Разрыв вращающей манжеты плеча
Разрыв вращающей манжеты плеча — травма, при которой разрываются одно или несколько сухожилий или мышц вращательной манжеты плеча.[1] Симптомы могут включать боль в плече, которая часто усиливается при движении, или слабость.[2] Это может ограничить способность расчёсывать волосы или надевать одежду.[1] Также может происходить щелчок при движении руки.[1]
Разрывы могут возникать в результате либо внезапно при применении силы или постепенно с течением времени.[3] Факторы риска включают определённые повторяющиеся действия, курение и семейный анамнез заболевания.[2][3][4] Диагноз основывается на симптомах, обследовании и медицинской визуализации.[3] Вращающая манжета плеча состоит из надостной, подостной, малой круглой и подлопаточной мышц.[2] Чаще всего поражается надостная мышца.[3]
Лечение может включать обезболивающие, такие как НПВП, и специальные упражнения.[2] Дополнительно рекомендуется обследовать людей, которые через две недели не могут поднять руку выше 90°.[5] В тяжёлых случаях можно провести хирургическую операцию, однако по состоянию на 2019 год преимущества операции неясны.[2][6] Разрывы вращательной манжеты - обычное явление, чаще всего страдают люди старше 40 лет.[3] Состояние описывалось по крайней мере с начала 1800-х годов.[7]
Признаки и симптомы

Многие разрывы вращающей манжеты не имеют никаких симптомов. Как частичные, так и полные разрывы были обнаружены при вскрытии и МРТ у пациентов, у которых в анамнезе не было боли или симптомов в плече. Однако наиболее частым проявлением является боль или дискомфорт в плече. Это может происходить при физической активности, особенно при движениях плеча выше горизонтального положения, но также может присутствовать в состоянии покоя в постели. Могут присутствовать ограниченные болью движения выше горизонтального положения, а также слабость при сгибании и отведении плеча.[8][9]
Может присутствовать аномальная подвижность или функция лопатки (дискинезия лопатки), связанная с более низкими функциональными показателями; неясно, является ли дискинезия лопатки причиной, следствием или компенсацией патологии вращательной манжеты плеча.[10]
Факторы риска

Эпидемиологические исследования убедительно подтверждают связь между возрастом и распространённостью разрывов манжеты. Наиболее подвержены синдрому проблемы вращательной манжеты плеча люди в возрасте 65 лет и старше; и пациенты с большими, длительными разрывами. Также подвергаются большему риску курильщики, больные диабетом, люди с атрофией мышц и/или жировой инфильтрацией, а также не соблюдающие рекомендации послеоперационного ухода. В исследовании 2008 года частота таких разрывов увеличилась с 13% в самой молодой группе (в возрасте 50–59 лет) до 20% (в возрасте 60–69 лет), 31% (в возрасте 70–79 лет) и 51% в старшей группе (возраст 80–89 лет).[11] Такой высокий уровень распространённости разрывов у бессимптомных лиц предполагает, что разрывы вращательной манжеты плеча можно рассматривать как «нормальный» процесс старения, а не как результат очевидного патологического процесса.
Известно, что частота разрывов увеличивается с возрастом[12] и наиболее частой причиной является возрастная дегенерация и, реже, спортивные травмы или травмы.[13]
Некоторые факторы риска, такие как возраст и рост, изменить нельзя. Повышенный индекс массы тела также связан со разрывами. Также могут повредить вращательную манжету повторяющиеся подъёмы рук и движения над головой. Это включает в себя работы, которые связаны с повторяющейся работой с поднятыми руками, например, как у плотников или маляров.[14] Люди, которые занимаются видами спорта, в которых используются движения над головой, например плавание, водное поло,[15] волейбол, бейсбол, теннис и защитники американского футбола, подвергаются большему риску разрыва вращающей манжеты. Спортивные единоборства, основанные на ударах, такие как бокс, также являются причиной серьёзных травм вращающей манжеты спортсменов[16] как правило, в тех случаях, когда их удары не попадают в цель или чрезмерно нагружают плечо из-за нанесения чрезмерно большого количества ударов.[17] Некоторые виды деятельности в лёгкой атлетике, такие как толкание ядра, метание копья имеют также значительный риск,[18], особенно при выполнении на открытом воздухе в холодных погодных условиях или при пренебрежении разминочными процедурами, правильное прогрев руки при бросках или замахиваниях помогает снизить нагрузку на мускулатуру плечевого пояса.[19] Как правило, частота повреждений вращающей манжеты увеличивается с возрастом[20][21], в это же время инъекции кортикостероидов вокруг сухожилий увеличивают риск разрыва сухожилия и замедляют заживление сухожилий.[22]
Механизмы повреждения

Плечо является сложным механизмом, включающим кости, связки, суставы, мышцы и сухожилия.
Двумя основными причинами являются острая травма или хроническая и кумулятивная дегенерация плечевого сустава. Механизмы могут быть внешними, внутренними или их комбинацией.[23]
Вращательная манжета отвечает за стабилизацию плечевого сустава, обеспечивая отведение и вращение плечевой кости. При травме эти функции могут быть нарушены. Поскольку многие люди зависят от плеча для многих активностей, чрезмерное его использование может привести к разрывам, причем подавляющее большинство из них приходится на сухожилие надостной мышцы.
Роль надостной мышцы заключается в сопротивлении движению вниз, когда плечо расслаблено и удерживает вес.[24] Разрыв надостной мышцы обычно происходит при её прикреплении к головке плечевой кости у большого бугорка. Хотя надостная мышца является наиболее часто травмируемым сухожилием вращательной манжеты, одновременно могут быть повреждены также три других сухожилия.[24]
Острые разрывы
Величина напряжения, необходимого для резкого разрыва сухожилия вращательной манжеты, зависит от общего состояния сухожилия. Если оно здорово, необходимое напряжение будет высоким, и может возникновить, например, при падении на вытянутую руку. Это напряжение может возникнуть одновременно с другими травмами, такими как вывих плеча или разделение акромиально-ключичного сустава. В случае сухожилия с уже существующей дегенерацией сила может быть более умеренной, например, при внезапном подъёме, особенно с рукой выше горизонтального положения.[23] Тип нагрузки, связанной с травмой, обычно эксцентричный, например, когда два человека несут груз, и один отпускает, заставляя другого прикладывать силу, пока мышца удлиняется.
Хронические разрывы
Хронические разрывы указывают на длительное использование в сочетании с другими факторами, такими как плохая биомеханика или мышечный дисбаланс. В конечном счете, большинство из них является результатом износа, который происходит медленно с течением времени и является естественной частью старения. Они чаще встречаются в доминирующей руке, но разрыв одного плеча сигнализирует о повышенном риске разрыва противоположного плеча.
