Нейрохирургия
Нейрохирургия — раздел хирургии, занимающийся вопросами оперативного лечения заболеваний и травм нервной системы, включая головной мозг, спинной мозг и периферическую нервную систему[1]. Врач, специализирующийся в области нейрохирургии, — нейрохирург.

Выделение нейрохирургии в отдельную медицинскую специальность произошло на рубеже XIX и XX веков, но корни её уходят в глубокую древность. Так, в оставшемся от цивилизации инков Перуанском некрополе примерно 10 % черепов имеют следы трепанации, причем характер костных изменений указывает на то, что большинство больных успешно переносили операцию. Около 1/3 трепанаций выполнялось по поводу черепно-мозговых повреждений. Показания к трепанации черепа в остальных 2/3 случаев остаются неясными. Трепанация производилась путём выскабливания кости, а также с помощью долот, кусачек и конических фрез. Инки осуществляли и пластику костных дефектов золотыми или серебряными пластинами.

История и персоналии
XVI век
- Первое чисто нейрохирургическое руководство («Tractatus de Fractura Calvae sive Cranei a Carpo editus») опубликовано в 1518 году в Болонье за авторством Беренгарио да Карпи. Работа посвящена в первую очередь описанию успешного лечения автором перелома затылочной кости у Лоренцо де Медичи, но в ней даны и обобщающие рекомендации.
- Большой вклад в развитие техники трепанации внёс Амбруаз Паре, который подробно описал инструментарий и методику трепанации, удаления остеомиелитически изменённой кости, дренирования субдуральных гематом и эмпием, предложил методику репозиции вдавленных переломов черепа.
XVII век


- Развитие нейроанатомии в XVII веке связано в первую очередь с именем Томаса Уиллиса. Опубликованная им в Лондоне в 1664 году «Мозговая анатомия» («Cerebri Anatomie») являлась наиболее точным для своего времени руководством. Уиллис также первым предложил термин «неврология», понимая его в чисто анатомическом смысле, то есть как науку о нейронах (а не как клиническую дисциплину).
- Одновременно с анатомической наукой развивалась хирургическая техника. В книге Иоханнеса Шульца «Armamentarium Chirurgicum», переведённой с латинского на многие языки, приведены описание и изображения множества использовавшихся тогда для трепанации инструментов, среди которых имеются похожие на современные распаторы, элеваторы, кусачки.
XVIII век

- К началу XVIII века в европейских странах произошёл переход от кустарного изготовления медицинских инструментов к промышленному. В России также было налажено изготовление медицинских инструментов, и с 1738 года все штатные врачи, в том числе военные, имели полноценные (для своего времени) хирургические наборы, включая инструменты для трепанации. В 1744 году Мартын Шеин издал первый русский анатомический атлас. Трепанация черепа в России традиционно применялась в то время при черепно-мозговых травмах (ЧМТ), владеть её техникой был обязан каждый дипломированный врач. Среди экзаменационных вопросов по хирургии трепанации черепа уделялось первостепенное значение.
- Вторая половина XVIII века характеризуется дальнейшим прогрессом медицинской науки и практики. Kонцепция патологической анатомии Джованни Морганьи, связывающая каждую нозологию со специфическим патологическим субстратом, изменила философию всей европейской медицины и в том числе обосновала целесообразность удаления опухоли любой локализации. Первые нейроонкологические операции в истории медицины были выполнены по поводу гиперостотических (вызывающих локальное утолщение кости) или разрушающих кость опухолей свода черепа. Связано это с относительной простотой прижизненной диагностики таких новообразований. Этот опыт был обобщён в 1773 году выдающимся французским хирургом Антуаном Луи в руководстве «Memoire sur les Tumeurs Fongeuses de la Dure-mere», основанном на 20 случаях, первые из которых датированы серединой XVI века, но в основном операции были произведены либо автором, либо его современниками.
XIX век
- Однако, несмотря на отдельные исключения, показатели летальности при нейрохирургических вмешательствах и в первой половине XIX века были катастрофическими. Так, в Париже в 1835—1841 гг. скончались все больные, которым производилась трепанация черепа. Бытовало мнение, что трепанация, даже без рассечения твёрдой мозговой оболочки (ТМО), опаснее собственно ЧМТ, не говоря уже об опухоли; нередко апологетов трепанации обвиняли в психическом нездоровье.
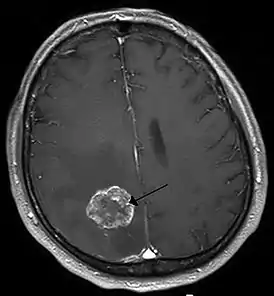
Опухоль головного мозга визуализированная с помощью МРТ - 26 мая 1803 г. профессоор Е. О. Мухин провёл в Москве в Голицынской больнице первую в истории России успешную нейрохирургическую операцию[2]. В 1807—1808 гг. в Санкт-Петербурге было издано оригинальное «Руководство к преподаванию хирургии» И. Ф. Буша. В разделе «О повреждениях черепа» автор рекомендовал производить рассечение раны мягких тканей c удалением мелких свободно лежащих костных фрагментов, инородных тел и сгустков крови; крупные костные фрагменты рекомендовалось трепанировать, обнаруженным внутричерепным кровоизлияниям «давать выход». Выполнение собственно трепанации, то есть расширения имевшегося костного дефекта, рекомендовалось только при наличии симптомов сдавления мозга, к каковым относились головная боль, судороги, воспаление и лихорадка и при больших кровоизлияниях — сужение зрачка, замедление пульса и нарушения дыхания.
