Глиома
Глио́ма — опухоль, поражающая глиальные клетки головного или спинного мозга, входящая в гетерогенную группу и имеющая нейроэктодермальное происхождение. Глиома — самая распространённая первичная опухоль головного мозга. Глиомы различаются по степени злокачественности, гистологическим признакам, возрастом манифестации, способности к инвазии и опухолевому прогрессу и др.
| Глиома | |
|---|---|
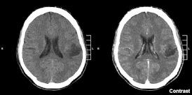
![]() Компьютерная томограмма больного с глиомой левой теменной доли, II степень злокачественности по классификации ВОЗ | |
| МКБ-10 | C71 |
| МКБ-9 | 191 |
| МКБ-О | M9380/3-9460/3 |
| DiseasesDB | 31468 |
| MeSH | D005910 |
Происхождение глиом
Вопрос о клетках-предшественниках глиом до сих пор является предметом дискуссий. Классически считается, что астроцитомы развиваются из астроцитарного ростка, а олигодендроглиомы из олигодендроглиального ростка. Однако ряд современных исследователей считает, что в основе происхождения глиом лежит наличие «окон злокачественной уязвимости» (англ. window of neoplastic vulnerability), то есть глиомы развиваются не из зрелых клеток глии (астроцитов и олигодендроцитов), а из медленно пролиферирующих клеток (англ. still-proliferating cells), в которых и происходит злокачественное перерождение. А направление опухолевой прогрессии (астроцитома или олигодендроглиома) определяется наличием различных генетических нарушений. Так, например, основной генетической поломкой, определяющей астроцитарный путь развития, является повреждение в гене TP53, для олигодендроглиом характерны утраты гетерозиготности в локусах 1p и 19q.
Также на генетическую предрасположенность к глиоме влияют мутации в генах DRD5, WDR1, NOMO1, PDXDC1[1].
Симптомы
Симптомы глиомы зависят от того, какая именно часть центральной нервной системы поражена[2]. Глиома головного мозга может вызывать головные боли, рвоту, судороги и поражения черепно-мозговых нервов в результате повышения внутричерепного давления. Глиома зрительного нерва может привести к потере зрения. Глиомы спинного мозга могут вызывать боль, слабость или онемение в конечностях. Глиомы обычно не дают метастазов в кровоток, но они могут распространяться через спинномозговую жидкость.
Классификация
Общепринятой и удобной является классификация глиальных опухолей Всемирной организации здравоохранения. В основу этой классификации легли четыре морфологических признака: ядерная атипия, фигуры митозов, микропролиферация эндотелия и области некрозов:
- I степень злокачественности (доброкачественная опухоль): пилоцитарная астроцитома.
- II степень злокачественности (один признак злокачественности, как правило клеточная атипия): диффузная астроцитома (фибриллярная, протоплазматическая, гемистоцитарная).
- III степень злокачественности (два признака из трех, исключая некрозы): анапластическая астроцитома.
- IV степень злокачественности (три или четыре признака, но обязательно наличие некроза): мультиформная глиобластома.
Также глиомы можно разделить по локализации (по отношению к намету мозжечка) на две группы: субтенториальные и супратенториальные.
Некоторые глиомы имеют важную особенность — их клетки соединены в единый «орган» сетью микротрубок, обеспечивающих рост опухоли и ее устойчивость к терапии[3].
См. также
Примечания
- Yen-Tsung Huang, Yi Zhang, Zhijin Wu, Dominique S. Michaud. Genotype-based gene signature of glioma risk (англ.) // Neuro-Oncology. — doi:10.1093/neuonc/now288.
- Глиомы - Неврологические расстройства. Справочник MSD Профессиональная версия. Дата обращения: 6 марта 2022.
- Клетки глиобластомы соединены сетью микротрубок, обеспечивающих рост опухоли и ее устойчивость к терапии
Ссылки
- Нейронауки для всех. История болезни: глиома
- Клиническая презентация больного с глиомой левой теменной доли (iNeurologist)
- Глиома // Малый энциклопедический словарь Брокгауза и Ефрона : в 4 т. — СПб., 1907—1909.