Несколько факторов способствуют дегенеративным или хроническим разрывам вращательной манжеты плеча, наиболее значительным из которых является повторяющееся напряжение. Это напряжение состоит из частого повторения одних и тех же движений плечами, таких как метание над головой, гребля и поднятие тяжестей. Многие работы, требующие частых движений плеч, такие как подъёмы и движения над головой, также вносят свой вклад. У пожилых людей также может быть проблемой нарушение кровоснабжения. С возрастом кровообращение в сухожилиях вращательной манжеты уменьшается, что ухудшает естественную способность к восстановлению и увеличивает риск разрыва. Другой потенциальной причиной является импинджмент-синдром — наиболее частая неспортивная травма, которая возникает, когда сухожилия мышц вращающей манжеты раздражаются и воспаляются при прохождении в субакромиальном пространстве под акромионом. Это относительно небольшое пространство становится еще меньше, когда рука поднимается вперёд или вверх. Повторяющийся импинджмент может вызвать воспаление сухожилий и синовиальной сумки, что приведет к синдрому.[25][26]
Внешние факторы

Хорошо задокументированные анатомические факторы включают морфологические характеристики акромиона - костного выступа лопатки, изгибающегося над плечевым суставом. Крючкообразные, изогнутые, и наклонные в поперечном направлении акромионы тесно связаны с разрывами манжеты и могут привести к повреждению из-за прямой тракции сухожилия.[11] И наоборот, плоские акромионы могут незначительно влиять на заболевание манжеты и, следовательно, лучше всего лечиться консервативно. Развитие этих различных акромиальных форм, вероятно, является как генетическим, так и приобретённым. В последнем случае с возрастом может происходить переход от плоского к изогнутому или крючковообразному акромиону.[11] Повторяющиеся механические действия, такие как спорт и упражнения, могут способствовать уплощению акромиона и зацеплению за него, например, в следующих занятиях: крикет, боулинг, плавание, теннис, бейсбол и каякинг. Переход к крючковатому акромиону может быть адаптацией к уже повреждённой, плохо сбалансированной вращающей манжете с результирующей нагрузкой на коракоакромиальную связку.[11] Другие анатомические факторы включают акромиальный зев и акромиальные шпоры. К факторам окружающей среды относятся возраст, чрезмерная нагрузка на плечо, курение и заболевания, которые влияют на кровообращение или ухудшают воспалительную реакцию и реакцию заживления, например сахарный диабет.[11]
Внутренние факторы
Внутренние факторы относятся к механизмам повреждения, которые возникают внутри самой вращательной манжеты. Принципом является модель дегенеративной микротравмы, которая предполагает, что возрастное повреждение сухожилия, усугубленное хронической микротравмой, приводит к частичным разрывам сухожилий, которые затем перерастают в полные разрывы вращающей манжеты.[11] В результате повторяющихся микротравм при дегенеративном повреждении сухожилия вращающей манжеты медиаторы воспаления изменяют местную среду, а окислительный стресс вызывает апоптоз теноцитов, вызывая дальнейшую дегенерацию сухожилия вращающей манжеты.[11] Также существует нейронная теория, которая предполагает, что нервная сверхстимуляция приводит к привлечению воспалительных клеток и может также способствовать дегенерации сухожилий.[11]
Хирургические аспекты
В зависимости от диагноза доступны несколько альтернативных методов лечения. Они включают ревизионное восстановление, неанатомическое восстановление, пересадку сухожилия и артропластику. Когда это возможно, хирурги выполняют восстановление без натяжения, при котором они используют трансплантированные ткани, а не наложение швов, чтобы повторно соединить сегменты сухожилия. Это может привести к полному восстановлению. Другими вариантами являются частичное восстановление и реконструкция с использованием моста из биологических или синтетических веществ. Частичное восстановление обычно выполняется при втянутой разорванной манжете.
Перенос сухожилий назначается молодым, активно разрывающим манжеты, которые испытывают слабость и ограниченный диапазон движений, но небольшую боль. Этот метод не считается подходящим для пожилых людей, людей с предоперационной ригидностью или повреждениями нервов. У людей с диагнозом плечевого артрита и антропатии вращательной манжеты плеча есть альтернатива тотальной артропластики плеча, если манжета не повреждена в значительной степени или доступно восстановлению. Если манжета "некомпетентна", тогда доступна обратная артропластика плеча и, хотя и не такая прочная, как протез, не требуется неповреждённая манжета для поддержания стабильного сустава.
Диагностика

Диагноз основывается на физическом обследовании и анамнезе, включая описание предыдущей активности и острых или хронических симптомов. Систематический физический осмотр плеча включает осмотр, пальпацию, проверку диапазона движений, провокационные тесты для воспроизведения симптомов, неврологический осмотр и проверку силы.[27] Плечо также следует обследовать на предмет чувствительности и деформации. Поскольку боль, возникающая в шее, часто иррадиирует в плечо, обследование должно включать оценку шейного отдела позвоночника с целью выявления признаков защемления нерва, остеоартрита или ревматоидного артрита.
Хирург-ортопед Чарльз Нир II (англ. Charles S. Neer, II) выдвинул концепцию трёх стадий болезни вращательной манжеты плеча.[28] Стадия I по Ниру возникает у лиц моложе 25 лет и включает отёк и кровоизлияние в сухожилие и синовиальную сумку. Стадия II связана с тендинитом и фиброзом вращательной манжеты у пациентов в возрасте от 25 до 40 лет. Стадия III включает разрыв ротаторной манжеты (частичной или полной толщины) и возникает у лиц старше 40 лет.[29] В хирургических целях разрывы также описываются по местоположению, размеру или площади и глубине.[29] Дополнительные подклассы включают различное расстояние между акромионом и плечевой костью (в норме не менее 7 мм), форму акромиона, жировую инфильтрацию или дегенерацию мышц, атрофию мышц, ретракцию сухожилий, пролиферацию сосудов, хондроидную метаплазию и кальциноз. При планировании операций учитываются возрастная дегенерация истончения и дезориентации коллагеновых волокон, миксоидная дегенерация и гиалиновая дегенерация.[11]
Диагностические методы, в зависимости от обстоятельств, включают в себя рентген, МРТ, МР-артрографию, артрографию с двойным контрастом и УЗИ. Хотя МР-артрография в настоящее время считается золотым стандартом, ультразвук может быть наиболее экономически эффективным.[30] Обычно разрыв не определяется рентгеном, хотя могут быть видны костные шпоры, которые могут задевать сухожилия вращательной манжеты.[31] Такие шпоры предполагают хроническое тяжёлое заболевание вращательной манжеты плеча. Артрография с двойным контрастированием включает инъекцию контрастного красителя в плечевой сустав для обнаружения утечки из поврежденной вращательной манжеты[32] и её качество зависит от опыта оператора. Наиболее распространённым диагностическим инструментом является магнитно-резонансная томография (МРТ), которая иногда может указать размер разрыва, а также его расположение в пределах сухожилия. Кроме того, МРТ позволяет с достаточной точностью обнаружить или исключить полный разрыв вращательной манжеты плечевого сустава, а также подходит для диагностики других патологий плечевого сустава.[33]
Использование диагностических тестов является важной составляющей эффективной клинической практики.
При определении причины боли в плече или планировании ее лечения настоятельно рекомендуется использовать клиническую оценку, а не быть чрезмерно зависимым от МРТ или любого другого метода, поскольку разрывы вращательной манжеты также обнаруживаются у некоторых пациентов без боли или симптомов. Роль рентгена, МРТ и ультразвука является дополнением к клинической оценке и служит для подтверждения диагноза, предварительно поставленного на основе тщательного анамнеза и физического обследования. Чрезмерное использование визуализации может привести к чрезмерному лечению или отвлечению от истинной дисфункции, вызывающей симптомы.[34]
Симптомы
Симптомы могут возникать сразу после травмы (острые) или развиваться со временем (хронические).