- В первой половине XIX века в России трепанаций выполнялось немного, в основном — по строго обоснованным показаниям. Так, Н. Ф. Арендт, выполнивший около 1000 больших операций, произвёл всего от 15 до 20 трепанаций, после которых выжили 3 раненых. Опубликованное в 1840 году «Руководство к оперативной хирургии» академика Христиана Соломона (Соломон Х. Х., 1797−1851) явилось квинтэссенцией опыта отечественной хирургии до Пирогова. В отношении повреждений черепа и мозга Соломон придерживался в основном взглядов Буша. Примечательно, что в этом руководстве впервые содержалась рекомендация применять пчелиный воск для гемостаза при трепанации.
- Вероятно, первая в России операция по поводу внутричерепной опухоли была выполнена в 1844 году профессором Харьковского университета, венецианцем по происхождению Тито Ванцетти (Tito Vanzetti, 1809−1888)[3]. Автор описал наблюдение больного с гигантским новообразованием правой половины головы и основания черепа без признаков нарушения функций мозга. На операции вместо предполагавшейся кисты была обнаружена плотная опухоль, удалённая хирургом в пределах возможного. Больной скончался на 32-е сутки от инфекционных осложнений.
- Опыт российской хирургии середины XIX века нашёл отражение в «Началах общей военно-полевой хирургии» Н. И. Пирогова, опубликованных в Дрездене в 1865—1866 годах. Николай Иванович Пирогов представил комплексный анализ морфологических изменений и как патофизиологических, так и саногенетических механизмов, сопровождающих черепно-мозговые повреждения. Всего он произвёл около 20 трепанаций как в остром, так и в отдалённом периоде черепно-мозговых повреждений. Статистика исходов не ясна. Особое значение для развития нейрохирургии сыграл ранний (1851−1854) труд Н. И. Пирогова — известный «ледяной» атлас, заложивший основы топографической анатомии. Опубликованные в 1-й части атласа (1851) рисунки распилов головы поражают точностью и напоминают современные компьютерные томограммы.

- К середине XIX века была создана анатомическая и техническая база для развития нейрохирургии, накоплен некоторый клинический опыт. Общая анестезия (в 1844 г. Horace Wells, 1815−1848, предложил закись азота[4]; в 1846 г. химик W. T. O. Morton, 1819−1868, и хирург J. C. Warren, 1778−1856, применили эфир[5]; J. Y. Simpson, 1811−1870, в 1847 г. — хлороформ[6]) позволила удлинить время операции и лучше ориентироваться в ране. Однако вскрытие твёрдой мозговой оболочки оставалось шагом, влекущим за собой катастрофические последствия в виде инфекционных осложнений. Лондонский хирург Чарльз Балланс (Sir Charles Ballance, 1856−1936), в 1894 году диагностировавший и успешно удаливший невриному слухового нерва[7], в Листеровской лекции 1933 года охарактеризовал ситуацию 70-х годов XIX века как «паралич хирургии … в связи с нагноением, целлюлитом, рожистым воспалением, септицемией, пиемией, острой травматической гангреной и столбняком — болезнями, для которых не существовало средств профилактики и лечения». Показательные операции производились в аудитории на несколько сотен человек. «Хирург оперировал в сюртуке, который … хранился в операционном театре. Он был перепачкан кровью и гноем от прошлых операций. Инструменты лежали на подносе, покрытом зеленым сукном. Когда требовалась лигатура, служитель театра натягивал её левой рукой, держа другой конец в зубах, натирал воском и передавал хирургу».
- Пожалуй, первая в истории медицины операция удаления диагностированной по клиническим проявлениям менингиомы без конвекситального гиперостоза была произведена в 1884 году итальянским врачом Франческо Дуранте (Francesco Durante, 1845−1934)[8]. Больная выжила и вновь успешно была через 11 лет оперирована по поводу продолженного роста опухоли. Возможность постановки топического диагноза, точность которого значительно возросла с появлением работ В. М. Бехтерева, поставила не менее актуальную и сегодня задачу выбора оптимального хирургического доступа к выявленному объёмному образованию. Однако отсутствие каких-либо нейровизуализационных методик делало её крайне сложной.
- Первый успешный опыт удаления менингиомы в Северной Америке принадлежит Виллиаму В. Кину (Willium W. Keen), успешно прооперировавшему 26-летнего мастера изготовления карет в 1887 году[9][10]. Во многом своему успеху он обязан применению правил антисептики — из операционной убрали ковёр и протёрли стены и потолок. Эти несложные принципы антисептики нашли широкое применение в практике и в дальнейшем сделали возможным выполнение нейрохирургических вмешательств без смертельных инфекционных осложнений.
- Оригинальное решение задачи проекции очага на поверхность черепа принадлежит Д. Н. Зернову, который в 1889 году предложил для определения на черепе проекции различных частей мозга прибор, названный энцефалометром[11]. Прибор фиксировался в стандартных точках, практически параллельно орбитомеатальной линии, и обеспечивал сопоставление всех измерений с атласом. До последних десятилетий XIX века все трепанации в мире были резекционными. В 1873 году доктор медицины Юлиан Космовский показал возможность успешного приживления свободного костного лоскута[12]. Немецкий хирург Вильгельм Вагнер (Wilhelm Wagner, 1848−1900) в 1889 году предложил сохранять «ножку» из надкостницы и височной мышцы, обеспечивающую питание костного лоскута, и эта техника на многие годы стала классической[13].
