Нейровизуализация
Нейровизуализа́ция — общее название нескольких методов, позволяющих визуализировать структуру, функции и биохимические характеристики мозга[1].
.gif)

Включает компьютерную томографию, магнитно-резонансную томографию и т. п. Это сравнительно новая дисциплина, являющаяся разделом медицины, а конкретнее — неврологии, нейрохирургии и психиатрии.
Классификация
Нейровизуализация включает 2 обширные категории:
- Структурная визуализация, описывающая структуру головного мозга и диагноз больших внутричерепных болезней (опухоль или ЧМТ);
- Функциональная нейровизуализация, используемая для диагностики метаболических расстройств на ранней стадии (таких, как болезнь Альцгеймера), а также исследований неврологии и когнитивной психологии и конструирования нейрокомпьютерных интерфейсов.
Функциональная нейровизуализация делает возможной, например визуализацию обработки информации в центрах головного мозга. Такая обработка повышает метаболизм этих центров и «подсвечивает» скан (изображение, полученное при нейровизуализации). Один из наиболее дискуссионных вопросов — исследования по распознаванию мыслей, или их «чтению».
История
Первая глава истории нейровизуальных следов вернулась к итальянскому нейробиологу Анджело Моссо , который изобрел «человеческий баланс кровообращения», который мог неинвазивно измерять перераспределение крови во время эмоциональной и интеллектуальной активизации[2]. Это оставалось в значительной степени неизвестным до недавнего открытия рукописей Моссоса благодаря Стефано Сандроне и его коллегам[3].

В 1918 американский нейрохирург У. Э. Денди впервые использовал технику вентрикулографии. Рентгеновские снимки желудочков головного мозга осуществлялись инъекцией фильтрованного воздуха непосредственно в боковой желудочек головного мозга. У. Э. Денди также наблюдал, как воздух, введённый в субарахноидальное пространство через люмбальную пункцию может войти в желудочки головного мозга и демонстрировал участки ликвора у основы и на поверхности мозга. метод исследования назвали пневмоэнцефалографией.
В 1927 Эгаш Мониш ввёл в практику церебральную ангиографию (см. также ангиография), при помощи которой визуализируются нормальные и аномальные кровеносные сосуды головного мозга с высоким разрешением.
В начале 1970-х А. М. Кормак и Г. Н. Хаунсфилд ввели в практику КТ. Она дала возможность делать ещё более детальные анатомические снимки и использовать их для диагностики и исследований. В 1979 они стали лауреатами Нобелевской премии по физиологии или медицине за их изобретение. Через короткий промежуток времени после введения КТ, в начале 1980-х исследования по радиолигандам привели к открытию ОФЭКТ и ПЭТ головного мозга.
Примерно тогда же сэром П. Мэнсфилдом и П. К. Лотербуром было разработано МРТ. В 2003 они удостоились Нобелевской премии по физиологии или медицине. В начале 1980-х МРТ начали использовать в клинике и в 1980-х произошёл настоящий взрыв использования этой технологии в диагностике. Учёные быстро установили, что значительные изменения в кровообращении можно диагностировать особым типом МРТ. Так была открыта ФМРТ и с 1990-х она начала доминировать в составлении топографии мозга благодаря своей малоинвазивности, отсутствию радиации и относительно широкой доступности. ФМРТ также начинает доминировать в диагностике инсультов.
В начале 2000-х нейровизуализация достигла того уровня, когда раньше ограниченные функциональные исследования мозга стали доступными. Главным применением её становятся пока недостаточно развитые методы нейрокомпьютерных интерфейсов.
Технологии визуализации головного мозга
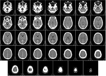
Компьютерная томография головы

Компьютерная томография (КТ) или компьютерная аксиальная томография (КАТ) использует серии рентгеновских лучей, направленных на голову, с большого количества разных направлений. Обычно её используют для быстрой визуализации ЧМТ. При КТ используют компьютерную программу, что осуществляет цифровые интегральные вычисления (инверсию преобразования Радона) измеряемой серии рентгеновских лучей. Она вычисляет, насколько эти лучи абсорбируются объёмом головного мозга. Обычно информация представлена в виде срезов мозга[4].
Диффузная оптическая томография
Диффузная оптическая томография (ДОТ) — способ медицинской визуализации, использующий инфракрасное излучение для изображения тела человека. Технология измеряет оптическую абсорбцию гемоглобина и опирается на его спектр поглощения в зависимости от насыщения кислородом.
Оптические сигналы, модифицированные посредством события
Оптический сигнал, модифицированный посредством события — нейровизуализационная технология, использующая инфракрасное излучение, которое пропускают через оптические волокна и измеряющая разницу в оптических свойствах активных участков коры головного мозга. В то время, как ДОТ и околоинфракрасная спектроскопия измеряют оптическую абсорбцию гемоглобина, а значит, основаны на кровообращении, преимущество этого метода основано на исследовании отдельных нейронов, то есть проводит непосредственное измерение клеточной активности. Технология оптического сигнала, модифицированного посредством события, может высокоточно идентифицировать активность мозга с разрешением до миллиметров (в пространственном отношении) и на протяжении миллисекунд. Наибольшим недостатком технологии является невозможность идентифицировать активность нейронов более чем несколько сантиметров в глубину. Это новая, относительно недорогая технология, неинвазивная для пациента. Она разработана Иллинойским университетом в Урбана-Шампейн, где её теперь используют в Когнитивной нейровизуализационной лаборатории доктора Габриэля Граттон и доктора Моники Фабиани.
Магнитно-резонансная томография
МРТ использует магнитные поля и радиоволны для визуализации 2-мерных и 3-мерных изображений структур головного мозга без использования ионизирующего излучения (радиации) или радиоактивных маркеров.
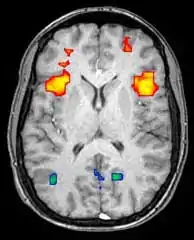
Функциональная магнитно-резонансная томография

