Синдром Шерешевского — Тёрнера
Синдро́м Шереше́вского — Тёрнера (СШТ) — геномная болезнь, сопровождающаяся характерными аномалиями физического развития, низкорослостью и половым инфантилизмом. Моносомия по X-хромосоме (XО).
| Синдром Шерешевского — Тёрнера | |
|---|---|
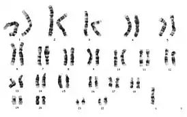
![]() Кариотип 45,(X0). | |
| МКБ-11 | LD50.0 |
| МКБ-10 | Q96 |
| МКБ-10-КМ | Q96, Q96.0 и Q96.9 |
| МКБ-9 | 758.6 |
| DiseasesDB | 13461 |
| MedlinePlus | 000379 |
| eMedicine | ped/2330 |
| MeSH | D014424 |
История
Впервые эта болезнь как наследственная была описана в 1925 году советским эндокринологом Н. А. Шерешевским, который считал, что она обусловлена недоразвитием половых желёз и передней доли гипофиза и сочетается с врождёнными пороками внутреннего развития. В 1938 г. Тёрнер выделил характерную для этого симптомокомплекса триаду симптомов: половой инфантилизм, кожные крыловидные складки на боковых поверхностях шеи и деформацию локтевых суставов. В России этот синдром принято называть синдромом Шерешевского — Тёрнера. Этиология заболевания (моносомия по X-хромосоме) была раскрыта Чарльзом Эдмундом Фордом в 1959 г.
Этиология
Помимо полной моносомии по Х-хромосоме, СШТ также может быть вызван структурными изменениями в одной Х-хромосоме. Возможны следующие хромосомные аберрации, приводящие к фенотипу СШТ:
- Х моносомия (45,ХО);
- Частичная или полная делеция короткого плеча Х-хромосомы (delXp);
- Полная делеция длинного плеча Х-хромосомы (delXq);
- Изохромосома длинного плеча Х-хромосомы (i (Xq));
- кольцевая X хромосома (r (X));
- маркерная хромосома (46, X + m);
- мозаицизм, то есть наличие более чем двух клеточных линий у одного человека, чаще всего 45,X/46,XX и 45,X/46,XY.
В зависимости от размера поражений, клинические симптомы отличаются. В случае мозаицизма также может отсутствовать полный спектр симптомов[1][2][3].
| Кариотип | Пренатально | Постнатально |
|---|---|---|
| 45,X | 64 % | 47 % |
| 45,X/46,XX | 22 % | 17 % |
45,X/46,XX, i(Xq);
и иные варианты |
4 % | 12 % |
45,X/46,X,del(X);
|
7 % | 8 % |
45,X/46,XX/47,XXX;
|
2 % | 5 % |
| 45,X/46,X,r(X) | <1 % | 6 % |
| 45,X/46,XY | 3 % | |
| Другие варианты с
наличием части Y-хромосомы |
3 % |
Патофизиология
Картирование Х-хромосомы и изучение некоторых её генов позволили связать некоторые особенности СШТ с нарушением функции определённых генов. Также оказалось, что изменчивость цитогенетического изображения выражается в изменчивости фенотипа пациентов с СШТ, что важно при прогнозировании течения заболевания.
| Ген | Локус | Особенности фенотипа | OMIM |
|---|---|---|---|
| SHOX (PHOG) | Xpter-p22.32 | Низкий рост и дефекты конечностей[5][6] | 312865 |
| ODG2 (BMP15) | Xp11.2 | Аномальное развитие гонад | 300247 |
| Xp11.4-21.1 | Развитие лимфедемы и крыловидных складок кожи в области шеи[7][8] | ||
| GBY | Y | Гонадобластома[9] | 424500 |
| VSPA | Xp22.33 | Ограничение нейрокогнитивных способностей[10] | 313000 |
| STS | Xp22.3 | Ограничение нейрокогнитивных способностей[11] | |
| NLGN4X | Xp22.3 | Ограничение нейрокогнитивных способностей[11] |
Основные сведения
Чёткой связи возникновения синдрома Шерешевского — Тёрнера с возрастом и какими-либо заболеваниями родителей не выявлено. Однако беременности обычно осложняются токсикозом, угрозой выкидыша, а роды часто бывают преждевременными и патологическими. Особенности беременностей и родов, заканчивающихся рождением ребёнка с синдромом Шерешевского — Тёрнера, — следствие хромосомной патологии плода. Нарушение формирования половых желёз при синдроме Шерешевского — Тёрнера обусловлено отсутствием или структурными дефектами одной половой хромосомы (X-хромосомы).
