Bradyrhizobium
Bradyrhizobium (лат.) — род грамотрицательных почвенных бактерий, часть видов которого способна к фиксации азота.
| Bradyrhizobium | ||||||||
|---|---|---|---|---|---|---|---|---|
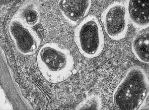
![]() Срез через клубенёк сои (Glycine max). На снимке видна клетка растения с бактероидом Bradyrhizobium japonicum внутри. | ||||||||
| Научная классификация | ||||||||
|
Домен: Тип: Класс: Альфа-протеобактерии Порядок: Ризобиевые Семейство: Bradyrhizobiaceae Род: Bradyrhizobium |
||||||||
| Международное научное название | ||||||||
| Bradyrhizobium Jordan 1982 | ||||||||
| Синонимы | ||||||||
|
||||||||
| Виды[1] | ||||||||
|
||||||||
| ||||||||
Характеристика
Виды рода Bradyrhizobium — грамотрицательные бациллы с единственным полярным или субполярным жгутиком. Это обычные почвенные организмы, способные вступать в симбиотические отношения с бобовыми. Как и прочие клубеньковые бактерии, они способны фиксировать атмосферный азот в доступной для других организмов форме. В отличие от видов Rhizobium, которые считаются быстрорастущими клубеньковыми бактериями, это медленнорастущие организмы. В жидкой среде или отваре видам Bradyrhizobium требуется от 3 до 5 дней, чтобы вызвать значительное помутнение среды, и 6—8 часов, чтобы удвоить свою популяцию. Лучше всего они растут на среде с пентозами в качестве источника углерода[3]. Некоторые штаммы (например, USDA 6 и CPP) способны аэробно окислять монооксид углерода[4]. В микроаэробных условиях корня растений, при которых содержание кислорода крайне низкое, некоторые виды, как например B. japonicum, переходят к нитратному дыханию, при котором терминальным акцептором электронов служит NO3−, восстанавливаемый до NO2−[5][6].
Фотосинтез
Для типового представителя рода, Bradyrhizobium japonicum, и фотосинтезирующего штамма Bradyrhizobium BTAi1 показана возможность фиксации CO2 в цикле Кальвина. Фотосинтезирующие Bradyrhizobium способны вступать в симбиоз с полуводными растениями из рода Aeschynomene.
Любопытно, что у таких бактерий нет стандартных nodABC генов, а значит, они образуют симбиоз по совершенно новому, неизвестному механизму без использования Nod-факторы. Согласно последним данным, для этого процесса необходимы белки CbbL, относимые к группе Рубиско. Приспособление к водной среде привело у таких бактерий к появлению необычной способности образовывать клубеньки не только на корнях, но и на стеблях Aeschynomene[7].
Ещё один необычный представитель этой группы — Bradyrhizobium sp. ORS278, тропическая фотосинтезирующая бактерия, способная к фиксации атмосферного азота, симбионт бобовых и эндофит риса. Полагают, что фотосинтезирующие представители Bradyrhizobium могут [уточнить] или же представлять собой новые виды этого рода. Филогенетически эти организмы занимают промежуточное положение между пурпурной бактерией Rhodopseudomonas palustris и типовым представителем рода B. japonicum и обладают рядом отличительных черт, таких как образование клубеньков на стеблях Aeschynomene, способность к фотосинтезу, необычный механизм формирования симбиоза, включающий субъединицы Рубиско, способность колонизировать корневую систему диких видов риса (например, Oryza breviligulata), способность некоторых штаммов, в частности ORS278, синтезировать кантаксантин, используемый в агропищевой, фармацевтической и косметологической промышленности в качестве красителя и обладающего фотозащитными свойствами[8].
Видовое разнообразие
Этот род бактерий способен как к специфическому, так и к неспецифическому симбиозу[3]. Некоторые виды Bradyrhizobium образуют клубеньки только с одним определённым видом растений, в то время как другие способны вступать в симбиоз сразу с несколькими видами. Традиционно Bradyrhizobium считается трудной группой для филогенетического анализа. Эта группа бактерий обладает крайне консервативной рибосомной РНК, что делает почти невозможными её использование в качестве видового маркёра. Вместо этого используется ДНК-ДНК гибридизация, которая показала значительно большее видовое разнообразие. Однако между видами существует крайне мало фенотипических различий, что делает крайне сложным идентификацию и описание новых видов[9].
