Мантийноклеточная лимфома
Мантийноклеточная лимфома (МКЛ, англ. Mantle Cell Lymphoma, MCL) является уникальным подвидом неходжкинской лимфомы (НХЛ, англ. Non-Hodgkin's Lymphoma, NHL). Для неё весьма характерна хромосомная транслокация t(11;14)(q13;q32)[2][3][4] и гиперэкспрессия ядерного белка циклин D1.
| Мантийноклеточная лимфома | |
|---|---|
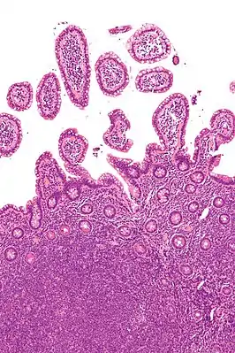
![]() Микрофотография, показывающая мантийноклеточную лимфому (внизу изображения) в биоптате терминального отдела илеуса. Окраска гематоксилин-эозином. | |
| МКБ-11 | 2A85.5 |
| МКБ-10 | C85.7 |
| МКБ-10-КМ | C83.1 |
| МКБ-9 | 200.4 |
| МКБ-9-КМ | 200.40[1] |
| МКБ-О | M9673/3 |
| eMedicine | med/1361 |
| MeSH | D020522 |
Большинство пациентов с МКЛ попадают в поле зрения врачей уже в продвинутой стадии заболевания (англ. advanced stage disease). Часто наблюдается экстранодальное (внеузловое) поражение (англ. extranodal disease), то есть распространение МКЛ за пределы лимфатической системы. В соответствии с имеющимися у каждого конкретного пациента клиническими и биологическими факторами риска, МКЛ может иметь либо медленное, но неуклонно прогрессирующее (индолентное), либо, наоборот, агрессивное, бурное течение. На сегодняшний день для МКЛ практически не существует лечения, способного привести к радикальному излечению (полному исчезновению всех клеток МКЛ из организма и отсутствию последующих рецидивов болезни), а не просто к временным ремиссиям, за которыми следуют рецидивы. Единственным исключением из этого правила является аллогенная трансплантация гемопоэтических стволовых клеток. Этот метод действительно способен радикально излечить МКЛ (хотя и не во всех случаях) и дать шанс на отсутствие рецидивов. Однако современные схемы иммунохимиотерапии с последующей консолидацией при помощи высокодозной химиотерапии и аутологичной трансплантации стволовых гемопоэтических клеток у молодых пациентов, появление всё большего количества эффективных альтернативных схем иммунохимиотерапии для последовательного применения при очередных рецидивах МКЛ или при резистентности к терапии первой линии, появление новых таргетных препаратов для лечения МКЛ и развитие стратегий поддерживающей терапии привели к улучшению показателей общей и безрецидивной выживаемости. Медиана выживаемости больных со впервые диагностированным МКЛ за последние годы увеличилась с 3 до 6 лет.
Исторические сведения
Впервые этот подвид лимфомы был специфически распознан и описан Леннертом, который в 1973 году описал её и дал ей название «диффузная герминоцитома» (англ. diffuse germinocytoma). Затем, с принятием Кильской классификации 1974 года, этот подвид лимфомы был переименован в «центроцитарную лимфому» или «лимфому из центроцитов» (англ. centrocytic lymphoma). В последующем эту разновидность НХЛ называли различными морфологически-описательными терминами — «лимфома мантийной зоны» (англ. mantle zone lymphoma), «лимфоцитарная лимфома промежуточной степени дифференциации» (англ. lymphocytic lymphoma of intermediate differentiation или англ. intermediate lymphocytic lymphoma).
В 1992 году, на основании сформировавшегося у онкогематологов общего понимания того, что данный подвид НХЛ обладает своими характерными морфологией и иммунофенотипом клеток и что для него характерна конкретная цитогенетическая аномалия — t(11,14)(q13,q32) и конкретная биохимическая аномалия — гиперэкспрессия циклина D1, был предложен ставший затем общепринятым термин «мантийноклеточная лимфома». Этот термин отражает очевидное происхождение клеток МКЛ от мутировавших нормальных B-лимфоцитов мантийной зоны лимфатических узлов. После достижения этого прорыва в понимании природы МКЛ стало возможным сосредоточить клинические и патогенетические исследования на этой чётко очерченной форме с ясными диагностическими критериями. Это, в свою очередь, привело к углублению текущего понимания природы МКЛ, спектра её клинических и биологических вариантов, и связанных с МКЛ особых терапевтических проблем и сложностей.
Эпидемиология МКЛ
Больные с МКЛ составляют примерно 4-6 % от общего количества больных НХЛ[5][6]. Характерно большее преобладание мужчин пожилого возраста, по сравнению с другими подтипами лимфом. Соотношение мужчин и женщин составляет примерно 4:1[7]. Средний возраст заболевших, на момент первого обращения к врачу, около 65 лет. Не было установлено никаких специфических этиологических факторов, предрасполагающих к развитию МКЛ. У родственников пациентов с МКЛ первой степени родства обнаруживается статистически достоверно повышенный риск развития других лимфоидных новообразований. Однако возникновение именно МКЛ у нескольких членов одной семьи — довольно редкое событие.