У эмбриона первичные половые клетки закладываются почти в нормальном количестве, но во второй половине беременности происходит их быстрая инволюция (обратное развитие), и к моменту рождения ребёнка количество фолликулов в яичнике по сравнению с нормой резко уменьшено или они полностью отсутствуют. Это приводит к выраженной недостаточности женских половых гормонов, половому недоразвитию, у большинства больных — к первичной аменорее (отсутствию менструаций) и бесплодию. Возникшие хромосомные нарушения являются причиной возникновения пороков развития. Возможно также, что сопутствующие аутосомные мутации играют определённую роль в появлении пороков развития, поскольку существуют состояния, сходные с синдромом Шерешевского — Тёрнера, но без видимой хромосомной патологии и полового недоразвития.

При синдроме Шерешевского — Тёрнера половые железы обычно представляют собой недифференцированные соединительнотканные тяжи, не содержащие элементов гонад. Реже встречаются рудименты яичников и элементы яичек, а также рудименты семявыносящего протока. Другие патологические данные соответствуют особенностям клинических проявлений. Наиболее важны изменения костно-суставной системы — укорочение пястных и плюсневых костей, аплазия (отсутствие) фаланг пальцев, деформация лучезапястного сустава, остеопороз позвонков. Рентгенологически при синдроме Шерешевского — Тёрнера турецкое седло и кости свода черепа обычно не изменены. Отмечаются пороки сердца и крупных сосудов (коарктация аорты, незаращение боталлова протока, незаращение межжелудочковой перегородки, сужение устья аорты), пороки развития почек. Проявляются рецессивные гены дальтонизма и других заболеваний.
Синдром Шерешевского — Тёрнера встречается намного реже, чем трисомия X, синдром Клайнфельтера (XXY, XXXY), а также XYY, что указывает на наличие сильного отбора против гамет, не содержащих половых хромосом, или против зигот XО. Это предположение подтверждается достаточно часто наблюдаемой моносомией X среди спонтанно абортированных зародышей. В связи с этим допускается, что выжившие зиготы XО являются результатом не мейотического, а митотического нерасхождения, или утраты X-хромосомы на ранних стадиях развития. Моносомии YО у человека не обнаружено. Популяционная частота 1:1500.
Все регионы мира и культуры затрагиваются данной патологией примерно одинаково. По оценкам, она проявляется у 3 % всех плодов человека. Однако только 1 % этих плодов выживают после родов[12].
Клиническая картина и диагностика
.jpg.webp)
При синдроме Шерешевского — Тёрнера у человека могут встречаться следующие симптомы:
- Низкорослость (98 %)
- Общая диспластичность (неправильное телосложение) (92 %)
- Лимфостаз (отёк) рук и ног новорождённого (24 %)
- Бочкообразная грудная клетка и широко расставленные соски (75 %)
- Укорочение шеи (63 %)
- Низкая линия роста волос на затылке (57 %)
- Высокое «готическое» нёбо (56 %)
- Низко посаженные уши, деформация ушных раковин (46 %)
- Бесплодие
- Рудиментарные яичники (недоразвитые структуры гонад, которые впоследствии становятся фиброзными)
- Аменорея, отсутствие менструального цикла
- Увеличение веса, ожирение
- Укорочение метакарпальных и метатарзальных костей и аплазия фаланг (46 %)
- Маленькие ногти
- Специфичные черты лица
- Крыловидные складки кожи в области шеи (46 %)
- Деформация локтевых суставов (36 %),
- Множественные пигментные родинки (35 %),
- Стеноз аортального клапана
- Коарктация аорты
- Двустворчатый аортальный клапан (наиболее распространённая сердечная проблема)
- Повышенное артериальное давление (17 %)
- Подкововидная почка
- Нарушения зрения — склера, роговица, глаукома и др.
- Ушные инфекции и потеря слуха
- Высокое соотношение талии и бёдер (бёдра не намного больше талии)
- Синдром дефицита внимания и гиперактивности
- Невербальные трудности в обучении (проблемы с математикой, социальными навыками и пространственными отношениями)
Другие особенности могут включать небольшую нижнюю челюсть (микрогнатия), cubitus valgus[13], мягкие поднятые ногти, ладонную складку и опущенные веки. Синдром Шерешевского-Тёрнера проявляется по-разному у каждого человека.
Отставание больных с синдромом Шерешевского — Тёрнера в физическом развитии заметно уже с рождения. Примерно у 15 % больных задержка наблюдается в период полового созревания. Для доношенных новорождённых характерна малая длина (42—48 см) и масса тела (2500—2800 г и менее). Характерными признаками синдрома Шерешевского — Тёрнера при рождении являются избыток кожи на шее и другие пороки развития, особенно костно-суставной и сердечно-сосудистой систем, «лицо сфинкса», лимфостаз (застой лимфы, клинически проявляющийся крупными отёками). Для новорождённого характерны общее беспокойство, нарушение сосательного рефлекса, срыгивание фонтаном, рвота. В раннем возрасте у части больных отмечают задержку психического и речевого развития, что свидетельствует о патологии развития нервной системы. Наиболее характерным признаком является низкорослость. Рост больных не превышает 135—145 см, масса тела часто избыточна.

