Субдуральная гематома
Субдуральная гематома (СДГ) или субдуральное кровоизлияние — тип гематомы, обычно ассоциированный с черепно-мозговой травмой. При СДГ кровь изливается между твёрдой и паутинной мозговыми оболочками, как правило, вследствие разрыва мостиковых вен, залегающих в субдуральном пространстве, что приводит к повышению внутричерепного давления с компрессией и возможным повреждением вещества головного мозга. Острые СДГ часто являются жизнеугрожающим состоянием. Хронические СДГ, при адекватной терапии, имеют лучший прогноз.
| Субдуральная гематома | |
|---|---|
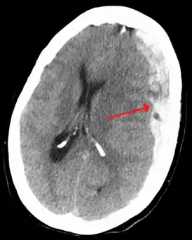
![]() Субдуральная гематома (обозначена стрелкой) со значительным смещением срединных структур. | |
| МКБ-10 | I62.0, P10.0, S06.5 |
| МКБ-9 | 852.2 (травматическая); 432.1 (нетравматическая) |
| DiseasesDB | 12614 |
| MedlinePlus | 000713 |
| eMedicine | neuro/575 |
| MeSH | D006408 |
Классификация
Субдуральные гематомы разделяют на острые, подострые и хронические, в зависимости от скорости их формирования[1]. Острые СДГ травматического генеза представляют собой наиболее распространённую причину летальности от ЧМТ и имеют высокий уровень смертности в отсутствие своевременного лечения — хирургической декомпрессии[2].
Острые кровотечения часто обусловлены высокоскоростными травмами ускорения-замедления, тяжесть их коррелирует с размером гематомы. Наиболее тяжёлыми являются СДГ, сочетающиеся с ушибом мозга[3]. Венозное кровоизлияние при острых СДГ развивается значительно быстрее по сравнению с хроническими, однако эпидуральные гематомы, обусловленные артериальным кровоизлиянием, обычно развиваются ещё быстрее. Несмотря на это, показатели смертности от острых СДГ превышают смертность от эпидуральных гематом и диффузных повреждений мозга, так как травма ускорения-торможения, достаточная по силе для развития СДГ, влечет за собой и другие тяжёлые повреждения[4]. При тяжёлой черепно-мозговой травме у пациентов с повреждениями кортикальных вен или пиальной артерии уровень смертности при острых СДГ составляет 60 — 80 %[5].
Хроническая субдуральная гематома формируется на протяжении нескольких дней или недель в результате меньшей по силе травмы, при этом в 50 % случаев пациенты не могут указать на травму в анамнезе[6]. Хроническая СДГ может оставаться нераспознанной в течение месяцев или даже лет после травмы, до наступления клинических проявлений[7]. Кровотечение при хронических СДГ обычно медленное либо представлено несколькими эпизодами незначительных кровоподтёков, и обычно останавливается самопроизвольно[8][9]. Небольшие хронические СДГ толщиной до 1 см имеют значительно лучший прогноз, чем острые СДГ; так, в одном из исследований указывалось, что лишь 22 % пациентов при таких хронических гематомах имели худший исход, чем «хорошее» или «полное восстановление»[3]. Хронические СДГ распространены в пожилом возрасте.[7].
Отличия от эпидуральных гематом
| Тип гематомы | Эпидуральная | Субдуральная |
|---|---|---|
| Локализация | Между костями черепа и твёрдой мозговой оболочкой | Между твёрдой и паутинной мозговыми оболочками |
| Травмированный сосуд | Височно-теменная область (наиболее вероятно) — средняя менингеальная артерия Лобная область — передняя решетчатая артерия Затылочная область — поперечный или сигмовидный синусы Область свода — верхний сагиттальный синус | Мостиковые вены |
| Симптомы (в зависимости от тяжести)[10] | Светлый промежуток, за которым следует утрата сознания | Постепенно нарастающая головная боль и беспокойство |
| КТ-проявления | Двояковыпуклая линза | Серповидная форма |
Клинические проявления
Клиническое манифестирование субдуральной гематомы имеет более медленное начало, чем при эпидуральной гематоме, в связи с меньшей скоростью венозного кровотечения по сравнению с артериальным. Классического для эпидуральной гематомы чётко ограниченного «светлого промежутка» может не наблюдаться, сроки манифестации симптомов крайне различаются — как непосредственно после травмы, в течение нескольких минут[11], так и отсроченно, через две недели[12]. Помимо этого, в отличие от классического «светлого промежутка», изменение состояния сознания при СДГ чаще волнообразно и постепенно[13].