Клиническая картина МКЛ

Больные с МКЛ обычно впервые попадают в поле зрения врачей уже в продвинутой стадии заболевания. Более 90 % пациентов на момент постановки диагноза уже находятся в стадии III или IV, и часто имеют так называемые B-симптомы, или конституциональные симптомы, отражающие общую интоксикацию организма — лихорадку (гипертермию), ночные поты, необъяснимую потерю массы тела более 10 % за последние полгода. Спленомегалия (увеличение размеров селезёнки наблюдается более чем у 50 % пациентов, часто в сочетании с лейкемической фазой болезни — то есть наличием клеток МКЛ в крови. У некоторых пациентов заболевание носит в значительной степени не-узловой характер и ограничивается поражением костного мозга и/или селезёнки, в сочетании с наличием клеток МКЛ в крови. По не вполне понятным причинам, у этих пациентов может наблюдаться более медленное течение болезни, чем у больных с преимущественным поражением лимфатических узлов. Наиболее распространённым внеузловым (экстранодальным) поражением при МКЛ является поражение желудочно-кишечного тракта. В частности, могут наблюдаться лимфоматозные полипы толстой кишки или полипы желудка. Субклиническое поражение слизистой оболочки желудка или толстой кишки наблюдается у большинства пациентов при эндоскопической биопсии, даже при отсутствии явных полипов или видимых изменений слизистой оболочки. Этот тропизм МКЛ по отношению к ЖКТ пока ещё не получил полного объяснения, но он может быть связан с экспрессией на поверхности клеток МКЛ молекул адгезии, таких, как молекула хоуминг-рецептора слизистой α4β7. Может наблюдаться также поражение мочеполовой системы, лёгких и мягких тканей, в том числе мягких тканей головы и шеи, периорбитальных тканей глаза. Поражение центральной нервной системы, либо паренхиматозное (в самой ткани головного мозга), либо лептоменингеальное (оболочечное), для первоначального проявления МКЛ не характерно. Однако специфическое МКЛ-поражение ЦНС может развиться у больных с МКЛ впоследствии, в связи с прогрессированием заболевания. Также у небольшой части больных, особенно с бластоидным вариантом МКЛ, встречаются изолированные ЦНС-рецидивы после первоначально успешного лечения. Частота возникновения ЦНС-рецидивов увеличилась в последнее время в связи с появлением более эффективной системной терапии и увеличением продолжительности выживания больных с МКЛ. Раньше большинство больных с МКЛ до возникновения ЦНС-рецидива просто не доживали, погибая от вне-церебральных рецидивов. Поэтому сейчас в клинических исследованиях исследуется роль ЦНС-профилактики (интратекальной химиотерапии и/или облучения ЦНС) в общей схеме лечения МКЛ и в профилактике ЦНС-рецидивов[8].
Латентный период МКЛ и лимфомогенез
Так же, как и в случае большинства других видов злокачественных опухолей, истинная продолжительность латентной фазы заболевания, от момента первоначальной опухолевой трансформации некоего B-лимфоцита, до момента появления первых клинических симптомов болезни, не известна. Не известна также и последовательность лимфомогенеза при МКЛ — последовательность событий от первоначального трансформирующего события до момента окончательного озлокачествления и начала неконтролируемой клональной пролиферации и экспансии. Предположительно, латентная фаза болезни в случае МКЛ может быть довольно длительной. Ключ к пониманию того, о каком приблизительно временном интервале может идти речь, даёт интересный случай, в котором диагноз МКЛ был одновременно установлен у пациента и у донора 12 лет спустя после аллогенной трансплантации стволовых гемопоэтических клеток по поводу совсем другого расстройства. При этом была установлена идентичная — донорского происхождения — клональность клеток МКЛ у донора и реципиента. Кроме того, был опубликован ряд наблюдений, в которых было показано, что у ряда пациентов с установленным диагнозом МКЛ, в лимфатических узлах, удалённых за 7-15 и более лет до установления диагноза, притом удалённых по совершенно другим поводам, были случайно найдены «оккультные» (единичные) клетки МКЛ с характерной транслокацией t(11;14)(q13;q32). В других сообщениях было показано, что иногда при хирургическом удалении лимфатических узлов по тем или иным поводам, у лиц, не имеющих диагноза МКЛ или даже подозрения на лимфому, обнаруживаются «оккультные» клетки МКЛ с характерной транслокацией t(11;14)(q13;q32) и характерной гиперэкспрессией циклина D1 — так называемая МКЛ in situ. Истинное клиническое значение таких находок не известно. Необходимость лечения больных с подобного рода случайно обнаруженной «оккультной» МКЛ in situ до появления клинических симптомов также не доказана. У некоторых, но не у всех, из этих пациентов с «МКЛ in situ» впоследствии развивается явная клиника МКЛ, у других — нет. Эти данные поддерживают современное представление о длительном латентном периоде от трансформирующего события до развития явной клиники МКЛ. Кроме того, эти данные заставляют предположить, что необходимым для развития МКЛ первичным трансформирующим событием, инициирующим дальнейший лимфомогенез, является появление в клетке гиперэкспрессии циклина D1 в результате транслокации t(11;14)(q13;q32).
Патоморфологическая картина МКЛ
По мере того, как были всё более подробно охарактеризованы иммунофенотип и цитогенетика клеток МКЛ и, самое главное, после того, как была обнаружена и понята сильная корреляция этого вида лимфомы со специфической хромосомной транслокацией t(11;14)(q13;q32), приводящей к характерной гиперэкспрессии циклина D1, значительно упростилась дифференциальная диагностика МКЛ от других мелкоклеточных лимфом.
Нормальная цитоархитектоника лимфатических узлов, поражённых МКЛ, как правило, стёрта или затушёвана в связи с диффузным распространением клеток МКЛ, имеющих однообразный, монотонный вид. В некоторых случаях может наблюдаться более узловой, менее диффузный характер роста клеток МКЛ, или же клетки МКЛ можно увидеть окружающими остаточные уцелевшие от разрушения реактивные зародышевые центры, по типу мантийной зоны вокруг них. Узловой, а не диффузный, характер роста МКЛ или частичное сохранение цитоархитектоники по типу мантийной зоны вокруг реактивных зародышевых центров, как правило, сопряжены с более медленным течением болезни и более длительной выживаемостью.