Половое недоразвитие при синдроме Шерешевского — Тёрнера отличается определённым своеобразием. Нередкими признаками являются геродермия (патологическая атрофия кожи, напоминающая старческую) и мошонкообразный вид больших половых губ, высокая промежность, недоразвитие малых половых губ, девственной плевы и клитора, воронкообразный вход во влагалище. Молочные железы у большинства больных не развиты, соски низко расположены. Вторичное оволосение появляется спонтанно и бывает скудным. Матка недоразвита. Половые железы не развиты и представлены обычно соединительной тканью. При синдроме Тёрнера отмечается склонность к повышению артериального давления у лиц молодого возраста и к ожирению с нарушением питания тканей.
Интеллект у большинства больных с синдромом Шерешевского — Тёрнера практически сохранён, однако частота олигофрении всё же выше. Умственная отсталость у больных данным синдромом встречаются чаще, чем в популяции[14]. В психическом статусе больных с синдромом Шерешевского — Тёрнера главную роль играет своеобразный психический инфантилизм с эйфорией при хорошей практической приспособляемости и социальной адаптации. У многих больных наблюдаются сниженные познавательные интересы, недостаточность пространственных представлений, недоразвитие эмоционально-волевой сферы и отсутствие творческих запросов[14].
Диагноз синдрома Шерешевского — Тёрнера основывается на характерных клинических особенностях, определении полового хроматина (вещества клеточного ядра) и исследовании кариотипа (хромосомного набора). Дифференциальный диагноз проводится с:
- Нанизмом (карликовостью), для исключения которого проводится определение содержания гормонов гипофиза в крови, особенно гонадотропинов
- Синдромом Перро[15]
- Синдром Нунан, расстройство, которое часто путают с синдромом Шерешевского — Тёрнера из-за нескольких общих физических черт.
Пренатальные симптомы
Несмотря на благоприятный постнатальный прогноз, считается, что 99 % случаев СШТ заканчиваются выкидышем или мертворождением[16], и до 15 % всех спонтанных абортов имеют кариотип 45,X0[17][18]. Исследование показало, что распространённость СШТ среди протестированных беременностей была соответственно в 5,58 и 13,3 раза выше, чем среди живых новорождённых в аналогичной популяции[19].
Сердечно-сосудистые симптомы
Частота сердечно-сосудистых пороков развития у пациентов с СШТ составляет от 17 %[20] до 45 %[21]. Различия, обнаруженные в различных исследованиях, в основном связаны с различиями в неинвазивных методах, используемых для скрининга, и типами поражений, которые они могут характеризовать[22]. Тем не менее, это может быть просто связано с небольшим количеством обследованных людей в большинстве исследований[23].
Различные кариотипы могут иметь различные показатели сердечно-сосудистых пороков. В двух исследованиях было установлено, что частота сердечно-сосудистых пороков составляет 30 %[24] и 38 %[25] в группе с чистой 45 X0-моносомией. Однако, принимая во внимание другие группы кариотипов, они показали распространённость в 24,3 %[24] и 11 %[25] у людей с мозаичной Х-моносомией и 11 % у людей со структурными аномалиями в Х хромосоме[24].
Более высокая частота сердечно-сосудистых пороков в группе лиц с чистой 45,X0 моносомий в основном обусловлена разницей в частоте аномалий аортального клапана и коарктации аорты, двух наиболее распространённых сердечно-сосудистых пороков развития.
Врождённые пороки сердца
Чаще всего наблюдаются врождённые обструктивные поражения левой стороны сердца, приводящие к уменьшению кровотока на этой стороне сердца. Более 50 % сердечно-сосудистых пороков развития у людей с СШТ в одном исследовании были двустворчатые клапаны аорты или коарктация аорты (обычно предуктальная), отдельно или в комбинации[24].
Другие врождённые пороки сердечно-сосудистой системы, такие как частичный аномальный венозный отток и стеноз аортального клапана или аортальная регургитация, также чаще встречаются при СШТ, чем в общей популяции. Гипопластический левый сердечный синдром представляет собой наиболее серьёзное сокращение левосторонних структур.
Двустворчатый аортальный клапан
До 15 % взрослых с СШТ имеют двустворчатые клапаны аорты, то есть присутствуют только две, вместо трёх, части клапанов в главном кровеносном сосуде, идущие от сердца. Поскольку двустворчатые клапаны способны правильно регулировать кровоток, это состояние может остаться незамеченным без регулярного скрининга. Однако двустворчатые клапаны чаще изнашиваются. Кальцификация также происходит в клапанах[26], что может привести к прогрессирующей дисфункции клапанов, о чём свидетельствует стеноз аорты или регургитация[27].
С вероятностью от 12,5 %[25] до 17,5 % двустворчатый аортальный клапан является наиболее распространённым врождённым пороком развития, поражающим сердце при этом синдроме. Обычно он изолирован, но его можно увидеть в сочетании с другими аномалиями, особенно коарктацией аорты.
