Гигантоклеточная опухоль
Остеобластокластóма или гигантоклеточная опухоль — доброкачественное новообразование скелета, остеогенного происхождения. Довольно часто встречается: составляет 15—20 % всех доброкачественных опухолей костей. Чаще возникает в возрасте 20—40 лет, встречается как у мужчин, так и у женщин. Излюбленной локализацией являются трубчатые кости конечностей (главным образом нижние). В 60—70 % случаев опухоль располагается в эпифизах и эпиметафизах бедренной и большеберцовой костей.
| Гигантоклеточная опухоль (остеобластокластома) | |
|---|---|
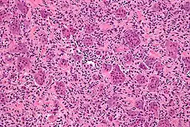
![]() Микрофотография гигантских клеток остеобластокластомы кости, характерно выделяются гигантские клетки. Окрашено гематоксилином и эозином. | |
| МКБ-11 | XH4TC2 |
| МКБ-10 | D16 |
| МКБ-10-КМ | D48.0 |
| МКБ-О | 9250/1 |
| DiseasesDB | 9337 |
| MeSH | D018212 |
Патологическая анатомия
Микроскопическая структура гигантоклеточной опухоли кости, в основном, представлена двумя типами клеток. Преобладающее большинство клеточных элементов составляют веретенообразные, овальные и округлые клетки с умеренно выраженной цитоплазмой и светлым ядром, содержащим небольшое количество хроматина. В ядрах определяются одно, а иногда два хорошо различимых ядрышка, могут выявляться фигуры митоза, как правило, типичные.
Другим клеточным компонентом являются многоядерные гигантские клетки. Эти клетки очень похожи на нормальные остеокласты, но обычно несколько крупнее их и имеют закругленный контур. Они содержат 20-30 и более ядер, большинство из которых располагаются в центре клетки. Ядра многоядерных клеток обычно лежат изолировано друг от друга и, практически, не отличаются от ядер одноядерных клеточных элементов. Цитоплазма этих клеток слегка базофильна. В многоядерных гигантских клетках фигур митоза не определяется. Эти клетки равномерно (важный дифференциальный диагностический признак!) расположены в опухоли.
Многоядерные гигантские клетки остеокластом имеют множество общих характеристик с типичными остеокластами. Кроме морфологического сходства они обладают общими ультраструктурными чертами (зазубренный край и обилие митохондрий), гистохимическими свойствами (высокая активность кислой фосфатазы и других гидролитических энзимов) и иммуногистохимическими проявлениями (экспрессия лизоцима, α-1-антитрипсина, α-1-антихимотрипсина и других маркеров). Кроме того эти клетки содержат рецепторы кальцитонина – фенотипического маркера остеокластов.
Природа одноядерных клеток опухоли иная и их ультраструктурные черты подобны таковым фибробластов и остеобластов. Тесные гистогенетические взаимоотношения одноядерных клеток и остеобластов подтверждаются тем, что среди одноядерных иногда выявляются очаги костеобразования. Скопления остеоида и молодых костных балочек удается обнаружить в 30% наблюдений. Одноядерные клетки гигантоклеточной опухоли продуцируют коллаген 1-го и 2-го типов и имеют рецепторы паратиреоидных гормонов. Они не экспрессируют макрофагальный поверхностный антиген, но могут содержать лизоцим и α-1-антитрипсин. В одноядерных клетках может быть высокая активность белка S-100.
Гистогенез гигантоклеточной опухоли кости до настоящего времени неизвестен и в Международной гистологической классификации опухолей кости (ВОЗ) она отнесена в самостоятельную рубрику – опухоли неясного генеза.[1]
Клиника
Больных беспокоит ноющая боль в области опухоли. Поражённый отдел сегмента конечности увеличен в объёме. Кожа над опухолью с выраженным сосудистым рисунком. Можно пропальпировать плотное, умеренно болезненное образование и ощутить «пергаментный хруст». Нередко возникает нарушение функции сустава, вблизи которого локализуется опухоль. Иногда в зоне деструкции кости возникают патологические переломы.
Лечение
Посредством удаления пораженной части кости и заменой её протезом.
Благоприятный, 100% выживаемость
Примечания
- Э.Л.Нейштадт, А.Б.Маркочев. Опухоли и опухолеподобные заболевания кости. — СПб, Фолиант 2007, стр. 139-141.
Литература
- Онкология — учебник для мед. ин-тов / Б. Е. Петерсон. — М. : Медицина, 1980. — 447 с. : ил.