Функциональная магнитно-резонансная томография (фМРТ) основана на парамагнитных свойствах оксигенированого и дезоксигенированого гемоглобина и дает возможность увидеть изменения кровообращения головного мозга в зависимости от его активности. Такие изображения показывают, какие участки мозга активированы (и каким образом) при исполнении определённых заданий.
Большинство фМРТ-томографов дают возможность представлять исследуемому разные визуальные изображения, звуковые и тактильные стимулы и производить действия типа нажатия кнопки или движения джойстиком. Следовательно, фМРТ можно использовать, чтобы показывать структуры мозга и процессы, связанные с восприятием, мышлением и движениями. Разрешение фМРТ на данный момент 2—3 мм, ограниченное кровоснабжением, влияющим на нейрональную активность. Она существенно заменяет ПЭТ при исследовании типов активации головного мозга. ПЭТ, однако, одерживает значительное преимущество, будучи в состоянии идентифицировать специфические клеточные рецепторы или (моноаминовые трансмиттеры) связанные с нейромедиаторами, благодаря визуализации меченных радиоактивно рецепторных «лигандов» (рецепторный лиганд — химическое вещество, связанное с рецептором).
фМРТ используют как для медицинских исследований, так и (всё шире) в диагностических целях. Так как фМРТ исключительно чувствительна к изменениям кровообращения, она очень хорошо диагностирует ишемию, как например при инсульте. Ранняя диагностика инсультов всё важнее в неврологии, так как медикаменты, растворяющие свернувшиеся сгустки крови можно использовать в первые несколько часов и при определённом типе инсульта, в то время как они могут быть опасными при дальнейшем использовании. фМРТ в таких случаях дает возможность принять правильное решение.
фМРТ можно использовать также для распознавания мыслей. В эксперименте с точностью 72 %—90 %[5] фМРТ смогла установить, какой набор картинок смотрит испытуемый[6]. Скоро, по мнению авторов исследований, благодаря этой технологии можно будет установить, что именно видит перед собой испытуемый[6]. Эту технологию можно будет использовать для визуализации снов, раннего предупреждения болезней головного мозга, создания интерфейсов для парализованных людей для общения с окружающим миром, маркетинговые рекламные программы и борьба с терроризмом и преступностью[6].
Магнитоэнцефалография
Магнитоэнцефалография (МЭГ) — нейровизуализационная технология, используемая для измерения магнитных полей, которую производит электрическая активность головного мозга посредством особо чувствительных устройств, таких как СКВИД. МЭГ использует непосредственное измерение электроактивности нейронов, более точное, чем например ФМРТ, с очень высоким разрешением во времени, но маленьким в пространстве. Преимущество измерения таких магнитных полей в том, что они не искажаются окружающей тканью, в отличие от электрических полей, измеряемых ЭЭГ.
Есть много способов применения МЭГ, включая помощь нейрохирургам в локализации патологии, помощь исследователям в локализации функции отделов мозга, исследования обратной связи нервной системы и другие.
Позитронно-эмиссионная томография