Коарктация аорты
От 5 % до 10 % пациентов с СШТ имеют коарктацию аорты, врождённый порок сердца, проявляющийся сегментарным сужением просвета аорты, обычно дистально от начала левой подключичной артерии и напротив артериального протока (называемого «юкстадуктальным»). Оценки распространённости этого порока развития у пациентов с СШТ варьируются от 6,9[24] до 12,5 %. Коарктация аорты у женщины наводит на мысль о СШТ и предполагает необходимость дальнейшего обследования, включая кариотипирование.
Частичный аномальный венозный дренаж
Эта аномалия является относительно редким врождённым пороком сердца в общей популяции. Распространённость этой аномалии также низкая (около 2,9 %) при СШТ. Тем не менее, его относительный риск составляет 320 по сравнению с населением в целом. СШТ, по-видимому, связан с необычными формами частичного аномального венозного дренажа[24][28].
У пациента с СШТ эти левосторонние сердечно-сосудистые мальформации могут привести к повышенной восприимчивости к инфекционному эндокардиту. Поэтому следует учитывать приём антибиотиков в профилактических целях при выполнении процедур с высоким риском эндокардита[27].
СШТ часто ассоциируется с постоянной гипертонией, иногда в детстве. В остальном это обычно связано с сердечно-сосудистыми или почечными нарушениями, включая коарктацию аорты.
Расширение аорты, расслоение и разрыв
В двух исследованиях было сделано предположение о дилатации аорты при СШТ, которая обычно затрагивает корень восходящей аорты и иногда распространяется через дугу аорты до нисходящей аорты или в месте предшествующей коарктации восстановления аорты[29].
Исследование, в котором обследовали 28 девочек с СШТ, выявило больший средний диаметр корня аорты у людей с СШТ, чем в контрольной группе (сопоставимой по площади поверхности тела). Тем не менее, диаметр корня аорты, обнаруженный у пациентов с СШТ, все ещё находился в допустимых пределах[30].
Это было подтверждено исследованием, в котором оценивались 40 пациентов с СШТ[21]. Исследование представило в основном те же результаты: больший средний диаметр корня аорты, который, тем не менее, остаётся в пределах нормы для площади поверхности тела.
Вопрос о том, являются ли диаметры корней аорты, которые относительно велики для площади поверхности тела, но все же находятся в пределах нормы, предполагают риск прогрессирующего расширения, остаётся недоказанным[23].
Частота аномалий аорты
Распространённость дилатации корня аорты колеблется от 8,8[29] до 42 %[27] у пациентов с СШТ. Даже если не каждая дилатация корня аорты обязательно приводит к расслоению аорты (периферический или поперечный разрыв интимы), могут возникнуть такие осложнения, как расслоение, разрыв аорты, приводящий к смерти. Естественная история дилатации корня аорты до сих пор неизвестна, но она связана с расслоением и разрывом аорты, которое имеет высокий уровень смертности[31].
Расслоение аорты поражает 1—2 % пациентов с СШТ. В результате, любая дилатация корня аорты должна быть серьёзно учтена, так как это может привести к фатальному расслоению аорты. Рутинное наблюдение настоятельно рекомендуется[27].
Факторы риска разрыва аорты
Сердечно-сосудистые мальформации (как правило, двустворчатый аортальный клапан, коарктация аорты и некоторые другие левосторонние пороки сердца) и гипертония предрасполагают к дилатации и расслоению аорты в общей популяции. Действительно, эти же факторы риска обнаруживаются более чем у 90 % пациентов с СШТ, у которых развивается дилатация аорты. Только небольшое количество пациентов (около 10 %) не имеют явных предрасполагающих факторов риска. Риск артериальной гипертонии увеличивается в три раза у пациентов с СШТ. Из-за его связи с расслоением аорты необходимо регулярно контролировать артериальное давление и агрессивно лечить артериальную гипертензию с целью поддержания артериального давления ниже 140/80 мм рт. Как и при других сердечно-сосудистых мальформациях, осложнения дилатации аорты обычно связаны с 45, X кариотипом[27].
Патогенез расслоения и разрыва аорты
Точная роль, которую эти факторы риска играют в процессе, приводящем к разрыву, неясна. Считается, что дилатация корня аорты обусловлена мезенхимальным дефектом, так как в нескольких исследованиях были обнаружены патологические признаки кистозно-медиального некроза. Связь между подобным дефектом и дилатацией аорты хорошо установлена в таких условиях, как синдром Марфана. Кроме того, аномалии в других мезенхимальных тканях (костный матрикс и лимфатические сосуды) свидетельствуют о сходном первичном мезенхимальном дефекте у пациентов с СШТ[29]. Тем не менее, нет доказательств того, что пациенты с СШТ имеют значительно более высокий риск дилатации и расслоения аорты в отсутствие предрасполагающих факторов. Таким образом, риск расслоения аорты при СШТ, по-видимому, является следствием структурных пороков развития сердечно-сосудистой системы и гемодинамических факторов риска, а не отражением врождённой аномалии в соединительной ткани. Естественная история дилатации корня аорты неизвестна, но из-за её летального потенциала необходимо тщательно следить за этой аномалией аорты.
