Стеатоз печени
Стеатоз печени (жировой гепатоз, жировая инфильтрация печени) — наиболее распространённый гепатоз, при котором в печёночных клетках происходит накопление жира. Накопление жира может быть реакцией печени на различные токсические воздействия, иногда этот процесс связан с некоторыми заболеваниями и патологическими состояниями организма.
| Стеатоз печени | |
|---|---|
![]() Микропрепарат ткани печени при неалкогольной жировой болезни печени: макровезикулярный стеатоз гепатоцитов. | |
| МКБ-10 | K70, K76.0 |
| МКБ-10-КМ | K70.0 |
| МКБ-9 | 571.0, 571.8 |
| МКБ-9-КМ | 571.0[1][2] |
| OMIM | 228100 |
| DiseasesDB | 18844 |
| eMedicine | med/775 article/170409 |
| MeSH | D005234 |
Причины стеатоза
Основными причинами стеатоза печени являются:
- нарушение обмена веществ — например, сахарный диабет, ожирение, гипертриглицеридемия
- действие токсических факторов — алкоголя, некоторых токсических веществ, лекарственных препаратов
- несбалансированное питание (переедание, голодание, недостаток белка в пище)
- хронические заболевания пищеварительной системы с синдромом нарушенного всасывания и др.
- синдром Кушинга
- микседема
- дефицит лизосомной кислой липазы
Жировая инфильтрация печени, не связанная с действием алкоголя или других токсических веществ называется первичным или неалкогольным стеатозом (неалкогольной жировой болезнью печени). Таким образом, далеко не всегда поражение печени связаны с действием токсических факторов (алкоголя, лекарственных препаратов).
Сегодня распространенность неалкогольной жировой болезни печени весьма значительна. Примерно у четверти населения развитых стран выявляется стеатоз печени, а у 3,5—11 % — неалкогольный стеатогепатит, включая цирроз печени. У тучных людей неалкогольная жировая болезнь печени диагностируется намного чаще, чем у лиц с нормальным весом.
Факторы риска тяжелого течения заболевания:
- возраст старше 45 лет
- патологическое ожирение
- сахарный диабет 2 типа
- генетические факторы
- женский пол
Клиническая картина
Обычно стеатоз характеризуется стабильным, не прогрессирующим течением. Если же к жировой инфильтрации присоединяется воспалительный процесс, то есть развивается стеатогепатит, то заболевание часто прогрессирует с образованием фиброза печени (у 30—40 % больных) и цирроза (приблизительно у 10 %). Необходимо отметить возможность обратного развития неалкогольной жировой болезни на фоне снижения веса. У большинства пациентов симптомы, характерные для заболеваний печени, отсутствуют. Иногда имеются жалобы на тяжесть и неприятные ощущения в правом верхнем квадранте живота, усиливающиеся при движении, утомляемость, слабость, тошноту. Нередко заболевание диагностируется случайно, при ультразвуковом исследовании печени, когда обнаруживается её увеличение и гиперэхогенность или «яркость» ткани печени вследствие диффузной жировой инфильтрации.
Диагностика

Методами диагностики являются:
- транзиентая эластография
- УЗИ печени
- компьютерная томография и магнитно-резонансная томография
- биопсия печени
Наиболее часто при постановке диагноза специалисты используют технологию транзиентной эластографии (ТЭ), которая является наиболее широко проверенной и доступной, а также позволяет диагностировать заболевания печени на ранней стадии. ТЭ имеет точность >95% (у пациентов, которые не страдают ожирением), предоставляет результаты в реальном времени и занимает всего несколько минут.
Также, часто прибегают к УЗД печени, во многих случаях пациенты ранее даже не подозревали о наличии у них жировой дистрофии печени. При ультразвуковой диагностике наблюдается равномерное увеличение печени, диффузное повышение её эхогенности (иногда выраженное), с сохранением её однородности (хотя при прогрессировании процесса появляется характерная «зернистость» паренхимы, свидетельствующая о начале развития стеатогепатита и гепатита).
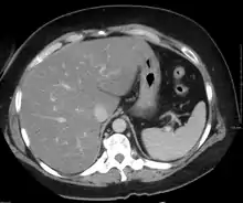
При компьютерной томографии выявляется в разной степени выраженное диффузное снижение денситометрических показателей паренхимы печени (ниже 55 HU, иногда вплоть до отрицательных значений, соответствующих плотности жира), как правило отмечается увеличение размеров органа. Возможно выявление ограниченных участков жировой инфильтрации, окружённых неизменённой тканью печени. Чаще локальная жировая инфильтрация наблюдается в сегменте S4 печени, имеет довольно ровные, прямые контуры, ход сосудов в инфильтрированной жиром ткани не изменён, масс-эффект (объёмное воздействие на окружающие структуры) отсутствует.
Жировая дистрофия в ветеринарии
В условиях интенсификации животноводства жировой гепатоз наиболее широко распространен у высокопродуктивных коров, откармливаемого скота. Часто болеют свиньи, пушные звери, собаки, животные зоопарков. К причинам первичного гепатоза относится скармливание недоброкачественных, испорченных кормов. Особенно опасны для печени токсины патогенных грибов, продукты гниения белка, прогорклые жиры. Дистрофию печени вызывают алкалоиды люпина, соланин картофеля, госсипол хлопчатникового жмыха[3].
Исход
Исход гепатита зависит от характера и течения, от распространенности процесса, степени поражения печени и ее репаративных возможностей. В легких случаях возможно полное восстановление структуры печеночной ткани. При остром массивном повреждении печени, как и при хроническом гепатите, возможно развитие цирроза.
См. также
Примечания
- база данных Disease ontology (англ.) — 2016.
- Monarch Disease Ontology release 2018-06-29sonu — 2018-06-29 — 2018.
- Б. В. Уша и др. Внутренние болезни животных. — М.: КолосС, 2010. — 311 с.
