25944644.
- Akin C., Valent P., Metcalfe D. D. Mast cell activation syndrome: Proposed diagnostic criteria. (англ.) // The Journal Of Allergy And Clinical Immunology. — 2010. — December (vol. 126, no. 6). — P. 1099—1104. — doi:10.1016/j.jaci.2010.08.035. — PMID 21035176.
- Жункейра, Карнейро, 2009, с. 123.
- Lee D. M., Friend D. S., Gurish M. F., Benoist C., Mathis D., Brenner M. B. Mast cells: a cellular link between autoantibodies and inflammatory arthritis. (англ.) // Science (New York, N.Y.). — 2002. — 6 September (vol. 297, no. 5587). — P. 1689—1692. — doi:10.1126/science.1073176. — PMID 12215644.
- Horny H. P., Sotlar K., Valent P. Mastocytosis: state of the art. (англ.) // Pathobiology : Journal Of Immunopathology, Molecular And Cellular Biology. — 2007. — Vol. 74, no. 2. — P. 121—132. — doi:10.1159/000101711. — PMID 17587883.
- Cutaneous Mast Cell Tumors. The Merck Veterinary Manual (2006). Дата обращения: 8 июля 2007. Архивировано 23 мая 2007 года.
- Chott A., Guenther P., Huebner A., Selzer E., Parwaresch R. M., Horny H. P., Valent P. Morphologic and immunophenotypic properties of neoplastic cells in a case of mast cell sarcoma. (англ.) // The American Journal Of Surgical Pathology. — 2003. — July (vol. 27, no. 7). — P. 1013—1019. — doi:10.1097/00000478-200307000-00019. — PMID 12826896.
- Lichtman M. A., Segel G. B. Uncommon phenotypes of acute myelogenous leukemia: basophilic, mast cell, eosinophilic, and myeloid dendritic cell subtypes: a review. (англ.) // Blood Cells, Molecules & Diseases. — 2005. — November (vol. 35, no. 3). — P. 370—383. — doi:10.1016/j.bcmd.2005.08.006. — PMID 16203163.
- Ehrlich P. Beiträge zur Theorie und Praxis der histologischen Färbung (нем.). — Leipzig University, 1878.
- Mastocyte - Definition (недоступная ссылка). Дата обращения: 16 августа 2010. Архивировано 3 февраля 2010 года.
Литература
- Жункейра Л. К., Карнейро Ж. Гистология. — М.: ГЭОТАР-Медиа, 2009. — 576 с. — ISBN 978-5-9704-1352-4.
- Ярилин А. А. Иммунология. — М.: ГЭОТАР-Медиа, 2010. — 752 с. — ISBN 978-5-9704-1319-7.
- Abul K. Abbas, Andrew H. Lichtman, Shiv Pillai. Cellular and Molecular Immunology. — Philadelphia: Elsevier Saunders, 2015. — ISBN 978-0-323-22275-4.