Позитронно-эмиссионная томография (ПЭТ) измеряет выброс радиоактивно меченых метаболически активных химических веществ, введённых в кровеносное русло. Информация обрабатывается компьютером в 2- или 3-мерные изображения распределения этих химических веществ в головном мозге[7]. Испускающие позитроны радиоизотопы производит циклотрон и химические вещества маркируют радиоактивными атомами. Радиоактивно меченое образование, именуемое радиоактивный индикатор, вводят путём инъекции в кровеносное русло и в конечном счёте оно достигает головного мозга. Сенсоры в ПЭТ-сканере регистрируют радиоактивность, когда радиоактивный индикатор накапливается в разных структурах головного мозга. Компьютер использует информацию, собранную от сенсоров для создания 2- и 3-мерных разноцветных изображений, отражающих распределение индикатора в мозге. В настоящее врем нередко используются целые группы разнообразных лигандов для картирования различных аспектов активности нейромедиаторов. Тем не менее, наиболее часто используемым ПЭТ-индикатором остается меченая форма глюкозы (см. Фтордезоксиглюкоза (ФДГ)), показывающая распределение метаболической активности клеток головного мозга.
Самое большое преимущество ПЭТ в том, что разные радиоиндикаторы могут показывать кровообращение, оксигенацию и метаболизм глюкозы в тканях работающего мозга. Эти измерения отображают объём активности головного мозга в его разных участках и дают возможность больше изучить, как он работает. ПЭТ превосходит остальные методики, визуализирующие метаболизм в отношении разрешения и скорости (делает скан в течение 30 с). Улучшенная разрешающая способность дала возможность лучше изучить мозг, активированный определённым заданием. Главный недостаток ПЭТ заключается в том, что радиоактивность быстро распадается, это ограничивает мониторинг только коротких заданий[8]. До того, как стала доступной ФМРТ, ПЭТ была главным методом функциональной (в противоположность структурной) методикой нейровизуализации и до сих пор продолжает делать большой вклад в неврологию.
ПЭТ также используют для диагностики болезней головного мозга, в первую очередь потому что опухоли головного мозга, инсульты и повреждающие нейроны заболевания, вызывающие деменцию (такие как болезнь Альцгеймера) очень нарушают метаболизм мозга, что ведёт к легко заметным изменениям на ПЭТ-сканах. ПЭТ, вероятно, наиболее полезна в ранних случаях определённых деменций (классический пример — болезнь Альцгеймера и болезнь Пика), где ранние нарушения особо диффузные и ведут к слишком маленьким различиям в объёме мозга и его макроскопической структуре, чтобы быть заметными на КТ или стандартной МРТ, которые не имеют возможности отличить их от обычной возрастной инволюции (атрофии), не вызывающей клинической деменции.
Однофотонная эмиссионная компьютерная томография
Однофотонная эмиссионная компьютерная томография (ОФЭКТ) похожа на ПЭТ и использует гамма-излучение, излучаемое радиоизотопами, и гамма-камеру для записи информации на компьютер в виде 2- или 3-мерных изображений активных участков мозга[9]. ОФЭКТ нуждается в инъекции радиоактивного маркера, быстро поглощаемого мозгом, но не перераспределяемого. Его потребление составляет около 100 % в течение 30—60 с, отображая кровоснабжение головного мозга во время инъекции. Эти свойства ОФЭКТ делают её особенно удобной для визуализации эпилепсии, что обычно сложно из-за движений пациента и различных типов судорог. ОФЭКТ осуществляет «моментальный снимок» кровоснабжения головного мозга так как сканы можно получить сразу после завершения судорог (в то время как маркер был введён во время судорог). Значительным ограничением ОФЭКТ является маленькое разрешение (до 1 см) сравнительно с МРТ.
Как ПЭТ, ОФЭКТ также можно использовать для дифференциации процессов, ведущих к деменции. Её всё чаще для этого используют. Нейро-ПЭТ имеет недостаток, используя индикаторы с периодом полураспада 110 минут, таких как ФДГ. Их производит циклотрон и они дорогие, или даже недоступны, когда время для транспортировки превышает время полураспада. ОФЭКТ, однако, может использовать индикаторы с большим периодом полураспада, например, технеций-99m. В результате, её можно использовать гораздо шире.
Примечания
- Filler, A. G. The history, development, and impact of computed imaging in neurological diagnosis and neurosurgery: CT, MRI, DTI. Available from Nature Precedings (англ.) // Neurosurgical Focus (in press). — July 2009. — doi:10.1038/npre.2009.3267.5.
- Sandrone et al. Angelo Mosso (англ.) // Journal of Neurology : journal. — 2012. — Vol. 259, no. 11. — P. 2513—2514. — doi:10.1007/s00415-012-6632-1. — PMID 23010944.
- Sandrone et al. Weighing brain activity with the balance: Angelo Mosso's original manuscripts come to light (англ.) // Brain : journal. — Oxford University Press, 2014. — Vol. 137, no. Pt 2. — P. 621—633. — doi:10.1093/brain/awt091. — PMID 23687118.
- Malcom Jeeves. Mind Fields: Reflections on the Science of Mind and Brain (англ.) // Grand Rapids, MI: Baker Books. — P. 21.
- Kerri Smith. Mind-reading with a brain scan (англ.) // Nature News. — 2008.
- Brandon Keim. Brain Scanner Can Tell What You're Looking At (англ.). Wired News (5 марта 2008). — «Сканер головного мозга может указать, на что вы смотрите.». Дата обращения: 30 сентября 2017. Архивировано 2 февраля 2012 года.
- Lars-Goran Nilsson and Hans J. Markowitsch. Когнитивная неврология памяти = Cognitive Neuroscience of Memory. — Seattle: Hogrefe & Huber Publishers, 1999. — С. 57.
- Lars-Goran Nilsson and Hans J. Markowitsch. Когнитивная неврология памяти = Cognitive Neuroscience of Memory. — Seattle: Hogrefe & Huber Publishers, 1999. — С. 60.
- Philip Ball. Brain Imaging Explained (англ.) // Nature. — 12 July 2001. — No. 412. — P. 150—157.