При объёме кровоизлияния, достаточном для компрессии мозга, появляются признаки внутричерепной гипертензии или очаговая неврологическая симптоматика, обусловленная повреждением мозгового вещества[3] Клиническая картина СДГ крайне вариабельна. Помимо объёма гематомы, её локализации и др., имеет значение механизм травмы ускорения-торможения с противоударом, что нередко влечёт за собой двустороннее повреждение головного мозга[13].
Нарушение сознания при СДГ, в противоположность проявлениям эпидуральной гематомы, чаще развивается не по стволовому, а по кортикальному типу, и может иметь аментивные, онейроидные проявления, возможно развитие «лобной» симптоматики со снижением критики, нелепостью поведения и т. д.. Характерно психомоторное возбуждение, типична волнообразная головная боль с менингеальным оттенком или гипертензионного характера, усиление головной боли сопровождается рвотой. Встречаются эпилептические припадки, чаще генерализованные. В половине случаев наблюдается брадикардия. Отмечаются застойные явления на глазном дне, при хронической СДГ — с элементами атрофии соска зрительного нерва. Сочетание СДГ с тяжёлым ушибом мозга может сопровождаться такими стволовыми нарушениями, как расстройства дыхания и гемодинамики, диффузные изменений мышечного тонуса и рефлекторной сферы[13].
Этиопатогенез
Субдуральные гематомы, обусловленные травмой, носят название «травматических». Субдуральные гематомы значительно чаще, чем эпидуральные, обусловлены импульсными, диффузными травмами ускорения-торможения в силу приложения различных по направленности ротационных или линейных сил[3][8], при этом встряска внутричерепных структур способствует растяжению и повреждению мелких мостиковых вен[6]. Субдуральное кровоизлияние является классической находкой при синдроме детского сотрясения, для которого также характерно развитие интра- и преретинальных кровоизлияний, вызванных этим же механизмом воздействия. Помимо этого, субдуральные гематомы типичны у пожилых лиц и алкоголиков с признаками атрофии мозга. Атрофия мозга сопряжена с удлинением мостиковых вен, что повышает вероятность разрыва последних при импульсной травме. Также образованию субдуральной гематомы может способствовать снижение ликворного, и, соответственно, субарахноидального давления, что приводит к расхождению твёрдой и арахноидальной мозговых оболочек, натяжению и разрыву мостиковых вен. СДГ чаще наблюдается у пациентов, принимающих антикоагулянты и антиагреганты (варфарин, аспирин).
Факторы риска
Детский и пожилой возраст повышают вероятность развития СДГ. По мере возрастного уменьшения объёма мозга, субдуральное пространство расширяется, мостиковые вены становятся более длинными и подвижными. Этот фактор, в совокупности с хрупкостью стенок сосудов у пожилых людей, делает их более подверженными СДГ[6] . У маленьких детей субдуральное пространство также шире, чем у молодых взрослых, что повышает вероятность развития у них СДГ[3]; этим обусловлено типичное формирование СДГ при синдроме детского сотрясения. У молодых лиц фактором риска СДГ является наличие арахноидальных кист[14].
В числе других факторов риска — приём антикоагулянтов, алкоголизм и деменция.
Патофизиология

Скопление крови в субдуральной гематоме может осмотически притягивать дополнительную воду, что приводит к увеличению объёма гематомы, компрессии головного мозга и может провоцировать повторные кровоизлияния из-за разрыва новых кровеносных сосудов[6] . Кровь в СДГ также может формировать собственную капсулу[15].
