Целиакия
Целиаки́я (от греч. κοιλιακός — «брюшной»), глютеновая энтеропатия — форма энтеропатии, генетически предрасположенная непереносимость глютена[3]. Это аутоиммунное заболевание с локализацией в тонком кишечнике[4]
| Целиакия | |
|---|---|
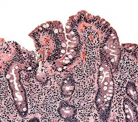
![]() Биопсия тонкого кишечника у больного с целиакией. Видна уплощенная форма ворсинок, лейкоцитарная инфильтрация и гиперплазия крипт. | |
| МКБ-11 | DA95 |
| МКБ-10 | K90.0 |
| МКБ-10-КМ | K90.0 |
| МКБ-9 | 579.0 |
| МКБ-9-КМ | 579.0[1][2] |
| OMIM | 212750 |
| DiseasesDB | 2922 |
| MedlinePlus | 000233 |
| eMedicine | med/308 |
| MeSH | D002446 |
У пациентов с целиакией повышен риск развития T-клеточной лимфомы со смертельным исходом[3] и остеопороза с риском переломов[5]. Единственный известный способ избежать развития онкологического процесса — строгое соблюдение безглютеновой диеты до конца жизни[3].
Синонимы: болезнь Ги-Гертера-Гейбнера, глютенэнтеропатия, кишечный инфантилизм.
История
В первом столетии нашей эры Аретей из Каппадокии и Целий Аврелиан описали хроническую диарею и стеаторею у детей и женщин и назвали болезнь morbus coeliacus, «кишечная болезнь»[6][уточнить]. Классические симптомы целиакии у детей: диарею, истощение, анемию и отставание в развитии опубликовал в 1888 году Сэмюэль Ги, врач Бартоломеевского госпиталя в Лондоне. В 1950 году голландский педиатр Виллем Дике впервые связал причину целиакии у детей с глютеном (растворимой в алкоголе фракцией белка, содержащейся в пшенице). В 1952 году G. McIver и J. French впервые успешно применили аглютеновую диету для лечения этого заболевания.
Общие сведения
Целиакия встречается довольно редко, с частотой 1:3000. Однако к 2000 году исследователи выяснили, что ген, ответственный за предрасположенность к целиакии, встречается довольно часто, а само заболевание диагностировано примерно у 0,5-1 % населения[7].
О распространённости целиакии в популяции нет точных данных, имеются только оценки. Дело в том, что, помимо целиакии, с непереносимостью глютена связаны два других клинических диагноза: аллергия на пшеницу (wheat allergy, WA), и не связанная с целиакией непереносимость глютена или нецелиакийная повышенная чувствительность к глютену (nonceliac gluten sensitivity, NCGS). По оценкам, доля людей со всеми тремя состояниями (суммарно) составляют от 0,2 до 6 % в разных регионах мира[8].
Целиакия распространена гораздо меньше, чем это принято считать, диагноз зачастую поставлен неверно: в «слепых» исследованиях выявлено крайне мало пациентов, действительно страдающих от глютена в пище[9]. В США как минимум у половины людей с диагнозом «целиакия» в действительности она отсутствует[10].
Некоторые люди самостоятельно ставят себе диагноз непереносимости глютена и считают, что они больны целиакией, при этом у них в действительности нет этого заболевания. Зачастую у таких пациентов глютен нормально переваривается пищеварительной системой, зато они страдают от синдрома раздражённого кишечника (англ. irritable bowel syndrome). Такая ложная самодиагностика связана с тем, что у целиакии и этого синдрома многие симптомы похожи[8].
Диагностировать целиакию по симптомам сложно, однако существуют надёжные диагностические методы — комплексное серологическое исследование на тканевые антитела к ферменту трансглутаминазе (tTG), к деамидированным пептидам глиадина (DGP)[8][5] и на эндомизиальные антитела[5], а в спорных случаях — биопсия эпителия двенадцатиперстной кишки[8][5].
