Постсинаптическое уплотнение
Постсинаптическое уплотнение, ПСУ (англ. Postsynaptic density, PSD) — плотная зона, присутствующая в некоторых синапсах, обычно глутаматергических, с внутренней стороны постсинаптической мембраны, и содержащая сложные конструкции из глутаматных рецепторов, молекул клеточной адгезии, белков цитоскелета и других. Многие белки ПСУ содержат PDZ-домены.

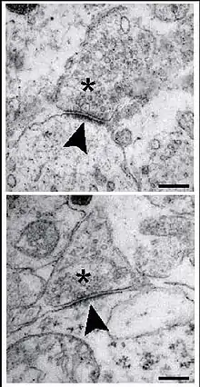
Нейроны ствола мозга, 18-дневный эмбрион мыши. В синапсах заметны пресинаптические везикулы (отмечены звёздочками), видны синаптические щели и постсинаптические уплотнения (отмечены стрелками). Шкала 250 нм. Heupel et al., 2008.
В постсинаптическом уплотнении встречается белок PSD-95, Нейролигины, NMDA-рецепторы, AMPA-рецепторы, CaMKII.
This article is issued from Wikipedia. The text is licensed under Creative Commons - Attribution - Sharealike. Additional terms may apply for the media files.