В некоторых случаях возможны разрывы паутинной оболочки, таким образом в расширении интракраниального пространства и повышении внутричерепного давления участвует не только кровь, но и ликвор[8].
Из СДГ могут высвобождаться вещества-вазоконстрикторы, снижающие кровоток, что обуславливает дальнейшую ишемию вещества мозга под субдуральной гематомой[9]. При снижении мозговой перфузии, запускается ишемический биохимический каскад, приводящий к гибели клеток мозга.
Кровяной сгусток постепенно реабсорбируется и замещается грануляционной тканью.
Диагностика

При любой травме головы необходимо получение медицинской помощи, включающей полное неврологическое обследование. В диагностике субдуральных гематом используются методы компьютерной и магнитно-резонансной томографии.
Наиболее часто субдуральные гематомы наблюдаются вокруг верхних и боковых поверхностей лобных и теменных долей головного мозга[3][8]. Также СДГ могут встречаться в задней черепной ямке, по ходу серпа мозга и намёта мозжечка[3]. В отличие от эпидуральных гематом, ограниченных швами черепа, субдуральные гематомы могут широко распространяться в полости черепа вдоль поверхности головного мозга, повторяя её форму и останавливаясь лишь в области отростков твёрдой мозговой оболочки.
При компьютерной томографии субдуральные гематомы имеют классическую серповидную форму, однако, могут выглядеть и линзовидно, особенно в начале кровотечения; это может вызвать затруднения в дифференциальной диагностике субдуральной и эпидуральной гематом. Более достоверным признаком субдуральной гематомы является её относительно большая распространённость по ходу полушария головного мозга с преодолением швов черепа, в отличие от эпидуральной гематомы. Субдуральная гематома также может выглядеть как «наслоение» повышенной плотности по ходу намёта мозжечка; такая гематома может быть хронической и стабильной, и косвенными минимальными признаками кровоизлияния могут служить сглаженность прилегающих борозд и медиальное смещение границы между серым и белым веществом.
Хронические гематомы при компьютерной томографии могут не дифференцироваться из-за своей изоденсивности мозговому веществу (иметь плотность вещества мозга), что затрудняет их выявление.
Лечение
Лечение субдуральной гематомы зависит от её размера и степени увеличения в динамике, возраста пациента, анестезиологического риска. Некоторые небольшие субдуральные гематомы могут подвергаться самостоятельной резорбции под тщательным динамическим наблюдением. Другие небольшие СДГ подлежат дренированию через тонкий катетер, проведённый через трепанационное отверстие в кости черепа. При больших или манифестированных гематомах проводится краниотомия, вскрытие твердой мозговой оболочки, удаление кровяного сгустка, выявление и контроль за местами кровотечения[16][17]. Послеоперационно возможно развитие внутричерепной гипертензии, отёка мозга, нового или повторного кровоизлияния, инфекционного процесса и судорожного синдрома. В редких случаях, при отсутствии шансов на восстановление или у пациентов старческого возраста, применяется паллиативная терапия[18].
При хронической субдуральной гематоме без судорожного синдрома в анамнезе, не существует однозначного мнения о целесообразности или вреде применения антиконвульсантов[19].
Примечания
- Herbert H Engelhard III, MD, PhD, FACS, Grant P Sinson, MD, George Timothy Reiter, MD, Paul L Penar, MD, FACS, Francisco Talavera, PharmD, PhD, Allen R Wyler, MD, Paolo Zamboni, MD, Allen R Wyler 2009. Subdural Hematoma Surgery . Medscape Reference, eMedicine.medscape.com retrieved on 7/21/2011.
- UCLA Neurosurgery Архивная копия от 26 сентября 2015 на Wayback Machine retrieved on 7/21/2011.
- Wagner AL. 2004. «Subdural hematoma.» Emedicine.com. Retrieved on August 8, 2007.
