Внутричерепное кровоизлияние
Внутричерепное кровоизлияние — кровоизлияние в полости черепа. Является серьёзной патологией, требующей неотложной медицинской помощи, так как излившаяся в полость черепа кровь вызывает повышение внутричерепного давления, что может привести к повреждению нервной ткани, нарушению её кровоснабжения и дислокации структур головного мозга (с риском вклинения в большое затылочное отверстие).
| Внутричерепное кровоизлияние | |
|---|---|
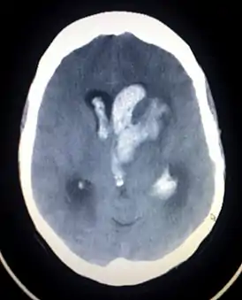
![]() Компьютерная томограмма спонтанного внутримозгового кровоизлияния с прорывом крови в желудочки головного мозга | |
| МКБ-10 | I60.0-I62, S06 |
| МКБ-9 | 430-432, 850-854 |
| МКБ-9-КМ | 432.9[1] |
| DiseasesDB | 6870 |
| MedlinePlus | 000796 |
| eMedicine | neuro/177 |
| MeSH | D020300 |
Этиология
Внутричерепное кровоизлияние развивается при повреждении кровеносного сосуда в полости черепа в результате травмы или по иным причинам (например, вследствие разрыва артериальной аневризмы). Терапия антикоагулянтами и нарушения свёртываемости крови повышают риск развития внутричерепного кровоизлияния[2].
Диагностика
Компьютерная томография — метод выбора в диагностике внутричерепных кровоизлияний.
Классификация
Внутричерепные кровоизлияния условно делятся на интрааксиальные и экстрааксиальные. Кровоизлияние относится к локальной мозговой травме (то есть повреждающей головной мозг не диффузно). По размерам различают малые (до 50 мл), среднего объёма (51 — 100 мл) и большие (более 100 мл) гематомы.
Интрааксиальные кровоизлияния
Интрааксиальное кровоизлияние — кровоизлияние в пределах головного мозга. К этой категории относятся внутрипаренхиматозное кровоизлияние (кровоизлияние в ткань мозга) и внутрижелудочковое кровоизлияние (кровоизлияние в желудочковую систему), типичное у недоношенных детей. Интрааксиальные кровоизлияния более опасны и хуже поддаются лечению, чем экстрааксиальные[3].
Экстрааксиальные кровоизлияния
Экстрааксиальные кровоизлияния — кровоизлияния в полости черепа, но снаружи головного мозга. Различают три их подтипа:
- Эпидуральная гематома — травматическая гематома между твёрдой мозговой оболочкой (наиболее поверхностной) и черепом. Может быть обусловлена разрывом артерии причиненным переломом черепа, как правило средней оболочечной. Этот тип кровоизлияния крайне опасен в связи с поступлением крови из артериальной системы под большим давлением, что вызывает скорое (в течение минут, часов) повышение внутричерепного давления. Однако, этот тип кровоизлияния наименее распространён и наблюдается в 1 %-3 % случаев черепно-мозговых травм. В течение эпидуральных гематом выделяется период потери сознания, который сменяется «светлым промежутком», после чего наступает резкое ухудшение состояния (рвота, беспокойство, нарушение сознания), вызванное сдавлением мозга. В большинстве случаев требует хирургического удаления.
- КТ головного мозга демонстрирует поверхностную гематому двояковыпуклой формы.
- Субдуральная гематома развивается при разрыве мостиковых вен в субдуральном пространстве между твёрдой и паутинной мозговыми оболочками в результате перелома черепа или ушиба, её объём нарастает в течение нескольких часов.
- При КТ головного мозга выявляется поверхностная гематома вогнутой (серповидной) формы.
- При наличии существенной компрессии мозга показана краниотомия с удалением гематомы. Компрессия головного мозга сопровождается дислокацией и вторичной ишемией, очаговой (соответствующей локализации) и общемозговой симптоматикой.
- Субарахноидальное кровоизлияние развивается между паутинной и мягкой мозговыми оболочками в субарахноидальном пространстве. Как и внутримозговое кровоизлияние, может быть обусловлено как травмой, так и повреждением сосуда (в области аневризмы или артериовенозной мальформации).
- При КТ-исследовании кровь выявляется в бороздах и/или заполняет арахноидальные цистерны (наиболее часто — супраселлярную, в связи с прохождением через неё артерий виллизиева круга и их ветвей). Классическими симптомомами субарахноидального кровоизлияния являются остро возникшая головная боль (напоминающая «удар по голове»), тошнота, повторная рвота, часто наступает утрата сознания. Этот тип кровоизлияния требует срочной консультации нейрохирурга, иногда с проведением экстренного оперативного вмешательства.
Дифференциальный диагноз
| Тип гематомы | Эпидуральная | Субдуральная |
|---|---|---|
| Локализация | Между черепом и твёрдой мозговой оболочкой | Между твёрдой мозговой и паутинной оболочками |
| Повреждённый сосуд | Теменновисочная область (наиболее часто) — средняя менингеальная артерия Лобная область — передняя решётчатая артерия Затылочная область — поперечный или сигмовидный синусы Вертекс — верхний сагиттальный синус | Мостиковые вены |
| Симптоматика | Светлый промежуток с последующей утратой сознания | Постепенно нарастающая головная боль, возможен эпизод потери сознания |
| КТ-картина | Двояковыгнутая линза | Серповидная форма |
Примечания
- Monarch Disease Ontology release 2018-06-29sonu — 2018-06-29 — 2018.
- Kushner D. Mild Traumatic Brain Injury: Toward Understanding Manifestations and Treatment (англ.) // JAMA : journal. — 1998. — Vol. 158, no. 15. — P. 1617—1624. — doi:10.1001/archinte.158.15.1617. — PMID 9701095.
- Seidenwurm D. I. Introduction to brain imaging // Fundamentals of Diagnostic Radiology (неопр.) / Brant W. E., Helms C. A.. — Philadelphia: Lippincott, Williams & Wilkins, 2007. — С. 53. — ISBN 0-7817-6135-2.
Ссылки
- McCaffrey P. «The Neuroscience on the Web Series: CMSD 336 Neuropathologies of Language and Cognition». — Chico: California State University, 2001. Архивировано 6 апреля 2007 года.
- Orlando Regional Healthcare, Education and Development. «Overview of Adult Traumatic Brain Injuries». — 2004. Архивировано 27 февраля 2008 года.
- Shepherd S. «Head Trauma». — Emedicine.com, 2004.
- Vinas FC, Pilitsis J. «Penetrating Head Trauma». — Emedicine.com, 2004.
.jpg.webp)