Синдром Альстрёма
Синдро́м Альстрёма (англ. Alström syndrome) — генетическая патология человека, относящаяся к группе цилиопатий. Характеризуется пигментной дегенерацией сетчатки, ожирением, прогрессирующей нейросенсорной глухотой, дилятационной кардиомиопатией, сахарным диабетом и нефропатией. Впервые описан в 1959 году шведским психиатром Карлом-Генри Альстрёмом.
| Синдром Альстрёма | |
|---|---|
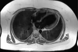
![]() Трансаксиальное изображение грудной клетки на уровне сердца, иллюстрирующее типичную жировую ткань подкожно и эпикардиально у пациента с синдромом Альстрёма. | |
| МКБ-10 | Q87.8 |
| OMIM | 203800 |
| DiseasesDB | 465 |
| MedlinePlus | 001665 |
| MeSH | D056769 |
Частота
Описано около 300 случаев синдрома Альстрёма. Частота синдрома Альстрёма наивысшая во французской популяции и среди некоторых других географических и этнических изолятов.
Этиология и патогенез

Единственный ген, известный на сегодня, связанный с синдромом Альстрёма — это ALMS1. Молекулярным методом мутация подтверждается у 20—45 % пациентов. Ген картирован 2рр.13.
Клиническая картина
Характерна значительная вариабельность клинической картины даже среди сиблингов. Дети при рождении имеют нормальную массу тела, но на протяжении 1-го года жизни появляется ожирение. Индекс массы тела — больше 95 центилей. Для детей с синдромом Альстрёма характерен быстрый темп роста до пубертатного периода и опережение костного возраста. Раннее закрытие зон роста обусловливает низкий конечный рост (< 5 перцентиля) у 85 % пациентов. Формируется сколиоз или кифоз.
Практически с первых месяцев жизни наблюдаются нистагм, фотодисфория, ретинит, снижение центрального и периферического зрения[1]. Применение электроретинографии позволяет обнаружить прогрессирующее ухудшение функции палочек и колбочек. Также диагностируется пигментная дегенерация сетчатки. Возможно развитие полной слепоты уже в детском возрасте, умственное развитие не страдает[1].
Осмотр глазного дна в первые года может не выявить патологии, либо может выявить бледный диск зрительного нерва и сужение сосудов сетчатки. Позднее появляются прогрессирующая дистрофия нейроэпителия с атрофией и пигментной инфильтрацией внутренних пластов сетчатки, которые к 7-летнему возрасту могут привести к слепоте, катаракте.
Нейросенсорная глухота в первом десятилетии у 70 % больных прогрессирует от умеренной до тяжелой (40—70 дБ). От 10 до 30 лет наблюдается значительное снижение слуха.
Дилятационная кардиомиопатия с манифестацией в детском или подростковом периоде наблюдается более чем у 60 % случаев. На некоторых этапах жизни приводит к возникновению сердечной недостаточности и смерти. Обычно клиника дилятационной кардиомиопатии, и её результата — сердечной недостаточности зависит от возраста их проявления. Около 80 % больных переносят дилятационную кардиомиопатию в молодом возрасте. Из них 10 % имеют рецидивы, которые прогрессируют в более позднем возрасте.
Синдром инсулинорезистентности диагностируют при наличии следующих критериев (не менее чем 3 из 4):
- инсулинорезистентность (от гиперинсулинемии до непереносимости глюкозы);
- дислипидемия (высокая концентрация общего холестерина, ЛПНП, триглицеридов и низкая концентрация ЛПВП);
- повышенное артериальное давление;
- ожирение преимущественно туловища;
Часто с инсулинорезистентностью связан чёрный акантоз (acanthosis nigricans).
Задержка умственного развития описана у некоторых пациентов, хотя как правило не достигает глубокой степени. Эти дети имеют трудности в обучении, восприятии и речевом развитии, задержку формирования моторных навыков.
Сахарный диабет — это результат инсулинорезистентности. Как правило это диабет 2 типа.
Гипогонадотропный гипогонадизм, гирсутизм у девочек, поликистоз яичников, в более позднем возрасте эндометриоз. Наружные половые органы сформированы правильно. Но все пациенты с синдромом Альстрёма нефертильны.
Урологические/почечные нарушения встречаются у 50 % пациентов, характеризуются отсутствием координации деятельности мочевого пузыря: недержанием мочи, большими интервалами между мочеиспусканиями.
Печёночные дисфункции — в крови увеличиваются трансаминазы, чаще наблюдается жировая дистрофия, фиброз.
В некоторых случаях развивается резистентный к АДГ несахарный диабет, у мужчин — гипогонадотропный гипогонадизм (при биопсии яичек обнаруживают аплазию герминативных клеток, склероз семенных канальцев)[1].
Основные диагностические критерии
Диагноз синдрома Альстрёма в значительной мере базируется на наличии кардинальных клинических признаков, которые могут проявиться на протяжении всей жизни:
- пигментная дегенерация сетчатки с нистагмом и фотодисфорией;
- ожирение;
- прогрессирующее поражение слуха;
- Дилатационная кардиомиопатия;
- синдром инсулинорезистентности (метаболический синдром).
Лабораторные данные: гиперурикемия, гипертриглицеридемия и аминоацидурия[1].
Дифференциальный диагноз
Проводят с синдромом Барде — Бидля. Главное отличие — в дебюте заболевания. Синдром Альстрёма начинается около 2-х лет, а синдром Барде — Бидля — около 8 летнего возраста. Но также есть и иные отличия. Также проводят дифдиагностику с вродженным амаврозом Лебера (LCA), ранней дилатационной кардиомиопатией, наследственными митохондриальными болезнями.
Лечение
Специфического лечения нет. При фотодисфории — использование цветных линз, при ожирении — лечебное питание по общепринятым методикам, регулярные физические нагрузки, при нейросенсорной глухоте — хирургическая коррекция у пациентов с экссудативным отитом, цифровые слуховые аппараты, при дилятационной кардиомиопатии — ингибиторы АПФ, мочегонные, при развитии сердечной недостаточности — сердечные гликозиды, адреноблокаторы, при сахарном диабете — лечение по принятой схеме, при гипертриглицеридемии — высокие дозы статинов, никотиновая кислота, и другая симптоматическая терапия.
Примечания
- Симптомы и синдромы в эндокринологии / Под ред. Ю. И. Караченцева. — 1-е изд. — Х.: ООО «С.А.М.», Харьков, 2006. — С. 24. — 227 с. — (Справочное пособие). — 1000 экз. — ISBN 978-966-8591-14-3.
Ссылки
- Сайт больных синдромом Альстрёма (англ.)