Скелетные симптомы
Нормальное развитие скелета тормозится из-за большого разнообразия факторов, в основном гормональных. Средний рост женщины с СШТ при отсутствии лечения гормоном роста составляет 140 см. Пациенты с мозаичным СШТ могут достигать нормального среднего роста.
Четвёртая пястная кость (четвёртый палец и безымянный палец) может быть необычно короткой, как и пятая.
Из-за недостаточной выработки эстрогена у многих людей с СШТ развивается остеопороз. Это может ещё больше снизить рост, а также усугубить искривление позвоночника, что может привести к сколиозу. Также это приводит к повышенному риску переломов костей.
Почки
Около трети всех женщин с СШТ имеют одну из трёх патологий почек:
- Одна подковообразная почка на одной стороне тела (вместо двух обычных).
- Неправильная система сбора мочи
- Плохой кровоток в почках
Некоторые из этих состояний могут быть исправлены хирургическим путём. Даже с этими нарушениями почки у большинства женщин с СШТ функционируют нормально. Однако, как отмечалось выше, проблемы с почками могут быть связаны с гипертонией.
Щитовидная железа
Приблизительно у трети всех женщин с СШТ есть заболевание щитовидной железы[27]. Обычно это гипотиреоз, в частности тиреоидит Хашимото. При обнаружении его можно легко лечить гормонами щитовидной железы.
Диабет
Женщины с СШТ имеют умеренно повышенный риск развития диабета | типа в детском возрасте и значительно повышенный риск развития диабета || типа в зрелом возрасте. Риск развития диабета || типа может быть существенно снижен путём поддержания здорового веса.
Когнитивные проблемы
Люди с СШТ имеют нормальный интеллект и вербальные навыки, но могут демонстрировать более слабые невербальные навыки — особенно в арифметике, некоторых визуальных и пространственных навыках и скорости обработки[32]. СШТ обычно не вызывает умственную отсталость. Тем не менее, трудности с обучением характерны для людей с СШТ, особенно это касается специфических трудностей восприятия пространственных отношений, таких как невербальное расстройство обучения[33]. Хотя это невозможно исправить, в большинстве случаев это не вызывает трудностей в повседневной жизни. Большинство пациентов с СШТ ведут обычный образ жизни.
Редкая разновидность СШТ, известная как «Ring-X Turner syndrome», в 60 % связана с умственной отсталостью. На этот тип приходится около 2—4 % всех случаев СШТ[34].
Психологические проблемы
Социальные трудности, по-видимому, являются областью уязвимости для людей с СШТ[35]. Консультирование таких пациентов и их семей о необходимости тщательно развивать социальные навыки и отношения могут оказаться полезными для продвижения социальной адаптации. Люди с СШТ могут испытывать негативные психосоциальные последствия, которые можно улучшить с помощью раннего вмешательства и предоставления соответствующей психологической и психиатрической помощи. Генетические, гормональные и медицинские проблемы, связанные с СШТ, вероятно, влияют на психосексуальное развитие таких пациентов и, таким образом, влияют на их психологическое функционирование, модели поведения, социальные взаимодействия и способности к обучению. Хотя СШТ представляет собой хроническое заболевание, с возможными физическими, социальными и психологическими осложнениями в жизни, заместительная гормональная терапия, а также вспомогательная репродукция, являются методами лечения, которые могут быть полезны для пациентов с СШТ и могут улучшить их качество жизни[36]. Исследования показывают возможную связь между возрастом на момент постановки диагноза и увеличением употребления психоактивных веществ и симптомами депрессии[37].
Репродуктивные проблемы
Люди с СШТ практически всегда бесплодны. Хотя некоторые женщины с СШТ успешно забеременели и перенесли беременность, это очень редкое явление и обычно встречается у тех женщин, у которых кариотип не 45,X0[38][39]. Даже когда такие беременности случаются, риск выкидыша или врождённых дефектов выше, чем в среднем, включая СШТ или синдром Дауна[40]. Некоторые женщины с СШТ, которые не могут зачать ребёнка без медицинского вмешательства, могут использовать ЭКО или другие методы лечения бесплодия[41].
Обычно заместительная терапия эстрогенами используется для стимулирования роста вторичных половых признаков в то время, когда должно наступить половое созревание. В то время как очень немногие женщины с СШТ имеют спонтанные менструации, терапия эстрогенами требует регулярного выделения слизистой оболочки матки для предотвращения её чрезмерного роста. Снятие кровотечения может быть вызвано ежемесячно, как менструация, или реже, обычно каждые три месяца, если пациент желает. Эстрогенная терапия не делает женщину с нефункциональными яичниками фертильной, но она играет важную роль в вспомогательной репродукции; здоровье матки должно поддерживаться эстрогеном, если подходящая женщина с СШТ желает использовать ЭКО (используя донорские ооциты).
