Перелом кости
Перело́м ко́сти — полное или частичное нарушение целостности кости при нагрузке, превышающей прочность травмируемого участка скелета. Переломы могут возникать как вследствие травмы, так и в результате различных заболеваний, сопровождающихся изменениями в прочностных характеристиках костной ткани.
| Перелом кости | |
|---|---|
![]() Внешний вид и соответствующее рентгеновское изображение перелома | |
| МКБ-11 | ND56.2 |
| МКБ-10 | T14.2 |
| МКБ-9 | 829 |
| DiseasesDB | 4939 |
| MedlinePlus | 000001 |
| MeSH | D050723 |
Тяжесть состояния при переломах обусловлена размерами повреждённых костей и их количеством. Множественные переломы крупных трубчатых костей приводят к развитию массивной кровопотери и травматическому шоку. Также больные после таких травм медленно восстанавливаются, выздоровление может занять несколько месяцев[1].
Значимость проблемы
Перелом кости является довольно распространённым типом травмы в живой природе.
Переломы костей у человека ничем принципиально не отличаются от аналогичных переломов у других позвоночных животных. Далее рассматриваются переломы на примере человеческого организма, но все приведённые методики и признаки, с поправкой на особенности скелета, могут быть отнесены ко всем позвоночным животным.
Проблема лечения переломов всегда являлась значимой, как для отдельного индивида, так и для социума. Во всех человеческих цивилизациях есть аналог профессии «костоправа» — человека, который профессионально занимается восстановлением сломанных конечностей людей и животных. Так, при анализе 36 скелетов неандертальцев, имеющих переломы, только у 11 результаты лечения перелома признаны неудовлетворительными. Это показывает, что уже на таком уровне развития эффективность медицинской помощи при переломах превышала 70 %, первобытные люди знали о переломах и умели их лечить.[L 1]
Основные принципы лечения переломов не изменились с эпохи античности[L 2][2], хотя современная хирургия и позволила восстанавливать анатомическую структуру костей при сложных, вколоченных, многооскольчатых переломах, переломах, неправильно сросшихся, без восстановления нормального положения кости, и многих других видах травм[L 3].
Классификация
Типы переломов классифицируют по нескольким критериям, это связано с отсутствием единых причин и локализации переломов.
В современных классификациях выделяют типы переломов в зависимости от следующих признаков:
- По причине возникновения
- Травматические — вызванные внешним воздействием.
- Патологические — возникающие при минимальном внешнем воздействии вследствие разрушения кости каким-нибудь патологическим процессом (например, туберкулёзным, опухолевым или другим).
- По тяжести поражения
- Полные.
- Без смещения (например, под надкостницей).
- Со смещением отломков[3].
- Неполные — трещины и надломы.
- По форме и направлению перелома
- Поперечные — линия перелома условно перпендикулярна оси трубчатой кости.
- Продольные — линия перелома условно параллельна оси трубчатой кости.
- Косые — линия перелома проходит под острым углом к оси трубчатой кости.
- Винтообразные — происходит вращение костных отломков, костные отломки «повёрнуты» относительно своего нормального положения.
- Оскольчатые — нет единой линии перелома, кость в месте повреждения раздроблена на отдельные отломки.
- Клиновидные — как правило возникает при переломах позвоночника, когда одна кость вдавливается в другую, образуя клиновидную деформацию.
- Вколоченные — костные отломки смещаются проксимальней по оси трубчатой кости или располагаются вне основной плоскости губчатой кости.
- Компрессионные — костные отломки мелкие, чёткой, единой линии перелома нет.
- По целостности кожного покрова
- Закрытые — не сопровождаются ранениями тканей, проникающих к месту перелома, и не сообщаются с внешней средой. Единичные — если один перелом одного сегмента опорно-двигательного аппарата. Множественные — если перелом в пределах одного сегмента или различных сегментов опорно-двигательного аппарата.
- Открытые — переломы костей (огнестрельные и неогнестрельные), сопровождающиеся ранениями мягких тканей и сообщающиеся с внешней средой. Сочетанные — если перелом сочетается с травмой внутренних органов, черепа. Комбинированные — если поражение в одной анатомической области или в разных анатомических областях.
- По локализации перелома
В пределах трубчатой кости выделяют:
- диафиза
- эпифиза
- метафиза
- По осложнениям
- Осложнённые:
- травматическим шоком.
- повреждением внутренних органов.
