Проникающее ранение
Проникающее ранение — это травма, которая возникает, когда какой-либо объект прокалывает кожу и проникает в ткани тела, создавая открытую рану. При закрытой или непроникающей травме может быть воздействие, но при этом кожа не обязательно повреждена. Проникающий объект может оставаться в тканях, возвращаться тем же путем, которым он вошёл, или проходить через ткани и выходить из другой области[1]. Травма, при которой объект попадает в тело или структуру и проходит навылет, называется сквозной травмой, а проникающее ранение подразумевает, что объект не проходит навылет.[2] Перфорационная травма связана с входной раной и зачастую с выходной раной большего размера.
| Проникающее ранение | |
|---|---|
Свежее проникающее ранение колена причинённое выстрелом из ружья с близкого расстояния (Взрывное ранение). Дробинки из ружейного патрона видны в ране, внутри раздробленного надколенника. Комок пороха из гильзы был извлечен из раны и виден в правом верхнем углу изображения. | |
| Специализация | Травматологическая хирургия, общая хирургия, экстренная медицинская помощь |
Проникающее ранение может быть вызвано посторонним предметом или фрагментами какой-либо сломанной кости. Обычно случается при насильственных преступлениях или вооруженных столкновениях,[3] проникающие ранения обычно вызваны выстрелами и ударами холодного оружия или колюще-режущими предметами[4].
Проникающее ранение может быть серьёзным, потому что оно может повредить внутренние органы и представляет риск шока и инфекции. Тяжесть ранения широко варьируется в зависимости от затронутых частей тела, характеристик проникающего объекта и количества энергии, передаваемой тканям[4]. Для оценки степени и характера повреждений, причинённых проникающим ранением, может использоваться рентген или компьютерная томография, а лечение может включать хирургическое вмешательство, например, для исправления повреждённых структур или для удаления посторонних предметов. После проникающей травмы ограничение движения позвоночника связано с ухудшением состояния, и поэтому его не следует делать часто[5].
Механизм

Когда снаряд проходит сквозь ткань, он замедляется, рассеивая и передавая кинетическую энергию тканям; это то, что вызывает травму[1]. Скорость снаряда является более важным фактором, чем его масса, при определении характера причинённого урона; кинетическая энергия пропорциональна квадрату скорости. В дополнение к травме, вызванной непосредственно объектом, попадающим в тело, проникающие ранения могут быть связаны с вторичными травмами, например, из-за взрывной травмы .[2]
Путь снаряда можно оценить, представив линию от входной до выходной раны, но фактическая траектория может варьироваться из-за рикошета или различий в плотности тканей[4]. При порезе изменение цвета и отёк кожи от травмы происходят из-за разрыва кровеносных сосудов, утечки крови и жидкости и других повреждений, которые нарушают кровообращение[6].
Постоянная кавитация
Низкоскоростные предметы, такие как мечи и ножи, обычно приводятся в движение руками людей и обычно наносят урон только той области, с которой непосредственно контактирует объект[7]. Пространство, оставленное тканью, которое разрушается проникающим объектом при прохождении через неё, образует полость; это называется постоянной кавитацией[8].
Временная кавитация
Высокоскоростными объектами обычно являются снаряды, такие как пули из мощных винтовок, таких как штурмовые винтовки[7] или снайперские винтовки. Пули, классифицируемые как снаряды средней скорости, включают пули из пистолетов, дробовиков и автоматов. В дополнение к повреждению тканей, с которыми они контактируют, средне- и высокоскоростные снаряды вызывают вторичную кавитационную травму: когда объект попадает в тело, он создает волну давления, которая выталкивает ткани с пути, создавая полость, которая может быть больше, чем сам объект; это называется временной кавитацией[8]. Временная полость представляет собой радиальное растяжение ткани вокруг пути прохождения пули, которое на мгновение оставляет пустое пространство, вызванное высоким давлением, окружающим снаряд, который смещает материал вне своего пути[9].
