Перелом шейки бедра
Перелом шейки бедра — патологическое состояние, возникающее в ходе нарушения анатомической целостности бедренной кости в области шейки бедра. Является одной из частых травм у пожилых людей, чаще женщин, в большинстве случаев обусловлен остеопорозом, лечится хирургическим путём. С переломом шейки бедра человек может рассчитывать на получение статуса инвалида. При свежем переломе — второй степени, при установленном эндопротезе— третьей.
| Перелом шейки бедра | |
|---|---|
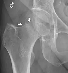
![]() Рентгенограмма, демонстрирующая перелом шейки бедра | |
| МКБ-10 | S72.0 |
| МКБ-9 | 820 |
| eMedicine | emerg/198 sports/48 |
| MeSH | D006620 |
Факторы риска
Факторы риска включают:
- Остеопороз.
- Другие метаболические заболевания костей, такие как Болезнь Педжета, остеомаляция, Мраморная болезнь и несовершенный остеогенез. Стресс-переломы могут возникнуть в области бедра при метаболическом заболевании костей.
- Повышенный уровень гомоцистеина, токсичной «естественной» аминокислоты.
- Доброкачественные или злокачественные первичные опухоли костей - редкая причина переломов бедра.
- Отложения метастатического рака в проксимальном отделе бедра могут ослабить кость и вызвать патологический перелом бедра.
- Инфекция в кости - редкая причина перелома бедра.
- Табакокурение (связанное с остеопорозом).
Хотя остеоартрит и остеопороз связаны с переломами костей с возрастом, падения из положения стоя являются непосредственной причиной большинства переломов у пожилых людей. При этом, направление падения является ключевым фактором. Пожилые люди имеют тенденцию падать в сторону вместо падения вперед, и таким образом ударяются о землю сначала боком бедра. При падении на бок вероятность перелома бедра у пожилых мужчин и женщин возрастает в 15 и 12 раз соответственно.
Пожилые люди предрасположены к переломам бедра из-за нескольких факторов включая снижение способности определять положение тела, снижение реакции, координации движений, баланса. Эти факторы, в свою очередь, могут быть связаны с приёмом множества лекарств, головокружением, пересенными инсультом и периферической невропатией.
Этиология
Перелом шейки бедра часто происходит вследствие наличия остеопороза, чаще у женщин пожилого возраста. Возможен при падении с высоты собственного роста — например, достаточно неудачно споткнуться или поскользнуться.
Как правило, травма развивается вследствие ударного воздействия, параллельного оси конечности — например, при падении на разогнутую ногу, когда колено не амортизирует удар. Также причиной травмы может быть удар в области тазобедренного сустава, перпендикулярный оси конечности, но, как правило, такая травма сопровождается повреждением костей таза.

Тазобедренный сустав представляет собой шарнирное соединение. Бедренная кость соединяется с вертлужной впадиной таза и выступает латерально, а затем изгибается в медиальной и нижней части, образуя колено. Система связок и хрящей стабилизирует три степени свободы сустава. Верхняя губа выравнивает окружность вертлужной впадины для обеспечения устойчивости и амортизации. Суставной хрящ покрывает вогнутую область вертлужной впадины, обеспечивая большую стабильность и амортизацию. Сам сустав окружает капсула, закрепленная за сухожилием поясничной мышцы и тремя связками. Подвздошно-бедренная, или Y-образная связка расположена впереди и служит для предотвращения перерастяжения бедра. Лобно-бедренная связка расположена спереди прямо под подвздошно-бедренной связкой и служит в первую очередь для сопротивления отведению, разгибанию и некоторому внешнему вращению. Наконец, ишиофеморальная связка на задней стороне капсулы сопротивляется растяжению, приведению и внутреннему вращению. При рассмотрении биомеханики переломов бедра важно понять механические нагрузки, которые испытывает бедро при падении.
Тазобедренный сустав отличается тем, что рассчитан на комбинированные механические нагрузки. Осевая нагрузка вдоль стержня бедренной кости приводит к сжимающему напряжению. Изгибающая нагрузка на шейку бедренной кости вызывает растягивающее напряжение в верхней части шейки и сжимающее напряжение в нижней части шейки.