- кровотечением.
- жировой эмболией.
- раневой инфекцией, остеомиелитом, сепсисом.
- Неосложнённые.
Также наиболее распространённые типы переломов имеют общепринятые названия — по имени автора, впервые их описавшего.
Так, например, перелом дистального конца лучевой кости называется переломом Коллеса. Также к довольно известным типам травм верхней конечности относятся перелом Монтеджа, возникающий при переломе локтевой кости в верхней трети и вывихе головки лучевой кости с повреждением ветви лучевого нерва, и перелом Голеацци, представляющий собой перелом лучевой кости в нижней трети с разрывом дистального радио-ульнарного сочленения и вывихом в этом суставе.[4][5]
В детском и юношеском возрасте наблюдаются переломы по неокостеневшей ростковой (эпифизарной) линии — эпифизеолизы. В пожилом возрасте переломы происходят при значительно меньшей травмирующей нагрузке и сроки восстановления увеличиваются. Это связано с изменением соотношения минерального и органического компонентов кости.
Этиология
Переломы костей возникают в результате нагрузки, превышающей предел их прочности. Для каждой кости, по разным осям, величины предельной нагрузки отличаются. Тип перелома в каждом конкретном случае зависит от направления вектора приложенной силы. Например, если удар приходится перпендикулярно трубчатой кости, то возникает поперечный перелом, при приложении вектора силы параллельно оси кости возникают продольные и оскольчатые переломы.[6]
Соотношение различных типов переломов менялось с течением времени, так, например, если до массового внедрения автомобильного транспорта бамперные переломы голени и разгибательные переломы шейных позвонков встречались довольно редко, то теперь они составляют значительный процент переломов при автомобильных травмах.[7][8]
С развитием техники возрастает кинетическая энергия, которой может управлять человечество. Мощность современных технических устройств значительно превышает прочность человеческого скелета. Сейчас стало вполне обыденным воздействие на человека энергии такого порядка, которая всего лишь сто лет назад была бы уникальной или вовсе невозможной. В связи с этим, по мере роста уровня технического развития, перед травматологией и ортопедией ставятся новые, всё более сложные задачи.[9][2]
Существуют типичные места переломов. Как правило, они находятся в тех местах, где кость испытывает наибольшую нагрузку, или там, где её прочность ниже. К наиболее распространённым переломам относятся:
- Перелом лучевой кости в типичном месте. В 70 % случаях по механизму травмы он является разгибательным переломом.
- Перелом хирургической шейки плечевой кости.
- Оскольчатый перелом голени в средней трети — так называемый «бамперный перелом» — широко распространённый вид травмы, возникающий, как правило, при автодорожных травмах.
- Перелом медиальной и латеральной лодыжек.
- Перелом шейки бедра. Трудноизлечимый, но довольно распространённый перелом, особенно у пожилых людей. Наиболее эффективный способ лечения — установка искусственного тазобедренного сустава.
- Различные переломы костей черепа.
Помимо этих мест переломов возможны и многие другие. Фактически, любая кость может быть сломана в любой точке на всем её протяжении.[L 4]
Патогенез
Костная ткань состоит из минерального и органического компонентов. Состав кости достаточно сложен, органическая часть кости составляет 30 % её массы, минеральная 60 %, на воду приходится 10 %. Минеральный компонент обеспечивает прочность и состоит преимущественно из кальция, фосфора и микроэлементов. Органический компонент представляет собой коллаген, который делает кость более эластичной. Прочность коллагена на растяжение — 150 кг/см², прочность при надрезе — 680 кг/см², разрывное удлинение — 20-25 %. При нагревании коллагеновые волокна сокращаются примерно на треть своей длины.[L 5] Трубчатые кости наиболее устойчивы к нагрузке вдоль своей оси. Губчатые менее прочны, но одинаково устойчивы к нагрузке по всем направлениям.