Особенно в мозаичных случаях СШТ, который содержит Y-хромосому (например, 45,X/46,XY) из-за риска развития злокачественной опухоли яичника (наиболее распространённой является гонадобластома), рекомендуется гонадэктомия[27][42]. СШТ характеризуется первичной аменореей, преждевременной недостаточностью яичников (гипергонадотропный гипогонадизм), гонадой и бесплодием (однако технология (особенно донорство яйцеклетки) обеспечивает возможность беременности у таких пациентов). Неспособность развить вторичные половые признаки является типичной ситуацией.
Поскольку всё больше женщин с СШТ завершают беременность благодаря современным методам лечения бесплодия, беременность может представлять риск сердечно-сосудистых осложнений для матери. Несколько исследований показали повышенный риск расслоения аорты при беременности[29]. Влияние эстрогена было изучено, но остаётся неясным. Высокий риск расслоения аорты во время беременности у женщин с СШТ может быть связан с повышенной гемодинамической нагрузкой, а не с высоким уровнем эстрогена[27].
Факторы риска
Факторы риска развития СШТ недостаточно изучены. Известно, что частота возникновения синдрома не связана с возрастом матери, как при трисомии 21, 18 или 13[43]. Некоторые авторы обнаружили обратно пропорциональную связь между возрастом матери и риском развития СШТ[44]. Была предположена связь между отцовским алкоголизмом и возникновением моносомии Х-хромосомы у ребёнка, но последующие исследования не подтвердили эту гипотезу[45].
Лечение
На первом этапе терапия заключается в стимуляции роста тела анаболическими стероидами и другими анаболическими препаратами. Лечение следует проводить минимальными эффективными дозами анаболических стероидов с перерывами при регулярном гинекологическом контроле. Главным видом терапии больных является эстрогенизация (назначение женских половых гормонов), которую следует проводить с 14—16 лет. Лечение приводит к феминизации телосложения, развитию женских вторичных половых признаков, улучшает трофику (питание) половых путей, уменьшает повышенную активность гипоталамо-гипофизарной системы. Лечение следует проводить в течение всего детородного возраста больных.
Если с помощью гормональной терапии удаётся вырастить до нормальных размеров матку, то беременность у таких больных возможна с помощью ЭКО с донорской яйцеклеткой. Случаи, где сохранились свои яйцеклетки, единичны.
В последнее время для увеличения показателей окончательного роста проводится терапия соматотропином.
Прогноз
Прогноз для жизни при синдроме Шерешевского — Тёрнера благоприятный, исключение составляют больные с тяжёлыми врождёнными пороками сердца и крупных сосудов и почечной гипертензией. Лечение женскими половыми гормонами делает больных способными к семейной жизни, однако абсолютное большинство из них остаются бесплодными.
См. также
Примечания
- Kelly, TE, Ferguson, JE, Golden, W. Survival of fetuses with 45,X: an instructive case and an hypothesis. «Am J Med Genet». 42. 6, s. 825—826, 1992. PMID 1554022.
- Held, KR, Kerber, S, Kaminsky, E, Singh, S, Goetz, P, Seemanova, E, Goedde, HW. Mosaicism in 45,X Turner syndrome: does survival in early pregnancy depend on the presence of two sex chromosomes?. «Human Genetics». 88, s. 288—294, 1992. PMID 1733830.
- Fernandez, R, Mendez, J, Pasaro, E. Turner syndrome: a study of chromosomal mosaicism. «Human Genetics». 98, s. 29-35, 1996. PMID 8682502
- Claus Højbjerg Gravholt. Epidemiological, endocrine and metabolic features in Turner syndrome // European Journal of Endocrinology. — 2004-12. — Т. 151, вып. 6. — С. 657–687. — ISSN 0804-4643. — doi:10.1530/eje.0.1510657.
- Jay W. Ellison, Zabihullah Wardak, Marian F. Young, Pamela Gehron Robey, Marion Laig-Webster. PHOG, a Candidate Gene for Involvement in the Short Stature of Turner Syndrome (англ.) // Human Molecular Genetics. — 1997-08-01. — Vol. 6, iss. 8. — P. 1341–1347. — ISSN 0964-6906. — doi:10.1093/hmg/6.8.1341.
- Mark Clement-Jones, Simone Schiller, Ercole Rao, Rüdiger J. Blaschke, Aimee Zuniga. The short stature homeobox gene SHOX is involved in skeletal abnormalities in Turner syndrome (англ.) // Human Molecular Genetics. — 2000-03-22. — Vol. 9, iss. 5. — P. 695–702. — ISSN 0964-6906. — doi:10.1093/hmg/9.5.695.
