Тимус
Ти́мус (лат. thymus, ви́лочковая железа, зо́бная железа[2][3]) — лимфоэпителиальный орган лимфопоэза человека и многих видов животных, в котором происходит созревание, дифференцировка и иммунологическое «обучение» T-клеток иммунной системы.
| Тимус | |
|---|---|
![]() Строение и расположение тимуса человека | |
| Объяснение функции тимуса | |
| Лимфа | Tracheobronchial lymph nodes[d] |
| Каталоги | |
Строение
Анатомия


Вилочковая железа — небольшой орган розовато-серого цвета, мягкой консистенции, поверхность её дольчатая. У новорождённых его размеры составляют в среднем 5 см в длину, 4 см в ширину и 6 мм в толщину, масса — около 15 граммов. Рост органа продолжается до начала полового созревания (в это время его размеры максимальны — до 7,5—16 см в длину, а масса достигает 20—37 граммов). С возрастом тимус подвергается атрофии и в старческом возрасте едва отличим от окружающей его жировой ткани средостения; в 75 лет средняя масса тимуса составляет всего 6 граммов. По мере инволюции он утрачивает белый цвет и за счёт увеличения в нём доли стромы и жировых клеток становится более жёлтым[4].
У представительниц женского пола размеры железы больше, что связано с разным воздействием на неё половых гормонов[5].
- Топография
Тимус расположен в верхней части грудной клетки, сразу за грудиной (верхнее средостение). Спереди к нему прилежит рукоятка и тело грудины до уровня IV реберного хряща; сзади — верхняя часть перикарда, покрывающего начальные отделы аорты и лёгочного ствола, дуга аорты, левая плечеголовная вена; с боков — медиастинальная плевра.
Отдельные группы долек тимуса встречаются вокруг или в толще ткани щитовидной железы, в мягких тканях шеи, в области миндалин, в жировой клетчатке переднего, реже заднего средостения. Частота выявления аберрантного тимуса достигает 25 %. Такие аномалии чаще наблюдаются у женщин, в основном с левой стороны шеи и средостения. В литературе имеются единичные сообщения об эктопии ткани тимуса у детей грудного возраста. Такая патология сопровождалась у них одышкой, дисфагией, дыхательной недостаточностью. По данным P. Nowak и соавт., из 91 случая эктопии вилочковой железы в 76 определяется шейная локализация, преимущественно у лиц мужского пола и слева. Отмечается также связь эктопии тимуса со врождёнными пороками сердца в 71 % случаев[6].
- Внешний вид
У человека тимус состоит из двух долей, которые могут быть сращены или же просто плотно прилегать друг к другу. Нижняя часть каждой доли широкая, а верхняя узкая; таким образом, верхний полюс может напоминать двузубую вилочку (отсюда и название).
Орган покрыт капсулой из плотной соединительной ткани, от которой в глубину отходят перемычки, делящие его на дольки.
У животных (зобная железа) развита у плодов и молодых животных[7]. Она состоит из непарного грудного отдела, лежащего впереди сердца, и парного шейного отдела, проходящего в виде выростов по бокам трахеи. С возрастом железа начинает рассасываться, а затем исчезает.
- Кровоснабжение, лимфоотток и иннервация
Кровоснабжение тимуса происходит из тимических, или тимусных ветвей внутренней грудной артерии (rami thymici arteriae thoracicae internae), тимических ветвей дуги аорты и плечеголовного ствола и ветвей верхней и нижней щитовидных артерий. Венозный отток осуществляется по ветвям внутренних грудных и плечеголовных вен.
Лимфа от органа оттекает в трахеобронхиальные и парастернальные лимфатические узлы.
Иннервирована вилочковая железа ветвями правого и левого блуждающих нервов, спинномозговыми нервами C4-C7, а также симпатическими нервами, происходящими из верхнего грудного и звездчатого узлов симпатического ствола, находящимися в составе нервных сплетений, которые окружают питающие орган сосуды[8][9][10]. Капсула тимуса иннервируется ветвями диафрагмальных нервов[11].
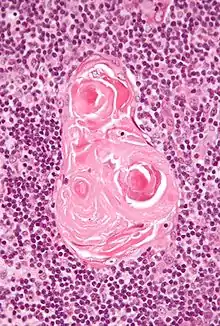
Гистология


Вилочковая железа имеет дольчатое строение, в ткани дольки различают корковое и мозговое вещество. Корковое вещество расположено на периферии дольки и в гистологическом микропрепарате выглядит тёмным (в нём много лимфоцитов — клеток с крупными ядрами). В корковом веществе расположены артериолы и кровеносные капилляры, имеющие гемато-тимусный барьер, препятствующий заносу антигенов из крови.
