Лучезапястный сустав
Лу́чезапя́стный суста́в (лат. articulátio radiocárpea) — подвижное соединение костей предплечья и кисти человека[2]. Образован расширенной и вогнутой запястной суставной поверхностью лучевой кости и медиально расположенным треугольным хрящевым диском, представляющих вогнутую суставную поверхность, сочленяющуюся с выпуклой проксимальной (расположенной ближе к туловищу) суставной поверхностью костей первого ряда запястья: ладьевидной, полулунной и трёхгранной[3].
| Лучезапястный сустав | |
|---|---|
| лат. articulatio radiocárpea | |
![]() Левый лучезапястный сустав, вид со стороны ладони. | |
![]() Фронтальный распил лучезапястного сустава и суставов кисти. | |
| Кровоснабжение | ветви лучевой, локтевой и межкостной артерий, образующие сеть. |
| Венозный отток | из глубокой ладонной венозной дуги запястья в локтевые, лучевые и межкостные вены. |
| Иннервация | плечевое сплетение: n. radiális (лучевой), n. ulnáris (локтевой), n. mediális (срединный) нервы. |
| Лимфа | по глубоким лимфатическим сосудам в ладонное лимфатическое сплетение, затем в лимфатические узлы локтевой ямки. |
| Каталоги | |
По числу участвующих костей сустав является сложным, а по форме суставных поверхностей относится к эллипсовидным (лат. articulacio ellipsoidea) с двумя осями вращения (сагиттальной и фронтальной)[4]. В суставе возможны движения[2][3]:
- сагиттальная ось — отведение и приведение кисти;
- фронтальная ось — сгибание и разгибание;
- эллипсовидность сустава позволяет осуществлять круговое вращение кисти (лат. circumductio).
Анатомия
![]() |
![]() | |
Правый лучезапястный сустав человека, вид спереди и сзади. | ||
![]() |
![]() | |
Связки правого лучезапястного сустава, вид спереди и сзади. | ||
В процессе эволюции по мере приобретения способности к пронации и супинации сустав млекопитающих, имеющий форму блока, дополняется лучелоктевым дистальным суставом (лат. articulatio radioulnáris distális), который вместе с проксимальным лучелоктевым суставом (лат. articulatio radioulnáris proximális) образует единое комбинированное сочленение с вертикальной осью вращения. У человека в связи с наибольшим объёмом вращения предплечья суставной диск (лат. discus articuláris) дистального эпифиза локтевой кости достигает наивысшего развития и приобретает форму треугольной волокнисто-хрящевой пластинки, образующей суставную впадину проксимального отдела лучезапястного сустава. Таким образом, локтевая кость участвует в лучезапястном суставе лишь посредством вышеупомянутого хрящевого диска, не имея непосредственного отношения к этому сочленению. Поэтому сустав называют не предплечезапястным, а лучезапястным[4].
Суставные поверхности: суставная впадина образована лучевой костью и треугольным хрящевым диском, закреплённым между лучевой костью и шиловидным отростком локтевой кости, а суставная головка — проксимальной поверхностью первого ряда костей запястья (ладьевидной, полулунной и трёхгранной), связанных межкостными связками (лат. ligaméntum intercárpea)[2][3][4].
Суставная сумка тонкая, прикрепляется к краям суставных поверхностей костей, образующих сустав[3].
- Боковая лучевая связка запястья (лат. ligaméntum collaterále cárpi radiále) — между шиловидным отростком лучевой кости и ладьевидной костью — ограничивает приведение кисти;
- Боковая локтевая связка запястья (лат. ligaméntum collaterále cárpi ulnáre) — между шиловидным отростком локтевой кости и трёхгранной костью (часть волокон достигает гороховидной) — ограничивает отведение кисти;
- Тыльная лучезапястная связка (лат. ligaméntum radiocarpéum dorsále) — между тыльной поверхностью дистального эпифиза лучевой кости и тыльными поверхностями костей запястья (ладьевидной, полулунной и трёхгранной) — ограничивает сгибание кисти;
- Ладонная лучезапястная связка (лат. ligaméntum radiocarpéum palmáre) — между основанием шиловидного отростка лучевой кости и костями первого (ладьевидная, полулунная и трёхгранная) и второго (головчатая кость) ряда запястья — ограничивает разгибание кисти;
- Межзапястные межкостные связки (лат. ligaménta intercárpea interóssea) — соединяющие кости первого ряда запястья.
