Синдром Сусака
Синдром Сусака — крайне редкое заболевание, поражающее артериолы улитки, сетчатки и головного мозга, чаще встречающееся у женщин. Васкулит имеет аутоиммунную природу, и ранее это заболевание часто относилось к серонегативной форме системной красной волчанки. Впервые этот синдром был описан в 1979 г. доктором Джоном Сусаком (J.O. Susak) в журнале Neurology. Его именем в 1994 году и было названо это заболевание, также известное как ретино-кохлео-церебральная васкулопатия[2].
| Синдром Сусака | |
|---|---|
| |
| МКБ-10-КМ | I67.7 |
| МКБ-9 | xxx |
| МКБ-9-КМ | 348.39[1] |
| DiseasesDB | 32752 |
| MeSH | D055955 |
Признаки
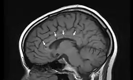
К основным признакам синдрома Сусака относят двустороннюю нейросенсорную тугоухость, ишемическую ретинопатию и подострую энцефалопатию, однако на ранних стадиях могут присутствовать не все признаки данной триады, что значительно осложняет диагностику. При проведении инструментальной диагностики на себя обращают внимание множественные очаги, в отличие от системных васкулитов накапливающие контраст, в перивентрикулярной зоне, мозжечке и мозолистом теле, редко — единичные очаги в сером веществе головного мозга. Отсутствие очагов в спинном мозге позволяет проводить дифдиагностику с рассеянным склерозом. Изменения сосудов сетчатки с признаками окклюзии артериол и без признаков демиелинизирующих процессов тоже характерны для заболевания[3]. В 2017 году американские ученые Университета Мэриленд установили, что синдром Сусака был той загадочной болезнью[4], которой страдал испанский художник Франсиско Гойя, и которая послужила причиной глухоты, поразившей художника в 1793 году [5].
Лечение
Следует признать, что в настоящее время нет общепринятого алгоритма лечения синдрома Сусака. Для некоторых пациентов эффективна монотерапия с использованием глюкокортикостероидов, циклофосфамида и иммуноглобулинов. У других пациентов хорошие результаты дает одновременное использование этих агентов в различных комбинациях. Также сообщалось о положительном влиянии плазмафереза и гипербарической оксигенации.
Примечания
- Monarch Disease Ontology release 2018-06-29sonu — 2018-06-29 — 2018.
- Бекетова Т. В., Коновалов Р. Н. Синдром Сусака (ретино-кохлео-церебральная васкулопатия. // Научно-практическая ревматология, 2018. С. 249–252.
- Ольшанецка-Глинянович М., Грицек А. Синдром Сусака. Пер. с англ. Н. Д. Фирсовой (2018)
- La maladie du célèbre peintre Goya a enfin été diagnostiquée (фр.). Sciences et Avenir. Дата обращения: 1 января 2021.
- Colette Dehalle. La maladie de Goya enfin identifiée (фр.). Podcast Journal, l'information internationale diffusée en podcast. Дата обращения: 1 января 2021.