Этиология
Генетика
Известные на 2010 год генетические факторы целиакии — гаплогруппы HLA-DQ2 и HLA-DQ8, возможны и другие генетические вариации[3].
Большинство людей с целиакией являются носителями одного из вариантов белка HLA-DQ[11]. Этот белок является частью рецептора главного комплекса гистосовместимости MHC II, которая участвует в иммунологическом распознавании клеток[12]. Две субъединицы белка HLA-DQ кодируются генами HLA-DQA1 и HLA-DQB1, локализованными на коротком плече шестой хромосомы человека[13].
В этой локализации присутствуют семь вариантов гена HLA-DQ (DQ2 и DQ4-DQ9). Более 95 % людей, больных целиакией, обладают вариантами DQ2 или DQ8. Причина, почему эти аллели увеличивают риск целиакии, состоит в том, что рецепторы, кодирующиеся этими генами, связываются с глиадиновыми белками более прочно в сравнении с другими формами антиген-презентирующих рецепторов. Кроме этого, эти формы рецепторов в большей степени активируют Т-лимфоциты и приводят к активации аутоиммунных реакций[14].
Большинство людей с целиакией несут два гена гаплотипа HLA-DQ2. Этот вариант называется гаплотипом DQ2.5. Этот гаплотип состоит из двух cходных аллелей (DQA1*0501 и DQB1*0201), которые, соответственно, кодируют две субъединицы (DQ α5 и DQ β2). У большинства людей это изоформа DQ2.5, которая кодируется двумя хромосомами 6. Большинство людей с целиакией обладают одной копией гаплотипа DQ2.5; если же этот гаплотип у человека присутствует в двух копиях, то эти люди особенно подвержены целиакии и восприимчивы к серьёзным осложнениям[15].
Некоторые люди наследуют DQ2.5 от одного из родителей и дополнительный вариант гаплотипа (либо DQB1*02, либо DQA1*05) от другого родителя: это увеличивает риск. В меньшей вероятности люди, наследующие вариант DQA1*05 от одного родителя и DQB1*02 от другого родителя; этот вариант (DQ2.5trans) называется транс-гаплотипной ассоциацией. Представители этой группы имеют сходный риск для целиакии, что и носители одиночной формы DQ2.5, но такой вариант не может быть семейным. Среди европейцев, больных целиакией, 6 % не имеет формы DQ2.5 (цис или транс) или DQ8 (кодируемые гаплотипом DQA1*03:DQB1*0302); из них 4 % имеют изоформу DQ2.2, и остальные 2 % не являются носителями ни гаплотипа DQ2, ни гаплотипа DQ8[16].
У этих генов различная географическая распространённость. DQ2.5 распространён среди населения северной и западной Европы (Автономия Басков и Ирландия[17] с наибольшей встречаемостью), части Африки и Индии[18], но не найден вокруг западной части тихоокеанского кольца. DQ8 более широко распространён, в сравнении с DQ2.5, и практически является основным в Южной и Центральной Африке. Более 90 % людей в некоторых группах америндов являются носителями DQ8[19].
Также существуют сообщения о других генетических факторах, влияющих на целиакию — однако вовлечёность в патогенез заболевания изменяется в различных географических районах. Только гаплотип HLA-DQ увеличивает риск заболевания в глобальной популяции.[20] Многие из этих локусов ассоциированы с другими аутоиммунными заболеваниями. Один локус (LPP; англ. lipoma-preferred partner gene) вовлечён в адгезию внеклеточного матрикса на клеточной поверхности, и менее распространённый вариант (однонуклеотидный полиморфизм, SNP = rs1464510) увеличивает риск заболевания порядка 30 %. Этот ген достоверно ассоциирован с целиакией (p < 10−39) в Европейской популяции и США.[20]
Не полностью ясна распространённость генотипов больных целиакией в современной популяции. Характеристики заболевания и их особенности имеют большую степень наследования; должно было ожидаться, что эти генотипы будут подвергаться негативной селекции в обществе, где длительно развивалось сельское хозяйство (в сравнении с этим — лактазная недостаточность подвергалась негативному отбору: её распространённость [~100 % в предковой популяции] уменьшилась до 5 % в некоторых европейских странах). Это предположение было впервые опубликовано Симунсом, в 1981 г.[21] Но сейчас эта гипотеза не подтверждается: напротив, очевидна положительная селекция целиакии. Полагается, что частичное проявление этого заболевания было предпочтительно — в силу обеспечения защиты против бактериальной инфекции[22][23].