В классических случаях (80-90 % всех случаев МКЛ) клетки МКЛ имеют небольшой или средний размер, со скудной цитоплазмой и с переменно неправильными в контурах ядрами. Ядерный хроматин гранулирован. Клетки МКЛ могут иметь небольшое, нечёткое, почти неразличимое эозинофильное ядрышко. Изредка клетки МКЛ могут напоминать малые лимфоциты с круглыми ядрами, или иметь внешний вид, отчасти напоминающий моноциты (моноцитоидный вид). Вариант, при котором клетки МКЛ напоминают малые лимфоциты, обычно отличается медленным течением. Крупные клетки, напоминающие центробласты или иммунобласты, для МКЛ не характерны. Фон часто содержит гиалинизированные мелкие кровеносные сосуды и может содержать гистиоциты. Пролиферативные центры отсутствуют. Иногда в фоне можно видеть плазматические клетки, но они являются реактивными, а не частью неопластической (опухолевой) популяции.
В части случаев МКЛ морфология не типична. Так, например, при бластном или бластоидном варианте МКЛ злокачественные клетки напоминают лимфобласты со скудной цитоплазмой и тонким ядерным хроматином. При этом варианте часто отмечается очень высокий пролиферативный индекс, то есть очень высокая скорость деления клеток. При плеоморфном варианте МКЛ злокачественный клон состоит из более разнообразно (плеоморфно), немонотонно выглядящих клеток, которые крупнее, чем типичные клетки МКЛ, и имеют большие ядра с неправильными контурами и хорошо заметные ядрышки. Оба морфологических варианта МКЛ связаны с более агрессивным течением болезни и прогностически менее благоприятны, чем типичный вариант.
Иммунофенотип клеток МКЛ
Клетки МКЛ несут поверхностные иммуноглобулины классов IgM и IgD. Они положительны на CD20 и CD79a, и, как правило, также положительны на CD5, CD43 и FMC7. До 94 % всех случаев экспрессируют CD43, однако лишь 80 % случаев, как показывают некоторые исследования, CD5-положительны, остальные 20 % CD5-отрицательны. Клетки МКЛ чаще всего отрицательны на CD10 и, как правило, отрицательны на CD23. Белок Bcl-2 может быть как положительным, так и отрицательным. Иногда позитивна для IRF4//MUM1. Характерно положительное окрашивание на ядерный циклин D1, что отражает лежащую в основе патогенеза МКЛ характерную генетическую аномалию t(11;14)(q13;q32). Окрашивание на циклин D1 обычно также положительно в тех редких случаях, когда аномалия t(11;14)(q13;q32) не выявляется. Ещё реже циклин D1 отрицателен, но вместо него экспрессируются циклины D2 или D3. Такие циклин D1-отрицательные случаи, подтверждённые профилированием экспрессии генов, могут представлять значительные трудности в диагностике. Экспрессия ядерного фактора транскрипции нейронов Sox11 положительна в 90 % случаев МКЛ, в том числе в некоторых случаях, отрицательных на циклин D1. И хотя экспрессия Sox11 не является специфичной для МКЛ и обнаруживается в части случаев волосато-клеточного лейкоза, лимфолейкоза и лимфомы Беркитта, тем не менее окрашивание на Sox11 может оказаться полезным диагностическим инструментом при МКЛ. Существуют предположения, что экспрессия Sox11 в цитоплазме, а не в ядре клеток, является плохим прогностическим маркером при узловой форме МКЛ. В то же время отсутствие экспрессии Sox11 при внеузловой, лейкемической форме МКЛ связывают с более медленным, индолентным течением этой формы. Величина индекса пролиферации Ki-67 при МКЛ весьма вариабельна. Однако высокий пролиферативный индекс является плохим прогностическим маркером. Окрашивание на фолликулярные дендритные клетки, как правило, показывает расширенную и резко нарушенную сетчатую структуру. Наиболее очевидны эти изменения в случаях с более узловым ростом, но они, как правило, присутствуют даже в случаях с более диффузным паттерном роста МКЛ. В отличие от других В-клеточных лимфом, при МКЛ клетки чаще экспрессируют лёгкие цепи иммуноглобулина типа лямбда, а не типа каппа.
При детальном исследовании выглядящих как обычные реактивно-воспалительные лимфатических узлов лиц, не страдающих МКЛ и не имеющих подозрения на лимфому, иногда обнаруживается небольшое количество циклин D1-положительных клеток. Эти случаи исключительно редки. Они характеризуются наличием небольшого количества циклин D1-положительных клеток в небольшой части фолликулов поражённых лимфоузлов. При этом характерна локализация циклин D1-положительных клеток во внутренней части мантийной зоны, прилегающей к зародышевому (герминативному) центру фолликула. Эти клетки содержат классическую транслокацию t(11;14)(q13;q32), что может быть продемонстрировано с помощью флуоресцентной in situ гибридизации (FISH). Клиническая значимость случайного нахождения подобной минимальной инфильтрации лимфоузла клетками, похожими на клетки мантийноклеточной лимфомы (это называется сейчас «мантийноклеточная лимфома in situ»), в настоящее время ещё не определена. Необходимость лечения таких больных до появления у них явных клинических симптомов МКЛ не очевидна.