Корковое вещество содержит клетки:
- эпителиального происхождения:
- опорные клетки: формируют «каркас» ткани, образуют гемато-тимусный барьер;
- звездчатые клетки: секретируют растворимые тимические (или тимусные) гормоны — тимопоэтин, тимозин и другие, регулирующие процессы роста, созревания и дифференцировки Т-клеток и функциональную активность зрелых клеток иммунной системы.
- клетки-«няньки»: имеют инвагинации, в которых развиваются лимфоциты;
- гематопоэтические клетки:
- лимфоидного ряда: созревающие T-лимфоциты;
- макрофагального ряда: типичные макрофаги, дендритные и интердигитирующие клетки.
Непосредственно под капсулой в клеточном составе преобладают делящиеся Т-лимфобласты. Глубже находятся созревающие Т-лимфоциты, постепенно мигрирующие к мозговому веществу. Процесс созревания занимает примерно 20 суток. В ходе созревания их происходит реаранжировка генов и формирование гена, кодирующего TCR (Т-клеточный рецептор).
Далее они претерпевают положительную селекцию: во взаимодействии с эпителиальными клетками отбираются «функционально пригодные» лимфоциты, которые способны взаимодействовать с HLA; в ходе развития лимфоцит дифференцируется в хелпер или киллер, то есть на его поверхности остаётся либо CD4, либо CD8. Далее в контакте с эпителиальными клетками стромы отбираются клетки, способные к функциональному взаимодействию: CD8+ лимфоциты, способные к рецепции HLA I, и CD4+ лимфоциты, способные к рецепции HLA II.
Следующий этап — отрицательная селекция лимфоцитов — протекает на границе с мозговым веществом. Дендритные и интердигитирующие клетки — клетки моноцитарного происхождения — отбирают лимфоциты, способные к взаимодействию с антигенами собственного организма, и запускают их апоптоз.
В мозговом веществе в основном содержатся дозревающие Т-лимфоциты. Отсюда они мигрируют в кровоток венул с высоким эндотелием и расселяются по организму. Предполагается также наличие здесь зрелых рециркулирующих Т-лимфоцитов.
Клеточный состав мозгового вещества представлен опорными эпителиальными клетками, звездчатыми клетками, макрофагами. Имеются также выносящие лимфатические сосуды и тельца Гассаля.
Физиология
Функции
Основная роль тимуса — дифференцировка и клонирование Т-лимфоцитов. В тимусе Т-лимфоциты проходят селекцию, в результате чего в кровоток и ткани выходят клетки, которые могут вовлекаться в иммунный ответ против определённых чужеродных антигенов, но не собственного тела. Вырабатывает гормоны: тимозин, тимулин, тимопоэтин, инсулиноподобный фактор роста-1 (ИФР-1), тимусный гуморальный фактор — все они являются белками (полипептидами). При гипофункции тимуса — снижается иммунитет, так как снижается количество Т-лимфоцитов в крови.
Рядом исследований продемонстрирован мнемотропный эффект пептидов тимуса: показано активирующее влияние интраназального введения тактивина и тимозина фракции 5 на процесс формирования условного рефлекса активного избегания, их стресспротекторные свойства и ноотропный эффект от введения в экспериментах на крысах[12]. Влияние пептидов тимуса на функциональную активность центральной нервной системы также заключается в снижении тревожности и увеличении исследовательской активности крыс[13]. Получены интересные результаты о связи состояния тимуса с долголетием человека: в ходе применения препаратов для продления деятельности вилочковой железы снизился биологический возраст девяти испытуемых[14].
Регуляция
Секреция тимических гормонов и функция тимуса регулируется глюкокортикоидами — гормонами коры надпочечников, а также растворимыми иммунными факторами — интерферонов, лимфокинов, интерлейкинов, которые вырабатываются другими клетками иммунной системы. Глюкокортикоиды угнетают иммунитет, а также многие функции тимуса, и приводят к его атрофии.
Пептиды шишковидной железы замедляют инволюцию тимуса[15]. Аналогичным образом действует её гормон мелатонин, способный даже вызывать «омоложение» органа[16]. «Омоложению» тимуса также может способствовать лимфопоэтический фактор роста интерлейкин 7[17], что в будущем может быть использовано для разработки методов восстановления иммунной функции у пожилых людей с помощью лечения рекомбинантным интерлейкином 7[18][19].