Клиника
Наиболее распространённая жалоба - боль в области тазобедренного сустава, иррадиирующая в пах. Частой жалобой является невозможность опоры на поражённую конечность. Патогномоничен для данной патологии симптом "прилипшей пятки" - невозможность оторвать пятку выпрямленной поражённой конечности от поверхности (каталки или кушетки).
Переломы шейки бедренной кости со смещением обычно вызывают наружную ротацию и укорочение конечности, когда пациент лежит на спине.
Диагностика
Диагноз выставляется на основании:
1) Жалоб — больной отмечает невозможность осевой нагрузки на поврежденную конечность, боль в паху, в области тазобедренного сустава (позже боль может иррадиировать в голень). В покое боль выражена не резко и усиливается при попытке движений в тазобедренном суставе.
2) Анамнеза — больной отмечает факт падения, повреждения, пострадавшей конечности.
3) Клинической картины — отмечается нарушение оси нижней конечности (наружная ротация надколенника и стопы), и невозможность активной внутренней ротации ноги. Нагрузка по оси бедра и на большой вертел резко болезненна в зоне перелома. Характерен положительный симптом «прилипшей пятки» — больной не может поднять прямую ногу из положения лежа на спине. Определяется относительное укорочение ноги на 2-3 см при отсутствии абсолютного укорочения. Приведенная клиническая картина позволяет с большой долей вероятности заподозрить перелом шейки бедра.
4) Данных рентгенологического обследования — выполняется рентгенография тазобедренного сустава в прямой проекции. Наличие линии перелома на рентгенограмме служит окончательным, объективным подтверждением предварительно выставленного диагноза. Иногда для постановки диагноза может потребоваться магнитно-резонансная томография или компьютерная томография.
В большинстве случаев достаточно выполнения рентгенограммы в прямой проекции. В ситуациях, когда есть подозрение на перелом шейки бедра, но оно не выявлено на рентгеновском снимке, следующим методом исследования является КТ. В редких случаях для подтверждения диагноза используется МРТ - диагностика.
Случай, демонстрирующий возможный порядок исследования изначально незаметных проявлений:



Классификация

Заключение о виде перелома делается обычно на основании рентгенограмм во фронтальной проекции или КТ-картины.
| Капсула | Область | Подвид |
|---|---|---|
| Внутрикапсульный (Intracapsular) | головка бедра (femoral head) | AO 31C1-31C3 |
| Шейка бедра | Субкапитальный, Трансцервикальный, Базальный AO 31B1-31B3 | |
| Внекапсульный | Вертельный | Межвертельный AO 31A1-31A2, Чрезвертельный AO 31A3, Подвертельный AO 32 |
Внекапсульные (медиальные) переломы шейки бедра подразделяются на межвертельные (линия перелома проходит между большим и малым вертелами, при этом малый вертел остаётся интактным), чрезвертельные (линия перелома проходит через оба вертела, при этом ломается и малый вертел) и подвертельные (линия перелома проходит дистальнее малого вертела). Правильное определение типа перелома позволяет правильно выбрать тактику лечения, которая может существенно различаться для того или иного вида повреждения.
Лечение
На догоспитальном этапе (на этапе скорой помощи) выполняется обезболивание (как правило, заключающееся в парэнтеральном введении Нестероидных противовоспалительных препаратов или Трамадола) , транспортная иммобилизация на щите с фиксацией тазобедренного сустава на стороне повреждения или шиной Дитерихса. В редких случаях выполняется коррекция артериального давления и противошоковая терапия.
Варианты лечения на госпитальном этапе:
- Иммобилизация тазобедренного сустава гипсом («деротационная» гипсовая лонгета) и консервативное лечение. Эффективность данного метода невысока, в ходе лечения возможно формирование пролежней и развитие атрофии мышц.
- Поскольку пациентам чаще всего требуется операция, выполняют полное предоперационное обследование. Обычно оно включает анализы крови, ЭКГ и рентген грудной клетки. Если состояние здоровья человека позволяет, операция обычно рекомендуется в течение двух дней.
- Остеосинтез шейки бедра винтами или штифтами. Данная методика значительно более эффективна, чем консервативное лечение, но возможны различные осложнения (формирование "ложного сустава" и остеомиелита).
