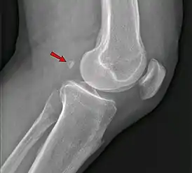
Фабелла
Фабелла — небольшая сесамовидная кость, обнаруженная у некоторых млекопитающих, встроенная в сухожилие боковой головки икроножной мышцы позади латерального мыщелка бедренной кости. Это дополнительная кость, анатомическая вариация, присутствующая у 39 % людей[1][2]. В редких случаях таких костей бывает две или три (fabella bi- или tripartita). Эту кость можно принять за дряблое тело или остеофит. Слово fabella — это латинское уменьшительное от слова faba, означающего «фасоль»[3].
| Фабелла | |
|---|---|
| |
| Каталоги | |
Среди людей фабелла чаще встречается у мужчин, чем у женщин, и у пожилых по сравнению с более молодыми. Существуют большие региональные различия, при этом фабеллы чаще всего встречаются у людей, живущих в Азии и Океании, и наименее распространены у людей, живущих в Северной Америке и Африке. Двусторонние случаи (по одному на колено) более распространены, чем односторонние (по одному на человека), и в отдельных случаях фабеллы в равной степени могут присутствовать в правом или левом колене. Эти данные предполагают, что способность образовывать фабеллу может контролироваться генетически, но окостенение фабеллы может контролироваться окружающей средой[4].
Хотя фабелла, похоже, исчезла с эволюцией гоминид, она снова появилась у людей через некоторое время после того, как они отделились от шимпанзе. Неизвестно, появилась ли она снова вскоре после этого расхождения, 5—7 млн лет назад или совсем недавно в ходе эволюции человека[5].
«Фабелла может вызывать заднебоковую боль в колене либо из-за размягчения хряща (chondromalacia fabellae), либо из-за других остеоартрозных изменений на его суставной поверхности»[6].
См. также
- Знак фабеллы
Примечания
- Berthaume, Michael A. (April 17, 2019). “Fabella prevalence rate increases over 150 years, and rates of other sesamoid bones remain constant: a systematic review”. Journal of Anatomy. Wiley. 235 (1): 67—79. DOI:10.1111/joa.12994. PMID 30994938.
- Sore knee? Maybe you have a fabella, BBC News (19 April 2019).
- Egerci, OF (2017). “Prevalence and distribution of the fabella: a radiographic study in Turkish subjects”. Folia Morphol (Warsz). 76 (3): 478—483. DOI:10.5603/FM.a2016.0080.
- Berthaume, Michael A. (October 17, 2019). “Human biological variation in sesamoid bone prevalence: the curious case of the fabella”. Journal of Anatomy. Wiley. DOI:10.1111/joa.13091.
- Sarin, Vineet K. (1999). “Coincident development of sesamoid bones and clues to their evolution”. The Anatomical Record. Wiley. 257 (5): 174—180. DOI:10.1002/(SICI)1097-0185(19991015)257:5<174::AID-AR6>3.0.CO;2-O.
- Dannawi, Z. (20 January 2010). “Arthroscopic Excision of the Fabella –”. Journal of Knee Surgery. 20 (4): 299—301. DOI:10.1055/s-0030-1248063. PMID 17993073.
Литература
- Duncan, W (September 2003). “Clinical anatomy of the fabella”. Clin Anat. 16: 448—9. DOI:10.1002/ca.10137. PMID 12903068.
- Вернер, Платцер: Цветовой атлас анатомии человека, Vol. 1: Опорно-двигательная система (7-е изд.), Опубликовано Thieme, 2015 (ISBN 978-3-13-533306-9)