Кровоснабжение
Réte articuláre — артериальная сеть, образованная ветвями a. radiális, a. ulnáris, aa. interósseae. На ладонной поверхности связочного аппарата запястья находятся анастомозы ладонных запястных ветвей лучевой и локтевой артерий, а также ветвей глубокой ладонной дуги и передней межкостной артерии[5].
Венозный отток
Осуществляется из глубокой ладонной венозной дуги запястья в глубокие вены верхней конечности, по две сопровождающие одноимённые артерии: локтевые вены (лат. vv. ulnáres), лучевые вены (лат. vv. radiáles), межкостные вены (лат. vv. interósseae)[6].
Лимфоотток
Осуществляется по глубоким лимфатическим сосудам в ладонное лимфатическое сплетение, затем в лимфатические узлы локтевой ямки лат. nódi limphátici cubitáles[7].
Иннервация
Плечевое сплетение: лучевой нерв (лат. n. radiális), локтевой нерв (лат. n. ulnáris), срединный нерв (лат. n. mediánus)[8].
Каналы
В области лучезапястного сустава расположены три канала, образованные удерживателем сгибателей (лат. retináculum flexórum) в борозде (лат. súlcus cárpi) между выступами локтевым (лат. eminéncia cárpi ulnáris) и лучевым (лат. eminéncia cárpi radiális)[9]:
- локтевой канал (лат. canális cárpi ulnáris) — содержит локтевой нерв и сосуды из борозды (лат. súlcus ulnáris) предплечья (локтевая артерия и вены);
- лучевой канал (лат. canális cárpi radiális) — содержит сухожилие лучевого сгибателя запястья и лучевую артерию;
- запястный канал (лат. canális carpális) — содержит два отдельных синовиальных влагалища (для сухожилий поверхностного и глубокого сгибателей пальцев и второй — для сухожилия длинного сгибателя большого пальца), срединный нерв и артерию, сопровождающую срединный нерв (система локтевой артерии)[10].
Патология
Артрит
Артри́т лу́чезапя́стного суста́ва — острый или хронический воспалительный процесс, характеризующийся болевым синдромом и нарушением подвижности (ощущение скованности). Область сустава становится отёчной, покрасневшей и горячей на ощупь. В зависимости от причины различают[11]:
- специфи́ческий артрит, развивающийся как осложнение туберкулёза, сифилиса, гонореи;
- неспецифи́ческий артрит, вызываемый проникновением в полость сустава гноеродных микроорганизмов с током крови или лимфы из основного гнойного очага или в результате проникновения инфекционных агентов извне при проникающем ранении сустава;
- инфекцио́нно-аллерги́ческий артрит — результат иммунной аутоагрессии на фоне инфекционных заболеваний (бруцеллёз, корь и другие);
- на фоне системных заболеваний соединительной ткани: ревматоидный артрит (характе́рно симметричное поражение суставов) и поражение сустава при системной красной волчанке;
- в результате отложения солей на фоне обменных нарушений, (например, при подагре).
Лечение зависит от стадии и характера воспалительного процесса.
- В случае острого гнойного воспаления производится хирургическое дренирование полости сустава для свободного оттока гноя и антибактериальная терапия.
- При хроническом или специфическом артрите производится иммобилизация сустава в физиологически выгодном положении, назначается неспецифическая противовоспалительная и специфическая антибактериальная терапия (в зависимости от этиологии возбудителя).
- На фоне стихания воспалительного процесса подключают лечебную физкультуру, массаж, физиотерапевтические методы лечения.
- В стадии ремиссии хронического артрита рекомендуется принимать ходропротекторы для восстановления тканей сустава, продолжать занятия лечебной физкультурой, контролировать нагрузку на сустав, соблюдать диетические рекомендации (Подагра).
Несвоевременное и неправильное лечение артрита лучезапястного сустава ведёт к развитию деформирующего остеоартроза со снижением его двигательной функции вплоть до анкилоза[11].