- Catherine A. Boucher, Carole A. Sargent, Tsutomu Ogata, Nabeel A. Affara. Breakpoint analysis of Turner patients with partial Xp deletions: implications for the lymphoedema gene location (англ.) // Journal of Medical Genetics. — 2001-09-01. — Vol. 38, iss. 9. — P. 591–598. — ISSN 1468-6244 0022-2593, 1468-6244. — doi:10.1136/jmg.38.9.591.
- Berdahl, LD, Wenstrom, KD, Hanson, JW. Web neck anomaly and its association with congenital heart disease. «Am J Med Genet». 56. 3, s. 304—307, 1995. PMID 7778596.
- Endocrine Press | Endocrine Society. www.endocrine.org. Дата обращения: 9 марта 2020.
- Judith L. Ross, David Roeltgen, Harvey Kushner, Fanglin Wei, Andrew R. Zinn. The Turner Syndrome–Associated Neurocognitive Phenotype Maps to Distal Xp // American Journal of Human Genetics. — 2000-9. — Т. 67, вып. 3. — С. 672–681. — ISSN 0002-9297.
- Andrew R. Zinn, David Roeltgen, Gerry Stefanatos, Purita Ramos, Frederick F. Elder. A Turner syndrome neurocognitive phenotype maps to Xp22.3 // Behavioral and Brain Functions. — 2007-05-21. — Т. 3, вып. 1. — С. 24. — ISSN 1744-9081. — doi:10.1186/1744-9081-3-24.
- Constantine Stratakis, Owen Rennert. Turner Syndrome: Molecular and Cytogenetics, Dysmorphology, Endocrine, and Other Clinical Manifestations and Their Management (англ.) // The Endocrinologist. — 1994-11. — Vol. 4, iss. 6. — P. 442–453. — ISSN 1051-2144. — doi:10.1097/00019616-199411000-00007.
- Chapter on Amenorrhea in: Bradshaw KD, Schorge JO, Schaffer J, Halvorson LM, Hoffman BG (2008). Williams' Gynecology. McGraw-Hill Professional. ISBN 978-0-07-147257-9
- Исаев Д. Н. Умственная отсталость у детей и подростков. Руководство. — СПб.: Речь, 2003. — С. 55. — 397 с. — ISBN 5-9268-0212-1.
- INSERM US14-- ALL RIGHTS RESERVED. Orphanet: Perrault syndrome (англ.). www.orpha.net. Дата обращения: 19 июля 2019.
- Why Is Turner Syndrome Common With Miscarriages or Stillbirth? (англ.). Verywell Family. Дата обращения: 7 марта 2020.
- Michele Curtis, Leah Antoniewicz, Silvia T. Linares. Glass' Office Gynecology. — Lippincott Williams & Wilkins, 2014. — 656 с. — ISBN 978-1-60831-820-9.
- Gareth Weston, Beverly Vollenhoven, Jane McNeilage. Practice OSCEs in Obstetrics & Gynaecology: A Guide for the Medical Student and MRANZCOG exams. — Elsevier Health Sciences, 2009-01-05. — 249 с. — ISBN 978-0-7295-7867-7.
- C. H. Gravholt, S. Juul, R. W. Naeraa, J. Hansen. Prenatal and postnatal prevalence of Turner's syndrome: a registry study. // BMJ : British Medical Journal. — 1996-01-06. — Т. 312, вып. 7022. — С. 16–21. — ISSN 0959-8138.
- (Landin-Wilhelmsen et al., 2001)
- Dawson-Falk KL, Wright AM, Bakker B, Pitlick PT, Wilson DM, Rosenfeld RG (August 1992). «Cardiovascular evaluation in Turner syndrome: utility of MR imaging». Australasian Radiology. 36 (3): 204-9. doi:10.1111/j.1440-1673.1992.tb03152.x. PMID 1445102.
- (Ho et al., 2004).
- Virginia P. Sybert. Cardiovascular Malformations and Complications in Turner Syndrome (англ.) // Pediatrics. — 1998-01-01. — Vol. 101, iss. 1. — P. e11–e11. — ISSN 1098-4275 0031-4005, 1098-4275. — doi:10.1542/peds.101.1.e11.
- Mazzanti L, Cacciari E (November 1998). «Congenital heart disease in patients with Turner’s syndrome. Italian Study Group for Turner Syndrome (ISGTS)». The Journal of Pediatrics. 133(5): 688-92. doi:10.1016/s0022-3476(98)70119-2. PMID 9821430
- C O Gøtzsche, B Krag-Olsen, J Nielsen, K E Sørensen, B O Kristensen. Prevalence of cardiovascular malformations and association with karyotypes in Turner's syndrome. // Archives of Disease in Childhood. — 1994-11. — Т. 71, вып. 5. — С. 433–436. — ISSN 0003-9888.
- Bicuspid Aortic Valve: Background, Pathophysiology, Epidemiology. — 2019-11-10.
- Endocrine Press | Endocrine Society. www.endocrine.org. Дата обращения: 7 марта 2020.
