Ангиография
Ангиогра́фия (греч. ἀγγεῖον — сосуд + γράφειν — писать) — класс методов контрастного исследования кровеносных сосудов, используемый в рамках рентгенографических, рентгеноскопических исследований, в компьютерной томографии, магнитно-резонансной томографии, применяемый в гибридной операционной.

| Ангиография | |
|---|---|
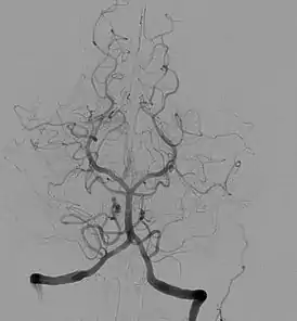
![]() Ангиограмма | |
| Анатомическая локализация | кровеносные сосуды |
| Код WordLift | data.medicalrecords.com/… |
| МКБ-9-КМ | 88.68 и 88.40 |
| Код NCI Thesaurus | C20080 |
Ангиография показывает функциональное состояние сосудов, окольного кровотока и протяжённость патологического процесса. Исследование позволяет выявить повреждения и пороки развития кровеносных сосудов: аневризмы, сужения сосудов, мальформацию, нарушения проходимости сосудов (атеросклероз, тромбоз), а также повреждения и пороки развития различных органов, опухоли. Например, ангиограмма сосудов головного мозга со специфической картиной помогает диагностировать болезнь моямоя.
Классическое рентгенологическое исследование

Перед классической ангиографией исключается наличие противопоказаний: аллергии на контрастные вещества (как правило, йод) и анестезию, почечной, печёночной и сердечной недостаточности, нарушений системы гемостаза, дисфункций щитовидной железы, острых воспалительных и инфекционных заболеваний, психических заболеваний. Также перед исследованием необходимы флюорография, электрокардиограмма.
За две недели до исследования исключается спиртное. Для защиты почек от большого количества йода иногда перед исследованием проводится гидратация (насыщение организма жидкостью), что позволяет разбавить рентгеноконтрастное вещество и облегчить его выведение из организма. Для снижения риска развития аллергической реакции перед процедурой ангиографии назначаются противоаллергические препараты. За четыре часа до ангиографии пациенту не разрешается принимать пищу и воду. В области прокола бреют волосы.
Непосредственно при исследовании пациент укладывается на ангиографический стол, фиксируется и подключается к кардиомонитору, в вену устанавливается катетер для инъекций. Перед исследованием через катетер проводится премедикация: введение антигистаминных препаратов (профилактика аллергических реакций), транквилизаторов, анальгетиков. Исследование проводится путём пункции (прокола) сосуда с последующей катетеризацией (введением в сосуд специального катетера, через который затем будет вводиться контрастное вещество (препарат йода). Чаще всего проводят катетеризацию бедренной артерии. Все действия внутри сосуда осуществляются под контролем рентгенотелевидения. По окончании исследования на область пункции на сутки накладывают давящую повязку.
После проведения ангиографии пациенту рекомендуется при отсутствии противопоказаний пить большое количество жидкости, чтобы ускорить выведение йода и медикаментов из организма.
Цифровые методы
КТ-ангиография — ангиографическое исследование с применением компьютерной томографии, для её проведения не требуется катетеризация артерии. Цифровая субстракционная ангиография (англ. digital subtraction angiography, DSA) — контрастное исследование сосудов с последующей компьютерной обработкой. Оно позволяет получить снимки высокого качества с выделением отдельных сосудов из общей картины, при этом можно уменьшить количество вводимого контрастного вещества и это вещество можно вводить внутривенно, не прибегая к катетеризации артерии, что менее травматично для пациента. Трёхмерная цифровая субстракционная ангиография (3D-DSA) и цветная цифровая субстракционная ангиография (Color-DSA) — методы обработки для DSA, позволяющие получить соответственно трёхмерную реконструкцию изображений с ангиографа и совместить изображение артериального кровотока, венозного кровотока и перфузии на одном изображении с применением техники цветового кодирования.
МР-ангиография — ангиографическое исследование с применением магнитно-резонансной томографии, может проводится без контрастных веществ или с применением веществ на основе гадолиния.