Остеоартроз
О́стеоартро́з лу́чезапя́стного суста́ва — дегенеративно-дистрофическое заболевание сустава, развившееся в результате поражения хрящевой ткани суставных поверхностей[12]. Встречается значительно реже патологии крупных суставов (тазобедренного, коленного и голеностопного), однако представляет собой серьёзную проблему, связанную с ограничениями в трудовой деятельности и самообслуживании. Причиной остеоартроза лучезапястного сустава могут стать возрастная дегенерация хряща, систематическая перегрузка и микротравматизация сустава (маляры, музыканты, машинистки, операторы ПК и художники), травмы или воспалительные процессы[13].
Клиническая картина: ограничение подвижности и боли, усиливающиеся при пальпации или пассивных движениях в суставе на фоне хруста и щелчков, не наблюдаемых у здоровых. По мере прогрессирования процесса болевой синдром усиливается, а объём движений в суставе уменьшается — развивается тугоподвижность[13].
Лечение направлено на купирование болевого синдрома — длительная иммобилизация сустава в физиологически выгодном положении при помощи специальных бандажей или ортезов, назначение нестероидных противовоспалительных средств. Медикаментозную терапию дополняют физиотерапевтическими методами и санаторно-курортным лечением в санаториях ортопедического профиля. В случаях, когда болевой синдром купировать не удаётся, применяют внутрисуставные инъекции глюкокортикоидов или хирургическое лечение, направленное на создание искусственного анкилоза (тугоподвижность в суставе избавляет пациента от боли). Лечебную тактику в каждом конкретном случае может выбрать только врач на основании клинической картины и данных рентгенологического исследования[13].
Травмы
Повреждения (ушиб, вывих, перелом, растяжение связок), чаще всего возникают в результате прямого воздействия силы при ушибах и падении с упором на ладонь. К повреждениям костей запястья следует относится чрезвычайно серьёзно, так как неверное и несвоевременное лечение может привести к потере функции[14].
Перелом
Среди костей запястья перелому подвергается ладьевидная кость и реже полулунная[14]:
- Клиническая картина — появляется болезненная припухлость, максимально выраженная на тыльной поверхности области лучезапястного сустава, движения ограничены, боль усиливается при нагрузке по оси вытянутых пальцев.
- Диагностика — базируется на данных анамнеза и объективного исследования. Рентгенологическое исследование позволяет верифицировать диагноз.
- Лечение — иммобилизация в среднефизиологическом положении кисти и предплечья с помощью гипсовой лонгеты сроком до 6 недель в связи со слабой интенсивностью кровоснабжения костей запястья.
Ранения
Ранения лучезапястного сустава (колотые, рваные, ушибленно-рваные, резаные, рубленые вплоть до травматической ампутации, размозжения, укушенные но чаще огнестрельные) встречаются редко.
Первая помощь — остановка кровотечения (жгут или пальцевое прижатие сосуда), наложение асептической повязки, иммобилизация (фиксация) кисти и предплечья с помощью подручных средств. Для профилактики столбняка в условиях амбулатории или стационара осуществляется введение противостолбнячной сыворотки по Безредке. В условиях стационара производится первичная хирургическая обработка раны, окончательная остановка кровотечения, удаление некротизированных тканей, костных отломков и других артефактов, после чего производится фиксация гипсовой повязкой от пястно-фалангового сочленения до средней трети плеча в функционально выгодном положении локтевого и лучезапястного сустава. Первичная хирургическая обработка открытых повреждений лучезапястного сустава обязательна для профилактики присоединения гнойных осложнений повреждения лучезапястного сустава, а также (в отдалённые сроки) развития остеомиелита[15].
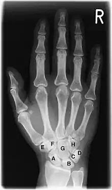
Костный возраст

A Ладьевидная кость (Os scaphoideum)
B Полулунная кость (Os lunatum)
C Трёхгранная кость (Os triquetrum)
D Гороховидная кость (Os pisiforme)
E Кость-трапеция (Os trapezium)
F Трапециевидная кость (Os trapezoideum)
G Головчатая кость (Os capitatum)
H Крючковидная кость (Os hamatum)
Скелет кисти и лучезапястного сустава является наиболее удобным объектом для рентгенологического исследования развития костной системы человека[16]. На рентгенограмме кисти и лучезапястного сустава в прямой проекции видны ядра окостенения костей запястья, дистальных эпифизов лучевой и локтевой кости, наличие синостозирования эпифизов и диафизов. Сроки появления ядер окостенения и синостозирования зависят от пола и от возраста. Методика применяется для определения биологического возраста и его соответствия паспортному возрасту.
