Глиоматоз головного мозга
Глиоматоз головного мозга - редкая разновидность диффузной глиальной опухоли, широко инфильтрирующая головной мозг, вовлекающая две и более доли (нередко билатерально) и часто распространяющаяся инфратенториально. Сам термин введен в обиход в 1938[1] году и с тех пор в литературе описано около 200 случаев. Несмотря на активные исследования данного заболевания и научные поиски, до сих остаётся неясным является ли глиоматоз формой диффузно-инфильтративной глиомы или же представляет собой самостоятельный патологический синдром.
| Глиоматоз головного мозга | |
|---|---|
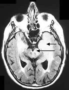
![]() Аксиальная FLUID МРТ, демонстрирующая инфильтративный рост опухоли с вовлечением обеих лобных долей (короткая стрелка) и чёрного вещества (длинная стрелка). | |
| МКБ-11 | XH6ZH4 |
| МКБ-10-КМ | C71.0 |
| МКБ-9 | 191.0 |
| МКБ-О | M9381/3 |
| MeSH | D018302 |
Клинические проявления
Симптомы и проявления болезни у людей с глиоматозом головного мозга неспецифичны. Интересно также то, что несмотря на обширность вовлечения зон мозга в диффузно-инфильтративный процесс, проявления и признаки зачастую минимальны.
Интервал от начала симптомов (клинических проявлений) до постановки диагноза варьирует от нескольких дней до 23х лет. Наиболее частыми клиническими проявлениями данного заболения являются кортикоспинальный дефицит (пирамидные расстройства) 53%, деменция 44%, гол. боль 39%, припадки 38%, краниальная нейропатия 37%, внутричерепная гипертензия 34%, изменения ментального статуса 20%, сенсорный дефицит или парестезии 18%[2].
Литература
1. Гринберг М. С. Нейрохирургия. -М.: МЕДпресс-информ, 2010г. 1008с. ISBN 978-5-98322-550-3
2. Mitchel S. Berger, Michael D. Prados. Textbook of neuro-oncology. -Philadelphia.: Elsevier Inc, 2005. 854p. ISBN 0-7216-8148-4
Примечания
- Nevin S: Gliomatosis cerebri. Brain 61:170–191, 1938.
- Vates GE, Chang S, Lamborn KR, et al: Gliomatosis cerebri: a review of 22 cases. Neurosurgery 53:261–271, 2003
