Плевральная полость
Плевральная полость (лат. Cаvitas pleuralis; греч. πλευρά «бок») — щелевидное пространство между париетальным и висцеральным листками плевры, окружающими каждое лёгкое[1]. Плевра представляет собой гладкую серозную оболочку. Париетальный (наружный) листок плевры выстилает стенки грудной полости и наружные поверхности средостения, висцеральный (внутренний) покрывает лёгкое и его анатомические структуры (сосуды, бронхи и нервы). В норме плевральные полости содержат незначительное количество серозной жидкости.

Анатомия
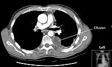
В области корней лёгких париетальная плевра, прилегающая к средостению (медиастинальная плевра), переходит в висцеральную плевру. В свою очередь, соединительная ткань, формирующая висцеральную плевру, проникает в ткань лёгких, образуя интерстициальный лёгочный каркас, а также выстилает поверхности долей лёгких в междолевых щелях. Плевра, выстилающая боковые поверхности грудной полости (рёберная плевра) и медиастинальная плевра внизу переходят на поверхность диафрагмы, образуя диафрагмальную плевру. Места перехода плевры с одной поверхности лёгкого на другую называются плевральными синусами; они не заполняются лёгкими даже при глубоком вдохе. Различают рёберно-диафрагмальные, рёберно-медиастинальные и диафрагмально-медиастинальные синусы, ориентированные в различных плоскостях. В плевральных синусах, особенно самых низкорасположенных задних рёберно-диафрагмальных, в первую очередь накапливается жидкость при развитии гидроторакса (см. рисунок). Иннервируется плевра блуждающими, межрёберными и диафрагмальными нервами. В париетальной плевре располагаются болевые чувствительные рецепторы.
Функции
Плевральная полость с формирующими её плевральными листками помогают осуществлению акта дыхания. Содержащаяся в плевральных полостях жидкость способствует скольжению листков плевры друг относительно друга при вдохе и выдохе. Герметичность плевральных полостей, постоянно поддерживающая в них давление ниже атмосферного, а также поверхностное натяжение плевральной жидкости способствуют тому, что лёгкие постоянно удерживаются в расправленном состоянии и прилежат к стенкам грудной полости. Благодаря этому дыхательные движения грудной клетки передаются плевре и лёгким[2].
Плевральная жидкость
Плевральная жидкость имеет серозное содержимое и вырабатывается плеврой. Здоровый человек с массой 70 кг вырабатывает несколько миллилитров плевральной жидкости[3].
Плевральная жидкость продуцируется преимущественно капиллярами межрёберных артерий и эвакуируется лимфатической системой. Таким образом, осуществляется постоянная выработка и реабсорбция жидкости. В норме, способность к реабсорбции превышает реальную продукцию жидкости в 40 раз. Плевральная жидкость может накапливаться лишь при превышении объёма её продукции над объёмом обратного всасывания, что может быть обусловлено либо повышенным поступлением жидкости в плевральные полости, либо блокированием её реабсорбции. Верхняя граница избыточной свободной жидкости в плевральной полости соответствует линии Дамуазо.
У человека плевральные полости не сообщаются, в связи с чем жидкость или воздух (при гидротораксе и пневмотораксе соответственно) не поступают из одной плевральной полости в другую.
Кровоснабжение
Париетальная плевра кровоснабжается плевральными ветвями, отходящими от внутренней грудной артерии (лат. a. thoracica interna), межреберных артерий (лат. aa. intercostales), верхней и нижней диафрагмальных артерий (лат. a. phrenicae superioris et inferioris), отходящими от аорты. Висцеральная плевра имеет двойное кровоснабжение и получает кровь как из бронхиальных, так и из лёгочных артерий[1].
Венозный отток происходит по бронхиальным и легочным венам.
Иннервация
Плевра иннервируется при помощи диафрагмального (ветвь шейного сплетения) и межреберных нервов (передние ветви грудных спинномозговых нервов).
Примечания
- Борзяк Э. И. Анатомия человека / под ред. М. Р. Сапина. — М.: Медицина, 1997. — 560 с.
- Привес М. Г. Анатомия человека / под ред. М. Г. Привеса. — М.: Медицина, 1985. — 672 с.
- Widmaier, Eric P. Vander’s human physiology: the mechanisms of body function. 10 ed. McGraw Hill, 2006. Page 481. (англ.)