- Технически выполнение костно-пластической трепанации черепа до конца XIX века было сложным. Основными инструментами оставались долото и молоток. В 1891 году профессор Жан Туасон (Jean Toison) из Лилля (Франция) использовал цепную пилу для соединения фрезевых отверстий. Пила была довольно грубой и широкого применения не получила.
- Леонардо Джильи (Leonardo Gigli, 1863−1908), акушер из Флоренции, предложил в 1894 году проволочную пилу для симфизотомии для обеспечения большего пространства родовых путей при малых размерах таза. Идея изобретения посетила автора во время одного из банкетов, когда он увидел как один из гостей использовал зазубренный нож[14]. Как и сейчас, пилы Джильи были одноразовыми. Профессор Альфред Обалинский (Alfred Obalinski) из Краковского университета вскоре применил пилу Джильи для трепанации.

- Впервые необходимость выделения нейрохирургии в отдельную специальность обосновал профессор Казанского университета хирург Лев Александрович Малиновский. В феврале 1893 года в докладе «К вопросу о хирургическом лечении болезней центральной нервной системы», прочитанном на заседании Общества невропатологов и психиатров при Казанском университете, Малиновский чётко сформулировал основные принципы нейрохирургии и поставил вопрос о специальной подготовке хирурга, оперирующего на ЦНС. Практически это положение реализовано В. М. Бехтеревым, по инициативе которого в 1897 году в Санкт-Петербурге была открыта Нервная клиника Императорской военно-медицинской академии, впервые в мире включавшая в свою структуру операционную и «обособленное помещение для оперируемых» (то есть нейрохирургические палаты). Ученик В. М. Бехтерева Людвиг Мартынович Пуусепп — первый в мире профессиональный нейрохирург — внёс большой вклад в становление нейрохирургии как самостоятельной специальности.
- Однако дальнейшее развитие нейрохирургии сдерживалось отсутствием объективных диагностических методов, что вело к большому числу ошибок. Открытие 8 ноября 1895 года Вильгельмом Рентгеном Х-лучей принципиально изменило возможности прижизненной диагностики различных заболеваний, включая патологические процессы в полости черепа.
XX век
- Большой вклад в развитие нейрохирургической техники внёс Тьери де Мартель. Основными его изобретениями являются предложенные в 1908 году применяемый доныне металлический проводник для пилы Джильи и электрический трепан, самоудерживающийся ретрактор, специальный хирургический стол для операций в сидячем положении и соответствующее кресло для хирурга. Также де Мартель впервые применил кинодокументацию операций и одним из первых — интраоперационную фотографию.
- Одним из основоположников мировой нейрохирургии признан Харви Кушинг. Его работы по лечению опухолей гипофиза (1912), мосто-мозжечкового угла (1917) и внутричерепных менингиом (1938) стали классическими и для современных нейрохирургов. Предложенные Кушингом вакуумный аспиратор, промывание раны в ходе операции физиологическим раствором, ватные полоски для защиты мозга и многие другие инновации и сегодня используются в ходе нейрохирургических вмешательств.
- Многим обязана современная нейрохирургия и другому американскому нейрохирургу — Уолтеру Денди. Он учился у Кушинга, затем стал работать самостоятельно и добился блестящих результатов, в первую очередь в плане радикальности нейроонкологических вмешательств. Он впервые разработал и реализовал концепцию палаты пробуждения, оснащённой соответствующей аппаратурой и постоянным сестринским постом. Не менее важным вкладом Денди в нейрохирургию, чем хирургические достижения, явилась разработка таких диагностических методов, как пневмовентрикулография (1918) и пневмоэнцефалография с эндолюмбальным введением воздуха (1919). Эти методы кардинально изменили ситуацию с диагностикой различных поражений мозга.
- Следующим революционным изобретением в нейрохирургии явилась разработанная в 1927—1934 гг. Антониу Эгашем Монишем методика церебральной ангиографии, обеспечившая возможность точной диагностики и дифференцированного лечения поражений сосудов мозга. Основываясь на данных церебральной ангиографии, Уолтер Денди в 1936 году впервые осуществил клипирование внутричерепной артериальной аневризмы.
- Первая мировая война вновь заставила решать вопросы оказания помощи раненым с поражением нервной системы. В 1915 году в России был создан первый в мире специализированный госпиталь для пострадавших с травмой нервной системы — Петроградский первый местный военный лазарет им. Н. И. Пирогова для нервнораненых (на 900 коек). Важным этапом развития нейрохирургии в России стало создание А. Л. Поленовым в 1917 году в Петрограде Физико-хирургического института, преобразованного в 1924 году в Государственный травматологический институт с нейрохирургическим отделением, которое он возглавил в 1931 году. Благодаря усилиям ученика Людвига Пуусеппа А. Г. Молоткова (1874−1950), в 1925 году был основан Институт хирургической невропатологии, после слияния которого с нейрохирургическим отделением Травматологического института в 1938 году был создан Российский нейрохирургический институт, носящий в настоящее время имя А. Л. Поленова.
