Перелом плюсневых костей
Перелом плюсневых костей — перелом плюсневой кости стопы. Перелом часто располагается в средней части стопы. Пациенты с переломом испытывают боль в этой области, отек и трудности при ходьбе. Отдельный тип перелома пятой плюсневой кости был впервые описан британским хирургом-ортопедом Робертом Джонсоном в работе «Annals of Surgery»(Анналы хирургии) 1902 года.[1]
| Перелом плюсневых костей | |
|---|---|
![]() Пятая плюсневая кость | |
| МКБ-10 | S92.3 |
| МКБ-9 | 825.25, 825.35 |
| eMedicine | radio/850 |


Диагностика
Пациента с данным переломом могут подозревать на растяжения связок.
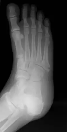
Диагноз ставится после рентгеновского исследования. Для большей точности диагноза рентген делают с разных углов и положений.
Лечение
Если перелом незначителен, то можно обойтись наложением шины (гипса) и покоем (отсутствием нагрузки) в течение четырёх—восьми недель. Таких переломов примерно три четверти от общего числа. В случае острого разрушения нужна внутренняя фиксация с помощью винтов.
Другими методами лечения обычно являются рекомендации увеличения потребления витамина D и кальция.
Прогноз
Перелом может перейти в хроническое заболевание. В таком случае пациенту рекомендуется провести в гипсе больше времени, до двадцати недель.
См. также
Примечания
- Jones, Robert. I. Fracture of the Base of the Fifth Metatarsal Bone by Indirect Violence. (англ.) // Annals of Surgery : journal. — 1902. — June (vol. 35, no. 6). — P. 697—700. — PMID 17861128.
Ссылки
- Jones fracture — wheelessonline.com
- Jones fracture — about.com