При переломе костной ткани возникает кровотечение, которое плохо останавливается из-за того, что сосуды фиксированы в минеральной части кости и не могут спадаться. Объём кровотечения зависит от типа перелома и его локализации, так, например, при переломах костей голени пострадавший теряет 500—700 мл крови. В результате этого кровоизлияния формируется гематома, которая впоследствии окружает костные отломки.[3]
В месте кровотечения возникает отёк и происходит выпадение нитей фибрина, которые служат впоследствии основой для формирования белкового матрикса костной ткани. Остановка кровотечения из костной ткани представляет собой нелёгкую задачу и при сложных оскольчатых открытых переломах возможна только в оборудованной операционной.[L 5]
Механизм возникновения
Травматический перелом — это повреждение структуры костной ткани под воздействием внешней силы, превышающей стандартные прочностные характеристики повреждённого элемента скелета. Данный тип переломов наиболее распространён в настоящее время.[10] Возникать он может по множеству причин, начиная от падения с высоты и заканчивая огнестрельными ранениями. Наиболее тяжёлыми считаются сочетанные и комбинированные переломы — переломы нескольких костей или их сочетание с другими повреждениями, например, ранами или ожогами.
Патологический перелом кости — перелом кости в зоне её патологической перестройки (поражения каким-либо заболеванием — опухолью, остеомиелитом, остеопорозом и др.).
Наиболее ярким симптомом, свидетельствующим о патологическом характере, является возникновение перелома от неадекватной по силе травмы (или без травмы). В некоторых случаях при анамнезе можно выявить боли или дискомфорт в области перелома перед его появлением. Более достоверны в диагностике патологического характера перелома методы рентгенографии, компьютерной или магнитно-резонансной томографии. В отдельных случаях природу патологического процесса, вызвавшего перелом, позволяет установить только биопсия.[11]
Последствия травмы
После возникновения перелома происходит нарушение целостности кости, возникает кровотечение и сильная боль. При полных переломах трубчатых костей происходит также смещение костных отломков. Это связано с тем, что при возникновении болевой импульсации мышцы рефлекторно сокращаются, а так как они крепятся к костям, то они тянут за собой концы костных отломков, усугубляя тяжесть травмы и зачастую приводя к дополнительным повреждениям. В области закрытого перелома формируется гематома, а при открытом переломе — сильное наружное кровотечение. Чем более массивен мышечный слой в районе сломанной кости, тем труднее репозиция костных отломков и их удержание в правильном положении для адекватного восстановления кости.[L 5] В случае переломов бедренных костей возможно развитие жировой эмболии из желтого костного мозга, приводящее к резкому ухудшению состояния и даже к летальному исходу.
Регенерация
Срастание отломков после перелома сопровождается образованием новой ткани, в результате которого появляется костная мозоль. Сроки заживления переломов колеблются от нескольких недель до нескольких месяцев, в зависимости от возраста (у детей переломы срастаются быстрее), общего состояния организма и местных причин — взаимного расположения отломков, вида перелома и т. д.
Восстановление костной ткани происходит за счёт деления клеток камбиального слоя надкостницы, эндоста, малодифференцированных клеток костного мозга и мезенхимальных клеток (адвентиции сосудов).[L 6]
В процессе регенерации можно выделить 4 основные стадии:
- Аутолиз — в ответ на развитие травмы развивается отёк, происходит активная миграция лейкоцитов (в частности остеокластов), аутолиз погибших тканей. Достигает максимума к 3—4 дню после перелома, затем постепенно стихает.
- Пролиферация и дифференцировка — активное размножение клеток костной ткани и активная выработка минеральной части кости. При благоприятных условиях сначала формируется хрящевая ткань, которая затем минерализуется и заменяется костной.
- Перестройка костной ткани — восстанавливается кровоснабжение кости, из костных балок формируется компактное вещество кости.
- Полное восстановление — восстановление костномозгового канала, ориентация костных балок в соответствии силовыми линиями нагрузки, формирование надкостницы, восстановление функциональных возможностей повреждённого участка.
На месте перелома формируется костная мозоль. Выделяют 4 вида костной мозоли:
- Периостальную — формируется небольшое утолщение вдоль линии перелома.
- Эндоостальную — костная мозоль расположена внутри кости, возможно небольшое уменьшение костно-мозгового канала в месте перелома.
- Интермедиальную — костная мозоль расположена между костными отломками, профиль кости не изменён.
- Параоссальную — окружает кость достаточно крупным выступом, может искажать форму и структуру кости.
Тип сформировавшейся костной мозоли зависит от регенерационных способностей человека и локализации перелома.[L 7]
Диагностика
Есть относительные и абсолютные признаки перелома, относительные являются ориентировочными, и позволяют только заподозрить травму данного типа. Абсолютные признаки подтверждают факт перелома, и позволяют отличить его от других, похожих по клиническим признакам травм.