- Pediatric Cardiology 20: 108-112 (1999). web.archive.org (19 января 2002). Дата обращения: 7 марта 2020.
- Angela E. Lin, Barbara Lippe, Ron G. Rosenfeld. Further Delineation of Aortic Dilation, Dissection, and Rupture in Patients With Turner Syndrome (англ.) // Pediatrics. — 1998-07-01. — Vol. 102, iss. 1. — P. e12–e12. — ISSN 1098-4275 0031-4005, 1098-4275. — doi:10.1542/peds.102.1.e12.
- Allen DB, Hendricks SA, Levy JM (August 1986). «Aortic dilation in Turner syndrome». The Journal of Pediatrics. 109 (2): 302-5. doi:10.1016/S0022-3476(86)80001-4. PMID 3734967
- Concha Ruiz M (2006). «[Surgical treatment of the aortic root dilatation]». Anales de la Real Academia Nacional de Medicina (in Spanish). 123 (3): 557-68, discussion 569-71. PMID 17451098
- Michèle M.M. Mazzocco. The cognitive phenotype of Turner syndrome: Specific learning disabilities // International congress series / Excerpta Medica. — 2006-10-01. — Т. 1298. — С. 83–92. — ISSN 0531-5131. — doi:10.1016/j.ics.2006.06.016.
- Turner syndrome - Symptoms and causes (англ.). Mayo Clinic. Дата обращения: 7 марта 2020.
- Berkovitz G, Stamberg J, Plotnick LP, Lanes R (June 1983). «Turner syndrome patients with a ring X chromosome». Clinical Genetics. 23 (6): 447-53. doi:10.1111/j.1399-0004.1983.tb01980.x. PMID 6883789
- McCauley E, Feuillan P, Kushner H, Ross JL (December 2001). «Psychosocial development in adolescents with Turner syndrome». Journal of Developmental and Behavioral Pediatrics. 22 (6): 360-5. doi:10.1097/00004703-200112000-00003. PMID 11773800
- Christopoulos P, Deligeoroglou E, Laggari V, Christogiorgos S, Creatsas G (March 2008). «Psychological and behavioural aspects of patients with Turner syndrome from childhood to adulthood: a review of the clinical literature». Journal of Psychosomatic Obstetrics and Gynaecology. 29 (1): 45-51. doi:10.1080/01674820701577078. PMID 17852655
- Gabrielle E. Reimann, Martha M. Bernad Perman, Pei-Shu Ho, Rebecca A. Parks, Leora E. Comis. Psychosocial Characteristics of Women with a Delayed Diagnosis of Turner Syndrome // The Journal of pediatrics. — 2018-8. — Т. 199. — С. 206–211. — ISSN 0022-3476. — doi:10.1016/j.jpeds.2018.03.058.
- Kaneko N, Kawagoe S, Hiroi M (1990). «Turner’s syndrome--review of the literature with reference to a successful pregnancy outcome». Gynecologic and Obstetric Investigation. 29 (2): 81-7. doi:10.1159/000293307. PMID 2185981
- Livadas S, Xekouki P, Kafiri G, Voutetakis A, Maniati-Christidi M, Dacou-Voutetakis C (March 2005). «Spontaneous pregnancy and birth of a normal female from a woman with Turner syndrome and elevated gonadotropins». Fertility and Sterility. 83 (3): 769-72. doi:10.1016/j.fertnstert.2004.11.007. PMID 15749515
- Nielsen J, Sillesen I, Hansen KB (November 1979). «Fertility in women with Turner’s syndrome. Case report and review of literature». British Journal of Obstetrics and Gynaecology. 86 (11): 833-5. doi:10.1111/j.1471-0528.1979.tb10706.x. PMID 508669
- Hovatta O (April 1999). «Pregnancies in women with Turner’s syndrome». Annals of Medicine. 31 (2): 106-10. doi:10.3109/07853899908998785. PMID 10344582
- Gravholt CH, Fedder J, Naeraa RW, Müller J (September 2000). «Occurrence of gonadoblastoma in females with Turner syndrome and Y chromosome material: a population study». The Journal of Clinical Endocrinology and Metabolism. 85 (9): 3199-202. doi:10.1210/jcem.85.9.6800. PMID 10999808
- Wayback Machine. web.archive.org (27 сентября 2007). Дата обращения: 9 марта 2020.
- Ljunger, E, Cnattingius, S, Lundin, C, Annerén, G. Chromosomal anomalies in first-trimester miscarriages. «Acta Obstetricia et Gynecologica Scandinavica». 84. 11, s. 1103—1107, 2005. PMID 16232180.
- Susan Kagan-Krieger, Peter Selby, Sunita Vohra, Gideon Koren. Paternal alcohol exposure and turner syndrome (англ.) // Alcohol and Alcoholism. — 2002-11-01. — Vol. 37, iss. 6. — P. 613–617. — ISSN 0735-0414. — doi:10.1093/alcalc/37.6.613.