Клиническая картина
Целиакия характеризуется нарушением кишечного всасывания, суб- или атрофией слизистой оболочки тонкой кишки, положительной реакцией на аглютеновую диету (исключение из пищи продуктов из злаков, содержащих глютен). Среди клинических вариантов следует выделять истинную целиакию и синдром целиакии, который может развиться при самых разнообразных заболеваниях кишечника (аномалии развития, инфекции, продолжительный приём антибиотиков и другие). Начало целиакии нередко совпадает со введением в пищевой рацион ребёнка прикормов, содержащих мучные изделия. Поэтому заболевают чаще дети в возрасте 6-12 месяцев; этот период особенно опасен в плане провокации целиакии.
Появляется учащённый, пенистый стул: обильный, с резким запахом, светлый или с сероватым оттенком, жирный; в кале, как правило, не обнаруживается патогенная кишечная микрофлора. Лечение диспепсии обычными средствами (антибиотики, ферментные препараты, редукция в питании и другие) эффекта не даёт. Ребёнок становится вялым, бледным, теряет массу тела, снижается аппетит. Постепенно развивается дистрофия, и дети приобретают типичный для целиакии вид: резкое истощение, потухший взгляд, яркие слизистые оболочки, огромных размеров живот. В ряде случаев развиваются отёки на нижних конечностях; нередки спонтанные переломы костей. Определяется псевдоасцит (скопление жидкости в атоничном кишечнике). Далее присоединяются симптомы поливитаминной недостаточности (сухость кожи, стоматит, дистрофия зубов, ногтей, волос и другие).
Как правило, при целиакии (особенно при длительном её течении) имеет место нарушенное всасывание дисахаров, жиров, витаминов, железа, кальция; нарушается транспорт цистина, обмен триптофана; то есть речь идёт об универсальной мальабсорбции (от лат. «malus» плохой, и «absorbtio» поглощение). В связи с этим понятен полиморфизм клинической картины. Дети страдают не только физически, но и психически (лабильность настроения, замкнутость, повышенная возбудимость, негативизм). Важным признаком заболевания, при длительном его течении, является низкорослость.
Течение целиакии волнообразное; нередко присоединяется вторичная инфекция; в ряде случаев летальный исход.
Распространённость
До 1970-х годов целиакия считалась редким заболеванием; встречающимся главным образом у европейцев. Распространенность её, по данным эпидемиологических исследований, варьировала: от 1:6000 до 1:1000 населения. Представления о распространённости целиакии изменились, когда в 1980-е годы для её диагностики стали применять серологические методы. Сначала они основывались на определении антиглиадиновых антител (АГА) в IgG, IgM и IgA. Этот метод использовали для выявления целиакии в группах с высоким риском болезни, в общей популяции населения. Они недорогие, имеют достаточно высокую чувствительность, но не могут считаться полностью специфичными для целиакии. Поэтому всем лицам с повышенным титром АГА проводят биопсию, результаты которой позволяют выявлять у некоторых из них целиакию. Вскоре появились более специфические и чувствительные способы, основанные на определении антител к ретикулину и эндомизию, тканям слизистой оболочки тонкой кишки. Например, тест с эндомизиальными антителами (ЭMA) IgA очень чувствителен (93-98 %) и специфичен (99-100 %). Однако он не нашёл широкого применения, из-за сложности получения материала, содержащего эндомизий (от приматов). Идентифицирована тканевая трансглютаминаза (ТТГ) — основной антиген эндомизия. Тест с ТТГ имеет чувствительность 95-98 % и специфичность 94-95 %, которые сравнимы со стандартным ЭMA-тестом. Для теста с ТТГ используется ТТГ-антиген (получаемый у морской свинки). Тесты с ЭМА и ТТГ считаются строго специфичными для целиакии, но окончательный диагноз болезни, учитывая необходимость пожизненного соблюдения аглютеновой диеты, должен быть обязательно подтверждён гистологическим исследованием слизистой оболочки тонкой кишки.
