Уротелий
Уротелий (переходноклеточный, переходный эпителий) покрывает пути мочеполового выделения, уротелий является многослойным эпителием эпидермоидного гистиотипа. Выстилает почечные лоханки, мочеточники, мочевой пузырь и проксимальную часть уретры. В зависимости от локализации имеет толщину в 5–8 слоев клеток[2].
| Уротелий | |
|---|---|
| лат. urothelium | |
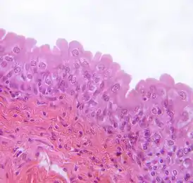
![]() Уротелий мочевого пузыря. | |
![]() Поперечный срез мочеточника. | |
| Каталоги | |
При хроническом воспалении и опухолевом росте он способен к плоскоклеточной или железистой метаплазии[3].
Имеет три зоны (три слоя): базальный слой имеет связь с базальной мембраной; черепичные слои (промежуточная зона) не имеет связи с базальной мембраной; поверхностный слой — фасеточные клетки (зонтичные клетки) обладают белковыми комплексами, которые в каждой клетке состоят из шести субъединиц. Функция субъединиц — непроницаемость.
См. также
Примечания
- Urothelium // Foundational Model of Anatomy
- Аничков Н. М., Толыбеков А. С. Уротелий: норма, воспаление, опухоль. — Алма-Ата, 1987.
- Васютин И.А., Люндуп А.В., Винаров А.З., Бутнару Д.В., Кузнецов С.Л. Реконструкция уретры с помощью технологий тканевой инженерии. Вестник Российской академии медицинских наук. 2017; 72(1): 17-25.
This article is issued from Wikipedia. The text is licensed under Creative Commons - Attribution - Sharealike. Additional terms may apply for the media files.