Характеристики поврежденной ткани также помогают определить тяжесть травмы; например, чем плотнее ткань, тем больше энергии передаётся ей[8]. Кожа, мышцы и кишечник поглощают энергию и поэтому устойчивы к развитию временной кавитации, в то время как такие органы, как печень, селезёнка, почки и мозг, которые имеют относительно низкую прочность на растяжение, могут расщепляться или разрушаться из-за временной кавитации[10]. Гибкие эластичные мягкие ткани, такие как мышцы, кишечник, кожа и кровеносные сосуды, являются хорошими поглотителями энергии и устойчивы к растяжению тканей. Если передаётся достаточно энергии, то печень может распасться[9]. Временная кавитация может быть особенно разрушительной, когда она затрагивает деликатные ткани, такие как мозг, что происходит при проникающем ранении головы.
Место расположения
Голова
Хотя проникающее ранение головы составляет лишь небольшой процент от всех черепно-мозговых травм (ЧМТ), она связана с высоким уровнем смертности, и только треть людей с проникающей травмой головы доживают до попадания в больницу. Травмы от огнестрельного оружия являются основной причиной смертности, связанной с ЧМТ. Проникающая травма головы может вызвать ушиб головного мозга и рваные раны, внутричерепные гематомы, псевдоаневризмы и артериовенозные фистулы. Прогноз для проникающих травм головы варьируется в широких пределах[11].
Проникающее ранение лица может представлять опасность для дыхательных путей и дыхания; обструкция дыхательных путей может произойти после ранения из-за отёка или кровотечения[12]. Проникающее ранение глаза может привести к разрыву глазного яблока или вытеканию из него стекловидного тела, что представляет серьёзную угрозу для зрения[13].
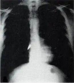
Грудь
Рентгеновский снимок, показывающий пулю (белое пятно) в сердце
Торакоабдоминальная рана, требующая последующего дренирования большого внутрипечёночного абсцесса
Большинство проникающих травм являются ранениями в грудную клетку и имеют уровень смертности менее 10 %[14]. Проникающее ранение грудной клетки может повредить жизненно важные органы, такие как сердце и лёгкие, и может помешать дыханию и кровообращению. Травмы лёгких, которые могут быть вызваны проникающим ранением, включают разрыв лёгочной артерии (порез или разрыв), ушиб легкого, гемоторакс (скопление крови в грудной полости за пределами легкого), пневмоторакс (скопление воздуха в грудной клетке) и гемопневмоторакс (скопление как крови так и воздуха в грудной клетке). Могут возникнуть сосательные раны на груди и натяжение пневмоторакса .
Проникающее ранение может также вызвать травмы сердца и системы кровообращения. Когда сердце пробито, оно может обильно кровоточить в грудную полость, если мембрана вокруг него (перикард) значительно разорвана, или может вызвать тампонаду перикарда, если перикард не разрушен[15]. В перикардиальной тампонаде кровь выходит из сердца, но задерживается внутри перикарда, поэтому между перикардом и сердцем нарастает давление, сжимая сердце и мешая его работе. Переломы рёбер обычно вызывают проникающее ранение грудной клетки когда острая кость прокалывает ткани.
Брюшная полость
Проникающее ранение живота обычно возникает в результате уколов, баллистических травм (стрельбы) или несчастных случаев на производстве[16]. ПРЖ может быть опасным для жизни, потому что органы брюшной полости, особенно те, что находятся в забрюшинном пространстве, могут обильно кровоточить, и в этом пространстве может содержаться большой объём крови[2]. Если поджелудочная железа повреждена, то она может быть дополнительно повреждена своими собственными выделениями в процессе, называемом самопереваривание. Повреждения печени, распространённые из-за размера и расположения органа, представляют серьёзный риск для шока, потому что ткань печени очень нежна и имеет большое кровоснабжение и объём. Кишечник, занимающий большую часть нижней части живота, также подвержен риску перфорации.