На месте травмы
Поставить диагноз «перелом» позволяет наличие определённых критериев. Перелом является диагнозом, который выставляется клинически и только подтверждается рентгенологически.
Относительные признаки перелома
- Боль — усиливается в месте перелома при имитации осевой нагрузки. Например, при постукивании по пятке резко усилится боль при переломе голени.
- Отёк — возникает в области повреждения, как правило, не сразу. Несёт относительно мало диагностической информации.
- Гематома — появляется в области перелома (чаще не сразу). Пульсирующая гематома свидетельствует о продолжающемся интенсивном кровотечении.
- Нарушение функции повреждённой конечности — подразумевается невозможность нагрузки на повреждённую часть тела и значительное ограничение подвижности.

Абсолютные признаки перелома
- Неестественное положение (деформация) конечности.
- Патологическая подвижность (при неполных переломах определяется не всегда) — конечность подвижна в том месте, где нет сустава.
- Крепитация (своеобразный хруст) — ощущается под рукой в месте перелома, иногда слышна ухом. Хорошо слышна при надавливании фонендоскопом на место повреждения.
- Костные отломки[3] — могут быть видны в ране (ранее считалось признаком открытого перелома. На настоящий момент, для постановки диагноза открытый или инфицированный перелом, достаточна визуализация поврежденных кожных покровов в области перелома или вблизи него).
В стационаре
Рентгеновское исследование позволяет более точно установить вид перелома и положение отломков. Рентгенография — стандартный метод диагностики при подтверждении перелома. Именно наличие рентгеновского снимка повреждённого участка служит объективным подтверждением факта перелома. На снимке должны быть изображены два сустава, расположенные дистальней и проксимальней места поражения, кость должна быть изображена в двух проекциях, прямой и боковой. При соблюдении этих условий рентгеновское исследование будет адекватным и полноценным, а возможность ошибочной диагностики минимальна.[L 8]
|
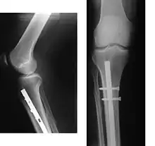
На рентгенограмме изображён перелом большеберцовой кости, подвергшийся хирургическому лечению. 4 снимка в 2 проекциях. На первой паре снимков — верхняя треть голени и коленный сустав (сустав, расположенный проксимальней места перелома), на второй паре снимков — голеностопный сустав (сустав, расположенный дистальней места перелома). Большеберцовая кость фиксирована антероградно введённым в костно-мозговой канал гвоздём (UTN — unreamed tibial nail), блокированным 5 винтами. Такая конструкция позволяет фиксировать отломки и обеспечивает адекватную регенерацию. После формирования костной мозоли металлофиксатор удаляется.
Лечение
В случае перелома очень важно своевременное оказание медицинской помощи. Вовремя оказанная медицинская помощь может спасти жизнь пострадавшему и предотвратить развитие серьёзных осложнений. Зачастую опасны не сами переломы, а сопровождающие их патологические состояния, такие как травматический шок и кровотечение.
Первая помощь
Человек, оказывающий первую помощь может:
- Оценить тяжесть состояния пострадавшего и локализацию повреждений.
- При наличии кровотечения — остановить его.
- Определить, возможно ли перемещение пострадавшего до прибытия квалифицированного медицинского персонала. Не рекомендуется переносить или передвигать больного при травмах позвоночника и множественных переломах.
- При изолированной травме иммобилизовать[12] повреждённый участок, наложить шину. Шиной может служить любой предмет, который предотвратит движение в повреждённой конечности (захватывая суставы выше и ниже места перелома).
- При отсутствии противопоказаний к перемещению пострадавшего транспортируют в медицинское учреждение.
- Если доступ медицинского персонала затруднён или невозможен и имеются противопоказания к перемещению пострадавшего, обеспечивают по возможности полную иммобилизацию повреждённых участков, после чего используются носилки с твёрдым основанием, к которым надёжно фиксируется пострадавший.
Задача первой помощи — уменьшить боль, обеспечить раненому полный покой и, главное, не допустить повреждение мягких тканей (мышц, сухожилий), окружающих место перелома. Пострадавшего следует уложить, успокоить, создать неподвижность поврежденной конечности. Оказывая помощь при закрытых переломах, не следует без особой необходимости снимать одежду, обувь с поврежденной части тела. Их лишь разрезают в нужном месте. При открытых переломах после остановки кровотечения на рану накладывается стерильная повязка. Вправление перелома допускается лишь в том случае, если кто-либо из спутников владеет техникой этой процедуры.