- В начале 20-х годов в СССР стали открываться нейрохирургические отделения на базе хирургических или неврологических клиник (В. Н. Шамов и А. М. Гринштейн в 1923 г. в Харькове, В. Н. Шамов и С. С. Гольдман в 1924 г. в Военно-медицинской академии в Ленинграде, С. И. Спасокукоцкий и А. Н. Бакулев в 1924 г. в Саратове, П. О. Эмдин и В. А. Никольский в 1925 г. в Ростове-на-Дону и др.), в которых работали общие хирурги и невропатологи. Был опубликован ряд руководств, из которых необходимо отметить сыгравшее большую роль в повышении качества неврологической диагностики руководство В. В. Крамера «Учение о локализациях» (1929).
- Особое значение для отечественной нейрохирургии имело создание Н. Н. Бурденко (1876−1946) в 1924 году на базе Клиники факультетской хирургии 1-го Московского медицинского института нейрохирургических палат. Верно оценив перспективы новой специальности и подготовив группу специалистов, в 1929 году Н. Н. Бурденко с В. В. Крамером на базе Государственного рентгеновского института организовали нейрохирургическую клинику, превратившуюся в 1932 году в Центральный нейрохирургический научно-исследовательский институт (ныне — Научно-исследовательский институт нейрохирургии им. академика Н. Н. Бурденко).
- Сложившаяся в Советском Союзе система оказания нейрохирургической помощи обеспечила возможность планирования научных исследований, организацию обучения и стандартизацию лечебно-диагностических мероприятий в масштабах всей огромной страны. Для этой цели при Центральном нейрохирургическом институте был создан Нейрохирургический совет, на основе которого возникло Общество нейрохирургов СССР и затем — России. В 1937 году усилиями Н. Н. Бурденко был создан журнал «Вопросы нейрохирургии».
- В военные и послевоенные годы основное внимание, естественно, уделялось лечению повреждений ЦНС. Колоссальный экономический ущерб не мог не затормозить развитие такой высокотехнологичной науки, как нейрохирургия.
- Радикально изменило нейрохирургию предложение Вильяма Хауза (W.F. House) использовать для операций на мозге микроскоп и специальный микрохирургический инструментарий (1963). Практически одновременно операционный микроскоп стали использовать W. Lougheed, Th. Kurze, R. Rand, J. Jacobson, M. G. Yasargil и другие нейрохирурги. Существенную роль сыграло предложение Леонарда Малиса (L.I. Malis) использовать для остановки кровотечения биполярную коагуляцию.
- Значительный вклад в развитие способов лечения поражений сосудов мозга, в первую очередь — артериальных и артериовенозных аневризм, внесли Ч. Дрейк (Ch. Drake, Канада), М. Яшаргил (M.G. Yasargil, Швейцария), К. Сугита (K. Sugita, Япония). Прорыв в сосудистой хирургии связан с изобретением в 1971 году Ф. А. Сербиненко отделяемого баллон-катетера. Технология эндовазальных вмешательств успешно совершенствуется и всё шире используется для лечения целого ряда сосудистых заболеваний ЦНС, включая такие опасные, как артериальные аневризмы и артериовенозные мальформации.
- Одновременно с общей нейрохирургией с середины прошлого столетия как относительно самостоятельный её раздел стала развиваться педиатрическая нейрохирургия. В России пионером педиатрической нейрохирургии был А. А. Арендт, возглавивший первое в СССР детское нейрохирургическое отделение. Важным для развития педиатрической нейрохирургии было предложение ряда авторов использовать для лечения гидроцефалии — распространённого в детском возрасте заболевания — клапанных шунтирующих систем, обеспечивающих отведение ликвора за пределы ЦНС (в венозную систему, в брюшную полость).
- К числу технических нововведений, существенно расширивших возможности лечения заболеваний нервной системы, необходимо отнести использование эндоскопических методик.
- Истинный «прорыв» в развитии нейрохирургии связан с появлением нейровизуализационных методик — КТ (G. Hounsfield, J. Ambrose, 1971), цифровой ангиографии и затем — магнитно-резонансной томографии. Возможность визуализации патологического очага позволила применять щадящие, минимально инвазивные доступы, что существенно снизило летальность и повысило качество жизни больных после нейрохирургических вмешательств. Одновременно появилась возможность при проведении стереотаксических вмешательств опираться не на усреднённые данные атласов, а воздействовать на индивидуально определённую «мишень».
- Компьютеризация медицинских приборов привела не только к расширению возможностей диагностики, но и к созданию новых имплантируемых компьютерных устройств, применяемых в лечении боли, гиперкинезов, спастичности, нарушений слуха.
- Развитие нейрохирургии во второй половине XX века обеспечило техническую возможность вмешательства на любых структурах центральной и периферической нервной системы. Однако понятно, что злокачественный характер большинства внутричерепных опухолей не позволяет рассчитывать на хирургию как на единственный способ лечения.
- В этих условиях интенсивно развиваются прецизионные, стереотаксически ориентированные лучевые методики, позволяющие подвести к очагу патологического процесса высокую дозу лучевой энергии при минимальном воздействии на здоровые ткани: предложенный Ларсом Лекселлом (L. Lexell) в 1951 году гамма-нож, линейные ускорители и установки, обеспечивающие облучение пучком протонов или более тяжёлых частиц.
