Аутоиммунный гепатит
Аутоиммунный гепатит (лат. Autoimmune hepatitis) — хроническое воспалительное заболевание печени, характеризующееся наличием типичных аутоантител, повышением уровня гамма-глобулинов и хорошим ответом на иммуносупрессивную терапию. Несмотря на успехи в изучении заболевания за последние 50 лет, аутоиммунный гепатит (АИГ) считается одной из самых сложных проблем в гепатологии. Этиология АИГ по-прежнему остается неизвестной, а течение заболеванием является хроническим, волнообразным, с высоким риском развития цирроза печени.
| Аутоиммунный гепатит | |
|---|---|
| |
| МКБ-11 | DB96.0 |
| МКБ-10-КМ | K75.4 |
| МКБ-9-КМ | 571.42[1][2] |
| DiseasesDB | 1150 |
| MedlinePlus | 000245 |
| MeSH | D019693 |
История
Аутоиммунный гепатит впервые был описан в 1951 году в качестве хронического гепатита у молодых женщин, сопровождающегося гипергаммаглобулинемией, который улучшается на фоне адренокортикотропной терапии[3]. В 1956 году выявлена связь между АИГ и наличием антинуклеарных антител (АНА) в крови, в связи с чем заболевание получило название «Волчаночного гепатита». В период между 1960 и 1980 гг. в ряде клинических исследованиях была доказана эффективность монотерапии АИГ стероидными препаратами, а также в комбинации с цитостатиком — азатиоприном. АИГ стал первым заболеванием печени, медикаментозная терапия которого доказано увеличивала продолжительность жизни больных.
Эпидемиология
Аутоиммунный гепатит — сравнительно редкое заболевание. Распространенность в Европе составляет 16-18 случаев на 100 000 человек. Среди больных АИГ существенно преобладают женщины (80 %) (по последним данным (2015 год) соотношение женщин к мужчинам составляет 3:1). Существует два пика заболеваемости: в 20-30 лет и в 50-70 лет. Однако по последним данным отмечается повсеместный рост заболеваемости АИГ среди всех возрастных групп и у мужчин, и у женщин[4], и составляет 15-25 случаев на 100000 человек.
Этиология
Существует 2 типа аутоиммунного гепатита. Для АИГ 1 типа характерен положителен титр антинуклераных антител (АНА) и/или антител к гладкой мускулатуре (ASMA). АИГ 2 типа характеризуется положительным титром микросомальных антител против клеток печени и почек (LKM-1) и/или anti-LC1. Хотя этиология АИГ остается по-прежнему неизвестной, наиболее вероятной гипотезой является влияние факторов окружающей среды на иммунную систему у генетически предрасположенных лиц.
Клиническая картина
Дебют аутоиммунного гепатита может наблюдаться в любом возрасте и среди лиц всех национальностей. Обычно протекает с клиникой хронического гепатита, но в 25 % случаев может стартовать как острый, в том числе фульминантный гепатит. Поэтому диагностика всех случаев фульминатного гепатита с острой печеночной недостаточностью должна включать исключение АИГ. В большинстве случаях преобладают неспецифические симптомы, такие как слабость, повышенная утомляемость и боли в суставах. Желтуха, выраженная венозная сеть на передней брюшной стенке, кровотечения из верхних отделах желудочно-кишечного тракта свидетельствуют о прогрессировании заболевания с исходом в цирроз печени. Часто у больных АИГ имеют место другие заболевания, в особенности иммунно-опосредованные, такие как аутоиммунный тиреоидит, ревматоидный артрит, болезнь Шегрена, витилиго, гломерулонефрит, воспалительные заболевания кишечника (язвенный колит и болезнь Крона) и другие.
Диагностика и дифференциальная диагностика
Основана на определении специфических аутоантител и исключении других причин гепатита. Характерно:
- Преобладание содержания АЛТ над АСТ в крови (индекс де Ритиса <1);
- Исключение вирусных гепатитов (гепатит А, В, С, Е);
- Исключение токсического гепатита (тщательный сбор анамнеза: исключение употребления алкоголя в пересчете на чистый этиловый спирт >25 гр/сут; прием потенциально гепатотоксичных медикаментов);
- Исключение гемохроматоза (определение уровня ферритина и сывороточного железа в крови);
- Исключение альфа-1-антитрипсиновой недостаточности (определение концентрации альфа-1-антитрипсина в крови);
- Исключение болезни Вильсона (нормальный уровень церулоплазмина в крови и содержания меди в суточной моче);
- Повышенное содержание IgG в крови >1,5 раза;
- Обнаружение положительного титра специфических аутоантител (ASMA; LKM-1; anti-LC1);
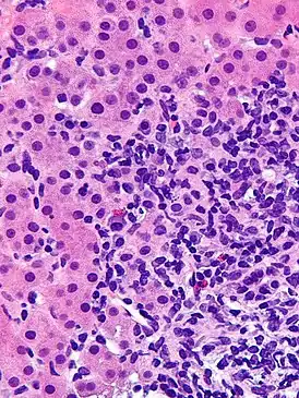
«Золотой стандарт» — проведение биопсии печени с уточнением микроморфологического диагноза. Морфологическая картина соответствует тяжёлому хроническому гепатиту. Активность процесса выражена неравномерно, и некоторые участки могут быть практически нормальными. Визуализируются клеточные инфильтраты, преимущественно из лимфоцитов и плазматических клеток, которые проникают между печёночными клетками. Усиленное формирование перегородок изолирует группы печёночных клеток в виде «розеток». Жировая дистрофия отсутствует. Цирроз развивается быстро. Очевидно, хронический гепатит и цирроз развиваются почти одновременно.
С целью диагностики аутоиммунного гепатита разработана специальная балльная шкала The Revised International Autoimmune Hepatitis Group Modified Scoring System[5]
Лечение
Цель терапии — предотвращение дальнейшего прогрессирования заболевания, заключается в нормализации уровня АЛТ/АСТ и IgG в анализах крови.
- Во всех случаях диагностики АИГ показано проведение длительной иммуносупрессивной терапии;
- В качестве иммуносупрессивной терапии назначаются глюкокортикостероиды (монотерапия или в комбинации с цитостатиками (азатиоприном));
- Отмена терапии возможна не ранее чем через 5 лет устойчивой медикаментозной ремиссии и при условии проведения контрольной биопсии печени (исключение гистологической активности гепатита);
- В случае развития повторных обострений заболевания и/или гормонорезистентного варианта течения возможно применения альтернативных схем терапии (циклоспорина А, микофенолата мофетила; инфликсимаба; ритуксимаба);
Особенности течения в детском возрасте
Дебют аутоиммунного гепатита в детском возрасте характеризуется более агрессивным течением и ранним развитием цирроза печени. По данным литературы, на момент постановки диагноза 43,7 % детей с АИГ 1 типа и 70 % детей с АИГ 2 типа уже имели картину сформированного цирроза печени.
Примечания
- база данных Disease ontology (англ.) — 2016.
- Monarch Disease Ontology release 2018-06-29sonu — 2018-06-29 — 2018.
- Waldenstrom J. Liver, blood proteins and food proteins. Dtsch Z Verdau Stoffwechselkr 1952;12:113-121.
- EASL Clinical Practice Guidelines - EASL-The Home of Hepatology
- Alvarez F, Berg PA, Bianchi FB, Bianchi L, Burroughs AK, Cancado EL, et al. International Autoimmune Hepatitis Group Report: review of criteria for diagnosis of autoimmune hepatitis. J Hepatol 1999;31:929-938.