Люди с проникающим ранением живота могут иметь признаки гиповолемического шока (недостаточное количество крови в кровеносной системе) и перитонита (воспаление брюшины, мембраны, которая выстилает брюшную полость)[2]. Проникновение может отменить или уменьшить звуки кишечника из-за кровотечения, инфекции и раздражения, а травмы артерий могут стать причиной слышимости ушибов (отличительный звук, похожий на шум в сердце). Перкуссия живота может выявить гиперрезонанс (что указывает на наличие воздуха в брюшной полости) или вялость (что свидетельствует о скоплении крови). Живот может быть растянутым или мягким, что является признаком, указывающим на срочную необходимость операции.
Стандартным лечением проникающего ранения живота на протяжении многих лет была обязательная лапаротомия. Лучшее понимание механизмов травм, результатов хирургического вмешательства, улучшения визуализации и интервенционной радиологии привело к принятию более консервативных оперативных стратегий[16].
Диагностика и лечение
Диагностирование может быть затруднено, потому что большая часть повреждений часто является внутренней и не видна[4]. Пациент должен быть тщательно осмотрен[2]. Рентгеновское и КТ-сканирование может использоваться для определения типа и места потенциально смертельных травм. Иногда перед проведением рентгеновских снимков человека с проникающим ранением от какого-либо снаряда, на входную и выходную раны наклеивают кусок бумаги, чтобы показать их местоположение на снимке. Пациенту дают внутривенные жидкости, чтобы заменить потерянную кровь. Хирургическое вмешательство может потребоваться; пронзенные предметы закрепляют на месте, чтобы они не двигались и не причиняли дальнейших травм, и их затем удаляют в операционной. Инородные тела, такие как пули, могут быть удалены, но их также можно оставить на месте, если операция, необходимая для их извлечения, причинит больше вреда, чем если оставить их на месте[12]. Раны очищают, чтобы удалить ткани, которые не восстановятся, и другие материалы, представляющие риск для инфекции.
Лечение ран отрицательным давлением не более эффективно предотвращает раневую инфекцию, чем стандартное лечение при открытых травматических ранах[17].
История

До XVII века врачи выливали горячее масло в раны, чтобы прижечь повреждённые кровеносные сосуды, но французский хирург Амбруаз Паре оспорил использование этого метода в 1545 году[18]/ Паре был первым, кто предложил контролировать кровотечение с помощью лигатуры.
Во время Гражданской войны в США хлороформ использовался во время операции, чтобы уменьшить боль и дать больше времени для операций[2]. Частично из-за отсутствия стерильной техники в больницах инфекция была основной причиной смерти раненых солдат.
Во время Первой мировой войны врачи начали заменять потерянные жидкости пациентов солевыми растворами[2]. Во время Второй мировой войны пришла идея о создании банков крови, имеющих достаточное количество донорской крови для замены потерянной жидкости. Использование антибиотиков также вошло в практику во время Второй мировой войны.
Примечания
- Stewart M. G. Principles of ballistics and penetrating trauma // Head, Face, and Neck Trauma: Comprehensive Management (англ.) / Stewart M. G.. — Thieme, 2005. — P. 188—194. — ISBN 3-13-140331-4.
- Blank-Reid C. A historical review of penetrating abdominal trauma (англ.) // Crit Care Nurs Clin North Am : journal. — 2006. — September (vol. 18, no. 3). — P. 387—401. — doi:10.1016/j.ccell.2006.05.007. — PMID 16962459.
- Frontal sinus trauma // Head, Face, and Neck Trauma: Comprehensive Management (англ.) / Stewart M. G.. — Thieme, 2005. — P. 26. — ISBN 3-13-140331-4.
- Pollak A. N., Gupton C. L. Emergency Care and Transportation of the Sick and Injured (англ.). — Boston: Jones and Bartlett, 2002. — P. 562. — ISBN 0-7637-2046-1.. — «Penetrating trauma.».