Цитогенетика и молекулярный патогенез МКЛ
В основе молекулярного патогенеза МКЛ, как и других злокачественных новообразований у человека, лежат генетические и биохимические изменения, приводящие к нарушению регуляции и контроля клеточного цикла, а также к нарушению работы механизмов ответа на повреждение ДНК. Большинство, если не все, из описанных на сегодняшний день при МКЛ молекулярные и цитогенетические изменения, по-видимому, так или иначе влияют на эти два важнейших аспекта жизни клетки: либо на систему регуляции клеточного цикла, либо на систему ответа на повреждения ДНК. Так, отличительной чертой МКЛ является хромосомная транслокация t(11;14)(q13;q32), которая обнаруживается в подавляющем большинстве случаев МКЛ. Эта хромосомная транслокация приводит к развитию гиперэкспрессии циклина D1, который играет важную роль в регуляции перехода из фазы G1 в фазу S клеточного цикла. Попадание в результате такой транслокации хромосомного локуса 11q13, содержащего ген циклина D1 и обозначенного как Bcl-1 (B-клеточная лимфома / лейкоз 1) под регуляцию энхансера соединительной области иммуноглобулина IgH, находящегося в области 14q32, приводит к усилению экспрессии и активности циклина D1, который, как правило, не экспрессируется в нормальных B-клетках. А циклин D1 образует комплексы с циклин-зависимыми киназами CDK4 и CDK6 и активирует их. Таким образом, повышение экспрессии циклина D1 приводит к повышению активности CDK4 и CDK6. А активированные CDK4 и CDK6, в свою очередь, фосфорилируют и активируют так называемый «белок ретинобластомы» (Rb) и, таким образом, непосредственно способствуют прогрессии клеточного цикла и делению клетки. Кроме того, повышение уровня комплексов циклин D1 / CDK способствует связыванию (секвестрации) и инактивации ингибиторов CDK — белков p27kip1 и p21. А эти белки — p27kip1 и p21 — обычно связаны с комплексом циклин Е / CDK2, который, после его активации, способствует входу в S-фазу. Таким образом, похоже, что аберрантная, избыточная экспрессия циклина D1 играет решающую роль в патогенезе МКЛ. Кроме того, показано, что уровень экспрессии циклина D1 прямо коррелирует со скоростью пролиферации клеток МКЛ и, следовательно, со степенью клинической агрессивности этого вида лимфомы.
Помимо гиперэкспрессии и дерегуляции циклина D1, являющейся результатом хромосомной транслокации t (11;14)(q13;q32), при МКЛ также нередко обнаруживают и другие генетические мутации, приводящие к нарушению нормальной регуляции клеточного цикла. В частности, у значительной части пациентов с МКЛ при помощи обычного кариотипирования или FISH обнаруживаются гемизиготные или гомозиготные делеции в хромосомном локусе 9p21. А эти хромосомные делеции, в свою очередь, приводят к нарушению функционирования белка p16INK4a. А этот белок является ингибитором циклин-зависимых киназ CDK4 и CDK6 (тех самых киназ, которые активируются циклином D1). Таким образом, нормально функционирующий белок p16INK4a, ингибируя активность циклин-зависимых киназ CDK4 и CDK6, способствует поддержанию белка Rb (белка ретинобластомы) в его дефосфорилированном, антипролиферативном состоянии. И наоборот: функциональная инактивация белка p16INK4a (например, в результате делеции 9p21) в клетках МКЛ повышает активность циклин-зависимых киназ CDK4 и CDK6 и, таким образом, повышает фосфорилирование белка Rb и вызывает дальнейшую прогрессию клеточного цикла, то есть деления клетки. Таким образом, функциональная инактивация p16INK4a в клетках МКЛ может дополнять и усиливать эффект аномальной экспрессии циклина D1 — оба изменения приводят к усилению активности циклин-зависимых киназ CDK4 и CDK6 и к усилению фосфорилирования белка Rb, а значит и к усилению митотической активности клетки. Стоит отметить, что случаи МКЛ с функционально неактивным p16INK4a обычно отличаются повышенной пролиферативной активностью, более высоким индексом Ki-67 и более агрессивным клиническим течением. Были также описаны редкие случаи МКЛ, в которых функциональная активность белка p16INK4a не была изменена, но зато наблюдалась повышенная экспрессия и геномная амплификация белка BMI-1, который принадлежит к группе генов Polycomb и действует как транскрипционный репрессор генов Редкие случаи MCL с дикого типа (WT) статуса p16INK4a локуса были описаны с повышенной экспрессией и геномной амплификации ИМТ-1, который принадлежит к группе Polycomb генов и действует как транскрипционный репрессор генов локуса p16INK4a, то есть предотвращает считывание гена p16INK4a и соответственно синтез этого белка. Таким образом, избыточная экспрессия белка BMI-1 может представлять собой патогенетическую альтернативу более часто наблюдаемой делеции его таргета — белка p16INK4a. Эффект в обоих случаях один и тот же. И наконец, было обнаружено несколько случаев МКЛ с геномной амплификацией и гиперэкспрессией белка циклин-зависимой киназы CDK4. Это представляет собой ещё один дополнительный механизм нарушения нормальной регуляции клеточного цикла на этапе проверки и перехода из G1 в S-фазу.
Важным аспектом лимфомогенеза при МКЛ является появление генетических мутаций в генах, влияющих на то, как клетка реагирует на повреждения ДНК. В норме клетка в ответ на повреждение ДНК запускает процесс репарации ДНК (попытку восстановления повреждения). А если это не удаётся, то клетка либо останавливает клеточный цикл, то есть останавливает процесс деления, либо запускает процесс апоптоза — программируемой клеточной гибели. В злокачественных же клетках это часто не происходит. Так, в частности, в клетках МКЛ часто наблюдается делеция хромосомного фрагмента 11q22-23. А вместе с этим фрагментом удаляется и так называемый «мутированный ген атаксии-телеангиэктазии» (АТМ). Нередко, в дополнение к гемизиготной делеции АТМ (то есть делеции этого гена в одной из двух парных 11-х хромосом), в клетках МКЛ наблюдаются ещё и мутации во второй копии гена ATM. А ген АТМ кодирует киназы, которые принадлежат к суперсемейству PI3K-подобных белков. Этот ген играет ключевую роль в клеточном ответе на повреждения ДНК. Наблюдаемые в клетках МКЛ мутации гена АТМ часто влияют на активный каталитический (киназный) домен белка АТМ, приводя к его инактивации или пониженной активности, или же приводят к образованию усечённого, нефункционального, лишённого киназной активности белка АТМ. Помимо часто наблюдаемых мутаций в гене АТМ, при МКЛ иногда наблюдаются мутации и других молекул, участвующих в реакции на повреждения ДНК. Так, иногда при МКЛ наблюдаются изменения белков, являющихся мишенями самой АТМ-киназы. В частности, изредка при МКЛ наблюдаются изменения в генах киназ CHK2 и/или CHK1. А киназа CHK2 стабилизирует и активирует белок р53, который играет центральную роль в ответе на повреждение ДНК и запускает остановку клеточного цикла, апоптоз или попытку репарации ДНК. Наблюдаемое в части случаев МКЛ снижение уровня белка CHK2 и/или его случайные мутации, приводящие к снижению его каталитической киназной активности, приводит, в свою очередь, к снижению активности и функциональности белка p53 и к тому, что клетки, которые должны были бы запустить апоптоз или прекратить размножение вследствие неприемлемого повреждения ДНК, выживают и продолжают делиться. Это, в свою очередь, приводит к накоплению в лимфоматозных клетках генетических мутаций и хромосомных аберраций. Важно отметить, что белок p53 инактивирован приблизительно в 30 % случаев МКЛ с бластной или бластоидной морфологией, высоким пролиферативным индексом и агрессивным клиническим течением. В то же время при МКЛ с классической морфологией и низкой пролиферативной активностью снижение функциональности или инактивация p53 наблюдается редко.