Острая травма встречается реже, чем хроническое заболевание, но может последовать за повторениями поднятия руки с сопротивлением, как, например, в тяжёлой атлетике.[25] Кроме того, падение на плечо может вызвать острые симптомы. Эти травматические разрывы преимущественно поражают сухожилие надостной мышцы или ротаторный промежуток[33] и симптомы включают сильную боль, которая распространяется через руку, и ограниченный диапазон движений, особенно при отведении плеча.[35] Хронические разрывы возникают у людей, которые постоянно занимаются деятельностью над головой, например, бросками или плаванием, но также могут развиться в результате тендинита плеча или болезни вращательной манжеты плеча. Симптомы, возникающие в результате хронических разрывов, включают спорадическое усиление боли, истощение и атрофию мышц, заметную боль во время покоя, ощущение потрескивания (крепитация) при движении плеча и неспособность делать достаточные движения или поднимания руки, особенно во время отведения и сгибания.[25][35]
Боль в переднебоковой части плеча не является специфической для плеча[36] и может исходить из шеи, сердца или брюшной полости.
Симптомы часто включают боль или ломоту в передней и внешней сторонах плеча, боль, усиливающуюся при опирании на локоть и толчке вверх на плече (например, опираясь на подлокотник кресла или откидывающуюся спинку), непереносимость активности над головой, ночную боль при лежании непосредственно на поражённом плече, боль при вытягивании вперёд (например, неспособность поднять предмет весом несколько килограмм). Может быть слабость, но она часто маскируется болью и обычно обнаруживается только при осмотре. При более продолжительной боли предпочтение отдается плечу, и постепенно может развиться потеря движений и слабость, которые из-за боли и защиты часто не распознаются и привлекаются только во время физического осмотра.
Первичные проблемы с плечом могут вызывать боль над дельтовидной мышцей, усиливающуюся отведением от сопротивления — признаком импинджмента. Это означает боль из-за вращательной манжеты, но невозможно различить воспаление, напряжение или разрыв. Люди могут сообщать, что они не могут поднять руку, чтобы расчесать волосы, или поднять банку с верхней полки.
Знаки
Ни один тест физического обследования не позволяет однозначно различить бурсит, частичные и полные разрывы.[37][38] Самый полезный тест на разрыв подостного сухожилия — это знак падения (экзаменующий поднимает руку прямо от тела ладонью вверх, затем пациенту нужно удерживать её там в течение 10 секунд) и знак запаздывания внешнего вращения (рука держится сбоку, локоть сгибается под углом 90° и человек пытается повернуть руку наружу, преодолевая сопротивление).[38]
По-видимому, наиболее точный диагноз обеспечивается комбинацией тестов. Что касается импинджмента, эти тесты включают в себя знак импинджмента Хокинса-Кеннеди, при котором исследователь поворачивает согнутую руку пострадавшего медиально, прижимая сухожилие надостной мышцы к коракоакромиальной связке и, таким образом, вызывая боль, если тест положительный[37] положительный знак болезненной дуги, и слабость при внешнем вращении рукой в сторону. Для диагностики разрыва ротаторной манжеты на всю толщину лучшая комбинация, по-видимому, включает еще раз болезненную дугу и слабость при внешней ротации, а также, в дополнение, признак опущенной руки.[37] Этот тест также известен как тест Кодмана. Экзаменующий поднимает руку в сторону на 90 °. Затем травмированный человек пытается опустить руку обратно в нейтральное положение ладонью вниз. Если рука внезапно падает или ощущается боль, тест считается положительным.
МРТ


Магнитно-резонансная томография (МРТ) и ультразвук[39] сравнимы по эффективности и полезны в диагностике, хотя оба имеют ложноположительный уровень 15–20%.[40] МРТ может надёжно обнаружить большинство разрывов на всю толщину, хотя очень маленькие точечные разрывы можно не заметить. В таких ситуациях МРТ в сочетании с инъекцией контрастного вещества, МР-артрограмма может помочь подтвердить диагноз. Следует понимать, что обычная МРТ не может полностью исключить небольшой разрыв (ложноотрицательный результат), в то время как разрывы частичной толщины не могут быть обнаружены с такой надежностью.[41] Хотя МРТ чувствительна к выявлению дегенерации сухожилия (тендинопатии), она не может надежно отличить дегенеративное сухожилие от частично разорванного сухожилия. Опять же, магнитно-резонансная артрография может улучшить дифференциацию.[41] Её общая чувствительность - 91% (т.е. 9% ложноотрицательных результатов), таким образом магнитно-резонансная артрография является надёжной при обнаружении разрывов частичной толщины вращающей манжеты манжеты.[41] Однако его обычное использование не рекомендуется, поскольку оно связано с введением в сустав иглы с потенциальным риском заражения. Следовательно, тест предназначен для случаев, когда диагноз остается неясным.
УЗИ
Опытные врачи рекомендуют ультразвуковое исследование опорно-двигательного аппарата, позволяющее избежать рентгеновского излучения и затрат на МРТ, демонстрируя при этом точность, сопоставимую с МРТ, для выявления и измерения размеров разрыва вращающей манжеты на полную и частичную толщину.[42] Этот метод также может выявить наличие других состояний, которые могут имитировать разрыв вращательной манжеты при клиническом обследовании, включая тендиноз, кальцифицирующий тендинит, субакромиальный субдельтовидный бурсит, перелом большого бугорка и адгезивный капсулит.[43] Однако МРТ дает больше информации о соседних структурах плеча, таких как капсула, мышцах и костях верхней губы, и эти факторы следует учитывать в каждом случае при выборе соответствующего исследования.
Рентгеновский снимок


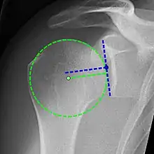
Рентгеновская проекционная рентгенография не может напрямую выявить разрывы вращающей манжеты, «мягких тканей», и, следовательно, обычные рентгеновские лучи не могут исключить повреждение манжеты. Однако косвенные доказательства патологии можно увидеть в случаях, когда одно или несколько сухожилий подверглись дегенеративной кальцификации (кальцифицирующий тендинит). Головка плечевой кости может мигрировать вверх (высоко расположенная головка плечевой кости) вследствие разрыва подостной или комбинированной надостной и подостной мышцами.[44] Миграцию можно измерить расстоянием между:
- Линией, пересекающая центр линии между верхним и нижним краями суставной поверхности суставной впадины (синяя на изображении).
- Центром наиболее подходящего круга, расположенный над суставной поверхностью плечевой кости (зеленый на изображении)
Обычно первый расположен ниже второго, и поэтому переворот указывает на разрыв вращательной манжеты.[44] Длительный контакт между высоко расположенной головкой плечевой кости и акромионом над ней может привести к обнаружению на рентгеновских снимках износа головки плечевой кости и акромиона или вторичного дегенеративного артрита плечевого сустава, называемого артропатия манжеты.[43] Случайные рентгенологические находки костных шпор в соседнем акромиально-ключичном суставе могут показать костную шпору, растущую от внешнего края ключицы вниз к вращающей манжете. На нижней стороне акромиона также можно увидеть шпоры, которые, как когда-то считали, вызывают прямое истирание вращающей манжеты из-за контактного трения, концепция, которая в настоящее время считается спорной.
Офисное тестирование
В рамках принятия клинического решения может быть проведена простая, минимально инвазивная процедура в офисе — тест импинджмента вращающей манжеты. Небольшое количество местного анестетика и инъекционного кортикостероида вводят в субакромиальное пространство, чтобы заблокировать боль и обеспечить противовоспалительное облегчение. Если боль исчезает, а функция плеча остается хорошей, дальнейшее обследование не проводится. Тест помогает подтвердить, что боль исходит в первую очередь из-за плеча, а не от шеи, сердца или кишечника.
