Эмпиема плевры
Эмпиема плевры (пиоторакс, гнойный плеврит) — скопление гноя в плевральной полости (разновидность плеврального выпота). Как правило, эмпиема плевры развивается в связи с инфекционным поражением лёгких (пневмонией) и часто ассоциирована с парапневмоническим выпотом. Различают три стадии эмпиемы: экссудативная, фибринозно-гнойная и организующая. При экссудативной фазе происходит накопление гноя. Фибринозно-гнойная стадия проявляется осумкованием плевральной жидкости с формированием гнойных карманов. В конечную, организующую стадию, происходит рубцевание плевральной полости, которое может привести к замуровыванию лёгкого[1].
| Эмпиема плевры | |
|---|---|
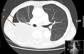
![]() Компьютерная томография, демонстрирующая массивный правосторонний гидропневмоторакс, обусловленный эмпиемой плевры. Стрелка A: газ, B: жидкость | |
| МКБ-11 | CA44 |
| МКБ-10 | J86 |
| МКБ-10-КМ | J86 и J86.9 |
| МКБ-9 | 510 |
| DiseasesDB | 4200 |
| MedlinePlus | 000123 |
| eMedicine | med/659 |
| MeSH | D016724 |
Клиническая картина

Симптомы эмпиемы плевры варьируют в зависимости от тяжести заболевания. В числе типичных симптомов кашель, лихорадка, боли в грудной клетке, потливость и одышка[1].
Для хронической эмпиемы характерно формирование симптома барабанных палочек. Отмечается укорочение перкуторного звука и ослабление везикулярного дыхания с поражённой стороны. Для диагностики используется подсчёт лейкограммы, рентгенография и компьютерная томография грудной клетки, ультразвуковое исследование[1].

Диагностика
Диагноз подтверждается плевроцентезом, обнаруживающим явно гнойное содержимое или мутную жидкость в плевральной полости. Обычно плевральная жидкость содержит лейкоциты, имеет низкий pH (<7,20), низкое содержание глюкозы (<60 мг/дл), повышенное содержание ЛДГ и белка, могут присутствовать микроорганизмы[1].
Лечение

Лечение эмпиемы плевры требует дренирования инфицированной жидкости и газа. Устанавливается плевральный дренаж, часто под ультразвуковым контролем. Назначается внутривенная антибактериальная терапия.
Плевральные дренажи при эмпиеме имеют тенденцию к закупорке сгустками гноя, в связи с чем обычно применяются дренажи большого диаметра. Недостаточное дренирование, особенно в случае осумкованной эмпиемы, может привести к повторному накоплению гноя и инфицированного материала, ухудшению клинической картины, органной недостаточности и даже летальному исходу. Таким образом, при эмпиеме плевры необходим тщательный контроль функционирования плеврального дренажа[1]. Для улучшения дренирования, в плевральную полость могут вводиться фибринолитики и ферменты, способствующие фрагментации фибрина и снижению вязкости гноя. Вместе с тем, следует учитывать риск осложнений от такой терапии — в редких случаях возможно развитие жизнеугрожающего плеврального кровотечения и аллергических реакций[2].
При низкой эффективности данных мер, может быть показана хирургическая санация плевральной полости. Обычно такое вмешательство осуществляется и использованием видеоторакоскопической техники, однако, при хроническом течении заболевания для полного удаления гнойных и фибринозно-гнойных наслоений может потребоваться ограниченная торакотомия[1]. Иногда может потребоваться полная торакотомия с декортикацией и плеврэктомией. В редких случаях также приходится резецировать участки лёгкого.
Ранее для лечения применялось хирургическое удаления большинства рёбер с поражённой стороны грудной клетки, что приводило к стойкому коллабированию лёгкого и облитерации инфицированной плевральной полости. Это сопровождалось удалением большой части грудной клетки и выглядело внешне, будто плечо отделяется от туловища (см. рисунок). Сегодня такая операция применяется крайне редко, однако была распространена в период Первой мировой войны[3].
Примечания
- Pothula V., Krellenstein D.J. Early aggressive surgical management of parapneumonic empyemas (англ.) // Chest : journal. — 1994. — March (vol. 105, no. 3). — P. 832—836. — PMID 8131548. (недоступная ссылка)
- Chai F.Y., Kuan Y.C. Massive hemothorax following administration of intrapleural streptokinase (англ.) // Annals of Thoracic Medicine : journal. — 2011. — Vol. 6, no. 3. — P. 149—151. PMC3131759
- Battlefield Surgery 101 Photo Gallery | n m h m Архивировано 11 июля 2011 года.
