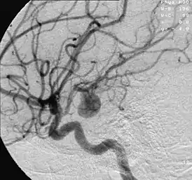
Аневризма
Аневри́зма — выпячивание стенки артерии (реже — вены) вследствие её истончения или растяжения; расширение просвета сосуда более чем в 2 раза. Причиной могут служить врождённые или приобретённые дефекты средней оболочки сосудов. Также термин применяется для обозначения истончения и выпячивания стенки камер сердца (в подавляющем большинстве случаев — левого желудочка). Аневризма сердца является осложнением инфаркта миокарда.
| Аневризма | |
|---|---|
| |
| МКБ-10 | I72 |
| МКБ-9 | 442 |
| DiseasesDB | 15088 |
| MedlinePlus | 001122 |
| MeSH | D000783 |
Диагностика
- Ангиография («золотой стандарт» диагностики)
- КТ-ангиография (менее инвазивен, но не всегда так же информативен, как ангиография)
- МР-ангиография (не оказывает лучевой нагрузки, но может быть менее информативен, чем КТ-ангиография)
- УЗИ-допплерография (недорогой и довольно информативный метод)
Лечение
При обнаружении любой формы аневризмы требуется хирургическое вмешательство.
- Раньше для этих целей применялась классическая хирургия. Суть операции заключалась в иссечении повреждённого участка сосуда с замещением его пластиковым протезом или фрагментом кровеносного сосуда из другой части тела.
- Современными клиниками для лечения подобного рода патологий применяется эндоваскулярная хирургия с помощью ятрогенной эмболии синтетическими материалами аномального участка артерии либо наложение зажима (клипсы) на шейку аневризмы с целью выключения участка из кровотока.
Формы заболевания
- Аневризма сосудов головного мозга
- Аневризма аорты
- Аневризма периферических сосудов
- Аневризма сердца
- Аневризма экстраниального отдела внутренней сонной артерии
Ссылки
- Аневризма // Энциклопедический словарь Брокгауза и Ефрона : в 86 т. (82 т. и 4 доп.). — СПб., 1890—1907.
- Аневризма
This article is issued from Wikipedia. The text is licensed under Creative Commons - Attribution - Sharealike. Additional terms may apply for the media files.