Массовые исследования АГА, АЭА или антител к ТТГ с последующим гистологическим изучением дуоденальных биоптатов у лиц с положительными серологическими тестами показали, что на самом деле целиакия должна быть отнесена к довольно распространённым заболеваниям тонкой кишки; частота её достигает 1:200-1:100. Типичная целиакия, с тяжёлыми нарушениями всасывания, действительно встречается редко. У преобладающего большинства диарея и симптомы мальабсорбции отсутствуют, но выявляется внекишечные манифестации: железодефицитная анемия, афтозный стоматит, дерматит Дюринга, остеопороз, маленький рост, задержка полового развития, бесплодие, инсулин-зависимый диабет и другие. Подобная скрытая и субклиническая формы встречаются, примерно, на порядок чаще типичной, классической целиакии.
С помощью серологических тестов установлено, что, особенно часто, скрытая или малосимптомная целиакия встречается у ближайших родственников больных глютеновой энтеропатией. У части из них выявляется так называемая «потенциальная» целиакия (предболезнь), при которой единственным признаком являлось повышенное количество Т-лимфоцитов в поверхностном эпителии тонкой кишки, с большой долей среди них и субпопуляций. Обследование больных инсулинзависимым диабетом позволило выявить у 6,4 % из них бессимптомную целиакию[24].
Диагностика
Состояние часто диагностируется с большим опозданием, несмотря на принципиальную несложность: совокупность данных анамнеза, характерного вида больного — и если на фоне безглютеновой диеты улучшается состояние больного, а отклонение от диеты приводит к появлению характерного для целиакии стула — предположительный диагноз может быть поставлен с определённой степенью надёжности. Для уточнения диагноза — требуются:
- Копрологическое исследование, показывающее наличие в кале большого количества жирных кислот и мыла;
- Биохимическое исследование крови, показывающее гипопротеинемию, гипоальбуминемию, снижение концентрации холестерина и липидов, гипокальциемию, гипофосфатемию, гипосидеринемию;
- Рентгенологическое исследование, показывающее остеопороз, горизонтальные уровни в петлях кишок, дискинезию кишечника;
- Окончательный диагноз устанавливается при металогическом анализе биоптатов слизистой оболочки тонкой кишки.
Дифференциальный диагноз проводят с кишечной формой муковисцидоза, дисахаридазной недостаточностью, аномалиями желудочно-кишечного тракта.
Чаще всего — ложно-положительный диагноз встречается при таких заболеваниях, как диарея, синдром раздражённого кишечника.
Объективные исследования

Золотой стандарт в диагностике целиакии — эндоскопия с биопсией и серодиагностика: антиглиадиновые антитела, IgA-антитела к эндомизию, антиретикулиновые антитела[25]. В настоящее время антиглиадиновые антитела, ввиду низкой чувствительности и специфичности, использовать для диагностики целиакии не рекомендуется.