У доношенного новорожденного рентгенологическое исследование кисти и лучезапястного сустава в прямой проекции выявляет окостенение диафизов трубчатых костей, (развившееся из основных точек окостенения [или оссификации] начиная со второго месяца внутриутробного развития ребёнка), эпифизы трубчатых костей и кости запястья находятся на хрящевой стадии развития, поэтому на снимке не визуализируются. Иногда на рентгенограмме новорожденного выявляются точки окостенения головчатой и крючковидной костей, что дополнительно подтверждает доношенность новорожденного. В дальнейшем происходит последовательное появление ядер окостенения в костях запястья и эпифизах трубчатых костей. Наступление синостозирования эпифизов и диафизов трубчатых костей у мужчин происходит в возрасте 19—23 года, у женщин в 17—21 год. Современные исследования указывают на более ранние сроки синостозирования (закрытия хрящевых зон роста). Скелет лучезапястного сустава и кисти, состоящий из большого количества костей, претерпевает значительные возрастные изменения. Знание сроков и последовательности появления ядер окостенения позволяет профессионалам определить наличие эндокринной патологии и заболеваний других систем организма[16].
Примечания
- Wrist // Foundational Model of Anatomy
- Лучезапястный сустав — статья из Большой советской энциклопедии.
- Р. Д. Синельников. Атлас анатомии человека. — 3-е изд., перераб. и доп. — М.: Медицина, 1967. — Т. I. — С. 207. — 460 с. — 105 000 экз.
- Анатомия человека / Привес М. Г., Лысенков Н. К. — 9-е изд., перераб. и доп. — М.: Медицина, 1985. — С. 131—132. — 672 с. — (Учебная литература для студентов медицинских институтов). — 110 000 экз.
- Р. Д. Синельников. Атлас анатомии человека. — 4-е изд., перераб. и доп. — М.: Медицина, 1973. — Т. II. — С. 319. — 468 с. — 165 000 экз.
- Р. Д. Синельников. Атлас анатомии человека. — 4-е изд., перераб. и доп. — М.: Медицина, 1973. — Т. II. — С. 394. — 468 с. — 165 000 экз.
- Р. Д. Синельников. Атлас анатомии человека. — 4-е изд., перераб. и доп. — М.: Медицина, 1973. — Т. II. — С. 454. — 468 с. — 165 000 экз.
- Р. Д. Синельников. Атлас анатомии человека. — 3-е изд., перераб. и доп. — М.: Медицина, 1967. — Т. III. — С. 192—210. — 394 с. — 50 000 экз.
- Анатомия человека / Привес М. Г., Лысенков Н. К. — 9-е изд., перераб. и доп. — М.: Медицина, 1985. — С. 213. — 672 с. — (Учебная литература для студентов медицинских институтов). — 110 000 экз.
- Анатомия человека в двух томах / Под ред. акад. РАМН проф. М. Р. Сапина. — 5-е изд., перераб. и доп. — М.: Медицина, 2001. — Т. I. — С. 404—405. — 640 с. — (Для студентов медицинских вузов, аспирантов, врачей). — ISBN 5-225-04585-5.
- Артрит лучезапястного сустава.
- Покровский В. И. Малая медицинская энциклопедия. — Советская энциклопедия, 1996. — Т. 4. — 577 с. — ISBN 5-225-02819-5. Архивированная копия (недоступная ссылка). Дата обращения: 9 января 2012. Архивировано 7 июня 2012 года.
- Артроз лучезапястного сустава.
- Хирургические болезни у детей / Под ред. Ю. Ф. Исакова. — 1-е изд. — М.: Медицина, 1993. — С. 387—388. — 576 с. — (Учебная литература для студентов медицинских институтов). — 15 000 экз. — ISBN 5-225-00875-5.
- Медицинская энциклопедия: Лучезапястный сустав
- Анатомия человека / Привес М. Г., Лысенков Н. К. — 9-е изд., перераб. и доп. — М.: Медицина, 1985. — С. 130—131. — 672 с. — (Учебная литература для студентов медицинских институтов). — 110 000 экз.
.jpeg.webp)