Если боль уменьшилась, тест считается положительным для импинджмента вращающей манжеты плеча, основными причинами которого являются тендинит и бурсит. Однако частичные разрывы вращающей манжеты также могут продемонстрировать хорошее обезболивание, поэтому положительный ответ не может исключить частичный разрыв вращательной манжеты. Однако при демонстрации хорошей безболезненной функции лечение не изменится, поэтому тест полезен, чтобы избежать чрезмерного тестирования или ненужного хирургического вмешательства.
Классификация
Разрывы сухожилия вращательной манжеты описываются как частичные или полные и на полную толщину с полным отрывом сухожилий от кости.
- Разрывы частичной толщины часто проявляются как истирание неповрежденного сухожилия.
- Разрывы на всю толщину - это сквозные разрывы. Эти разрывы могут быть маленькими точечными, более крупными или затрагивать большую часть сухожилия, где оно все ещё остается в значительной степени прикрепленным к головке плечевой кости и, таким образом, поддерживает функцию.
- Полнослойные разрывы также могут включать полное отслоение сухожилий от головки плечевой кости и могут привести к значительному нарушению движений и функций плеча.
Боль в плече варьируется и может быть непропорциональна размеру разрыва.
Разрывы также иногда классифицируют в зависимости от травмы, вызвавшей травму:
- Острое, в результате внезапного сильного движения, которое может включать падение на протянутую руку на большой скорости, резкий толчок веслом при каякинге или выполнение мощного шага / броска.
- Подострый, возникающий в аналогичных ситуациях, но возникающий в одном из пяти слоёв анатомии плеча.
- Хронический, развивается с течением времени и обычно возникает на сухожилии или рядом с ним (в результате трения сухожилия о вышележащую кость) и обычно связан с импинджмент-синдромом.
Профилактика
Считается, что длительное чрезмерное использование или злоупотребление плечевым суставом ограничивает диапазон движений и производительность из-за ежедневного износа мышц, и многие общедоступные веб-сайты предлагают профилактические советы (см. раздел Ссылки). Рекомендации обычно включают:
- Регулярные упражнения на плечи для поддержания силы и гибкости,
- Использование правильной формы при подъёме или перемещении тяжёлых грузов,
- Отдых плеча при испытывании боли,
- Прикладывание холодных компрессов и грелок к болезненному воспалённому плечу,
- Программа укрепления мышц спины и плечевого пояса, а также груди, плеч и предплечий,
- Адекватные периоды отдыха на занятиях, требующих многократного подъёмов.
Положение
В одном исследовании наблюдалось 12 различных положений движений и их относительная корреляция с травмами, полученными во время этих движений. Данные показывают, что перевод руки в нейтральное положение снимает напряжение со всех связок и сухожилий.[45]
Растяжка
В одной исследовании было рассмотрено влияние техники растяжки на методы профилактики травм плеча. Повышенная скорость выполнения упражнений увеличивает травму, но начало упражнения с быстрым движением с медленной растяжки может привести к тому, что прикрепление мышц/сухожилий станет более устойчивым к разрыву.[46]
Группы мышц
При выполнении упражнений также необходимо тренировать плечо в целом, а не одну или две группы мышц. Когда мышца плеча тренируется во всех направлениях, например, при внешнем вращении, сгибании и разгибании или вертикальном отведении, вероятность разрыва сухожилия снижается.[47]
Лечение
Разрыв вращающей манжеты можно лечить оперативно или без операции. Никакой пользы от раннего, а не отсроченного хирургического вмешательства не наблюдается, и многие пациенты с частичными разрывами, а некоторые с полными разрывами будут реагировать на консервативное лечение.[25] Следовательно, человек может начать с консервативного лечения. Однако раннее хирургическое лечение может рассматриваться при значительных (более 1-1,5 см) острых разрывах или у молодых людей с разрывами на всю толщину, у которых есть значительный риск развития непоправимого повреждения вращательной манжеты.[48]
Хирургия ротаторной манжеты дает те же преимущества, что и безоперационное лечение.[49][50][51] Поскольку консервативный подход имеет меньше осложнений и дешевле, он рекомендуется в качестве начального лечения.[49]
Безоперационное лечение
Пациенты с болью, но с разумно сохранёнными функциами функции подходят для консервативного лечения. Сюда включаются лекарства, облегчающие боль, такие как противовоспалительные средства, местные обезболивающие, такие как холодные компрессы, и, если это оправдано, инъекции субакромиального кортикостероида или местного анестетика.[52] Эффективен для облегчения острых симптомов местный тринитрат глицерина , однако как побочный эффект были зарегистрированы головные боли.[53] Для кратковременного комфорта может быть предложена пращевидная повязка, с учётом того, что при длительной иммобилизации может развиться нежелательная жесткость плеча. Ранняя физиотерапия может позволить облегчить боль с помощью методов (например, ионофореза) и помочь сохранить движение. Ультразвуковое лечение неэффективно. По мере уменьшения боли могут корректироваться недостаток силы и биомеханические ошибки.
Программа консервативной физиотерапии начинается с предварительного отдыха и ограничения от занятий, вызывающих симптомы. Обычно воспаление можно контролировать в течение одной-двух недель с помощью нестероидных противовоспалительных препаратов и субакромиальных инъекций стероидов для уменьшения воспаления до такой степени, что боль значительно уменьшилась, чтобы сделать растяжку терпимой.[52] По истечении этого короткого периода может произойти быстрое окоченение и усиление боли, если не было выполнено достаточное растяжение.
Следует начать мягкую, пассивную программу диапазона движений, чтобы помочь предотвратить скованность и сохранить диапазон движений во время этого периода отдыха. Упражнения для переднего, нижнего и заднего плеча должны быть частью этой программы.[52] Широко используются упражнения Кодмана (гигантские, перемешивание пудинга), «позволяющие пациенту отвести руку под действием силы тяжести, при этом надостная мышца остается расслабленной и не требуется никакой точки опоры». Использование НПВП, горячих и холодных компрессов, а также методов физиотерапии, таких как ультразвук, фонофорез или ионтофорез, может быть начато в течение этого периода растяжения, если они эффективны.[52] Инъекции кортикостероидов рекомендуются с интервалом в два-три месяца, максимум три инъекции. Было показано, что многократные инъекции (четыре или более) ухудшают результаты операции на вращающей манжете, что приводит к ослаблению сухожилия.[52]
Роквуд (англ. C. A. Rockwood Jr.)[54] ввел термин ортотерапия для описания программы, направленной на создание режима упражнений, который сначала мягко улучшает движения, а затем постепенно увеличивает силу в плечевом поясе.[52] Эта программа включает в себя набор для домашней терапии, который включает резинки шести разных цветов и прочности, набор шкивов и трёхкомпонентную палку длиной один метр.[52] Программа подбирается индивидуально. Участников просят использовать их программу упражнений дома, на работе или в путешествии.