Лечение
Лечение целиакии комплексное. Основа лечения — пожизненное соблюдение аглютеновой диеты (исключаются содержащие глютен: хлеб, сухари, печенье, кондитерские мучные и макаронные изделия, продукты из ячменя, овса, пшеницы, ржи). Больные целиакией могут безопасно употреблять в пищу: рис, бобовые, гречку, кукурузу, мясо, рыбу, птицу, овощи, фрукты, яйца и молочные продукты. Следует избегать продуктов, содержащих в составе скрытый глютен: например, некоторые колбасные изделия, йогурты, майонезы, крабовые палочки.[26]
При соблюдении аглютеновой диеты масса тела больных начинает восстанавливаться через 3 недели. Гистологические изменения в кишечнике начинают исчезать спустя 2—2,5 года. Одновременно с назначением аглютеновой диеты проводят симптоматическую терапию: витамины, препараты кальция, железа, ферментные препараты, пробиотики, массаж, гимнастика и другие. Дети, страдающие целиакией, должны находиться на диспансерном наблюдении. Прогноз при соблюдении диеты и правильном лечении благоприятный.
Следует учитывать, что крахмал, содержащий следы глютена, может быть компонентом многих пищевых продуктов и лекарственных средств. Поэтому при жёсткой диете необходим контроль и за отсутствием крахмала в составе оболочек таблеток, принимаемых для терапии тех или иных проблем.
Глютен может содержаться в крупах или бобовых, которые проходят различную обработку на предприятиях (шлифовка, удаление оболочек семян и так далее). Например, некоторые производители обычного сухого гороха указывают на упаковке о возможном содержании глютена в их продукте. Предположительно, в таких случаях попадание глютена в безопасные продукты происходит из-за использования одного и того же оборудования для обработки семян различных растений.
В 2018 г. проходил апробацию препарат для лечения целиакии, разработанный институтом молекулярной медицины Сеченовского университета. Выпустить лекарство на рынок предполагалось в 2020 году[27]. В середине 2019 г. прогноз изменился: на 2020 год анонсировалось только начало клинических испытаний, а выход лекарства на рынок возможен через 3−4 года после испытаний[28].

Общества
В последние десятилетия больные метаболическими заболеваниями объединяются в общества, цель которых — помочь друг другу путём обмена информацией, оказания материальной поддержки, лоббирования интересов данной категории больных в обществе.
- Первой общественной организацией в России, которая начала заниматься популяризацией информации о целиакии и поддержкой людей с этим заболеванием, стало Санкт-Петербургское общество больных целиакией «Эмилия» (создано в 1997 г.): http://lib.komarovskiy.net/celiakiya-ne-xlebom-edinym-zhiv-chelovek.html
- Первые газеты «Жизнь без глютена» (1998—2006 гг.): http://www.celiac.spb.ru/nasha-deyatelnost/periodicheskie-izdaniya/zhizn-bez-glyutena
- Первый сайт на русском языке, обо всех аспектах целиакии и социальных проблемах больных целиакией работает с 2001 года: www.celiac.spb.ru
- В 2006 году издаётся первый журнал «Жизнь без глютена»: http://www.celiac.spb.ru/nasha-deyatelnost/periodicheskie-izdaniya/zhurnal-zhizn-bez-glyutena
Санкт-Петербургское общество «Эмилия»
- В 1998 году с целью информирования медицинского сообщества Санкт-Петербурга и России общество «Эмилия» организует и проводит первую международную научно-практическую конференцию, посвященную целиакии;
- Летом 1998 года общество «Эмилия» организует, впервые, отдых для семей с детьми на безглютеновой диете, создав первое 10-дневное безглютеновое меню для загородного оздоровительного учреждения: http://www.celiac.spb.ru/nasha-deyatelnost/periodicheskie-izdaniya/detskaya-gazeta-glyuff/100-glyuf-1