Морфогенез
Онтогенез
У эмбриона человека тимус закладывается на 6 неделе развития[20] в энтодерме третьего жаберного кармана. У новорождённого тимус развит до 15 г, к 15 годам увеличиваясь до 40 г. В дальнейшем, к 30 годам вес составляет около 25 г, к 70 годам — всего около 6 г. В исключительных случаях у взрослого человека может не происходить ярко выраженной инволюции вилочковой железы, такое состояние носит название лат. status thymicolymphaticus[11]. Инволюция железы задерживается также у кастрированных животных[21].
Строма тимуса имеет эпителиальное происхождение, происходит из эпителия передней части первичной кишки. Два тяжа (дивертикула) берут начало из третьей жаберной дуги и прорастают в переднее средостение. Иногда строма тимуса формируется также добавочными тяжами из четвёртой пары жаберных дуг. Лимфоциты происходят из стволовых клеток крови, мигрирующих в тимус из печени на ранних стадиях внутриутробного развития. Первоначально в ткани тимуса происходит пролиферация различных клеток крови, но вскоре его функция сводится к образованию Т-лимфоцитов.
Размеры тимуса максимальны в детском возрасте, но после начала полового созревания тимус подвергается значительной атрофии и инволюции. Дополнительное уменьшение размеров тимуса происходит при старении организма, с чем отчасти связывают понижение иммунитета у пожилых людей.
Филогенез
Заболевания тимуса
- Синдром MEDAC
- Синдром Ди Георга
- Миастения — может быть самостоятельным заболеванием, но часто ассоциирована с патологией тимуса и тимомой
Опухоли
- Тимома — из эпителиальных клеток вилочковой железы
- Т-клеточная лимфома — из лимфоцитов и их предшественников
- Пре-Т-лимфобластные опухоли в ряде случаев имеют первичную локализацию в тимусе и выявляются как массивный инфильтрат в средостении с последующей быстрой трансформацией в лейкоз.
- нейроэндокринные опухоли
- более редкие опухоли (сосудистого и нервного происхождения)
Опухоли вилочковой железы могут быть проявлением синдрома множественной эндокринной неоплазии I типа.[22]
Тимус в культуре
Тимус животных может употребляться в пищу человеком, к примеру в таких блюдах как: сладкое мясо, уйкулук.
См. также
- Гемато-тимусный барьер
- Вилочка
- Сумка Фабрициуса
- Тимэктомия — оперативное удаление тимуса[23]
Примечания
- Thymus // Foundational Model of Anatomy
- Ковальчук Л. В., Алёшин Б. В., Сорокин А. Ф., Юсфина Э. 3., Ивановская Т. Е., Кузин М. И., Пирогов A. И., Панов Н. А., Таболин B. А. Вилочковая железа // Большая медицинская энциклопедия : в 30 т. / гл. ред. Б. В. Петровский. — 3-е изд. — М. : Советская энциклопедия, 1977. — Т. 4 : Валин — Гамбия. — 576 с. : ил.
- Тимус // Большая российская энциклопедия : [в 35 т.] / гл. ред. Ю. С. Осипов. — М. : Большая российская энциклопедия, 2004—2017..
- Gray, H. 4c. The Thymus // (bartleby.com) Anatomy of the Human Body (неопр.). — Philadelphia: Lea & Febiger, 1918.
- Миастенические расстройства: физиологииа, патофизиологииа, клиника / Под ред. Н. И. Гращенкова. Лаборатория по изучению нервных и гуморальных регуляции АН СССР // М.: Наука, 1965. — 308 с. (С. 56-60).
- Щербина В.И., Банина В.Б., Бородулина Л.Г., Полянская З.И., Степанова Е.А. Шейная локализация аберрантной вилочковой железы // Детская хирургия.. — 2009. — № 1. — С. 52. — ISSN 1560-9510.
- Вилочковая железа // Ветеринарный энциклопедический словарь — М.: Советская энциклопедия, 1981. — 640 с.
- Parasympathetic innervation of the thymus: a histochemical and immunocytochemical study
- Noradrenergic and peptidergic innervation of lymph… [J Immunol. 1985] — PubMed — NCBI
- Innervation of the Human Thymus and Spleen — an Overview
- Синельников Р. Д., Синельников Я. Р., Синельников А. Я. Атлас анатомии человека. Том 3: Учение о сосудах и лимфоидных органах / Изд. 7-е, перераб. В 4-х томах // М.: Новая волна, 2009. — 216 с. ISBN 978-5-7864-0201-9. С. 197, 201.