Некоторые исследования показывают, что иммуногистохимически измеряемый пролиферативный индекс Ki-67, характеризующий скорость пролиферации опухолевых клеток, может быть сопряжён со степенью клинической агрессивности лимфом вообще и МКЛ в частности. В частности, низкий пролиферативный индекс (низкая скорость пролиферации) обычно соответствует более благоприятному клиническому течению, в то время как высокий пролиферативный индекс сопряжён с меньшей продолжительностью выживания после диагноза. Профилирование экспрессии генов, влияющих на скорость пролиферации клеток, при МКЛ позволяет получить количественное выражение скорости пролиферации лимфоматозных клеток, называемое «пролиферативной сигнатурой». Определение пролиферативных сигнатур позволяет определять прогностические подгруппы больных с МКЛ, отличающиеся по своей медиане выживаемости более чем на 5 лет. Пролиферативные сигнатуры, получаемые на основе профилирования экспрессии генов, влияющих на скорость пролиферации клеток, позволяют гораздо точнее предсказывать продолжительность выживания больных, чем те или иные молекулярные маркеры по отдельности или в комбинации (например, уровень экспрессии циклина D1, мутации в гене p16INK4a). Поэтому пролиферативные сигнатуры можно рассматривать в качестве суммарной, интегративной количественной оценки степени «испорченности», злокачественности клеток МКЛ, количества пережитых ими онкогенных мутаций. Пролиферативные сигнатуры могут оказаться очень полезными в будущем при изучении различных методов таргетной терапии и при принятии решения об использовании тех или иных методов лечения в зависимости от группы риска (определяемой, как раз, пролиферативной сигнатурой). В последнее время внимание исследователей привлекли более индолентные, медленно текущие, формы МКЛ. По-видимому, эти индолентные случаи МКЛ характеризуются меньшим количеством генетических изменений в клетках по сравнению с более типичными формами МКЛ, и характеризуются наличием мутаций в генах IgVH в большинстве случаев.
Диагностика и стадирование МКЛ
Большинство пациентов с МКЛ впервые попадают в поле зрения врачей уже в продвинутой стадии, с достаточно выраженной симптоматикой, и нередко с наличием конституциональных B-симптомов и/или одного или нескольких очагов экстранодального (внеузлового) поражения.
При стадировании МКЛ применяются общепринятые, стандартные подходы к стадированию лимфом, включающие в себя тщательный сбор анамнеза (истории жизни и болезни), тщательное физикальное обследование, КТ и МРТ всего тела (или, как минимум, КТ органов грудной клетки, брюшной полости, тазовых органов и, желательно, шеи), УЗИ органов брюшной полости и малого таза, пункционная аспирация и трепанобиопсия костного мозга, общий клинический анализ крови с развёрнутой лейкоцитарной формулой и СОЭ, стандартная биохимия крови с обязательным определением уровней бета-2 микроглобулина и ЛДГ (лактатдегидрогеназы). Пунктат и трепанобиоптат костного мозга, периферическая кровь, содержимое удалённых или пунктированных лимфатических узлов должны быть исследованы на предмет наличия в клетках t(11,14) методами проточной цитометрии и цитогенетики с FISH, а также на предмет экспрессии клетками циклина D1 и других характерных для МКЛ белков (например Sox11). Необходимо пристальное внимание к потенциальным местам возможной локализации внеузловых поражений. В частности, в связи с частым вовлечением в опухолевый процесс желудочно-кишечного тракта, в программе обследования должны быть предусмотрены верхняя и нижняя эндоскопии (эзофагогастродуоденоскопия и колоноскопия), особенно если пациент проявляет желудочно-кишечные жалобы или если есть признаки скрытой потери крови из ЖКТ (железодефицитная анемия, скрытая кровь в кале). При наличии симптомов со стороны ЦНС рекомендуется МРТ головного мозга и цитологическое исследование ликвора на предмет обнаружения опухолевых клеток и реактивного воспаления, измерение концентрации белка и глюкозы в ликворе.
Явный мантийноклеточный лимфолейкоз в крови наблюдается у примерно 25 % пациентов, однако с помощью чувствительных методов проточной цитометрии и молекулярных маркеров удаётся доказать наличие лейкемического компонента в крови почти у всех пациентов с МКЛ.
Полезность позитронно-эмиссионной томографии (ПЭТ) c 18-фтордезоксиглюкозой для начальной оценки стадии процесса и для оценки реакции на лечение пока достоверно не установлена, хотя МКЛ, как правило, хорошо видно на 18ФДГ-ПЭТ. ПЭТ может быть особенно полезна для идентификации мест экстранодального (внеузлового) поражения, по отношению к которым обычные КТ и МРТ имеют меньшую чувствительность. Использование техники ПЭТ также разумно для документирования полноты терапевтического ответа, особенно при наличии у пациента уже известных внеузловых поражений, или в контексте клинических испытаний, где полная ремиссия является целью терапии МКЛ. Показано, что ПЭТ-негативность после лечения тесно коррелирует с увеличением продолжительности выживаемости без прогрессирования.