- По инициативе общества в Санкт-Петербурге, в конце 90-х годов:
- Открываются группы с безглютеновым меню в детских садах (сегодня они есть почти во всех районах города);
- Вводится компенсация на бесплатное питание школьников, с диагнозом «целиакия»;
- С 2001 года Санкт-Петербургское общество больных целиакией «Эмилия» является членом Европейской ассоциации обществ больных целиакией AOECS: http://www.aoecs.org/members
- В 2012 году по инициативе общества в «Социальном кодексе» Санкт-Петербурга появляется статья о социальной поддержке детей без инвалидности, но с диагнозом «целиакия» (ежегодное единовременное пособие);
- С 2013 года в «Социальный кодекс» вносится дополнение о выплате ежемесячных пособий детям без инвалидности, но больным целиакией: http://assembly.cdnvideo.ru/images/content/законопроекты/7604.pdf
- С 2016 года Санкт-Петербургское общество «Эмилия» единственный правообладатель международного знака «Перечеркнутый колос» в России, запущен одноименный проект http://перечеркнутыйколос.рф
- С 2017 года, согласно «Социальному кодексу» Санкт-Петербурга дети без инвалидности, но с диагнозом «целиакия» имеют право на бесплатный оздоровительный отдых, в каникулярное время, в детских оздоровительных лагерях Ленинградской области: http://assembly.cdnvideo.ru/images/content/законопроекты/7604.pdf
Съезды и конференции
- 20 мая 2006 года в Санкт-Петербурге впервые проводился Международный день целиакии, который стал для города традиционным: http://www.celiac.spb.ru/celiacday/2006.html
См. также
- Наследственные заболевания
- Список наследственных заболеваний
- (англ.) Enteropathy-associated T-cell lymphoma
Литература
- Tack, G. J. The spectrum of celiac disease : epidemiology, clinical aspects and treatment : [англ.] / G. J. Tack, W. H. M. Verbeek, M. W. J. Schreurs … [et al.] // Natures reviews. Gastroenterology and hepatology : журн. — 2010. — Vol. 7, no. 4. — P. 204–213. — doi:10.1038/nrgastro.2010.23. — PMID 20212505.
- Ревнова М. О., Романовская И. Э. Целиакия: болезнь или образ жизни? — СПб.: Ольга, 2003. — 156 с.
- Лазебник Л. Б., Ткаченко Е. И., Орешко Л. С., Ситкин С. И., Карпов А. А., Немцов В. И., Осипенко М. Ф., Радченко В. Г., Федоров Е. Д., Медведева О. И., Селиверстов П. В., Соловьева Е. А., Шабанова А. А., Журавлева М. С. Рекомендации по диагностике и лечению целиакии взрослых // Экспериментальная и клиническая гастроэнтерология. — 2015. — № 5 (117). — С. 3—12.
- Всероссийский консенсус по диагностике и лечению целиакии у детей и взрослых (Принят на 42-й научной сессии Центрального научно-исследовательского института гастроэнтерологии; Москва, 2-3 марта 2016 г.) / Парфенов А. И., Маев И. В., Баранов А. А., Бакулин И. Г., Сабельникова Е. А., Крумс Л. М., Бельмер С. В., Боровик Т. Э., Захарова И. Н., Дмитриева Ю. А., Рославцева Е. А., Корниенко Е. А., Хавкин А. И., Потапов А. С., Ревнова М. О., Мухина Ю. Г., Щербаков П. Л., Федоров Е. Д., Белоусова Е. А., Халиф И. Л., Хомерики С. Г., Ротин Д. Л., Воробьева Н. Г., Пивник А. В., Гудкова Р. Б., Быкова С. В., Чернин В. В., Вохмянина Н. В., Пухликова Т. В., Дегтярев Д. А., Дамулин И. В., Мкртумян А. М., Джулай Г. С., Тетруашвили Н. К., Барановский А. Ю., Назаренко Л. И., Харитонов А. Г., Лоранская И. Д., Яковенко Э. П., Сайфутдинов Р. Г., Ливзан М. А., Абрамов Д. А., Осипенко М. Ф., Орешко Л. С., Ткаченко Е. И., Ситкин С. И., Ефремов Л. И. // Альманах клинической медицины. — 2016. — Том 44, № 6. — С. 661—688. — doi:10.18786/2072-0505-2016-44-6-661-688.