- Velopulos, C. G. Prehospital Spine Immobilization/Spinal Motion Restriction in Penetrating Trauma: a Practice Management Guideline from the Eastern Association for the Surgery of Trauma (EAST) (англ.) // The Journal of Trauma and Acute Care Surgery : journal. — 2017. — 28 December (vol. 84, no. 5). — P. 736—744. — doi:10.1097/TA.0000000000001764. — PMID 29283970.
- W. T. COUNCILMAN. Disease and Its Causes. — New York: New York Henry Holt and Company London Williams and Norgate The University Press, Cambridge, U.S.A., 1913.
- Daniel Limmer and Michael F. O’Keefe. 2005. Emergency Care 10th ed. Edward T. Dickinson, Ed. Pearson, Prentice Hall. Upper Saddle River, New Jersey. Pages 189—190.
- DiGiacomo J. C., Reilley J. F. Mechanisms of Injury/Penetrating trauma // The Trauma Manual / Peitzman A. B., Rhodes M., Schwab W., Yearly D. M., Fabian T.. — Hagerstown, MD: Lippincott Williams & Wilkins, 2002. — ISBN 0-7817-2641-7.
- Maiden. Ballistics reviews: mechanisms of bullet wound trauma, Forensic Science, Medicine, and Pathology, С. 204–9.
- Rhee, Peter M. Gunshot wounds: A review of ballistics, bullets, weapons, and myths (англ.) // The Journal of Trauma and Acute Care Surgery : journal. — 2016. — 1 June (vol. 80, no. 6). — P. 853—867. — ISSN 2163-0755. — doi:10.1097/TA.0000000000001037. — PMID 26982703.
- Blissitt P. A. Care of the critically ill patient with penetrating head injury (англ.) // Crit Care Nurs Clin North Am : journal. — 2006. — Vol. 18, no. 3. — P. 321—332. — doi:10.1016/j.ccell.2006.05.006. — PMID 16962454.
- Stewart M. G. Penetrating trauma of the face // Head, Face, and Neck Trauma: Comprehensive Management (англ.) / Stewart M. G.. — Thieme, 2005. — P. 195—199. — ISBN 3-13-140331-4.
- Manual of Emergency Medicine. — Lippincott Williams & Wilkins, 2005. — С. 60. — ISBN 0-7817-5035-0.
- Pulmonary complications of trauma // Crit Care Nurs Q. — 1994. — Август (т. 17, № 2). — С. 24—33. — doi:10.1097/00002727-199408000-00004. — PMID 8055358.
- Smith M., Ball V. Thoracic trauma // Cardiovascular/respiratory physiotherapy. — St. Louis: Mosby, 1998. — С. 220. — ISBN 0-7234-2595-7.
- Fitzgerald, J.E.F.; Larvin, Mike. Chapter 15: Management of Abdominal Trauma // Clinical Surgery: A Practical Guide / Baker, Qassim; Aldoori, Munther. — CRC Press, 2009. — С. 192—204. — ISBN 9781444109627.
- Iheozor-Ejiofor, Zipporah. Negative pressure wound therapy for open traumatic wounds (англ.) // Cochrane Database of Systematic Reviews : journal. — 2018. — 3 July (vol. 7, no. 7). — P. CD012522. — ISSN 1465-1858. — doi:10.1002/14651858.cd012522.pub2. — PMID 29969521.
- Blank-Reid C. A historical review of penetrating abdominal trauma (англ.) // Crit Care Nurs Clin North Am : journal. — 2006. — September (vol. 18, no. 3). — P. 387—401. — doi:10.1016/j.ccell.2006.05.007. — PMID 16962459.. — «Prior to the 1600s, it was common practice was to pour hot oil into wounds to cauterize vessels and promote healing. This practice was questioned in 1545 by a French military surgeon named Ambroise Pare who also introduced the idea of using ligature to control hemorrhage.».