- Эндопротезирование — замена тазобедренного сустава на искусственный сустав. Различают "цементное" и "бесцементное" эндопротезирование. Вариант без цементирования эндопротеза менее пригоден для пожилых людей. Основное осложнение — ятрогенный остеомиелит (нагноение). На эндопротезирование в России распространяется практика выделения бюджетных средств «на высокотехнологическую помощь» — квот. На получение квоты и на выполнение операций по квоте имеется очередь на год-полтора в связи с тем, что это не экстренная помощь и не спасение жизни, а лишь «повышение качества жизни» — почти аналогично пластическим операциям.
С переломом шейки бедра человек может рассчитывать на получение статуса инвалида. При свежем переломе — второй степени, при установленном эндопротезе— третьей.
Большинство переломов шейки бедра лечат хирургически, путём имплантации протеза. Хирургическое лечение перевешивает риски нехирургического лечения, требующего длительного постельного режима. Длительная иммобилизация увеличивает риск тромбоэмболии, пневмонии, потери мышечной массы и пролежней. Тем не менее, операция - это серьезный стресс, особенно у пожилых людей. Боль также значительна и может привести к иммобилизации, поэтому пациентам рекомендуется как можно скорее стать мобильными, часто с помощью физиотерапии. Польза растяжки в ожидании операции не подтверждается исследованиями. Регионарная блокада нервов полезна для купирования боли при переломах бедра. Операция может выполняться под общей анестезией или нейроаксиальной техникой - выбор основан на хирургических факторах и факторах пациента. Выбор анестезии не влияет на летальность и постоперационные осложнения, включая пневмонию, инфаркт миокарда, инсульт или спутанность сознания.
При операции обычно необходимо переливание крови.
Если риск хирургического вмешательства считается слишком высоким, основной упор в лечении делается на обезболивание. Тогда растяжку можно рассматривать в качестве долгосрочного лечения. Необходима интенсивная физиотерапия грудной клетки для снижения риска пневмонии, а также квалифицированная реабилитация и уход, чтобы избежать пролежней и тромбоэмболии легочной артерии. Большинство людей будут прикованы к постели в течение нескольких месяцев. Безоперационное лечение в настоящее время показано только для наиболее нестабильных с медицинской точки зрения пациентов и пациентов со слабоумием.
Реабилитация
Доказано, что реабилитация улучшает функционирование сустава. У сорока процентов людей с переломами бедра также диагностируется деменция или легкие когнитивные нарушения, которые часто приводят к худшим послеоперационным исходам. В таких случаях было показано, что улучшенные модели реабилитации и ухода имеют ограниченный положительный эффект в плане сокращения делириума продолжительности пребывания в больнице. Неясно, влияет ли использование анаболических стероидов на выздоровление.
Пероральные добавки с белком, витаминами и минералами, принимаемые до или сразу после операции, могут предотвратить осложнения в течение первого года после перелома бедра у пожилых людей.
Прогноз
При успешном эндопротезировании тазобедренного сустава прогноз условно благоприятный, без протезирования прогноз условно неблагоприятный. Травма приводит к инвалидизации больного. В некоторых случаях при протезировании тазобедренного сустава происходит отторжение протеза, что приводит к невозможности восстановления функции сустава. Смертность от стресса после операции и травмы в первые тридцать дней составляет около 10 %. Через год после перелома она может достигать 30 %.
Среди пострадавших старше 65 лет 40 % переводятся непосредственно в учреждения длительного ухода, учреждения долгосрочной реабилитации или дома престарелых; большинство пострадавших нуждаются в повседневной помощи со стороны семьи или органов соцобеспечения по уходу на дому. 50% постоянно нуждаются в ходунках, трости или костылях для передвижения; всем требуется помощь в мобильности на протяжении всего процесса восстановления. В основном восстановление способности ходить и повседневной активности происходит в течение 6 месяцев после перелома. После перелома около половины пожилых людей восстанавливают свой уровень мобильности и способность выполнять инструментальную деятельность в повседневной жизни, а у 40–70 % восстанавливается уровень независимости для основных повседневных действий.
Примечания
Ссылки
https://www.ayzdorov.ru/lechenie_perelomi_kosteii_sheiiki_bedra.php
https://sgc-opeca.ru/msk/news/simptomy-pereloma-sheyki-bedra-u-pozhilykh-lyudey/
https://perelomkocti.ru/travmy/perelom-shejki-bedra-u-pozhilyh-lyudej
https://lfkplus.ru/lfk-pri-travmax/perelome-shejki-bedra.html