Прогноз
Таргетная терапия
МКЛ, в большинстве случаев, хорошо реагирует на иммунохимиотерапию первой линии. Ряд современных иммунохимиотерапевтических подходов значительно улучшил показатели общего и полного объективного ответа на терапию, по сравнению с ранее известными режимами комбинированной химиотерапии. Тем не менее, как обсуждалось выше, большинство пациентов получают рецидивы в течение ближайших 1-5 лет даже после успешной индукционной терапии и высокодозной консолидации с последующей аутогенной трансплантацией гемопоэтических стволовых клеток. Иммунохимиотерапия второй, третьей и последующих линий может иметь высокую терапевтическую активность при рецидивах МКЛ, однако продолжительность достигаемого при этом объективного ответа или ремиссии часто невелика. Поэтому существует настоятельная потребность в новых лекарствах для больных с рецидивами МКЛ после стандартной иммунохимиотерапии и для пациентов, резистентных к стандартной иммунохимиотерапии. Все большее число новых препаратов показывают клиническую активность в этих обстоятельствах. Эти препараты отличаются от традиционных химиопрепаратов тем, что их воздействие специфично направлено именно на те нарушения регуляции элементов клеточного цикла, которые характерны для МКЛ, а также на другие задействованные в онкогенезе механизмы роста, пролиферации и регуляции апоптоза. Многие из этих препаратов уже пытаются включать в схемы первой линии терапии МКЛ с целью повышения частоты полных ремиссий и продолжительности выживания без прогрессирования заболевания, либо как компонент комбинированной терапии, вместе со стандартными препаратами, либо как компонент стратегии поддерживающей терапии или консолидации.
Ингибиторы убиквитин-протеасомного пути
Бортезомиб воздействует на так называемый убиквитин-протеасомный путь, и, как в настоящее время представляется, реализует свой терапевтический эффект при помощи воздействия на несколько различных клеточных механизмов, которые задействованы в патогенезе лимфоидных новообразований. Бортезомиб получил одобрение FDA США для лечения миеломной болезни (множественной миеломы), а также для лечения рецидивов МКЛ. Два исследования II фазы, взятые вместе, показали 44 % частоту объективного ответа на терапию бортезомибом, причём было достигнуто 18 % полных ответов. При этом у большинства пациентов, положительно ответивших на терапию бортезомибом, наблюдались относительно продолжительные ответы, с медианой времени до прогрессирования и возникновения необходимости в другом виде лечения около 14 месяцев. Эффективность бортезомиба при МКЛ сейчас подвергается дальнейшему изучению в рамках текущих многоцентровых исследований, как в качестве монотерапии, так и в сочетании с ритуксимабом, и в сочетании с традиционной химиотерапией или иммунохимиотерапией, включая схемы BR (бендамустин-ритуксимаб), R-CHOP, высокие дозы цитарабина и модифицированные схемы R-HyperCVAD. Бортезомиб можно безопасно применять у пациентов с тяжёлой почечной недостаточностью. Однако применение бортезомиба сопряжено с частым развитием периферической невропатии у многих пациентов. Это является дозо-ограничивающей токсичностью для бортезомиба. Кроме того, эта особенность требует снижения доз бортезомиба и тщательного мониторинга состояния периферических нервов при сочетании бортезомиба с химиопрепаратами, также склонными вызывать периферическую невропатию, такими, как препараты платины или винка-алкалоиды (винкристин, винбластин, виндесин, винорелбин). Кроме того, во время терапии бортезомибом часто наблюдается реактивация латентной герпес-инфекции, что вынуждает специалистов рекомендовать профилактическое применение противовирусных препаратов, таких, как ацикловир, в период терапии бортезомибом.
Ингибиторы ангиогенеза
Леналидомид является препаратом, высокоактивным при лечении миеломной болезни (множественной миеломы) и хронического лимфоидного лейкоза. Он обладает несколькими механизмами действия, в том числе прямым антипролиферативным действием, а кроме того, тормозит ангиогенез в опухоли, подавляет взаимодействие опухолевых и стромальных клеток, снижает секрецию ряда цитокинов, обладает иммуномодулирующим действием. Обнаружение активности при МКЛ более старого препарата этой группы, талидомида, привело к исследованию эффективности леналидомида у больных с рецидивами МКЛ после стандартного лечения или с резистентностью к стандартной химиотерапии и иммунотерапии.
Среди больных с рецидивами МКЛ, ранее неоднократно интенсивно лечившихся различными стандартными схемами химиотерапии и иммунотерапии, наблюдались частичные и полные ответы при применении монотерапии одним лишь леналидомидом, принимаемым перорально. Эти обнадёживающие данные привели к проведению международных клинических испытаний II фазы леналидомида при рецидивном МКЛ. В ходе этих испытаний 42 % из 57 больных с рецидивами МКЛ дали положительный ответ на терапию леналидомидом. При этом среднее время выживания до прогрессирования составило 5,7 месяцев. Токсичность терапии леналидомидом проявлялась преимущественно в виде обратимой миелосупрессии.
Положительный ответ, включая полные ремиссии, на применение монотерапии леналидомидом наблюдался также у пациентов с рецидивами МКЛ после трансплантации гемопоэтических стволовых клеток, в том числе и после аллогенной трансплантации, а не только после аутологичной. Исследование 134 пациентов c прогрессированием после ритуксимаба в сочетании с химиотерапией и бортезомибом показало 28 % частичных ответов и 8 % полных ремиссий, при этом медиана продолжительности сохранения объективного эффекта была 16,6 месяцев.
Доклинические данные, показавшие положительное взаимодействие леналидомида с ритуксимабом привели к проводимым сейчас исследованиям так называемых «R2» схем при хроническом лимфоидном лейкозе и при индолентных лимфомах. При этом было показано, что сочетание леналидомида с ритуксимабом позволяет достичь положительного ответа на терапию более чем у половины пациентов с рецидивирующей или резистентной МКЛ. Леналидомид или комбинация «R2» (леналидомид плюс ритуксимаб) может также найти своё применение в качестве поддерживающей терапии и профилактики рецидивов МКЛ после основного лечения.