- Наконец, существенную роль в развитии нейрохирургии сыграло развитие фармацевтической промышленности, обеспечившей врачей как средствами борьбы с отёком мозга, противосудорожными и многими другими препаратами, так и цитостатиками, успешно применяемыми в лечении ранее неизлечимых опухолей ЦНС, например медуллобластомы.
Нейрохирургия фокусированным ультразвуком под контролем МРТ
- В XXI веке возникает новое направление - нейрохирургическое воздействие фокусированным ультразвуком под контролем магнитно-резонансной томографии (МРФУЗ). Метод хирургического воздействия можно сравнить со скальпелем, который появляется внутри мозга, причем только в том случае, когда хирург уверен, что правильно выбрал участок мозга. Достигается это с помощью объединения двух технологий: магнитно-резонансной томографии и специального шлема, содержащего более тысячи ультразвуковых передатчиков, способного сфокусировать ультразвуковые волны 620 – 720 kHz 30 kJ с фокусным расстоянием 135 – 165 мм в точку 1.5 x 1.5 x 3 мм. Фокусируясь в точке, намеченной на МРТ снимке пациента, эти ультразвуковые волны нагревают её до температуры, когда происходит "усыпление" нейронов - они выключаются. Временное выключение нейронов в этой точке позволяет проверить правильность выбора очага воздействия. Нейрохирург проверяет исчезновение симптомов и отсутствие побочных эффектов. В случае, если симптомы не исчезли или появились неврологические нарушения, достаточно трех минут для охлаждения точки пробного воздействия до температуры тела, что приводит к полному восстановлению к исходному состоянию. Если нейрохирург уверен в правильности попадания, он производит лечебное воздействие в этой же точке, но большей температурой, когда воздействие становиться необратимым. Например, возможно смоделировать воздействие на предположительный очаг тремора и затем, при уверенности в правильном выборе точки воздействия, провести стойкое устранение тремора[15][16]. Таким образом, появляется возможность проводить нейрохирургические операции без глубоких разрезов, без необходимости наркоза, без крови, предсказуемо, в амбулаторных условиях и условиях дневного стационара.
- В России оборудование для МРФУЗ зарегистрировано[17] и первую в России нейрохирургическую операцию фокусированным ультразвуком провела бригада нейрохирурга Резиды Маратовны Галимовой в городе Уфе, Республика Башкортостан 5 мая 2020 года[18][19].
Операционная МРФУЗ с пациентом в шлеме, хирургической бригадой (вид сверху)

- В настоящее время имеются публикации о лечении фокусированным ультразвуком следующих заболеваний:
- Эссенциальный тремор. Лечение фокусированным ультразвуком под контролем МРТ одобрено FDA в 2016 году.[20].
- Болезнь Паркинсона.[21]
- Дистония. Механизм: воздействие на очаг.[22]
- Опухоли мозга. Лечение проводится с помощью наночастиц, которые вводятся внутривенно и доставляют лекарственный препарат. Лекарство преодолевает гематоэнцефалический барьер при воздействии ультразвуком на наночастицы в точке, где доставка лекарства необходима.[23]
- Болезнь Альцгеймера и деменции. Механизм: открытие гематоэнцефалического барьера для доставки лекарств фокусированным ультразвуком под контролем МРТ.[24]
- Депрессия, расстройства настроения и психиатрические заболевания.[25]
- Эпилепсия.[26]
- Дистония. Механизм: воздействие на очаг.[22]
- Гидроцефалия. Механизм: создание тоннеля с помощью кавитации.[27]
- Острое нарушение мозгового кровообращения.[28]
- Невралгия тройничного нерва.[29]
- Хорея Гентингтона. Механизм: открытие гематоэнцефалического барьера для доставки лекарств фокусированным ультразвуком под контролем МРТ.[30]
- Боковой амиотрофический склероз. Механизм: открытие гематоэнцефалического барьера для доставки лекарств фокусированным ультразвуком под контролем МРТ.[31]
Основные подразделы
- Нейротравматология
- Нейроонкология
- Сосудистые заболевания ЦНС
- Детская нейрохирургия
- Функциональная нейрохирургия
- Психохирургия
- Хирургия периферической нервной системы
- Спинальная нейрохирургия
- Гнойно-септическая нейрохирургия
- Фокусированный ультразвук под контролем МРТ
Оборудование и инструменты
Операционные микроскопы
Предназначены для открытых операций на спинном и головном мозге. Универсальные операционные микроскопы OPMI Vario 700 и OPMI Pentero 900 марки ZEISS меняют конфигурацию, оптимально подстраиваясь под решение конкретных задач.
- Микроскоп OPMI Vario 700 оснащён автоматической системой Video SpeedFocus. Мощности в 180 и 300 Вт достаточно для освещения наиболее удалённых операционных полей.
- Микроскоп OPMI Pentero 900 снабжён различными системами и программами, позволяющими, в частности, легко и быстро удалять воздух из-под стерильного чехла, производить анализ скорости кровотока, а также регистрировать и обрабатывать видео.
Ультразвуковые датчики
Используются в целях исследования черепа, производимого через трепанационное отверстие.
Инструментарий
Набор инструментов для операций включает в себя множество позиций: микроинструменты, шпатели, костные кусачки, распаторы, канюли, клипсы для аневризм, шунтирующие и фиксирующие системы, диссекторы и многое другое
- Канюли Кушинга используются для пункции мозга. С их помощью прокалывается вещество мозга и производится отсасывание шприцем внутримозговых гематом.