Биопрепараты
Основная цель биологической аугментации - улучшить заживление.[55] Есть несколько возможных вариантов.[56] К ним относятся инъекции собственных стволовых клеток, факторов роста или богатой тромбоцитами плазмы (PRP, БоТП) в место восстановления и установка имплантируемых тканей в качестве биологических или синтетических опор для поддержания контура ткани.[57][58] В Кокрановском обзоре 2014 года была проведена оценка PRP и было обнаружено недостаточно доказательств для вынесения рекомендаций.[59] Мезенхимальные стволовые клетки не имеют убедительных доказательств их использования в целом, а качественные испытания на людях отсутствуют.[60] Большая бугристость также может быть подвергнута микротрещинам с образованием небольшого сгустка крови сбоку от места восстановления.[61]
Операция

Преимущества хирургического вмешательства неясны по состоянию на 2019 год.[6] Несколько случаев, когда может быть рекомендовано хирургическое вмешательство, включают:
- Активный человек возраста от 20 до 30 лет с острым разрывом и тяжелым функциональным дефицитом в результате какого-то определенного события[52]
- Человек от 30 до 50 лет с острым разрывом вращательной манжеты плеча вследствие какого-то определенного события[52]
- высококонкурентный спортсмен, который в основном занимается спортом над головой или метанием
Эти люди чаще получают пользу от оперативного лечения, потому что они готовы терпеть риски операции, чтобы вернуться к их дооперационному уровню функций, и имеют более высокую вероятность успешного исхода.[52] Те, кто не отвечают на консервативное лечение или недоволен им, могут обратиться за консультацией к хирургу.
Существуют три общих хирургических доступа: артроскопический, мини-открытый и открытый хирургический.[25] Раньше небольшие разрывы лечили артроскопически, в то время как большие разрывы обычно требовали открытой процедуры. Достижения в артроскопии теперь позволяют артроскопически восстанавливать даже самые большие разрывы, и теперь требуются артроскопические методы для мобилизации многих ретрактированных разрывов. Результаты соответствуют открытым хирургическим методам, позволяя более тщательно оценить плечо во время операции, увеличивая диагностическую ценность процедуры, поскольку другие состояния могут одновременно вызывать боль в плече. Артроскопическая хирургия также позволяет сократить время восстановления[25], хотя различий в послеоперационной боли или использовании обезболивающих не наблюдается при артроскопической и открытой хирургии.[62] Обзор 2019 года показал, что доказательства не поддерживают декомпрессионную операцию у тех, кто болеет в плече более 3 месяцев без травм в анамнезе.[63]
Даже в случае разрыва ротаторной манжеты на всю толщину результаты консервативного лечения (т.е. нехирургического) обычно достаточно хороши.[64]
Если имеется значительная костная шпора, любой из подходов может включать акромиопластику, субакромиальную декомпрессию как часть процедуры.[65] Субакромиальная декомпрессия, удаление небольшой части акромиона, покрывающего вращающую манжету, направлена на снижение давления на вращательную манжету в определенных условиях и ускорение заживления и восстановления.[32] Хотя субакромиальная декомпрессия может быть полезной при лечении частичного и полного восстановления разрыва, она не восстанавливает сам разрыв, и в последнее время артроскопическая декомпрессия была объединена с "мини-открытым" восстановлением вращательной манжеты, что позволяет восстановить манжета без нарушения дельтовидного отростка.[66] Результаты одной только декомпрессии со временем ухудшаются, но комбинация восстановления и декомпрессии кажется более стойкой.[67] Субакромиальная декомпрессия не может улучшить боль, функцию или качество жизни.[68]
Восстановление полного разрыва на всю толщину требует наложения тканевого шва. В настоящее время популярным методом является установка анкера в кости в месте естественного прикрепления с повторным наложением разорванного сухожилия на анкер. Если качество ткани плохое, можно использовать сетку (коллаген, артелон или другой разлагаемый материал) для усиления восстановления. Ремонт может быть выполнен через открытый разрез, что опять же требует отслоения части дельтовидной мышцы, в то время как метод мини-открытого доступа приближает разрыв через подход с разделением дельтовидной мышцы. Последнее может вызвать меньшее повреждение мышц и дать лучшие результаты.[67] Современные методы теперь используют полностью артроскопический подход. Восстановление может занять до трех-шести месяцев, при этом первые одну-шесть недель носят повязку.[69] В случае разрыва частичной толщины, если проводится операция, завершение разрыва (преобразование частичного разрыва в полный разрыв) с последующим восстановлением связано с лучшими ранними результатами, чем трансплантация при трансплантации (когда сохраняются неповрежденные волокна), и нет разницы в частота отказов.[70]
Тенотомия бицепса и тенодез часто выполняются одновременно с ремонтом вращающей манжеты или в виде отдельных процедур, а также может привести к боли в плече. Тенодез, который может выполняться как артроскопическая или открытая процедура, обычно восстанавливает безболезненное движение в сухожилии двуглавой мышцы или прикрепленной части верхней губы, но может вызвать боль. Тенотомия - более короткая операция, требующая меньше реабилитации, которая чаще выполняется у пожилых пациентов, хотя после операции на тонких руках может быть виден косметический «признак папайи».
В небольшом меньшинстве случаев, когда развился обширный артрит, альтернативой является замена плечевого сустава (артропластика). В частности, это обратная замена плеча, более ограниченная форма артропластики плеча, которая позволяет плечу хорошо функционировать даже при наличии больших разрывов плечевой манжеты на всю толщину.
Замена плеча
Последние систематические обзоры предполагают (с доказательствами низкого качества), что тотальная артропластика плеча не дает существенных преимуществ по сравнению с гемиартропластикой при суставно-плечевом остеоартрите и разрывах вращательной манжеты плеча.[71] Были подчеркнуты текущая нехватка высококачественных доказательств и необходимость в рандомизированных контролируемых исследованиях.
Реабилитация после операции
Реабилитация после операции состоит из трёх этапов. Сначала обездвиживают руку, чтобы мышца могла зажить. Во-вторых, при необходимости, терапевт проводит пассивные упражнения, чтобы восстановить диапазон движений. В-третьих, рука постепенно активно тренируется с целью восстановления и увеличения силы.[72] Упражнения с пустой и полной банкой являются одними из самых эффективных для изоляции и укрепления надостной мышцы.[73]
После артроскопической операции по восстановлению вращающей манжеты пациенты нуждаются в реабилитации и физиотерапии.[74] Упражнения уменьшают боль в плече, укрепляют суставы и улучшают диапазон движений. Терапевты вместе с хирургом разрабатывают режимы упражнений, индивидуальные для каждого человека и его травмы.
Традиционно после травмы плечо иммобилизуют на шесть недель до реабилитации. Однако подходящие сроки и интенсивность терапии являются предметом обсуждения. Большинство хирургов рекомендуют использовать повязку не менее шести недель, хотя другие выступают за раннюю и агрессивную реабилитацию. Последняя группа отдает предпочтение пассивным движениям, которые позволяют человеку двигать плечом без физических усилий. В качестве альтернативы некоторые авторитеты утверждают, что терапию следует начинать позже и проводить более осторожно. Теоретически это дает тканям время на заживление; хотя есть противоречивые данные относительно преимуществ ранней иммобилизации. Исследование на крысах показало, что это улучшило эффективность хирургического вмешательства, в то время как исследования на кроликах дали противоположные доказательства. Люди с историей травмы вращающей манжеты плеча, особенно выздоравливающие после разрыва, склонны к повторной травме. Слишком ранняя или слишком интенсивная реабилитация может увеличить риск повторного разрыва или отказа от заживления. Однако ни одно исследование не подтвердило связь между ранней терапией и частотой повторных разрывов. В некоторых исследованиях те, кто получал более раннюю и более агрессивную терапию, сообщали об уменьшении боли в плече, меньшей жёсткости и лучшем диапазоне движений.[74] Другое исследование показало, что ускоренная реабилитация улучшает функцию плеча.