Талидомид также эффективен при МКЛ в монотерапии. Предполагаемая антиангиогенная активность талидомида и его синергизм с ритуксимабом с увеличением терапевтической эффективности обоих, послужили основанием для его испытания в комбинации с ритуксимабом и метрономной химиотерапией PEP-C (низкие дозы преднизолона, этопозида, прокарбазина и циклофосфамида. Эта схема получила название RT-PEP-C. На этой схеме у больных с рецидивами или резистентным МКЛ была получена частота объективных ответов 73 %, из них 32 % полных ремиссий. С учётом того, что многие из этих больных были ранее неоднократно интенсивно пролечены, это очень хорошие результаты.
Ингибиторы МРМ
Мишень рапамицина у млекопитающих (МРМ, mTOR) является нижестоящим сигнальным звеном в каскаде фосфатидилинозитол-3-киназы (PI3K) / Akt. Этот каскад играет ключевую роль в регуляции трансляции мРНК генов различных белков, включая трансляцию мРНК циклина D1, того самого, уровень экспрессии которого повышен в клетках МКЛ.
Исходя из представления о потенциальной способности ингибиторов МРМ прерывать зависящие от активности циклина D1 внутриклеточные сигнальные каскады и возможном наличии у них вследствие этого противоопухолевого эффекта в опухолях, проявляющих гиперэкспрессию циклина D1, один из таких ингибиторов — темсиролимус, производное рапамицина, был успешно исследован в качестве монотерапии в ряде клинических исследований II фазы при рецидивах МКЛ. В исследовании III фазы, сравнивавшей 2 дозы и 2 режима введения темсиролимуса с выбранной исследователем той или иной стандартной иммуно-химиотерапией, схема, предусматривавшая введение 175 мг темсиролимуса в неделю в течение 3-х недель с последующим переходом на введение 75 мг в неделю, показала преимущество в общем количестве объективных ответов на терапию и в продолжительности периода безрецидивной выживаемости как по сравнению с более низкой дозой темсиролимуса, так и по сравнению со стандартной иммуно-химиотерапией. В настоящее время темсиролимус также исследуется в качестве компонента терапии первой линии, в комбинации с различными схемами химиотерапии и с ритуксимабом при МКЛ, а также при агрессивных крупноклеточных лимфомах высокого риска. Как и другой ингибитор МРМ, эверолимус, темсиролимус также изучается в качестве средства консолидации ремиссии и средства поддерживающей терапии при МКЛ и агрессивных крупноклеточных лимфомах, как в монотерапии, так и в комбинации с ритуксимабом. Эверолимус также проявляет активность, как в монотерапии, так и в комбинациях с ритуксимабом и/или с химиотерапией при рецидивах МКЛ и при резистентных формах МКЛ, включая пациентов, резистентных к бортезомибу.
Ингибиторы PI3K / Akt
PI3K (фосфатидилинозитол-3-киназа) и Akt находятся выше МРМ (мишени рапамицина у млекопитающих) во внутриклеточных сигнальных каскадах. Этот PI3K/Akt путь активирован во многих злокачественных опухолях, особенно B-клеточных лимфомах, в частности и при МКЛ. Так, в частности, дельта-форма PI3K (PI3K-delta) экспрессирована более чем в 90 % случаев B-клеточных лимфом, включая и МКЛ. Это делает PI3K-delta удобной и логичной терапевтической мишенью для низкомолекулярных ингибиторов. Один из таких ингибиторов PI3K-delta, предназначенный для приёма внутрь — иделалисиб проявил терапевтическую противоопухолевую активность в клинических исследованиях I фазы при резистентном или рецидивном хроническом лимфоидном лейкозе, а также при резистентном или рецидивном МКЛ. В настоящее время иделалисиб проходит дальнейшие клинические исследования при МКЛ, как в монотерапии, так и в комбинациях с другими таргетными препаратами, химиотерапией, иммунотерапией.
Ингибиторы B-клеточного сигнального каскада
Нормальный гуморальный иммунный ответ на антиген, приводящий к бласттрансформации, специализации (приобретению антигенной специфичности), созреванию и размножению B-лимфоцитов, происходит вследствие активации так называемого В-клеточного сигнального каскада — BCR. Ниже B-клеточного рецептора в этом сигнальном каскаде находятся, в частности, так называемая «селезёночная тирозинкиназа» (Syk), тирозинкиназа Брутона (Btk), протеинкиназа C-бета (РКС-β, PKC-beta). Все эти киназы являются удобными и логичными терапевтическими мишенями для разработки новых таргетных препаратов. В настоящее время проходят клинические испытания I и II фазы при мантийноклеточной лимфоме (МКЛ) и при других лимфомах ингибитора селезёночной тирозинкиназы Syk — фостаматиниба, ингибитора тирозинкиназы Брутона Btk — ибрутиниба (PCI-32765) и ингибитора протеинкиназы C-бета — энзастаурина.
Ингибитор тирозинкиназы Брутона — ибрутиниб — показал высокую активность при резистентной или рецидивной МКЛ. Другие препараты: акалабрутиниб, занубрутиниб.
Что же касается ингибитора селезёночной тирозинкиназы — фостаматиниба, и ингибитора протеинкиназы C-beta — энзастаурина, то их активность при МКЛ скорее разочаровывающа (так, например, частота объективного ответа на фостаматиниб при рецидивной или резистентной МКЛ в одном из исследований составила всего 11 %). В то же время, учитывая ограниченность терапевтических опций при резистентном или рецидивном МКЛ, даже эта, сравнительно невысокая, частота объективного ответа представляет интерес. К тому же возможно, что частота объективного ответа может существенно увеличиться при сочетании фостаматиниба и/или энзастаурина с другими таргетными препаратами, в частности с другими ингибиторами В-клеточного сигнального каскада (так сказать, полная блокада всех ветвей В-клеточного ответа), или при сочетании с химиотерапией, иммунотерапией.