Ссылки
- Обновленные рекомендации по целиакии. Блог врача Олега Конобейцева. О гастроэнтерологии и обо всем понемногу… (04.09.2019-09-04). Дата обращения: 1 сентября 2019.
- Комплекс анализов для выявления возможной целиакии и чувствительности к глютену (англ.).
Примечания
- база данных Disease ontology (англ.) — 2016.
- Monarch Disease Ontology release 2018-06-29sonu — 2018-06-29 — 2018.
- Tack et al., 2010.
- Сабельникова, Е. А. Глютенчувствительная целиакия (обзор литературы) // Экспериментальная и клиническая гастроэнтерология : журн. — 2008. — № 4. — С. 39–49.
- Krigel, A. Nonceliac Gluten Sensitivity : [англ.] / A. Krigel, B. Lebwohl // Advances in Nutrition : журн. — 2016. — Vol. 7, no. 6. — P. 1105–1110. — doi:10.3945/an.116.012849. — PMID 28140327. — PMC 5105039.
- Aretaeus (of Cappadocia). The Extant works of Aretaeus, the Cappadocian : [англ.] / Edited and translated by Francis Adams, LL. D.. — London : Sydenham Society, 1856. — 548 с.
- Catassi, C. Antiendomysium versus antigliadin antibodies in screening the general population for coeliac disease : [англ.] / C. Catassi, G. Fanciulli, A. R. D’Appello … [et al.] // Scandinavian Journal of Gastroenterology. — 2000. — Vol. 35, no. 7. — P. 732—736. — doi:10.1080/003655200750023408. — PMID 10972177.
- El-Salhy, M. The relation between celiac disease, nonceliac gluten sensitivity and irritable bowel syndrome : [англ.] / M. El-Salhy, J. G. Hatlebakk, O. H. Gilja … [et al.] // Nutrition Journal. — 2015. — Vol. 14. — doi:10.1186/s12937-015-0080-6. — PMID 26345589. — PMC 4561431.
- Lionetti, E. Re-challenge studies in non-celiac gluten sensitivity : A systematic review and meta-analysis : [англ.] / E. Lionetti, A. Pulvirenti, M. Vallorani … [et al.] // Frontiers in Physiology : журн. — 2017. — Vol. 8. — P. 621. — doi:10.3389/fphys.2017.00621. — PMID 28928668. — PMC 5591881.
- DiGiacomo, D. V. Prevalence of gluten-free diet adherence among individuals without celiac disease in the USA : results from the Continuous National Health and Nutrition Examination Survey 2009-2010 : [англ.] / D. V. DiGiacomo, C. A. Tennyson, P. H. Green … [et al.] // Scandinavian journal of gastroenterology. — 2013. — Vol. 48, no. 8. — P. 921–925. — doi:10.3109/00365521.2013.809598. — PMID 23834276.
- Muhammed Hadithi, B. Mary E. von Blomberg, J. Bart A. Crusius, Elisabeth Bloemena, Pieter J. Kostense. Accuracy of serologic tests and HLA-DQ typing for diagnosing celiac disease (англ.) // Annals of Internal Medicine. — 2007-09-04. — Vol. 147, iss. 5. — P. 294–302. — ISSN 1539-3704.
- Janeway CA Jr, Travers P, Walport M, et al. Immunobiology: The Immune System in Health and Disease. — 5th edition. — New York: Garland Science, 2001.
- HLA-DQA1 major histocompatibility complex, class II, DQ alpha 1. Genetics Home Reference (May 25, 2016).
- D. A. van Heel, J. West. Recent advances in coeliac disease (англ.) // Gut. — 2006-07-01. — Vol. 55, iss. 7. — P. 1037–1046. — ISSN 0017-5749. — doi:10.1136/gut.2005.075119.
- Rita-Désirée Jores, Fulvia Frau, Francesco Cucca, Maria Grazia Clemente, Sandra Orrù. HLA-DQB1*0201 homozygosis predisposes to severe intestinal damage in celiac disease (англ.) // Scandinavian Journal of Gastroenterology. — 2007-01-01. — Vol. 42, iss. 1. — P. 48–53. — ISSN 0036-5521. — doi:10.1080/00365520600789859.
