Тельца Леви
Тельца́ Ле́ви — патологические белковые образования внутри нейронов. Были впервые обнаружены немецким неврологом Фредериком Леви в 1912 году. Существует два морфологических типа телец Леви:
- Классические тельца Леви, встречающиеся в базальных ганглиях.
- Корковые тельца Леви, скапливающиеся в коре височных и лобных долей мозга.

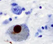
Окрашивание на альфа-форму белка синуклеина выделяет тельце Леви в нейроне.
Классические тельца Леви представляют собой эозинофильные цитоплазматические включения, состоящие из плотного ядра, окруженного ореолом из радиально расходящихся фибрилл шириной в 10 нанометров. Корковые тельца Леви имеют менее устойчивую форму и лишены ореола волокон. Тельца Леви состоят из различных белков, жирных кислот, полисахаридов. Основными белковыми компонентами этих включений являются альфа-синуклеин, белки нейрофиламентов, убиквитин.[1]
См. также
Литература
- E. Forster and F. H. Lewy. «Paralysis agitans». In Pathologische Anantomie. Handbuch der Neurologie (edited by M. Lewandowsky). Berlin: Springer Verlag 1912, 920—933
Примечания
This article is issued from Wikipedia. The text is licensed under Creative Commons - Attribution - Sharealike. Additional terms may apply for the media files.