Спондилит
Спондилит — воспалительное заболевание позвоночника. Является одной из форм спондилопатии. При спондилите происходит первичное разрушение тел позвонков, что приводит к деформации позвоночника.

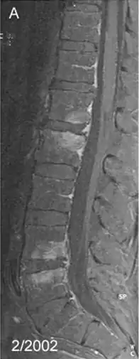
Спондилит, вызванный Tropheryma whipplei
Спондилит может быть специфическим, например туберкулез позвоночника, сифилитический, гонорейный и др., а также неспецифический: гематогенный гнойный спондилит, а также болезнь Бехтерева.
Ссылки
- Спондилит // Энциклопедический словарь Брокгауза и Ефрона : в 86 т. (82 т. и 4 доп.). — СПб., 1890—1907.
- Spondylitis FAQ
- Спондилит в Большой медицинской энциклопедии
This article is issued from Wikipedia. The text is licensed under Creative Commons - Attribution - Sharealike. Additional terms may apply for the media files.