Значение для науки
Особое значение род Bradyrhizobium имеет для молекулярной биологии, так как его представители были обнаружены в качестве загрязнителя комплектов экстракции ДНК и систем ультраочистки воды, что может привести к его ошибочному появлению среди микробиоты метагеномных баз данных[10]. Наличие азотфиксирующих бактерий в качестве загрязнителей можно объяснить использованием газообразного азота в системах ультраочистки воды и ёмкостях для её хранения. Азот используется как заменитель воздуха, он предотвращает растворения в воде углекислого газа и кислорода[11].
Применение
Bradyrhizobium фиксируют больше азота, чем может использовать растение. Его избыток остаётся в почве и становится доступен для других растений. Уплотнённые посевы с бобовыми позволяют снизить потребность растений в азотных удобрениях. Существуют коммерческие инокуляты Bradyrhizobium, которые в виде торфа или жидкости можно вносить в почву при посеве семян.
Представители
- Bradyrhizobium betae выделенный из корневых опухолей сахарной свёклы; имеют неясный симбиотический статус[9].
- Bradyrhizobium elkanii, Bradyrhizobium diazoefficiens и Bradyrhizobium liaoningense состоят в симбиотических отношениях с соей[9].
- Bradyrhizobium japonicum образует клубеньки с соей, коровьим горохом, машем и Macroptilium atropurpureum[9].
- Bradyrhizobium yuanmingense образует клубеньки с Lespedeza[9].
- Bradyrhizobium canariense образует клубеньки с представителями Genistoid, эндемиками Канарских островов. Также обнаружена в люпине и сераделле из западной Австралии и южной Африки[9].
Примечания
- List of Prokaryotic names with Standing in Nomenclature — Bradyrhizobium. Дата обращения: 20 июля 2010. Архивировано 4 мая 2010 года.
- Kalita M., Małek W. Genista tinctoria microsymbionts from Poland are new members of Bradyrhizobium japonicum bv. Genistearum // Systematic and Applied Microbiology. — 2010. — Vol. 33, № 5. — P. 252—259. — doi:10.1016/j.syapm.2010.03.005. — PMID 20452160.
- Somasegaran P. Handbook for Rhizobia: Methods in Legume-Rhizobium Technology. — New York: Springer-Verlag, 1994. — P. 1–6, 167. — ISBN 0-387-94134-7.
- King G. Molecular and culture-based analyses of aerobic carbon monoxide oxidizer diversity // Applied and Environmental Microbiology. — 2003. — Vol. 69, № 12. — P. 7257–7265. — doi:10.1128/aem.69.12.7257-7265.2003. — PMID 14660374.
- Bott M., Thöny-Meyer L., Loferer H., Rossbach S., Tully R. E., Keister D., Appleby C. A., Hennecke H. Bradyrhizobium japonicum cytochrome c550 is required for nitrate respiration but not for symbiotic nitrogen fixation // Journal of Bacteriology. — 1995. — Vol. 177, № 8. — P. 2214—2217. — PMID 7721713.
- Polcyn W., Luciński R. Aerobic and anaerobic nitrate and nitrite reduction in free-living cells of Bradyrhizobium sp. (Lupinus) // Microbiology letters. — 2003. — doi:10.1016/S0378-1097(03)00620-7.
- Gourion B., Delmotte N., Bonaldi K., Nouwen N., Vorholt J. A., Giraud E. Bacterial RuBisCO is required for efficient Bradyrhizobium/Aeschynomene symbiosis. — 2011. — Vol. 6, № 7. — P. e21900. — doi:10.1371/journal.pone.0021900.
- A tropical bacterium, which is photosynthetic, fixes nitrogen, and is both a symbiote of legumes and an endophyte of rice
- Rivas R., Martens M., De Lajudie P., Willems A. Multilocus sequence analysis of the genus Bradyrhizobium // Systematic and Applied Microbiology. — 2009. — Vol. 32. — P. 101–10. — doi:10.1016/j.syapm.2008.12.005. — PMID 19201125.
- Salter S., Cox M., Turek E., Calus S., Cookson W., Moffatt M., Turner P., Parkhill J., Loman N., Walker A. Reagent contamination can critically impact sequence-based microbiome analyses // bioRxiv. — 2014. — doi:10.1101/007187.
- Kulakov L., McAlister M., Ogden K., Larkin M., O'Hanlon J. Analysis of bacteria contaminating ultrapure water in industrial systems // Applied and Environmental Microbiology. — 2002. — Vol. 68. — P. 1548—1555. — doi:10.1128/AEM.68.4.1548-1555.2002. — PMID 11916667.
