Экзостоз
Экзостоз (также используется название костная шпора) — доброкачественное образование новой костной ткани на поверхности кости[3]. Экзостозы могут вызывать хроническую боль от легкой до сильной, в зависимости от формы, размера и места поражения. Чаще всего они встречается в районе рёбер, где образуются небольшие костные наросты, но иногда более крупные наросты могут образовываться в таких местах, как лодыжки, колени, плечи, локти и тазобедренные суставы. Изредка они появляются на черепе.
| Экзостоз | |
|---|---|
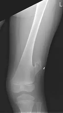
![]() Рентген левого бедра 5-летнего мальчика с экзостозом, расположенным латерально, чуть выше колена. | |
| МКБ-10-КМ | M27.8 |
| МКБ-9 | 726.91 |
| МКБ-9-КМ | 726.91[1][2] |
| DiseasesDB | 18621 |
| MeSH | D005096 |
Экзостозы иногда имеют форму шпор (пяточные шпоры).
Остеомиелит, костная инфекция, может покинуть соседнюю кость с образованием экзостоза. Стопа Шарко, невропатическое расстройство стоп, наблюдаемое в основном у диабетиков, также может оставлять костные шпоры, которые могут стать симптоматическими.
Они обычно образуются на костях суставов и могут расти вверх. Например, если на лодыжке образовалась лишняя кость, она может вырасти до голени.
Термин "хрящевой экзостоз" или "костно-хрящевой экзостоз" считается синонимом остеохондромы. Некоторые источники считают, что эти два термина означают одно и то же, но такая интерпретация не является универсальной.
Остеофиты
Остеофиты — это костные наросты на краях суставов[4]. Однако не всегда их можно однозначно отличить от экзостозов[5].
Экзостоз слухового канала (ухо сёрфингиста)
Экзостоз слухового канала возникает в ушном канале из-за воздействия холодного ветра и воды, что приводит к развитию костных образований внутри слухового прохода. Может приводить к ухудшению или потере слуха. Экзостоз слухового канала был обнаружен на 57 % черепов неандертальцев[6].
Примечания
- база данных Disease ontology (англ.) — 2016.
- Monarch Disease Ontology release 2018-06-29sonu — 2018-06-29 — 2018.
- "exostosis" at Dorland's Medical Dictionary
- Page 171 in: Michael W. Ross, Sue J. Dyson. Diagnosis and Management of Lameness in the Horse - E-Book (англ.). — Elsevier Health Sciences, 2010. — ISBN 9781437711769.
- The Medico-chirurgical Review and Journal of Medical Science (англ.). Burgess and Hill (1 января 1844).
- Николай Воронцов. «Ухо серфера» указало на возможную любовь неандертальцев к воде. nplus1.ru. Дата обращения: 2 февраля 2020.
