Тампонада сердца
Тампонада сердца — это патологическое состояние, при котором происходит скопление жидкости между листками перикарда, что приводит к невозможности адекватных сердечных сокращений за счет сдавления полостей сердца. Данное состояние может возникать как при острых (ранении сердца), так и хронических состояниях и болезнях (перикардите).
| Тампонада сердца | |
|---|---|
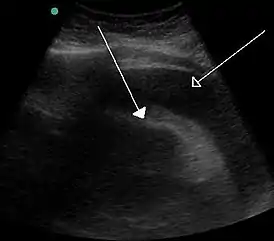
![]() Скопление большого количества жидкости между листками перикарда, видимое при ультразвуковом исследовании. | |
| МКБ-11 | BB23 |
| МКБ-10 | I31.9 |
| МКБ-10-КМ | I31.4 |
| МКБ-9 | 423.3 |
| МКБ-9-КМ | 423.3[1][2] |
| MedlinePlus | 000194 |
| eMedicine | med/283 emerg/412 |
| MeSH | D002305 |
Данное состояние угрожает жизни и без своевременного адекватного лечения может привести к смерти больного. Больной отмечает у себя наличие характерных для сердечной недостаточности жалоб. При разрыве миокарда наблюдается триада Бека, которая включает в себя гипотензию, набухание вен шеи и глухие сердечные тоны. Аускультативно обнаруживаются приглушенные тоны сердца, при ультразвуковом исследовании обнаруживается жидкость между листками перикарда.
Лечение заключается в экстренном удалении жидкости из полости перикарда, для чего выполняется пункция перикарда и удаление излишков жидкости. При продолжении накопления экссудата может быть установлен катетер для обеспечения его адекватного оттока.
Прогноз заболевания условно благоприятный, при адекватной медицинской помощи данное состояние полностью купируется, трудоспособность больного восстанавливается, однако если не устранена причина развития тампонады сердца, высок риск рецидива.
Чаще всего тампонада сердца возникает на фоне ишемической болезни сердца, в тот момент, когда некрозированный участок сердечной мышцы разрывается и кровь попадает в полость околосердечной сумки (перикарда). Этот патологический процесс сопровождается увеличением "внесердечного" давления (т. е. давления на само сердце со стороны перикарда) и, как итог, накоплению крови в полости и смещению кривой сердечного выброса в сторону большего давления в правом предсердии.
Патофизиология [3]
Между эпикардом и париетальной пластинкой перикарда имеется пространство, заполненное жидкостью (Liquor pericardii, 20–50 мл), которое окружает сердце и обеспечивает подвижность сердечной мышцы (миокарда) при ее сокращении и расслаблении.
Так как перикард не может сильно растягиваться из-за очень малой эластичности, то быстрое скопление жидкости в его полости приводит к сдавлению сердца. В результате чего оно уже не наполняется кровью в достаточной мере и, следовательно, не может больше выполнять свои функции.
При быстром скоплении жидкости в перикарде (например, при кровотечении) для развития тампонады достаточно 150–200 мл, при медленном скоплении – около 1000–2000 мл, так как перикард способен медленно растягиваться.
См. также
Примечания
- база данных Disease ontology (англ.) — 2016.
- Monarch Disease Ontology release 2018-06-29sonu — 2018-06-29 — 2018.
- Вадим Синицкий. Тампонада сердца (рус.) ?. Optimus Medicus (13 января 2022). Дата обращения: 24 января 2022.
Ссылки
- Тампонада сердца - полное руководство
