Печёночная кома
Печёночная кома, печёночная энцефалопа́тия — расстройство функций ЦНС, которое возникает в связи с тяжелым поражением печени.
| Печёночная кома | |
|---|---|
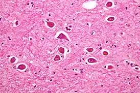
![]() Микрофотография астроцитов Альцгеймера II типа, возникающих при печёночной коме | |
| МКБ-11 | DB99.5 |
| МКБ-10 | K72 |
| МКБ-10-КМ | K72 |
| МКБ-9 | 572.2 |
| МКБ-9-КМ | 572.2[1] |
| MedlinePlus | 000302 |
| eMedicine | med/3185 |
| MeSH | D006501 |
Печёночная кома может развиваться при острых и хронических заболеваниях печени любой этиологии. Ей часто предшествует печёночная энцефалопатия, тесно с ней связанная. Иногда термин «печёночная кома» употребляется как наиболее широко охватывающий все клинические проявления синдрома гепатоцеребральной недостаточности. Понятие «печёночная кома» используется для описания всех стадий: прекомы, развивающейся комы, ступора и собственно комы.
Выделяют три клинико-патогенетических варианта печёночной комы: эндогенная (токсические продукты вырабатываются и накапливаются в крови), экзогенная (токсические продукты поступают сразу в кровь, не поступая в печень) и смешанная.
В большинстве случаев летальный исход наступает в течение нескольких дней.
Симптомы
Симптомами печёночной комы обычно являются:
- сонливость
- нарушение ориентации
- нарушение функций речи
- замедленное мышление
- резкое уменьшение размеров печени
- хлопающий тремор кистей[2].
На ранней стадии развития комы перечисленные симптомы могут сопровождаться онемением мышц лица и судорогами конечностей. На поздней стадии развития комы к перечисленным симптомам могут добавиться поверхностное дыхание, отсутствие зрачкового эффекта и расширение зрачков.[3]
Примечания
- база данных Disease ontology (англ.) — 2016.
- Ш. Шерлок, Дж. Дули. Глава 7. ПЕЧЁНОЧНАЯ ЭНЦЕФАЛОПАТИЯ. ЗАБОЛЕВАНИЯ ПЕЧЕНИ И ЖЁЛЧНЫХ ПУТЕЙ. pechenka.org.ua. Дата обращения: 6 марта 2012.
- Энциклопедия - Кома печеночная