- Медицинские шпатели различной длины и ширины применяются при открытых операциях на головном мозге. Для внутримозговых вмешательств используются шпатели с лампочкой на конце.
- С помощью пневматического трепана осуществляется распил кости заданного размера и формы.
- Костные щипцы-кусачки разной формы и конструкции используют при операциях, затрагивающих кости черепа или позвоночника.
Помимо нейрохирургических инструментов врач-специалист должен быть обеспечен широким ассортиментом одноразового оборудования и расходных материалов для нейрохирургии, в том числе гемостатическими, шовными антибактериальными материалами и дезинфицирующими средствами.
Операционная МРФУЗ
Операционная состоит из аппарата МРТ и специального операционного стола с ультразвуковым шлемом[17], к которому фиксируется стереотаксический шлем.
Проблемы и достижения
Современная нейрохирургия занимается проблемами оперативного и неоперативного лечения довольно широкого ряда заболеваний нервной системы. Сюда относится и лечение опухолей головного и спинного мозга, и травмы центральной нервной системы, а также периферических нервов, инфекции нервной системы, аномалии её развития.
Одной из актуальных проблем на сегодня является также проблема остеохондроза и позвоночных грыж. В настоящее время операции по поводу грыж межпозвоночных дисков проводятся с применением эндоскопической техники, которая позволяет выполнять минимально инвазивные операции без разреза, с помощью проколов.
Не менее серьезным направлением нейрохирургии является лечение нарушений кровообращения головного мозга, куда относятся инсульты. Современные направления в развитии сосудистой хирургии позволили достичь определённых успехов в реконструктивной хирургии нарушений мозгового кровообращения. Это такие методы, как каротидная эндартерэктомия, при котором из просвета сонной артерии удаляется атероматозная бляшка, наложение экстраинтракраниальных анастомозов с обеспечением головного мозга дополнительным источником кровоснабжения, а также баллонная ангиопластика и стентирование соответствующих сосудов.
Ещё одним из достижений современной нейрохирургии является оперативное лечение эпилепсии. Если раньше это заболевание лечилось исключительно медикаментозной терапией, что не всегда венчалось успехом, то сейчас с развитием стереотаксических методов свое развитие получило оперативное лечение эпилепсии.
Весьма важной проблемой нейрохирургии остается лечение опухолей головного мозга. Кроме хирургического метода, который проводится с обязательной краниотомией для доступа к опухоли, широко применяются радиохирургические методы — так называемая стереотаксическая радиохирургия. Этот метод подразумевает облучение опухоли под разными углами мощным потоком радиационного излучения. Заслуженным авторитетом в лечении опухолей головного мозга пользуется нейрохирургия Германии.
Развитие нейрохирургии тесно связно с достижениями в диагностике, с появлением таких методов, как компьютерная томография, магнитно-резонансная томография, ультразвуковые методы исследования. Без данных методов были бы невозможны многие методы лечения нейрохирургической патологии.
Образование
Нейрохирургом может стать врач, имеющий высшее медицинское образование по направлениям "лечебное дело" или "педиатрия" и окончивший клиническую ординатуру по специальности "нейрохирургия".
Нейрохирургические кафедры имеются в следующих образовательных учреждениях:
- НИИ скорой помощи имени Склифосовского (г. Москва);
- НИИ нейрохирургии имени Бурденко (г. Москва);
- Северо-Западный государственный медицинский университет имени Мечникова (г. Санкт-Петербург);
- Воронежская государственная медицинская академия имени Бурденко (г. Воронеж);
- Приволжский исследовательский медицинский университет (г. Нижний Новгород)[32];
- Российская медицинская академия последипломного образования.
Дальнейшие перспективы
По состоянию на конец 2016 года нейрохирургия является бурно развивающейся отраслью медицины и раскрывает широкие горизонты в изучении нервной системы, диагностировании её патологий и оперативном устранении последних.
Нейрохирургия в России
Крупнейшими медицинскими организациями России в области нейрохирургии являются:
- Российский научно-исследовательский нейрохирургический институт им. проф. А.Л. Поленова - Первый в мире нейрохирургический институт (Санкт-Петербург)
- Институт нейрохирургии РАМН имени академика Н. Н. Бурденко (Москва)
- Федеральный центр нейрохирургии в Тюмени
- Федеральный центр нейрохирургии в Новосибирске
- Научно-исследовательский институт неотложной детской хирургии и травматологии
Использование гибридных операционных в нейрохирургии
Гибридная операционная используется в нейрохирургии например при транспедикулярном остеосинтезе[33] и при операциях по устранению аневризмы сосудов головного мозга. В обоих случаях гибридная операционная показала существенное преимущество по сравнению с традиционными методами хирургии.[34][35] При транспедикулярном остеосинтезе использование навигационной системы может ещё больше повысить качество результата.
Ассоциации и общества
Ассоциация нейрохирургов России — основана в 1993 году. Президент Ассоциации — академик РАН, профессор А. Н. Коновалов.[36]
Интернет-сообщество нейрохирургов России — основано в 2009 году.[37]
Московское общество нейрохирургов[38]
Санкт-Петербургская Ассоциация нейрохирургов[39]
Примечания
- Большая российская энциклопедия : [в 35 т.] / гл. ред. Ю. С. Осипов. — М. : Большая российская энциклопедия, 2004—2017.