- Kati Karell, Andrew S. Louka, Simon J. Moodie, Henry Ascher, Fabienne Clot. HLA types in celiac disease patients not carrying the DQA1*05-DQB1*02 (DQ2) heterodimer: results from the European Genetics Cluster on Celiac Disease (англ.) // Human Immunology. — 2003-04-01. — Vol. 64, iss. 4. — P. 469–477. — ISSN 0198-8859.
- J. P. Michalski, C. C. McCombs, T. Arai, R. C. Elston, T. Cao. HLA-DR, DQ genotypes of celiac disease patients and healthy subjects from the West of Ireland (англ.) // Tissue Antigens. — 1996-02-01. — Vol. 47, iss. 2. — P. 127–133. — ISSN 1399-0039. — doi:10.1111/j.1399-0039.1996.tb02525.x.
- Gurvinder Kaur, N. Sarkar, S. Bhatnagar, S. Kumar, C. C. Rapthap. Pediatric celiac disease in India is associated with multiple DR3-DQ2 haplotypes (англ.) // Human Immunology. — 2002-08-01. — Vol. 63, iss. 8. — P. 677–682. — ISSN 0198-8859.
- Z. Layrisse, Y. Guedez, E. Domínguez, N. Paz, S. Montagnani. Extended HLA haplotypes in a Carib Amerindian population: the Yucpa of the Perija Range (англ.) // Human Immunology. — 2001-09-01. — Vol. 62, iss. 9. — P. 992–1000. — ISSN 0198-8859.
- Patrick C. A. Dubois, Gosia Trynka, Lude Franke, Karen A. Hunt, Jihane Romanos. Multiple common variants for celiac disease influencing immune gene expression (англ.) // Nature Genetics. — 2010-04-01. — Vol. 42, iss. 4. — P. 295–302. — ISSN 1546-1718. — doi:10.1038/ng.543.
- Walcher, Dwain N.; Kretchmer, Norman. Food, nutrition, and evolution: food as an environmental factor in the genesis of human variability.. — Papers presented at the International Congress of the International Organization for the Study of Human Development. — USA: Masson Pub, 1981. — P. 179–199. — ISBN 0-89352-158-2.
- Carlo Catassi. Where Is Celiac Disease Coming From and Why? (англ.) // Journal of Pediatric Gastroenterology and Nutrition. — Vol. 40, iss. 3. — P. 279–282. — doi:10.1097/01.mpg.0000151650.03929.d5.
- Alexandra Zhernakova, Clara C. Elbers, Bart Ferwerda, Jihane Romanos, Gosia Trynka. Evolutionary and functional analysis of celiac risk loci reveals SH2B3 as a protective factor against bacterial infection (англ.) // American Journal of Human Genetics. — 2010-06-11. — Vol. 86, iss. 6. — P. 970–977. — ISSN 1537-6605. — doi:10.1016/j.ajhg.2010.05.004.
- Современная концепция целиакии (недоступная ссылка). Дата обращения: 17 апреля 2011. Архивировано 26 ноября 2011 года.
- van der Windt, Daniëlle A. W. M. et al. Diagnostic Testing for Celiac Disease Among Patients With Abdominal Symptoms (англ.) // Journal of the American Medical Association. — American Medical Association, 2010. — Vol. 6, iss. 306, no. 639. — doi:10.1001/jama.2010.1109.
- [Guidelines for diagnosis and treatment of celiac disease] (PDF Download Available)
- Лекарство от непереносимости глютена может выйти на рынок в 2020 году. ТАСС (21 декабря 2018). Дата обращения: 25 декабря 2018.
- Клинические испытания российского препарата от непереносимости глютена начнут в 2020 году. ТАСС (20 мая 2019). Дата обращения: 4 сентября 2019.
