Миксома сердца
Миксо́ма се́рдца (от лат. muxa, mucus — слизь) — доброкачественная опухоль, локализующаяся в левом или правом предсердии. Обычно растёт на ножке, прикреплённой к перегородке, разделяющей левую и правую половины сердца[1]. Следует отличать от миксоматоза.
| Миксома сердца | |
|---|---|
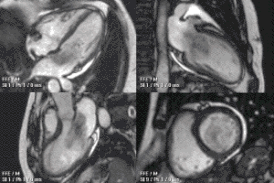
![]() Анимированное МРТ сердца демонстрирует большую миксому, пролабирующую из предсердия в желудочек и обратно через митральный клапан. | |
| МКБ-11 | XH6Q84 |
| МКБ-10 | D15.1, D21.9 |
| МКБ-9 | 212.7 |
| МКБ-О | M8840/0 |
| OMIM | 255960 |
| DiseasesDB | 30736 |
| eMedicine | med/186 |
| MeSH | D009232 |
Локализация
Миксомы, как правило, обнаруживают в левом или правом предсердии, около 86 % приходится на левое предсердие[2].
Миксома, как правило, на ножке, которой прикрепляется к межпредсердной перегородке. Наиболее часто опухоль прикрепляется в ямке овального окна межпредсердной перегородки.
Клиническая картина


Симптомы миксомы сердца включают[3]:
- одышку, возникающую при физической нагрузке,
- пароксизмальную ночную одышку,
- повышение температуры тела,
- потерю веса, вплоть до развития кахексии,
- головокружение или обморок (потеря сознания),
- кровохарканье (результат застоя в малом круге кровообращения),
- внезапная смерть,
- тахикардию в покое 75—100 ударов в минуту.
Диагностика
Миксома может вызывать шум в сердце, определяемый аускультативно. Миксома левого предсердия, создавая механическое препятствие на пути кровотока, ведёт к повышению давления в малом круге кровообращения.
Дифференциальная диагностика
Дифференциальный диагноз включает другие опухоли сердца: липомы, рабдомиомы и (редко) тератомы. Эти опухоли сердца, как правило, не на ножке и чаще прорастают в сердечную мышцу. Применение магнитно-резонансной томографии (МРТ) может помочь неинвазивно диагностировать опухоль сердца. Однако, для верификации диагноза обычно требуется изучения образца ткани патогистологом.
Лечение
Миксомы, как правило, удаляют хирургическим путём. Хирург удаляет миксому с захватом не менее 5 миллиметров окружающих здоровых тканей межпредсердной перегородки. Пластику перегородки осуществляют, используя материал сердечной сумки (перикарда).
См. также
- Кожные миксомы
- Опухоли сердца
- Синдром Карнея
Примечания
- Vaideeswar, P.; Butany, J. W. (Feb 2008). (Февраль 2008). «Benign cardiac tumors of the pluripotent mesenchyme.». Semin Diagn Pathol 25 (1): 20-8. PMID 18350919 . «Доброкачественные опухоли сердечной плюрипотентных мезенхимы.»:. Семин Диаг Pathol 25 (1) 20-8. PMID 18350919.
- Knepper L. E., Biller J., Adams H. P., Bruno A. (1988). «Neurologic manifestations of atrial myxoma. A 12-year experience and review». Stroke 19 (11): 1435-40. PMID 3188128.
- Fisher J. (1983). «Cardiac myxoma». Cardiovasc Rev Rep (4): 1195-9.