Первая врачебная помощь
Первая врачебная помощь может быть оказана как на месте, так и в травмпункте или стационаре. В этот момент важно оценить тяжесть состояния пострадавшего, предотвратить или облегчить осложнения травмы, определить объём дальнейшего лечения.
Тактика врача
Если врач подозревает перелом у пострадавшего, он проводит следующие мероприятия:
- Оценивает тяжесть состояния пострадавшего. В случае возникновения осложнений в первую очередь начинает бороться с наиболее опасными для жизни. Наиболее частые осложнения — шок и кровопотеря.
- Проводит дифференциальный диагноз, убеждается, что имеющаяся травма является именно переломом, а не вывихом, растяжением или ушибом.
- При клиническом подтверждении диагноза и купировании состояний, угрожающих жизни, проводит максимально эффективную в существующих условиях иммобилизацию повреждённого участка.
- После осуществления адекватной иммобилизации принимает решение о необходимости госпитализации пострадавшего в стационар или о проведении амбулаторного лечения.
Правила иммобилизации
При осуществлении транспортной (временной) иммобилизации конечностей человек, осуществляющий её, должен соблюдать следующие правила:
- Фиксировать конечность в том положении, в котором она находится после травмы, но не пытаться вправить кость на место.
- Фиксировать минимум 2 сустава (выше и ниже перелома). При травме бедра и плеча фиксировать 3 сустава.
- При наложении шины и наличии ран сначала обработать раны и остановить кровотечение.
Квалифицированная врачебная помощь
Квалифицированной медицинская помощь особенно нужна при сложных оскольчатых переломах, когда удержание костных отломков в правильном положении затруднено или невозможно без специализированных методов лечения. При лечении переломов как консервативным, так и оперативным методом каждые 5-7 дней проводится рентген-контроль — оценивается эффективность репозиции и регенерации.[L 5]
Лечение переломов может включать в себя следующие мероприятия:
Анестезия и обезболивание
Боль — сигнал повреждения, но после превышения определённого порога она становится опасна. Поэтому при любой травме, в том числе и переломах, нужно контролировать интенсивность болевых ощущений.
При переломах эффективное обезболивание может быть достигнуто только сочетанием препаратов для общей и местной анестезии. Каждый из этих методов имеет свои достоинства и недостатки: общая анестезия проще в исполнении, но более токсична и менее избирательна; местная анестезия при переломах требует отточенной техники исполнения, особенно в сложных локализациях, например, при переломах позвоночника. Также поддерживать местную анестезию более сложно и трудоёмко, чем общее обезболивание.[L 9]
Консервативное лечение
Методы консервативного лечения переломов известны человечеству с древности и практически не изменились с античных времён. Их можно условно разделить на три группы.
Иммобилизационные методы
Иммобилизационные (фиксационные) — использование гипсовых повязок (или полимерных аналогов) после закрытой репозиции или без репозиции, если перелом без смещения.
При формировании иммобилизирующей повязки выделяют следующие этапы:
- Подготовка гипсовых бинтов или их аналогов — бинт, пропитанный гипсом или его полимерным аналогом, выкладывается в непосредственной близости от места проведения иммобилизации. Подготавливается вода для их последующего смачивания. Гипсовый бинт смачивают предварительно, полимерный в процессе формирования лонгеты.
- Формирование гипсовой лонгеты — на ровную чистую поверхность выкладывают слой за слоем бинт определённой, заранее измеренной длины. Для различных частей тела количество слоев гипсовой лонгеты различно. Для предплечья, плеча — 5-6 слоёв, для голени — 8-10 слоёв, для бедра — 10-12 слоёв.
- Наложение повязки — после обработки ссадин раствором антисептика на все костные выступы, попадающие под иммобилизирующую повязку, укладываются кусочки ваты или ткани для предотвращения возникновения пролежней. Затем на конечность устанавливают гипсовую лонгету или её полимерный аналог, осуществляют циркулярное бинтование. При этом соблюдают следующие правила:
- Конечность, по возможности, находится в физиологически выгодном положении.
- Повязка должна обязательно охватывать два сустава — один дистальней, другой проксимальней места перелома.
- Бинт не перекручивают, а подрезают.
- Дистальные участки конечности (кончики пальцев) должны оставаться открытыми.