Ингибиторы гистондеацетилазы
Ацетилирование и деацетилирование гистонов является важным механизмом регуляции экспрессии генов и транскрипции белков. Уровни ацетилирования и деацетилирования гистонов изменены в большинстве видов злокачественных опухолей, включая лимфому и конкретно МКЛ. В опытах в пробирке (in vitro) показано, что уровень экспрессии гена белка циклина D1, повышенный в клетках МКЛ, понижается при обработке культуры клеток ингибитором гистондеацетилазы вориностатом. Кроме того, вориностат способен также ингибировать PI3K / Akt путь. Предварительные клинические исследования активности вориностата, уже утверждённого в США для лечения Т-клеточной лимфомы, при МКЛ, показали наличие у него клинической эффективности при МКЛ. В настоящее время проходят дополнительные углублённые исследования эффективности вориностата, наряду с другими ингибиторами гистондеацетилазы. Исследуются также возможные новые комбинации ингибиторов гистондеацетилазы, в частности вориностата, с бортезомибом и цитостатиками.
Ингибиторы клеточного цикла
Нарушение регуляции клеточного цикла присутствует у всех больных с МКЛ — экспрессия циклина D1 в клетках опухоли повышена у большинства пациентов, у остальных повышена экспрессия циклина D2 или или циклина D3. Это приводит к значительному интересу к разработке методов терапии, направленных на ингибирование белков семейства циклинов, и/или циклин-зависимых киназ. Так, например, флавопиридол является синтетическим флавоном с несколькими механизмами действия, которые включают в себя ингибирование циклина D1 и циклина D3, а также конкурентное ингибирование циклин-зависимых киназ CDK4 и CDK6. В клиническом исследовании, проведённом в Канаде, флавопиридол в монотерапии показал всего лишь скромные 11 % объективного ответа при МКЛ. Однако в этом исследовании флавопиридол использовался в виде кратковременной инфузии, что не очень рационально, так как он быстро выводится из организма. Последующие клинические испытания, в которых, на основании рационального расчёта фармакокинетики флавопиридола, он применялся в виде продолжительных непрерывных инфузий, показали гораздо лучшие результаты при лечении хронического лимфоидного лейкоза. Этот подход с пролонгированными инфузиями флавопиридола, возможно, способен показать лучшие результаты и при МКЛ.
Ориентация на непосредственную блокаду не самих циклинов, а циклин-зависимых киназ CDK4 и/или CDK6, подход, который теоретически может обойти ап-регуляцию (усиление экспрессии) циклинов D2 или D3 в ответ на блокаду циклина D1 — перспективный метод лечения, который сейчас изучается с использованием исследовательского агента PD 0332991. Этот пероральный агент показал свою эффективность в рецидиве МКЛ, и изучается как в монотерапии, так и в комбинации с бортезомибом.
Ингибиторы Bcl-2, BH3-миметики
Регуляция процессов апоптоза в клетках очень сложна. Система регуляции состоит как из белков, повышающих резистентность клеток к апоптозу, так и из белков, запускающих или поддерживающих процессы апоптоза. В про-апоптотических белках присутствует специальный регуляторный домен BH3. Поскольку белки, повышающие резистентность клеток к апоптозу, в повышенном количестве экспрессируются в клетках МКЛ, одна из возможных терапевтических стратегий при МКЛ состоит в использовании агентов, имитирующих воздействие на регуляторный домен BH3 и тем самым ингибирующих активность белка Bcl-2. Это, в свою очередь, способствует апоптозу клетки. В настоящее время в процессе клинических испытаний находятся несколько BH3-миметиков, ингибиторов Bcl-2, в частности венетоклакс (ABT-199), обатоклакс (GX 15-070) и навитоклакс (ABT-263).
Ссылки
- Monarch Disease Ontology release 2018-06-29sonu — 2018-06-29 — 2018.
- Транслокация t(11;14)(q13;q32)
- Li J.Y., Gaillard F., Moreau A., et al. Detection of translocation t(11;14)(q13;q32) in mantle cell lymphoma by fluorescence in situ hybridization (англ.) // The American Journal of Pathology : journal. — 1999. — May (vol. 154, no. 5). — P. 1449—1452. — doi:10.1016/S0002-9440(10)65399-0. — PMID 10329598.
- Barouk-Simonet E., Andrieux J., Copin M.C., et al. TPA stimulation culture for improved detection of t(11;14)(q13;q32) in mantle cell lymphoma (англ.) // Ann. Genet. : journal. — 2002. — Vol. 45, no. 3. — P. 165—168. — doi:10.1016/S0003-3995(02)01122-X. — PMID 12381451.
- Mantle Cell Lymphoma
- Turgeon, Mary Louise. Clinical hematology: theory and procedures (англ.). — Hagerstown, MD: Lippincott Williams & Wilkins, 2005. — P. 283. — ISBN 0-7817-5007-5.. — «Frequency of lymphoid neoplasms. (Source: Modified from WHO Blue Book on Tumour of Hematopoietic and Lymphoid Tissues. 2001, p. 2001.)».
- Alan P. Skarbnik, Andre H. Goy. Mantle cell lymphoma: state of the art // Clinical Advances in Hematology & Oncology: H&O. — 2015-1. — Т. 13, вып. 1. — С. 44—55. — ISSN 1543-0790.
- Мантийноклеточная лимфома (недоступная ссылка). Дата обращения: 7 сентября 2014. Архивировано 9 февраля 2015 года.
Внешние ссылки
На английском
- Краткий обзор биологии и патофизиологии мантийноклеточной лимфомы
- Консорциум по мантийноклеточной лимфоме
- Лимфомная Ассоциация — специализированная Британская общественная организация, бесплатно предоставляющая информацию и поддержку пациентам, их семьям, друзьям и лицам, осуществляющим уход за пациентами с лимфомой
