Симптом «матового стекла»
Симпто́м «ма́тового стекла́» — неспецифический радиологический симптом, отражающий различные патологические изменения в лёгочной ткани на уровне альвеол. Визуализируется при компьютерной томографии как туманное, матовое снижение прозрачности лёгочной ткани с дифференцируемым рисунком сосудов и бронхов на этом фоне. Данный симптом может быть обусловлен частичным снижением воздушности лёгочных альвеол (транссудативной, экссудативной или иной природы), их частичным спадением (гиповентиляцией) или утолщением их стенок. Так как данный симптом неспецифичен, необходимо иметь в виду анамнестические данные, клиническую картину и сопутствующую патологию. В связи с известной субъективностью оценки наличия симптома «матового стекла», следует учитывать параметры сканирования и визуализации; так, слишком узкое лёгочное окно создаёт «пятнистость» изображения, искажающую истинную картину, а низкое разрешение и большая толщина срезов (более 4 мм) создают эффект усреднения, скрадывающий и размывающий мелкие детали.
| Симптом «матового стекла» | |
|---|---|
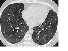
Пациент с экзогенным аллергическим альвеолитом. Обширные зоны снижения воздушности лёгочной ткани по типу «матового стекла», на фоне которых определяются «воздушные ловушки». | |
| Вид исследования | компьютерная томография |
| Область исследования | грудная клетка |
| Заболевания | неспецифический симптом |
Типы распределения
Диффузные и фокальные изменения
Пневмонии и пневмониты любой этиологии (бактериальной, вирусной, грибковой и т. д.) являются одной из наиболее распространённых причин фокального или диффузного симптома «матового стекла», который может отражать либо неполное заполнение просвета альвеол содержимым (при начальных или остаточных воспалительных проявлениях), либо инфильтрацию альвеолярных стенок (внутридолькового интерстиция). Фокальные участки снижения воздушности альвеол по типу «матового стекла» при бактериальной пневмонии более типичны на фоне иммунодефицита, реже — у иммунокомпетентных пациентов[1]. Паттерн диффузного или диффузно-мозаичного «матового стекла», не сопровождающийся какими-либо иными изменениями, может свидетельствовать о пневмоцистной пневмонии. Цитомегаловирусная пневмония также может проявляться лишь этим паттерном, но может дополняться расширением бронхов и утолщением их стенок, участками консолидации, часто присутствует плевральный выпот. Наряду с инфекционными пневмонитами, симптом диффузного «матового стекла» сопровождает и различные варианты неинфекционного поражения внутридолькового интерстиция — идиопатические интерстициальные пневмонии, экзогенный аллергический альвеолит и др.
Помимо воспалительного процесса, диффузное снижение воздушности лёгочной ткани по типу «матового стекла» с утолщением междольковых перегородок может быть обусловлено отёком лёгких, острой посттрансплантационной реакцией. Схожая КТ-картина может выявляться в острой фазе диффузного альвеолярного кровотечения; распространённость зон «матового стекла» варьирует в зависимости от распространённости геморрагического пропитывания.
Перифокальный тип
Симптом «матового стекла» может отмечаться вокруг очагов уплотнения лёгочной ткани («симптом ореола»). Такая картина впервые была описана и считается типичной для раннего инвазивного аспергиллёза лёгких, хотя и не является достаточно специфичной; так, описаны случаи симптома ореола вокруг инфекционных, злокачественных очагов поражения лёгких. Подобная картина может наблюдаться вокруг «псевдоочагов» после биопсии лёгкого.
Мозаичный тип
Мозаичный паттерн распределения матового стекла может наблюдаться при инфильтративных (воспалительных, геморрагических и др.) изменениях лёгочной ткани, при неравномерной перфузии лёгких из-за хронической патологии лёгочных артерий (например, при хронической тромбоэмболии) или при обструкции терминальных отделов бронхиального дерева (облитерирующий бронхиолит, бронхиальная астма). Дифференцировать данные состояния (помимо соответствующих анамнеза и клинической картины) помогает анализ лёгочного рисунка на фоне относительно более плотной, «матовой» ткани. При инфильтративных изменениях картина лёгочного рисунка в смежных областях существенно не отличается; при обструктивных или гипоперфузионных изменениях лёгочный рисунок относительно более обогащён на фоне участков «матового стекла» (то есть, в действительности, неизменённой лёгочной ткани). Дифференцировать наличие экспираторного вздутия лёгочной ткани помогает КТ-исследование в фазе выдоха, способствующее выявлению «воздушных ловушек».
Множественные чётко отграниченные участки пониженной воздушности по типу «матового стекла», на фоне которых отмечается выраженное уплотнение интерстиция, в большей степени междолькового, характерны для альвеолярного протеиноза лёгких (такая картина носит название симптома «сумасшедшей исчерченности» или «булыжной мостовой»).
Источники
- Jannette Collins, MD and Eric J. Stern, MD Ground glass opacity on CT scanning of the chest: What does it mean? (недоступная ссылка). Applied Radiology (1998). Дата обращения: 1 февраля 2012. Архивировано 18 мая 2012 года.
- Георгиади С.Г., Котляров П.М Компьютерно - томографические признаки диффузных заболеваний легких. Вестник Российского Научного Центра рентгенорадиологии (2004). Дата обращения: 1 февраля 2012.
- M. Vogel, MD; H. Brodoefel, MD, T. Hierl, MD, R. Beck, MD, W.A. Bethge, MD, C.D. Claussen, PROF and M.S. Horger, MD. Differences and similarities of cytomegalovirus and pneumocystis pneumonia in HIV-negative immunocompromised patients – thin section CT morphology in the early phase of the disease. British Journal of Radiology (2006). Дата обращения: 1 февраля 2012. Архивировано 18 мая 2012 года.
Примечания
- Hans-Ulrich Kauczor, M.D. Pneumonia in immunocompromized patients (недоступная ссылка — история ). Дата обращения: 12 апреля 2012.