Последний пункт особенно важен. После наложения повязки может развиться отёк мягких тканей, и при появлении признаков отёка на дистальных частях конечности нужно рассечь повязку продольно, чтобы предотвратить развитие трофических изменений.[L 10]
Тракционные методы
Использование разных видов вытяжения — скелетного, реже — манжеточного, лейкопластырного, клеевого. Целью тракции является создание вытяжения, которое призвано нейтрализовать действие мышечных пластов, крепящихся к костным отломкам, предотвратить смещение их друг относительно друга и создать условия для адекватной регенерации костной ткани.
Скелетное вытяжение — метод тракции, при котором груз, обеспечивающий поддержание костных отломков в положении, оптимальном для регенерации, крепится к спице, проведённой через кость. Так, например, при переломах голени спица проводится через пяточную кость. При переломах бедра — через бугристость большеберцовой кости.
Груз, как правило, состоит из набора круглых пластин заданной массы, надетых на стержень. Масса пластин стандартна и составляет 500 и 1000 граммов. Он соединяется с металлическим тросом, который соединён с пружинным демпфером. Задачей демпфера является гашение колебаний, неизбежно возникающих при движении пациента в постели и смещении груза.
Скелетное вытяжение обладает как своими достоинствами, так и недостатками. К достоинствам относится относительная простота исполнения и эффективность тракции, надёжность фиксации груза. Недостатком является длительная вынужденная иммобилизация пациента, негативно сказывающаяся на его общем состоянии.
Прочие методы вытяжения применяются относительно редко из-за низкой эффективности. Это связано с невозможностью при данных методах фиксации крепления груза массой более 4—5 килограммов. Соответственно, оно может быть применено только при переломах небольших костей, которые могут быть адекватно репонированы и без тракционных методов лечения.
Принципы одинаковы для всех тракционных методов: дистальней места поражения крепится груз, обеспечивающий адекватное вытяжение. Масса груза зависит от кости, для которой проводится тракция. Виды вытяжений отличаются только способом крепления груза.[L 11]
Функциональные методы
Функциональными называются методы лечения без иммобилизации или с минимальной иммобилизацией повреждённого сегмента. Применяются относительно редко — в случае переломов небольших костей или трещин в трубчатых костях. Заключаются в обеспечении относительного покоя поражённого участка.
Оперативное лечение
Методы оперативного лечения возникли относительно недавно. Так, в России первая операция остеосинтеза была проведена в 1805 году Е. О. Мухиным.[L 5]
Зачастую переломы губчатых костей не могут быть адекватно восстановлены консервативными методами лечения. Так, например, переломы костей свода черепа требуют проведения металлоостеосинтеза, а переломы верхней или нижней челюсти для адекватного репонирования зачастую нуждаются в аппаратах внешней фиксации.
- Закрытая репозиция и чрезкожный металлостеосинтез. Фиксация костных отломков посредством спиц или пластин, проводимых через кожу.
- Малоинвазивный металлостеосинтез. Фиксация костных отломков пластиной, фиксируемой в костях винтами и расположенной подкожно.
- Открытая репозиция. Ручное репонирование костных отломков с последующей фиксацией штифтами, скобами или пластинами (в зависимости от ситуации) во время операции.
- Наложение аппарата внеочагового компрессионно-дистракционного остеосинтеза. Фиксация костных отломков посредством аппарата внешней фиксации (например, аппарата Илизарова).[13]
В случае неадекватности восстановления кости после проведённого лечения допускается повторная репозиция. В условиях операционной производится аккуратное разрушение неправильно сросшейся кости, и затем применяется один из хирургических методов лечения. Выбор методики осуществляется врачом в зависимости от локализации перелома, состояния пациента и многих других факторов.
Реабилитация
Вспомогательные методы лечения: лечебная гимнастика, массаж, физиотерапевтическое лечение, CPM-терапия. Сроки восстановления при переломах во многом определяются сложностью и локализацией перелома. Они варьируются от нескольких недель до нескольких месяцев. В некоторых случаях восстановление после перелома не происходит, формируется ложный сустав. В таких ситуациях применяют различные методы эндопротезирования.[L 12]
Примечания
- В. Г. Климовицкий, В. Ю. Худобин, В. Н. Пастернак, Ю. В. Прудников. Принципы стабильно-функционального внеочагового остеосинтеза при переломах длинных костей конечностей (недоступная ссылка). Научно-практическая конференция с международным участием. Донецкий НИИ травматологии и ортопедии (11 апреля 2003). Дата обращения: 5 ноября 2008. Архивировано 26 января 2012 года.