Среди хирургов-ортопедов и физиотерапевтов существует консенсус относительно протоколов реабилитации после восстановления вращательной манжеты плеча. Время и продолжительность процедур и упражнений зависят от биологических и биомедицинских факторов, влияющих на вращательную манжету. Примерно в течение двух-трёх недель после операции человек испытывает боль в плече и отек; в этом окне не применяются никакие серьезные терапевтические меры, кроме пероральных обезболивающих и льда. Тем, кто подвержен риску неудачи, обычно следует более консервативно подходить к реабилитации.
За этим следуют фазы «пролиферации» и «созревания и ремоделирования», которые наступают в течение следующих шести-десяти недель. Эффект активного или пассивного движения во время любой из фаз неясен из-за противоречивой информации и нехватки клинических данных. На этом этапе вводятся щадящие движения под руководством физиотерапии, только чтобы предотвратить скованность плеча; манжета ротатора остается хрупкой. Через три месяца после операции физиотерапевтическое вмешательство существенно меняется, и основное внимание уделяется мобилизации лопатки и растяжению плечевого сустава. После восстановления полного пассивного движения (обычно через четыре-четыре с половиной месяца после операции) упор делается на укрепляющие упражнения. Усиление сосредоточено на вращающей манжете и стабилизаторах верхней части спины / лопатки. Обычно примерно через шесть месяцев после операции большинство из них добились большей части ожидаемых результатов.
Целью ремонта вращающей манжеты является восстановление полноценной функции пациента. Хирурги и терапевты анализируют результаты несколькими способами. На основе экзаменов они составляют баллы по тестам; некоторые примеры созданы Калифорнийским университетом в Лос-Анджелесе и Американскими хирургами плечевого и локтевого суставов. Другие показатели результатов включают постоянный балл; простой плечевой тест; и оценка инвалидности руки, плеча и кисти. Тесты оценивают диапазон движений и степень функции плеча.
Из-за противоречивой информации об относительной пользе реабилитации, проведенной рано или поздно, необходим индивидуальный подход. Время и характер терапевтических мероприятий корректируются в зависимости от возраста и целостности тканей, подлежащих восстановлению. Управление более сложным у тех, кто перенес несколько разрывов.
Прогноз
Хотя у людей с разрывами вращательной манжеты плеча может не быть каких-либо заметных симптомов, исследования показали, что у людей с возрастными разрывами со временем у 40% разрывов будет увеличиваться в течение пяти лет. Из тех, у кого увеличиваются разрывы, у 20% симптомы отсутствуют, а у 80% в конечном итоге появляются симптомы.[75]
Обычно после операции восстанавливается функция и уменьшается боль. Однако у некоторых суставы продолжают болеть. Также могут сохраняться слабость и ограниченный диапазон движений. Тем, кто часто сообщает о таких симптомах, ставится диагноз: синдром неисправной вращательной манжеты плеча. Нет неопровержимых доказательств того, что операция на вращательноц манжете более эффективна, чем нехирургическое лечение[50] и у некоторого процента людей полный диапазон движений после операции никогда не восстанавливается.[76]
Артроскопические процедуры дают «удовлетворительные результаты» более чем в 90% случаев. Однако у 6-8 % пациентов «некомпетентная» вращательная манжета возникает из-за того, что восстановленные сухожилия либо не заживают, либо образуются дополнительные разрывы.[74] В некоторых случаях стойкая боль типа вращательной манжеты плеча после операции может быть связана с другим заболеванием. Например, заболевание шейного отдела позвоночника, которое может включать боль в шее с иррадиацией в плечо. Надлопаточная нейропатия, импинджмент плеча, разрывы передне-задней верхней губы (SLAP) и артрит могут имитировать заболевание вращательной манжеты плеча и вызывать стойкую боль, которая не поддается хирургическому вмешательству на вращающей манжете.
Эпидемиология

Разрывы вращательной манжеты плеча — одно из самых распространённых состояний плеча.[12]
Разрыв вращающей манжеты может быть вызван ослаблением сухожилий вращательной манжеты. Это ослабление может быть вызвано возрастом или частотой использования вращающей манжеты. Люди старше 60 лет более подвержены разрыву вращательной манжеты, при этом общая частота разрывов увеличивается с возрастом.[77] К 50 годам у 10% людей с нормальными плечами возникает разрыв вращательной манжеты плеча.[78]
В исследованиях разрывов вращательной манжеты с аутопсиями частота частичных разрывов составила 28%, а полного разрыва - 30%. Часто разрывы возникали с обеих сторон и чаще возникали у женщин и людей бОльших возрастов.[79] Другие исследования на трупах показали, что разрывы со стороны сухожилий встречаются чаще (7,2%), чем со стороны сумок (2,4%) или со стороны суставов (3,6%).[80] Однако клинически установлено, что разрывы со стороны суставов происходили в 2–3 раза чаще, чем со стороны сумок, и среди популяции молодых спортсменов разрывы со стороны суставов составляли 91% всех разрывов частичной толщины.[80] Разрывы ротаторной манжеты чаще встречаются у мужчин в возрасте от 50 до 60 лет, хотя в возрасте от 70 до 80 разница между полами минимальна.[77][81]
Примечания
- John M. Eisenberg Center for Clinical Decisions and Communications Science (2005). “Treatment Options for Rotator Cuff Tears: A Guide for Adults”. PMID 21919268.
- Rotator Cuff Injury/Subacromial Bursitis. Merck Manuals Professional Edition. Дата обращения: 5 ноября 2018.
- Rotator Cuff Tears. OrthoInfo – AAOS (March 2017). Дата обращения: 5 ноября 2018.
- Rotator Cuff Tears. Orthobullets. Дата обращения: 5 ноября 2018.
- “Acute rotator cuff tears”. BMJ. 359: j5366. December 2017. DOI:10.1136/bmj.j5366. PMID 29229593.
- “Surgery for rotator cuff tears”. The Cochrane Database of Systematic Reviews. 12: CD013502. December 2019. DOI:10.1002/14651858.CD013502. PMID 31813166.
- “Rotator cuff tear: A detailed update”. Asia-Pacific Journal of Sports Medicine, Arthroscopy, Rehabilitation and Technology. 2 (1): 1—14. January 2015. DOI:10.1016/j.asmart.2014.11.003. PMID 29264234.
- “Predictors of pain and function in patients with symptomatic, atraumatic full-thickness rotator cuff tears: a time-zero analysis of a prospective patient cohort enrolled in a structured physical therapy program”. The American Journal of Sports Medicine. 40 (2): 359—66. February 2012. DOI:10.1177/0363546511426003. PMID 22095706.
- “Current concepts of rotator cuff tendinopathy”. International Journal of Sports Physical Therapy. 9 (2): 274—88. April 2014. PMID 24790788.
- “Scapular dyskinesis: the surgeon's perspective”. Shoulder & Elbow. 7 (4): 289—97. October 2015. DOI:10.1177/1758573215595949. PMID 27582990.
- “Rotator cuff degeneration: etiology and pathogenesis”. The American Journal of Sports Medicine. 36 (5): 987—93. May 2008. DOI:10.1177/0363546508317344. PMID 18413681.
- “Rotator cuff tears: why do we repair them?”. The Journal of Bone and Joint Surgery. American Volume. 86 (12): 2764—76. December 2004. DOI:10.2106/00004623-200412000-00027. PMID 15590865.
- Your Orthopaedic Connection: Rotator Cuff Tears and Treatment Options.
- “Claims incidence of work-related disorders of the upper extremities: Washington state, 1987 through 1995”. American Journal of Public Health. 88 (12): 1827—33. December 1998. DOI:10.2105/ajph.88.12.1827. PMID 9842381.
