Плечо (часть тела)
Плечо́ (лат. brachium) — отдел верхней конечности. Оно располагается между плечевым поясом и предплечьем, и соединяется с ними посредством плечевого сустава и локтевого соответственно.

Бытовое и научное названия


В обычном, не анатомическом словоупотреблении под плечом понимается не «верхняя часть руки», а часть туловища от шеи до руки. Анатомически эта часть соответствует плечевому суставу и надплечью, то есть — поясу верхних конечностей.
Анатомия плеча у человека
Скелет
Каркасом плеча служит плечевая кость.
Фасции и связки
Над мышцами располагается фасция, подкожная клетчатка и кожа.
Мышцы
В области плеча расположено две группы мышц: передняя (состоит из сгибателей) и задняя (состоит из разгибателей руки в плечевом и локтевом суставах).
- Передняя группа
| Мышца | Начало | Прикрепление | Функция |
|---|---|---|---|
| Клювовидно-плечевая мышца | Клювовидный отросток | Передняя поверхность средней трети плеча | Сгибает плечо в плечевом суставе |
| Двуглавая мышца плеча | Короткой головкой начинается от клювовидного отростка; длинная головка начинается от надсуставного бугорка лопатки | Бугристость лучевой кости | Сгибает плечо в плечевом и предплечье в локтевом суставах и супинирует предплечье |
| Плечевая мышца | От двух нижних третей передней поверхности плечевой кости, от медиальной и латеральной межмышечных перегородок | Бугристость локтевой кости | Сгибает предплечье |
- Задняя группа
| Мышца | Начало | Прикрепление | Функция |
|---|---|---|---|
| Трёхглавая мышца плеча | Длинная головка начинается от подсуставной бугристости лопатки; латеральная и медиальная — от задней стороны плечевой кости и межмышечных перегородок | Локтевой отросток локтевой кости | Разгибает руку в локтевом суставе (а длинная головка — также и в плечевом) |
| Локтевая мышца | Наружный надмыщелок плечевой кости | Задний край локтевой кости | Разгибает руку в локтевом суставе |
Кровеносные и лимфатические сосуды
Внутри мышечного массива и между мышцей и костью залегают глубокие сосуды и нервы. Из кровеносных сосудов: плечевая артерия и плечевые вены. Поверхностные нервы и сосуды располагаются в подкожной клетчатке.
Нервы
В плече проходят лучевой, локтевой и срединный нервы, поверхностные нервы.
Физиология плеча у человека
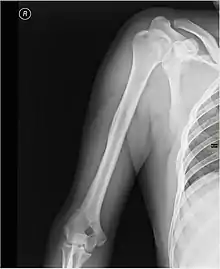
При травмах плеча возможно повреждение нервов и сосудов, а также переломы плечевой кости, наиболее частой локализацией которых является шейка плечевой кости.[1]
Примечания
- плечо // Перемышль — Пол. — М. : Советская энциклопедия, 1940. — Стб. 666. — (Большая советская энциклопедия : [в 66 т.] / гл. ред. О. Ю. Шмидт ; 1926—1947, т. 45).