Хондробластома
Хондробластóма (лат. chondroblastoma, опухоль Кодмена). Является редкой доброкачественной опухолью кости, как правило, медленно растущей. Возраст больных в большинстве наблюдений колеблется от 5 до 18 лет. Мужчины поражаются в два раза чаще женщин. Впервые описана в 1931 г. американским хирургом Эрнестом Кодменом.
| Хондробластома | |
|---|---|
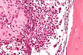
![]() Микрофотография хондробластомы. Окрашено гематоксилином и эозином | |
| МКБ-10 | D16 |
| МКБ-О | 9230 |
| DiseasesDB | 31489 |
| MeSH | D002804 |
Классификация Хондробластом
Исследователи в области ортопедии и травматологии выделяют доброкачественные и злокачественные формы хондробластомы. При этом доброкачественная форма может быть типичной или смешанной. В последнем случае наряду с клетками хрящевой ткани она имеет необычную структуру или содержит клетки, характерные для других доброкачественных опухолей. Возможны следующие варианты:
- Хондробластома с остеобластокластомой;
- Хондробластома с хондромиксоидной фибромой;
- Хондромная форма хондробластомы;
- Кистозная форма хондроблостомы;
Хондробластома в большинстве случаев локализуется в эпифизе или метаэпифизе длинных трубчатых костей. Чаще других поражаются проксимальные суставные концы плечевой, бедренной и большеберцовой кости. У 20 % больных опухоль развивается в плоских или коротких трубчатых костях, преимущественно в пяточной и таранной. Изредка поражаются кости лицевого черепа, в том числе височная.
Клиническая симптоматика хондробластомы отличается наличием прогрессирующих болей в ближайшем суставе, усилением их при физической нагрузке и в ночное время. Характерны раннее развитие контрактур, атрофии мышц конечности, появление воспаления в суставе.
Клинико-рентгеноморфологическое сопоставление, проведенное при исследовании хондробластомы, позволило ряду авторов выделить смешанные формы опухоли, а также злокачественную хондробластому.
Диагностика
При рентгенологическом исследовании видна типичная картина злокачественной опухоли остеолитического типа. В большинстве случаев новообразование выходит за пределы эпифиза и распространяется на метафиз. На фоне остеолиза обнаруживаются рассеянные участки обызвествления в виде пунктирных линий, а также разреженный трабекулярный рисунок. Хондробластома, как правило, не выходит за пределы кости, но изредка проникает в полость сустава. В процессе роста опухоли иногда возникает вторичная аневризматическая костная киста.
Лечение
Методом выбора лечения хондробластомы является хирургическое вмешательство. Выполняется краевая, околосуставная или сегментарные резекция кости, которая в зависимости от размеров патологического очага позволяет произвести удаление опухоли единым блоком в пределах здоровых тканей и сохранить функциональную конечность.
У некоторых больных в течение 3 лет после этого возникает рецидив, для лечения которого также используется кюретаж или же резекция опухоли. Примерно 1 % хондробластом отличается агрессивным местным ростом и метастазирует в легкие, причем метастазы могут выявляться спустя многие годы после обнаружения первичного узла. Некоторые хондробластомы прорастают в окружающие мягкие ткани, но при этом не метастазируют. Описаны случаи малигнизации этого новообразования после лучевой терапии с формированием фибро- или остеосаркомы.