- “Imaging of Water Sports Injuries”. Imaging in Sports-Specific Musculoskeletal Injuries. 2015. 11 December 2015.
- "Manual of Sports Medicine", p. 548.
- Joseph J. Estwanik, "Injuries to the Extremities, Trunk, and Head" in the Boxing and Medicine, Robert C. Cantu (ed.,) 1995, p. 83.
- “Imaging of Track and Field Injuries”. Imaging in Sports-Specific Musculoskeletal Injuries. 2015. 11 December 2015.
- Ronald P. Pfeiffer, Brent C. Mangus, "Concepts of Athletic Training", 2008, p. 161.
- “A systematic review and pooled analysis of the prevalence of rotator cuff disease with increasing age”. Journal of Shoulder and Elbow Surgery. 23 (12): 1913—1921. December 2014. DOI:10.1016/j.jse.2014.08.001. PMID 25441568.
- “Corticosteroid Injections Give Small and Transient Pain Relief in Rotator Cuff Tendinosis: A Meta-analysis”. Clinical Orthopaedics and Related Research. 475 (1): 232—243. January 2017. DOI:10.1007/s11999-016-5002-1. PMID 27469590.
- “The risks and benefits of glucocorticoid treatment for tendinopathy: a systematic review of the effects of local glucocorticoid on tendon”. Seminars in Arthritis and Rheumatism. 43 (4): 570—6. February 2014. DOI:10.1016/j.semarthrit.2013.08.006. PMID 24074644.
- “Clinical and biological aspects of rotator cuff tears”. Muscles, Ligaments and Tendons Journal. 3 (2): 70—9. April 2013. DOI:10.11138/mltj/2013.3.2.070. PMID 23888289.
- Saladin, Kenneth S. "Anatomy & Physiology." McGraw Hill, n.d. Web. 4 October 2016.
- Rotator Cuff Tears. American Academy of Orthopaedic Surgeons (March 2017). — «There is no evidence of better results from surgery performed near the time of injury versus later on. For this reason, many doctors first recommend nonsurgical management of rotator cuff tears.».
- Mechanisms-Rotator Cuff. Brown University, Division of Biology and Medicine (2 May 2004). Дата обращения: 3 августа 2014. Архивировано 9 декабря 2015 года.
- “Physical examination of the shoulder joint-Part I: Supraspinatus rotator cuff muscle clinical testing”. Osteopathic Family Physician. 5 (3): 128—134. May 2013. DOI:10.1016/j.osfp.2013.01.005.
- “Cuff-tear arthropathy”. The Journal of Bone and Joint Surgery. American Volume. 65 (9): 1232—44. December 1983. DOI:10.2106/00004623-198365090-00003. PMID 6654936.
- “Indications for repair of full-thickness rotator cuff tears”. The American Journal of Sports Medicine. 35 (6): 1007—16. June 2007. DOI:10.1177/0363546506295079. PMID 17337723.
- Arend CF. Ultrasound of the Shoulder. Master Medical Books, 2013. Free chapter on ultrasound evaluation of rotator cuff disorders available at ShoulderUS.com
- Rotator Cuff Tears and Injuries. Webmd.com (11 August 2020). Дата обращения: 3 августа 2014.
- Rotator Cuff Disease Symptoms, Causes, Treatment – What are symptoms of rotator cuff disease?. MedicineNet (1 March 2021). Дата обращения: 3 августа 2014.
- “Diagnosis of tears in rotator-cuff-injuries”. European Journal of Radiology. 25 (3): 168—76. November 1997. DOI:10.1016/s0720-048x(97)01171-6. PMID 9430826.
- “Decision analysis”. The Journal of Bone and Joint Surgery. American Volume. 79 (9): 1404—14. September 1997. DOI:10.2106/00004623-199709000-00018. PMID 9314406.
- Rotator Cuff Injury: Click for Surgery Info and Healing Time. Emedicinehealth.com (4 August 2020). Дата обращения: 3 августа 2014.
- “Clinical evaluation of impingement: what to do and what works”. The Journal of Bone and Joint Surgery. American Volume. 88 (2): 432—41. February 2006. DOI:10.2106/00004623-200602000-00026. PMID 16475277.
- “Diagnostic accuracy of clinical tests for the different degrees of subacromial impingement syndrome”. The Journal of Bone and Joint Surgery. American Volume. 87 (7): 1446—55. July 2005. DOI:10.2106/JBJS.D.02335. PMID 15995110.
- “Diagnostic Value of Clinical Tests for Infraspinatus Tendon Tears”. Arthroscopy. 35 (5): 1339—1347. May 2019. DOI:10.1016/j.arthro.2018.12.003. PMID 30770251.
- “Musculoskeletal ultrasound: focused impact on MRI”. AJR. American Journal of Roentgenology. 193 (3): 619—27. September 2009. DOI:10.2214/AJR.09.2841. PMID 19696273.
- “Magnetic resonance imaging, magnetic resonance arthrography and ultrasonography for assessing rotator cuff tears in people with shoulder pain for whom surgery is being considered”. The Cochrane Database of Systematic Reviews. 9 (9): CD009020. September 2013. DOI:10.1002/14651858.CD009020.pub2. PMID 24065456.
- “The use of magnetic resonance arthrography to detect partial-thickness rotator cuff tears”. The Journal of Bone and Joint Surgery. American Volume. 87 (suppl 2): 81—8. 2005. DOI:10.2106/JBJS.E.00509. PMID 16326727.
- “Detection and quantification of rotator cuff tears. Comparison of ultrasonographic, magnetic resonance imaging, and arthroscopic findings in seventy-one consecutive cases”. The Journal of Bone and Joint Surgery. American Volume. 86 (4): 708—16. April 2004. DOI:10.2106/00004623-200404000-00007. PMID 15069134.
- “Rotator cuff tears: clinical, radiographic, and US findings”. Radiographics. 25 (6): 1591—607. 2005. DOI:10.1148/rg.256045203. PMID 16284137.
- “Proximal humeral migration in shoulders with symptomatic and asymptomatic rotator cuff tears”. The Journal of Bone and Joint Surgery. American Volume. 91 (6): 1405—13. June 2009. DOI:10.2106/JBJS.H.00854. PMID 19487518.
- “Differential suture loading in an experimental rotator cuff repair”. The American Journal of Sports Medicine. 37 (2): 324—9. February 2009. DOI:10.1177/0363546508324308. PMID 18843038.
- “Device for lengthening of a musculotendinous unit by direct continuous traction in the sheep”. BMC Veterinary Research. 8: 50. May 2012. DOI:10.1186/1746-6148-8-50. PMID 22551079.
- “Interaction between the supraspinatus and infraspinatus tendons: effect of anterior supraspinatus tendon full-thickness tears on infraspinatus tendon strain”. The American Journal of Sports Medicine. 37 (9): 1831—9. September 2009. DOI:10.1177/0363546509334222. PMID 19483078.
- “Epidemiology, natural history, and indications for treatment of rotator cuff tears”. Clinics in Sports Medicine. 31 (4): 589—604. October 2012. DOI:10.1016/j.csm.2012.07.001. PMID 23040548.
- “Surgery or conservative treatment for rotator cuff tear: a meta-analysis”. Disability and Rehabilitation. 39 (14): 1357—1363. July 2017. DOI:10.1080/09638288.2016.1198431. PMID 27385156.
- “Systematic review: nonoperative and operative treatments for rotator cuff tears”. Annals of Internal Medicine. 153 (4): 246—55. August 2010. DOI:10.7326/0003-4819-153-4-201008170-00263. PMID 20621893.
