Грудная полость
Грудная полость (лат. cavum thoracis) — анатомическое пространство, ограниченное внутренней поверхностью грудной клетки и верхней поверхностью диафрагмы. Стенки грудной полости выстилает внутригрудная фасция (лат. fascia endothoracica). Центральные отделы грудной полости заняты средостением, по бокам от которого расположены лёгкие. Лёгкие со всех сторон окружены щелевидными плевральными полостями, сформированными висцеральным (внутренним) и париетальным (наружным) листками плевры.

Органы грудной полости

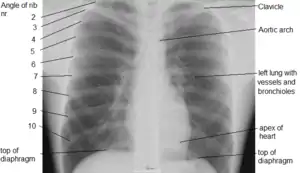
Рентгенограмма органов грудной полости
Литература
- Сапин М.Р., Брыксина З.Г. — Анатомия человека //Просвещение, 1995 г.
This article is issued from Wikipedia. The text is licensed under Creative Commons - Attribution - Sharealike. Additional terms may apply for the media files.