- Каликинская Е Кумир Николая Пирогова. Как Еврем Мухин делал первые операции на мозге. // Аргументы и факты. Здоровье. № 38 от 18.09.2014 г.; Каликинская Е. И. Ефрем Осипович Мухин и его нейрохирургическая операция. // Нейрохирургия. № 2, 2012 г. — С.4 — 7.
- Stefano M. Priola, Giovanni Raffa, Rosaria V. Abbritti, Lucia Merlo, Filippo F. Angileri. The pioneering contribution of italian surgeons to skull base surgery (англ.) // World Neurosurgery. — Elsevier, 2014-9. — Vol. 82, iss. 3—4. — P. 523—528. — ISSN 1878-8769. — doi:10.1016/j.wneu.2013.07.076.
- Rajesh P. Haridas. Horace Wells’ Demonstration of Nitrous Oxide in Boston (англ.) // Anesthesiology: The Journal of the American Society of Anesthesiologists. — 2013-11-01. — Vol. 119, iss. 5. — P. 1014—1022. — ISSN 0003-3022. — doi:10.1097/ALN.0b013e3182a771ea.
- A. Charles King. History of Anaesthetic Apparatus (англ.) // Br Med J. — 1946-10-12. — Vol. 2, iss. 4475. — P. 536—539. — ISSN 1468-5833 0007-1447, 1468-5833. — doi:10.1136/bmj.2.4475.536.
- P. M. Dunn. Sir James Young Simpson (1811–1870) and obstetric anaesthesia (англ.) // Archives of Disease in Childhood - Fetal and Neonatal Edition. — 2002-05-01. — Vol. 86, iss. 3. — P. F207—F209. — ISSN 1468-2052 1359-2998, 1468-2052. — doi:10.1136/fn.86.3.F207.
- J. L. Stone. Sir Charles Ballance: pioneer British neurological surgeon (англ.) // Neurosurgery. — 1999-3. — Vol. 44, iss. 3. — P. 610—631; discussion 631—632. — ISSN 0148-396X.
- Antonio V. Sterpetti, Giorgio De Toma, Antonino Cavallaro. Francesco Durante (1844–1934) (англ.) // Journal of Neurology. — 2014-03-07. — Vol. 261, iss. 12. — P. 2469—2470. — ISSN 1432-1459 0340-5354, 1432-1459. — doi:10.1007/s00415-014-7296-9.
- W. F. Bingham. W. W. Keen and the dawn of American neurosurgery // Journal of Neurosurgery. — 1986-5. — Т. 64, вып. 5. — С. 705—712. — ISSN 0022-3085. — doi:10.3171/jns.1986.64.5.0705.
- W. W. KEEN, ALLER G. ELLIS, Keen. REMOVAL OF BRAIN TUMOR (англ.) // Journal of the American Medical Association. — 1918-06-22. — Vol. 70, iss. 25. — P. 1905. — ISSN 0002-9955. — doi:10.1001/jama.1918.02600250005002.
- Просмотр документа - dlib.rsl.ru. dlib.rsl.ru. Дата обращения: 9 ноября 2018.
- Космовский Ю. А. К вопросу о приживлении вытрепанированного на своде черепа куска кости (русккий) // Журнал для нормальной и патологической гистологии и пр.. — 1873. — Т. VII. — С. 48.
- David S. Sparks, Michael Wagels, G. Ian Taylor. Bone reconstruction: A history of vascularized bone transfer (англ.) // Microsurgery. — Vol. 38, iss. 1. — P. 7—13. — ISSN 0738-1085. — doi:10.1002/micr.30260.
- James Tait Goodrich. How to get in and out of the skull: from tumi to “hammer and chisel” to the Gigli saw and the osteoplastic flap (англ.) // Neurosurgical Focus. — 2014-04. — Т. 36, вып. 4. — С. E6. — ISSN 1092-0684. — doi:10.3171/2014.2.FOCUS13543.
- Галимова Р. М. и др. Терапия двигательных нарушений методом фокусированного ультразвука под контролем магнитно-резонансной томографии. Рекомендации для врачей-неврологов по отбору пациентов //Бюллетень Национального общества по изучению болезни Паркинсона и расстройств движений. – 2020. – №. 1.
- Гольченко Е. А., Каракулова Ю. В., Галимова Р. М. Терапия методом фокусированного ультразвука под контролем магнитно-резонансной томографии при дрожательной форме болезни Паркинсона //Неврологические чтения в Перми. – 2020. – С. 61-68.
- Официальный правительственный сайт Россздравнадзор: Регистрационное удостоверение от 13.02.2017 РЗН 2017/5378
- Барабаш Татьяна Терапия будущего: без боли, без крови, без наркоза // Вечерняя Уфа. Номер: - 2020. - 34(13413). C.1.
- Сетевое издание «Государственный Интернет-Канал «Россия»: Впервые в России: в Уфе с помощью ультразвука начали лечить тремор. - 20 мая 2020
- Официальный правительственный сайт FDA: FDA approves first MRI-guided focused ultrasound device to treat essential tremor
- Gallay MN, Moser D, Magara AE, Haufler F, Jeanmonod D. Bilateral MR-Guided Focused Ultrasound Pallidothalamic Tractotomy for Parkinson's Disease With 1-Year Follow-Up. Front. Neurol., 09 February 2021
- Horisawa S, Fukui A, Tanaka Y, Wendong L, Yamahata H, Kawamata T, Taira T. Pallidothalamic Tractotomy (Forel’s Field H1-tomy) for Dystonia: preliminary Results. World Neurosurg. 2019 Sep;129:e851-e856. doi:10.1016/j.wneu.2019.06.055. Epub 2019 Jun 14.
