Полип желудка
Полип желудка — скопление клеток, образующееся на внутренней поверхности желудка. О полипах желудка как о редком заболевании можно было говорить лет 40-50 назад. С развитием эндоскопии полипы желудка выявляются практически в любом эндоскопическом кабинете ежедневно. Они, как правило, не определяются по каким-либо признакам или симптомам. Изредка о наличии полипов могут свидетельствовать боль в животе, болезненные ощущения при надавливании на живот, кровотечение, тошнота и рвота. В большинстве же случаев они выявляются случайно во время обследования по иным причинам. Наиболее общая типология полипов желудка включает в себя: гиперпластические полипы, полипы фундальных желёз, аденоматозные полипы.[1]
| Полип желудка | |
|---|---|
![]() Полипоз фундальных желёз желудка, выявленный во время гастроскопии. Пациент в течение длительного времени принимал ингибиторы протонного насоса. | |
| МКБ-10 | K31.7 D13.1 |
Причиной появления полипов желудка является ответная реакция организма на воспалительные процессы или иные нарушения в слизистой оболочке желудка. К факторам риска относятся: возраст (в основном данные полипы выявляются у лиц старше 50 лет), бактериальные инфекции желудка (бактерия Helicobacter pylori способствует развитию гиперпластических и аденоматозных полипов), наследственный синдром рака толстой кишки (семейный аденоматозный полипоз повышает риск появления не только рака толстой кишки, но и полипов желудка), некоторые медикаменты (длительное применение ингибиторов протонного насоса для лечения гастроэзофагеальной рефлюксной болезни связано с развитием полипов фундальной железы).[1]
Для выявления и определения типологии полипов желудка применяют гастроскопию[2]. Данная процедура даёт возможность и осмотреть желудок, и взять образец ткани для исследования в лаборатории (биопсия). После обнаружения полипов желудка дальнейшее лечение определяется их типологией и размерами. Большинство полипов желудка не становятся злокачественными, но некоторые типы могут повысить риск появления рака желудка в будущем[3]. По этой причине одни полипы удаляются во время хирургического вмешательства, а другие могут не потребовать оперативного лечения.[1] Лечение полипоза желудка весьма остается актуальным. Выявленные при гистологическом исследовании биоптата атипичные клетки , являются показанием к оперативному вмешательству, как при раке желудка, по правилам онкологического радикализма. Лечебная тактика не зависит от величины полипов. Полипы подлежат удалению путем эндоскопической электроэксцизии или резекции желудка по правилам соблюдения абластики и антибластики.[4]
Если в желудке обнаружены аденоматозные полипы или если размер полипов больше 1 см, то рекомендуется их удаление. Если пациент страдает от гастрита, вызванного бактерией Helicobacter pylori, то может быть назначен приём антибиотиков для лечения хеликобактерной инфекции, что будет способствовать и избавлению от гиперпластических полипов.[1]
- Микроструктура полипов желудка
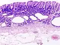
Полип фундальных желёз
Полип фундальных желёз
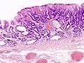
Гиперпластический полип
Гиперпластический полип
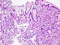
Аденоматозный полип
Аденоматозный полип
Примечания
- Stomach polyps
- Тлехурай Р. М. Магнификационная гастроскопия в эндоскопическом лечении полипов желудка. Диссертация. Краснодар, 2007.
- Полипы в желудке: виды, симптомы, причины, вред. Пер. с англ. Н. Д. Фирсовой (2018).
- Гладинец М.м, Найманбаев Н.р, Ермуратова Г.ж, Мукашева А.е, Тусупбаева А.н. Лечение полипов желудка // Наука и здравоохранение. — 2013. — Вып. 4. — ISSN 2410-4280.