- Vinas F.C. and Pilitsis J. 2006. Penetrating Head Trauma. Emedicine.com.
- Dawodu S. 2004. «Traumatic brain injury: Definition, epidemiology, pathophysiology» Emedicine.com. Retrieved on August 7, 2007.
- Downie A. 2001. «Tutorial: CT in head trauma» Архивировано 6 ноября 2005 года.. Retrieved on August 7, 2007.
- Kushner D. Mild Traumatic Brain Injury: Toward Understanding Manifestations and Treatment (англ.) // JAMA Internal Medicine : journal. — 1998. — Vol. 158, no. 15. — P. 1617—1624. — doi:10.1001/archinte.158.15.1617. — PMID 9701095.
- University of Vermont College of Medicine. «Neuropathology: Trauma to the CNS.» Accessed through web archive on August 8, 2007.
- Graham DI and Gennareli TA. Chapter 5, «Pathology of brain damage after head injury» Cooper P and Golfinos G. 2000. Head Injury, 4th Ed. Morgan Hill, New York.
- Архивированная копия (недоступная ссылка). Дата обращения: 2 ноября 2014. Архивировано 4 марта 2016 года.
- Subdural hematoma : MedlinePlus Medical Encyclopedia. Nlm.nih.gov (28 июня 2012). Дата обращения: 27 июля 2012.
- Sanders MJ and McKenna K. 2001. Mosby’s Paramedic Textbook, 2nd revised Ed. Chapter 22, «Head and facial trauma.» Mosby.
- Л.Б.Лихтерман, Институт нейрохирургии имени академика Н. Н. Бурденко. Травматические субдуральные гематомы. // Справочник поликлинического врача. — 2013. — № 11.
- Mori K., Yamamoto T., Horinaka N., Maeda M. Arachnoid cyst is a risk factor for chronic subdural hematoma in juveniles: twelve cases of chronic subdural hematoma associated with arachnoid cyst (англ.) // Journal of Neurotrauma : journal. — 2002. — Vol. 19, no. 9. — P. 1017—1027. — doi:10.1089/089771502760341938. — PMID 12482115.
- McCaffrey P. 2001. «The neuroscience on the web series: CMSD 336 neuropathologies of language and cognition.» Архивная копия от 6 апреля 2007 на Wayback Machine California State University, Chico. Retrieved on August 7, 2007.
- Koivisto T., Jääskeläinen J.E. Chronic subdural haematoma—to drain or not to drain? (англ.) // The Lancet : journal. — Elsevier, 2009. — Vol. 374, no. 9695. — P. 1040—1041. — doi:10.1016/S0140-6736(09)61682-2.
- Santarius T., Kirkpatrick P.J., Dharmendra G., et al. Use of drains versus no drains after burr-hole evacuation of chronic subdural haematoma: a randomised controlled trial (англ.) // The Lancet : journal. — Elsevier, 2009. — Vol. 374, no. 9695. — P. 1067—1073. — doi:10.1016/S0140-6736(09)61115-6.
- de Araújo Silva, DO; Matis G.K., Costa L.F., Kitamura M.A., de Carvalho Junior E.V., Silva Md, Barbosa B.A., Pereira C.U., da Silva J.C., Birbilis T.A., de Azevedo Filho H.R. Chronic subdural hematomas and the elderly: Surgical results from a series of 125 cases: Old "horses" are not to be shot!. (англ.) // Surgical Neurology International : journal. — 2013. — 25 March (vol. 3, no. 1). — P. 150. — doi:10.4103/2152-7806.104744. (недоступная ссылка)
- Ratilal, BO; Pappamikail, L; Costa, J; Sampaio, C. Anticonvulsants for preventing seizures in patients with chronic subdural haematoma. (англ.) // The Cochrane database of systematic reviews : journal. — 2013. — 6 June (vol. 6). — P. CD004893. — doi:10.1002/14651858.CD004893.pub3. — PMID 23744552.
20. Сайт о заболеваниях нервной системы. nervivporyadke.ru