- История травматологии (недоступная ссылка). Травматология и ортопедия. Белорусский государственный медицинский университет. Дата обращения: 30 ноября 2008. Архивировано 16 января 2002 года.
- Костные отломки — осколки кости, возникшие в результате травматического воздействия.
- Рентгенодиагностика переломов скелета. Сайт НМУ. — (конспект, на русском). Дата обращения: 30 ноября 2008. Архивировано 26 января 2012 года.
- Хирургия в вопросах и ответах. Учебная литература для студентов медицинских вузов. Дата обращения: 7 ноября 2008.
- Лекция 10. Механизмы возникновения повреждений костей при действии тупых предметов. Повреждения костей черепа. 1. Механизмы возникновения повреждений костей. Лекции 6 курс. Судебная медицина. Медкурс.ру. Дата обращения: 8 ноября 2008. Архивировано 26 января 2012 года.
- Распространённость травматизма по результатам работы травматологического пункта Левобережного района г. Воронежа (недоступная ссылка). Конференции для молодых учёных. Общество молодых учёных ВГМА им. Н. Н. Бурденко. Дата обращения: 30 ноября 2008. Архивировано 7 мая 2013 года.
- Виды травматизма и организация травматологической помощи. Медицинская интернет-библиотека. Дата обращения: 30 ноября 2008. Архивировано 14 февраля 2009 года.
- Травматология и ортопедия (недоступная ссылка). Энциклопедия здоровье. Curemed.ru. Дата обращения: 30 ноября 2008. Архивировано 10 мая 2013 года.
- Травматизм (недоступная ссылка). Департамент здравоохранения Ханты-Мансийского Автономного округа — Югры. Дата обращения: 30 ноября 2008. Архивировано 9 февраля 2012 года.
- Справочник по травматологии и ортопедии. Патологические переломы (недоступная ссылка). Детская ортопедия. Дата обращения: 22 сентября 2008. Архивировано 16 октября 2007 года.
- Иммобилизация — обеспечение неподвижности костных отломков относительно друг друга
- Закрытые переломы и ложные суставы костей. Trauma.ru. Дата обращения: 16 февраля 2016.
- Использованная литература
- Петров С. В. Указ. соч. — С. 398.
- Петров С. В. Указ. соч. — С. 398—399.
- Петров С. В. Указ. соч. — С. 400, 437—441.
- Петров С. В. Указ. соч. — С. 392—398.
- Поляков В. А. Лекция 6. О переломах костей, их лечении и регенерации костной ткани. IV // Указ. соч.
- Петров С. В. Указ. соч. — С. 423.
- Петров С. В. Указ. соч. — С. 422—424.
- Петров С. В. Указ. соч. — С. 426—427.
- Поляков В. А. Лекция 4. Пролонгированные внутрикостные блокады в лечении травм и их осложнений // Указ. соч.
- Петров С. В. Указ. соч. — С. 433—434.
- Петров С. В. Указ. соч. — С. 435—436.
- Петров С. В. Указ. соч. — С. 441.
Литература
- Поляков В. А. Избранные лекции по травматологии. — М.: Медицина, 1980. — 272 с. — ISBN УДК 617—001(081).
- Петров С. В. Общая хирургия: Учебник для вузов. — 2-е изд. — 2004. — 768 с. — ISBN 5-318-00564-0.
- проф. В.М. Шаповалов, проф. А.И. Грицанов, доц. А.Н. Ерохов. Травматология и ортопедия / Под ред. проф. В.М. Шаповалова, проф. А.И. Грицанова, доц. А.Н. Ерохова.. — 2-е изд. — СПб.: ООО "Издательство Фоллиант", 2004. — 544 с.
Ссылки
- Травматология, виды переломов. Eurodoctor.ru (2006). Дата обращения: 22 сентября 2008.
- Ю.Hecтepeнкo. Скелетное вытяжение. Клиника «Ваше здоровье». Дата обращения: 27 сентября 2008.
- Замедленное сращение и стойкое несращение переломов костей. Дата обращения: 29 октября 2008.
- Периферическая количественная компьютерная томография в диагностике остеопороза и прогнозировании ассоциированных с ним переломов. (недоступная ссылка). Мед. вестник Свердловской областной клинической больницы №1, 4 (2), 2001. Дата обращения: 1 ноября 2008. Архивировано 30 марта 2008 года.