- Мнемотропный эффект интраназального введения пептидов тимуса. cyberleninka.ru. Дата обращения: 21 июня 2017.
- Medline.ru - Биомедицинский журнал | Влияние интраназального введения пептидов тимуса на поведение и обучение крыс. medline.ru. Дата обращения: 21 июня 2017.
- Gregory M. Fahy, Robert T. Brooke, James P. Watson, Zinaida Good, Shreyas S. Vasanawala. Reversal of epigenetic aging and immunosenescent trends in humans (англ.) // Aging Cell. — 2019. — Vol. 18, iss. 6. — P. e13028. — ISSN 1474-9726. — doi:10.1111/acel.13028.
- SpringerLink — Advances in Gerontology, Volume 1, Number 3 (недоступная ссылка)
- Rejuvenation of degenerative thymus by oral mel… [J Pineal Res. 2001] — PubMed — NCBI
- Aspinall, R., Pido-Lopez, J., Imami, N., Henson, S. M., Ngom, P. T., Morre, M., ... & Heeney, J. L. (2007). Old rhesus macaques treated with interleukin-7 show increased TREC levels and respond well to influenza vaccination. Rejuvenation research, 10(1), 5-18. doi:10.1089/rej.2006.9098 PMID 17378748
- Aspinall, R., & Lang, P. O. (2018). Interventions to restore appropriate immune function in the elderly. Immunity & Ageing, 15(1), 5. doi:10.1186/s12979-017-0111-6 PMC 5785902
- Aspinall, R., & Lang, P. O. (2018). Interleukin-7 and Immunorejuvenation In: Fulop T., Franceschi C., Hirokawa K., Pawelec G. (eds) Handbook of Immunosenescence. Springer, Cham. https://doi.org/10.1007/978-3-319-64597-1_72-1
- Вилочковая железа // Вешин — Газли. — М. : Советская энциклопедия, 1971. — С. 60. — (Большая советская энциклопедия : [в 30 т.] / гл. ред. А. М. Прохоров ; 1969—1978, т. 5).
- Зобная железа // Земля — Индейцы. — М. : Советская энциклопедия, 1952. — С. 140. — (Большая советская энциклопедия : [в 51 т.] / гл. ред. Б. А. Введенский ; 1949—1958, т. 17).
- Simultaneous double thymic carcinoids: a rare initial manifestation of multiple endocrine neoplasia type 1 - Springer. Дата обращения: 29 марта 2013. (недоступная ссылка)
- Морозов Ю. И. Тимэктомия // Большая медицинская энциклопедия : в 30 т. / гл. ред. Б. В. Петровский. — 3-е изд. — М. : Советская энциклопедия, 1985. — Т. 25 : Тениус — Углекислота. — 544 с. : ил.
Литература
- Гистология, цитология и эмбриология (учебник для вузов). Кузнецов С. Л., Мушкамбаров Н. Н. — М.: МИА, 2007.
- Анатомия человека. В двух томах. Т.2/Авторы: М. Р. Сапин, В. Я. Бочаров, Д. Б. Никитюк и др./Под редакцией М. Р. Сапина. — 5-е издание, переработанное и дополненное. — М.: Медицина, 2001. — 640 с.: ил. ISBN 5-225-04586-3
- Курс лекций по патологической анатомии. Частный курс. Часть II, книги 1,2. / Под ред. академика РАН и РАМН, профессора М. А. Пальцева. — М.: ООО «Издательский дом „Русский врач“», 2003. — 210 с.
- Горлова А. В., Павлов Д. А., Ольховик А. Ю., и др. Мнемотропный эффект интраназального введения пептидов тимуса // Здоровье и образование в XXI веке. — 2016. — Т. 18. — № 1. — С. 1—5. [Gorlova AV, Pavlov DA, Olkhovik AYu, et al. Mnemotropic effect of intranasal administration of thymus peptides. Health and Education Millennium. — 2016. — 18(1): 1—5.]
- Ольховик А. Ю., Новоселецкая А. В. Влияние интраназального введения пептидов тимуса на поведение и обучение крыс // Medline.ru. — 2015. — Т. 16. — С. 1106—1117.
- Зобная железа // Энциклопедический словарь Брокгауза и Ефрона : в 86 т. (82 т. и 4 доп.). — СПб., 1890—1907.
