Десмосомы
Десмосо́мы (англ. desmosomes) — межклеточные контакты, обеспечивающие структурную целостность слоёв клеток за счёт связывания воедино их сетей промежуточных филаментов. Белковый состав десмосом немного различается в клетках разных типов и тканей. Десмосомы функционируют как адгезивные структуры, а также принимают участие в передаче сигналов. Нарушения в функционировании десмосом снижают прочность эпителиев, что приводит к разнообразным заболеваниям[1].

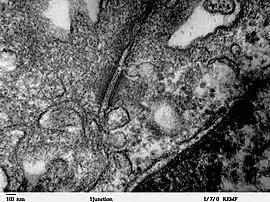
Структура

Десмосомы связывают клетки эпителиев, миокарда, печени, селезёнки и некоторые клетки нервной системы. В электронный микроскоп десмосома выглядит следующим образом. В области контакта на цитоплазматической стороне мембраны каждой из двух соседних клеток находится электронно-плотная бляшка, от цитоплазматической стороны которой отходит пучок промежуточных филаментов. Ширина щели между двумя соседними клетками составляет около 30 нм[2].
Электронно-плотная бляшка в действительности состоит из двух бляшек: внутренней, обращённой в цитозоль, и наружной, причём промежуточные филаменты прикреплены к внутренней бляшке. Одна десмосома довольно мала (средний диаметр около 0,2 мкм), поэтому на участке контакта двух клеток обычно можно видеть несколько десмосом[3].
Белковый состав

Помимо фибрилл промежуточных филаментов, в состав десмосом входит не менее 7 белков из трёх семейств. Белки десмоглеин, десмоколин-1 и десмоколин-2 относятся к подсемейству кадгериновых рецепторов. Они являются ключевыми трансмембранными белками десмосом и служат главными компонентами наружных бляшек. Они формируют перемычки, проходящие через межклеточное пространство и связывающие две соседние клетки, и с цитоплазматической стороной перемычек связываются белки плакоглобин, плакофилины (семейство armadillo) и десмоплакин (семейство плакина). Перемычка образуется при взаимодействии десмоглеина и десмоколинов одной мембраны с теми же белками мембраны напротив, причём взаимодействие идёт по типу «голова к голове»[4]. Десмоплакин взаимодействует с промежуточными филаментами во внутренней бляшке[3].
Функции
Десмосомы особенно характерны для клеток, подвергающихся физическим нагрузкам, таким как клетки кожи и миокарда, где они играют важную структурную роль, обеспечивая «точечную сварку» клеток. Десмосомы также задействованы в передаче сигнала. Например, плакоглобин и плакофилины, входящие в состав десмосом, при активации сигнальных рецепторов на поверхности клетки перемещаются в ядро, где регулируют экспрессию многих генов, а плакоглобин, кроме того, непосредственно связывается с рецепторами факторов роста. Таким образом, десмосомы могут контролировать экспрессию многих генов[3].
Клиническое значение
Нарушение функционирования десмосом приводит к различным заболеваниям. Так, ладонно-подошвенная кератодерма развивается при мутациях в белках десмосом. Аутоиммунные буллёзные дерматозы, такие как обыкновенная пузырчатка, наблюдаются, когда у пациентов образуются антитела к собственным белкам десмосом. Нарушения в функционировании межклеточных контактов, в частности, десмосом, могут приводит к летальному исходу. На данный момент лечение пациентов с перечисленными заболеваниями сводятся к защите кожи и соблюдению условий, исключающих образование волдырей, однако активно исследуется возможность применения искусственной кожи[5].
Примечания
- Кассимерис, Лингаппа, Плоппер, 2016, с. 897.
- Кассимерис, Лингаппа, Плоппер, 2016, с. 897—898.
- Кассимерис, Лингаппа, Плоппер, 2016, с. 898.
- Pollard et al., 2017, p. 551.
- Кассимерис, Лингаппа, Плоппер, 2016, с. 898—899.
Литература
- Кассимерис Л., Лингаппа В. Р., Плоппер Д. Клетки по Льюину. — М.: Лаборатория знаний, 2016. — 1056 с. — ISBN 978-5-906828-23-1.
- Thomas D. Pollard, William C. Earnshaw, Jennifer Lippincott-Shwartz, Graham T. Jonson. Cell biology. — Elsevier, 2017. — ISBN 978-0-323-34126-4.