Эпифизеолиз
Эпифизеолиз (новолат. epiphyseolysis; эпифиз + др.-греч. λύσις — распад, разрушение) — это травматическое повреждение хрящевой ткани в области соединения метафиза трубчатой кости с эпифизом. Эта зона подвержена травмам преимущественно до окончания периода роста конечностей в длину. У взрослых хрящи в этой области полностью заменены твердой тканью. В медицине болезнь еще называют переломом Солтера – Харриса по двум авторам, описавшим виды патологии. Разрушение хрящевой пластины приводит к асимметрии конечностей, деформации скелета, а иногда и к полному прекращению роста. Источник: https://xnog.ru/meditsina/sustavy/ehpifizeoliz/ Составляет около 15% от общего количества переломов у детей. Почти в половине случаев возникает в области лучезапястного и локтевого суставов. Мальчики страдают вдвое чаще девочек.
| Эпифизеолиз | |
|---|---|
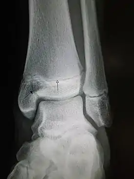
![]() Рентгеновский снимок голеностопного сустава с эпифизеолизом медиальной лодыжки. Черная стрелка - линия перелома, белая указывает на ростковую зону. | |
| eMedicine | radio/613 |
| MeSH | D000072042 |
Эпифизеолиз хорошо срастается, но поражение эпифизарной пластинки может повлечь за собой дальнейшее нарушение роста кости.
Самыми распространенными признаны эпифизеолизы и остеоэпифизеолизы. Они классифицируются как хондропатии и имеют код по МКБ 10 от М91 до М94 в зависимости от локализации поражения.
Заболевания встречаются только у детей и подростков до завершения процесса окостенения.
При остеоэпифизеолизе линия перелома переходит на диафиз.
Эпифизеолизы головок трубчатых костей наблюдаются у пациентов с эндокринными нарушениями, включающими недостаточность гормона роста.
Типы
Существуют девять типов перелома, 5 из которых описаны Robert B Salter и W Robert Harris в 1963 году[1], остальные, более редкие, описаны позже[2]:
- I тип — поперечный перелом через ростковую зону[3] : 6 % случаев
- II тип — Линия перелома проходит через ростковую зону и метафиз, не затрагивая эпифиз[4]: 75 % случаев
- III тип — Линия перелома проходит через ростковую зону и эпифиз, не затрагивая метафиз[5]: 8 % случаев
- IV тип — Линия перелома проходит через три элемента кости: ростковую зону, метафиз и эпифиз[6]: 10 % случаев
- V тип — Компрессионный перелом ростковой зоны, выглядящий на рентгенограмме в виде уменьшения её высоты (расстояния между эпифизом и диафизом)[7]: 1 % случаев
- VI тип — Повреждение периферической порции ростковой зоны, приводящей к формированию костного мостика и ангулярной деформации конечности (введён в 1969 году Mercer Rang)[8]
- VII тип — Изолированное повреждение ростковой зоны (типы VII—IX введены в 1982 году JA Ogden)[9]
- VIII тип — Изолированное повреждение ростковой зоны с возможным нарушением энхондрального костеобразования
- IX тип — Повреждение периоста с возможным нарушением эндесмального костеобразования
Причины В группу риска входят в основном мальчики. Процесс закрытия зоны роста у них происходит дольше, чем у девочек. Они более активны в быту и на отдыхе. Также переломам головки эпифиза подвержены люди, увлекающиеся следующими видами спорта: футбол; гимнастика: волейбол; прыжки в длину и высоту. Кроме физических нагрузок и травм, остеоэпифизеолиз могут спровоцировать патологии эндокринной системы и особенности строения скелета. Слишком худые и высокие дети подвержены перелому эпифиза чаще, чем имеющие нормостенический тип телосложения. У них повышена нагрузка на хрящевые пластины за счет дефицита мышечной массы. Источник: https://xnog.ru/meditsina/sustavy/ehpifizeoliz/
Изображения эпифизеолиза
- Рентгеновские снимки переломов Салтера-Харриса с вставками где показаны линии перелома
I тип — перелом дистального метаэпифиза лучевой кости.
Примечания
- Salter R.B., Harris W.R. Injuries Involving the Epiphyseal Plate (англ.) // Journal of Bone and Joint Surgery. — 1963. — Vol. 45, no. 3. — P. 587—622. Архивировано 6 сентября 2008 года.
- Fracture Imaging 412956, раздел Salter-Harris Fracture Imaging (англ.) на сайте EMedicine
- S.H. Type I — Wheeless' Textbook of Orthopaedics
- S.H. Type II — Wheeless' Textbook of Orthopaedics
- Salter Harris Type III Frx — Wheeless' Textbook of Orthopaedics
- Salter Harris: Type IV — Wheeless' Textbook of Orthopaedics
- Type V — Wheeless' Textbook of Orthopaedics
- The Growth Plate and Its Disorders (неопр.) / Rang, Mercer. — Harcourt Brace/Churchill Livingstone, 1968. — ISBN 9780443005688.
- JA Ogden. Skeletal growth mechanism injury patterns (неопр.) // J Pediatr Orthop. — 1982. — Т. 2, № 4. — С. 371—377. — PMID 7142386.