- Comparative Effectiveness Reviews. — July 2010. — Vol. 22.
- “Nonoperative treatment of rotator cuff tears”. The Orthopedic Clinics of North America. 31 (2): 295—311. April 2000. DOI:10.1016/s0030-5898(05)70149-8. PMID 10736398.
- “Topical glyceryl trinitrate for rotator cuff disease”. The Cochrane Database of Systematic Reviews (3): CD006355. July 2009. DOI:10.1002/14651858.cd006355.pub2. PMID 19588386.
- “Nonoperative management of full-thickness tears of the rotator cuff”. The Orthopedic Clinics of North America. 28 (1): 59—67. January 1997. DOI:10.1016/s0030-5898(05)70264-9. PMID 9024431.
- “Tissue engineering solutions for tendon repair”. The Journal of the American Academy of Orthopaedic Surgeons. 19 (3): 134—42. March 2011. DOI:10.5435/00124635-201103000-00002. PMID 21368094.
- “Biologics in rotator cuff surgery”. Shoulder & Elbow. 6 (4): 239—44. October 2014. DOI:10.1177/1758573214536536. PMID 27582941.
- “Does the Use of Platelet-Rich Plasma at the Time of Surgery Improve Clinical Outcomes in Arthroscopic Rotator Cuff Repair When Compared With Control Cohorts? A Systematic Review of Meta-analyses”. Arthroscopy. 32 (5): 906—18. May 2016. DOI:10.1016/j.arthro.2015.10.007. PMID 26725454.
- “Efficacy of platelet-rich plasma in arthroscopic repair of full-thickness rotator cuff tears: a meta-analysis”. Journal of Shoulder and Elbow Surgery. 24 (12): 1852—9. December 2015. DOI:10.1016/j.jse.2015.07.035. PMID 26456434.
- “Platelet-rich therapies for musculoskeletal soft tissue injuries”. The Cochrane Database of Systematic Reviews (4): CD010071. April 2014. DOI:10.1002/14651858.CD010071.pub3. PMID 24782334.
- “No evidence for the use of stem cell therapy for tendon disorders: a systematic review”. British Journal of Sports Medicine. 51 (13): 996—1002. July 2017. DOI:10.1136/bjsports-2016-096794. PMID 28077355.
- “Biologic augmentation in rotator cuff repair--should we do it, who should get it, and has it worked?”. Bulletin of the Hospital for Joint Disease. 72 (1): 89—96. 2014. PMID 25150331.
- “No difference in postoperative pain after arthroscopic versus open rotator cuff repair”. Clinical Orthopaedics and Related Research. 472 (9): 2759—65. September 2014. DOI:10.1007/s11999-014-3715-6. PMID 24912870.
- “Subacromial decompression surgery for adults with shoulder pain: a clinical practice guideline”. BMJ. 364: l294. February 2019. DOI:10.1136/bmj.l294. PMID 30728120.
- “The efficacy of conservative treatment in patients with full-thickness rotator cuff tears”. Rheumatology International. 29 (6): 623—8. April 2009. DOI:10.1007/s00296-008-0733-2. PMID 18850322.
- Rotator cuff injury Definition – Diseases and Conditions. Mayo Clinic (19 февраля 2014). Дата обращения: 3 августа 2014.
- “Repair of the rotator cuff. Mini-open and arthroscopic repairs”. Clinics in Sports Medicine. 19 (1): 77—99. January 2000. DOI:10.1016/s0278-5919(05)70297-0. PMID 10652666.
- “Rotator cuff tendinopathy and subacromial impingement syndrome”. Medicine and Science in Sports and Exercise. 30 (4 Suppl): S12–7. April 1998. DOI:10.1097/00005768-199804001-00003. PMID 9565951.
- “Subacromial decompression surgery for rotator cuff disease”. The Cochrane Database of Systematic Reviews. 1: CD005619. January 2019. DOI:10.1002/14651858.cd005619.pub3. PMID 30707445.
- Rotator cuff repair. MedlinePlus. Дата обращения: 29 сентября 2009.
- “Transtendinous repair of partial articular sided supraspinatus tears is associated with higher rates of stiffness and significantly inferior early functional scores than tear completion and repair: A systematic review”. Orthopaedics & Traumatology, Surgery & Research. 104 (6): 829—837. October 2018. DOI:10.1016/j.otsr.2018.06.007. PMID 30036723.
- “Cochrane in CORR®: Shoulder Replacement Surgery For Osteoarthritis And Rotator Cuff Tear Arthropathy”. Clinical Orthopaedics and Related Research. 478 (11): 2431—2433. November 2020. DOI:10.1097/CORR.0000000000001523. PMID 33055541.
- Rotator Cuff Tears: Surgical Treatment Options. orthoinfo.aaos.org. Дата обращения: 3 мая 2012.
- “The most effective exercise for strengthening the supraspinatus muscle: evaluation by magnetic resonance imaging”. The American Journal of Sports Medicine. 30 (3): 374—81. 2002. DOI:10.1177/03635465020300031201. PMID 12016078.
- “Management of failed arthroscopic rotator cuff repair”. The Journal of the American Academy of Orthopaedic Surgeons. 20 (5): 301—9. May 2012. DOI:10.5435/jaaos-20-05-301. PMID 22553102.
- “Age-related prevalence of rotator cuff tears in asymptomatic shoulders”. Journal of Shoulder and Elbow Surgery. 8 (4): 296—9. 1999. DOI:10.1016/S1058-2746(99)90148-9. PMID 10471998.
- “Shoulder stiffness after rotator cuff repair: risk factors and influence on outcome”. Arthroscopy. 29 (2): 290—300. February 2013. DOI:10.1016/j.arthro.2012.08.023. PMID 23290184.
- “Prevalence and risk factors of a rotator cuff tear in the general population”. Journal of Shoulder and Elbow Surgery. 19 (1): 116—20. January 2010. DOI:10.1016/j.jse.2009.04.006. PMID 19540777.
- Rotator Cuff Pain.
- “The incidence of rotator cuff rupture. An anatomic study”. Acta Orthopaedica Belgica. 57 (2): 124—9. 1991. PMID 1872155.
- “Partial-thickness rotator cuff tears”. The American Journal of Sports Medicine. 33 (9): 1405—17. September 2005. DOI:10.1177/0363546505280213. PMID 16127127.
- “Prevalence of symptomatic and asymptomatic rotator cuff tears in the general population: From mass-screening in one village”. Journal of Orthopaedics. 10 (1): 8—12. 2013. DOI:10.1016/j.jor.2013.01.008. PMID 24403741.
Ссылки
- Rotator Cuff Tears. Wheeless' Textbook of Orthopedics. A description of rotator cuff tears from Wheeless'
- Physiotherpy program for rortator cuff tears
- Эта статья содержит текст из документа, являющегося общественным достоянием.Questions and Answers about Shoulder Problems. National Institute of Arthritis and Musculoskeletal and Skin Diseases (NIAMS), National Institutes of Health Public Health Service. U.S. Department of Health and Human Services (March 2006). Архивировано 10 мая 2007 года.Национальный институт артрита, скелетно-мышечных и кожных заболеваний (NIAMS), Национальные институты здравоохранения Службы общественного здравоохранения.Министерство здравоохранения и социальных служб США.Март 2006 г.Публикация NIH № 01-4865.Архивировано из оригинального(PDF) 10 мая 2007 года.
| Классификация | |
|---|---|
| Внешние ссылки |