Фиброаденома
Фи́броадено́ма — доброкачественная органоспецифическая опухоль молочной железы железистого происхождения. Характерное отличие фиброаденомы от аденомы — преобладание соединительнотканной стромы над железистой паренхимой. Причины развития фиброаденомы молочной железы точно не выяснены.
| Фиброаденома | |
|---|---|
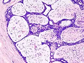
![]() Гистологический препарат фиброаденомы, окраска гемотоксилин-эозином. | |
| МКБ-11 | 2F30.5 |
| МКБ-10 | D24 |
| МКБ-10-КМ | D24 |
| МКБ-9 | 217 |
| МКБ-О | M9010/0-M9012, M9020, M9030 |
| DiseasesDB | 1595 |
| MedlinePlus | 007216 |
| eMedicine | radio/109 |
| MeSH | D018226 |
Клиническая картина
Пик выявляемости приходится на 20-30 лет. Однако бессимптомная фиброаденома может быть впервые выявлена и в гораздо более позднем возрасте при профилактическом обследовании.
Различают зрелые фиброаденомы(с плотной оформленной капсулой, плотноэластической консистенции, обладающие медленным ростом или вовсе не увеличивающиеся), и незрелые(мягкоэластическая консистенция, склонность к прогрессивному росту).
Зрелые фиброаденомы встречаются преимущественно в возрасте 20-40 лет. Незрелые фиброаденомы наблюдаются у девушек, находящихся в периоде полового созревания. Эти фиброаденомы иногда могут дегенерировать сами по себе без всякого лечения после установления регулярного менструального цикла.
Чаще всего фиброаденома выявляется как единичная опухоль молочной железы, однако нередки случаи множественных фиброаденом, которые могут локализоваться одновременно в обеих молочных железах.
Фиброаденома имеет характерную клиническую картину:
- При осмотре крупная фиброаденома может определяться визуально как подкожное опухолевидное образование молочной железы
- При пальпации определяется как четко отграниченная смещаемая опухоль плотно-эластической консистенции от 1 до 5 см в наибольшем измерении.
- Располагается как правило вне ареолярной зоны. Наиболее частая локализация — верхненаружный квадрант молочной железы.
После менопаузы фиброаденома груди регрессирует и кальцинируется. Комки (узелки) не проявляются болезненностью и способны свободно двигаться[1].
Диагностика и дифференциальная диагностика фиброаденомы молочной железы
Для установления точного диагноза в подавляющем большинстве случаев достаточно следующих методов:
- Клинической осмотр и пальпация молочной железы
- УЗИ молочной железы
- Тонкоигольная аспирационная биопсия опухоли с последующим цитологическим исследованием
При сомнениях в диагнозе может быть применена рентгеновская маммография, толстоигольная биопсия или лечебно-диагностическая секторальная резекция молочной железы с интраоперационным гистологическим исследованием.
Дифференциальную диагностику следует проводить со следующими состояниями:
- Рак молочной железы
- Киста молочной железы
- Цистаденопапиллома
Гистологические типы
- Интраканаликулярная
- Периканаликулярная
- Листовидная (филлоидная)
Чаще всего встречается смешанный тип строения (интра-, периканаликулярный). Листовидная фиброаденома встречается значительно реже.
Лечение и врачебная тактика
Тактику врача при лечении фиброаденомы определяют два основных свойства фиброаденомы:
- Фиброаденома редко поддается консервативному лечению
- Фиброаденомы не способны к озлокачествлению (кроме листовидной фиброаденомы, которая в 10 % случаев может переродиться в саркому молочной железы)
Исходя из этих двух фактов показаниями к хирургическому лечению фиброаденомы молочной железы является:
- Листовидное строение фиброаденомы (абсолютное показание)
- Большие размеры (свыше 2 см), или размеры вызывающие косметический дефект
- Желание пациентки удалить опухоль
- Быстрый рост опухоли
В остальных случаях после морфологического подтверждения диагноза фиброаденому можно наблюдать. Для хирургического лечения фиброаденомы в настоящее время чаще всего используется энуклеация опухоли из параареолярного доступа.
Профилактика фиброаденомы молочной железы
Специфических методов первичной профилактики не существует. Для вторичной профилактики используется регулярное обследование с использованием УЗИ молочной железы.
Примечания
Литература
- Семиглазов В. Ф., Нургазиев К. Ш., Арзуманов А. С. Опухоли молочной железы (лечение и профилактика) — Алматы, 2001. — 344 с. ISBN 9965-550-60-3
- Струков А. И., Серов В. В. Патологическая анатомия. — Москва: изд. «Медицина», 1985 г. — 656 с.
- Куликов Е. П., Варёнов Б. М. Рак молочной железы, учебное пособие. — Рязань, 2002 — 75 с.
.jpg.webp)