- Yang Q, Zhou Y, Chen J, Huang N, Wang Z, Cheng Y. Gene Therapy for Drug-Resistant Glioblastoma via Lipid-Polymer Hybrid Nanoparticles Combined with Focused Ultrasound. Int J Nanomedicine. 2021 Jan 8;16:185-199. doi:10.2147/IJN.S286221. eCollection 2021.
- Mehta RI, Carpenter JS, Mehta RI, Haut MW, Ranjan M, Najib U, Lockman P, Wang P, D'haese PF, Rezai AR. Blood-Brain Barrier Opening with MRI-guided Focused Ultrasound Elicits Meningeal Venous Permeability in Humans with Early Alzheimer Disease. Radiology. 2021 Jan 5:200643. doi:10.1148/radiol.2021200643.
- Chang JG, Jung HH, Kim SJ, Chang WS, Jung NY, Kim CH, Chang JW. Bilateral thermal capsulotomy with magnetic resonance-guided focused ultrasound for patients with treatment-resistant depression: A proof-of-concept study. Bipolar Disord. 2020 Jun 24. doi:10.1111/bdi.12964.
- Yamaguchi T, Hori T, Hori H, Takasaki M, Abe K, Taira T, Ishii K, Watanabe K. Magnetic resonance-guided focused ultrasound ablation of hypothalamic hamartoma as a disconnection surgery: a case report. Acta Neurochir (Wien). 2020 Jul 2. doi:10.1007/s00701-020-04468-6.
- Alkins R, Huang Y, Pajek D, Hynynen K. Cavitation-based third ventriculostomy using MRI-guided focused ultrasound. J Neurosurg. 2013 Dec;119(6):1520-9
- Zafar A, Quadri SA, Farooqui M, Ortega-Gutiérrez S, Hariri OR, Zulfiqar M, Ikram A, Khan MA, Suriya SS, Nunez-Gonzalez JR, Posse S, Mortazavi MM, Yonas H. MRI-Guided High-Intensity Focused Ultrasound as an Emerging Therapy for Stroke: A Review. J Neuroimaging. 2019 Jan;29(1):5-13. doi:10.1111/jon.12568. Epub 2018 Oct 8.
- Gallay M, Moser D, Jeanmonod D. MR-Guided Focused Ultrasound Central Lateral Thalamotomy for Trigeminal Neuralgia. Single Center Experience Frontiers in Neurology, V11 2020. doi:10.3389/fneur.2020.00271
- Lin CY, Tsai CH, Feng LY, Chai WY, Lin CJ, Huang CY, Wei KC, Yeh CK, Chen CM, Liu HL. Focused ultrasound-induced blood brain-barrier opening enhanced vascular permeability for GDNF delivery in Huntington's disease mouse model. Brain Stimul. 2019 Apr 27. pii: S1935-861X(19)30203-7. doi:10.1016/j.brs.2019.04.011. [Epub ahead of print] PMID 31079989.
- Abrahao A, Meng Y, Llinas M, Huang Y, Hamani C, Mainprize T, Aubert I, Heyn C, Black SE, Hynynen K, Lipsman N, Zinman L. First-in-human trial of blood-brain barrier opening in amyotrophic lateral sclerosis using MR-guided focused ultrasound. Nat Commun. 2019 Sep 26;10(1):4373. doi:10.1038/s41467-019-12426-9.
- Травматологии, ортопедии и нейрохирургии им. М.В. Колокольцева. pimunn.ru. Дата обращения: 13 февраля 2022.
- Raftopoulos, Christian Robotic 3D Imaging for Spinal Fusion - Live Case. YouTube. Дата обращения: 14 сентября 2012. Архивировано 24 сентября 2012 года.
- Heran, N.S.; J.K. Song, K. Namba, W. Smith, Y. Niimi and A. Berenstein. The Utility of DynaCT in Neuroendovascular Procedures (англ.) // American Journal of Neuroradiology : journal. — 2006. — Vol. 27. — P. 330—332.
- Koreaki, Irie; Murayama, Yuichi; Saguchi, Takayuki; Ishibashi, Toshihiro; Ebara, Masaki; Takao, Hiroyuki; Abe, Toshiaki. Dynact Soft-Tissue Visualization Using An Angiographic C-Arm System: Initial Clinical Experience in the Operating Room (англ.) // Neurosurgery : journal. — 2008. — March (vol. 62, no. 3). — P. 266—272. — doi:10.1227/01.neu.0000317403.23713.92.
- Ассоциация нейрохирургов России. ruans.org. Дата обращения: 23 октября 2015.
- Интернет-сообщество нейрохирургов России. neuro-online.ru. Дата обращения: 28 октября 2015.
- Московское общество нейрохирургов. www.nsi.ru. Дата обращения: 28 октября 2015.
- Санкт-Петербургская Ассоциация нейрохирургов » ФГБУ «НМИЦ им. В. А. Алмазова» Минздрава России. www.almazovcentre.ru. Дата обращения: 16 ноября 2018.
