Острый миелобластный лейкоз с минимальной дифференциацией
Острый миелоидный лейкоз с минимальной дифференциацией является подтипом ОМЛ. Он классифицируется как M0 по ФАБ. Эта форма ОМЛ встречается с частотой 2-3 % от всех случаев ОМЛ.[1] Хотя существование ОМЛ с минимальной дифференциацией было установлено ранее, чёткие диагностические критерии для подтипа ФАБ М0 были разработаны только в 1991 году.[2] Бластные клетки в подобных случаях не могут быть распознаны как миелоидные на основании их цитоморфологии и цитохимии, однако иммунофенотипирование клеток демонстрирует наличие у них миелоидных антигенов.[3]
| Острый миелоидный лейкоз с минимальной дифференциацией | |
|---|---|
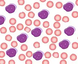
![]() Фотография, показывающая, как выглядит ОМЛ с минимальной дифференциацией (подтип M0) под микроскопом. В бластах отсутствуют тельца Ауэра. | |
| МКБ-11 | XH90G0 |
| МКБ-О | M9872/3 |
| MeSH | D015470 |
Цитогенетические, цитохимические и молекулярные особенности
При минимально дифференцированном остром миелобластном лейкозе (тип ФАБ М0) в бластных клетках отсутствуют гранулы. Реакция на миелопероксидазу отрицательна. Тельца Ауэра отсутствуют. При иммунофенотипировании бластные клетки реагируют с антителами к миелопероксидазе и антителами к поверхностным антигенам CD13, CD33 и CD34. Антиген гистосовместимости HLA-DR в большинстве случаев положителен. В некоторых случаях для постановки диагноза требуется FISH для идентификации экспрессии миелопероксидазного гена или геномное профилирование для выявления генов, экспрессия которых характерна для ранних миелоидных клеток-предшественников.[4]
Аномальные, атипичные и прогностически неблагоприятные варианты кариотипов ОМЛ (например, утрата длинного плеча хромосомы 5 — 5q-, или утрата длинного плеча хромосомы 7 — 7q-) часто встречаются при этом типе ОМЛ и характерны для него. Также характерна повышенная по сравнению с другими типами ОМЛ экспрессия гена множественной лекарственной устойчивости (MDR), гликопротеина P-glycoprotein p170. Это предопределяет плохой ответ на химиотерапию и частое наличие первичной резистентности, либо её быстрое приобретение в процессе лечения.[5]
Прогноз
В целом, минимально дифференцированный ОМЛ имеет плохой прогноз.[6]
Примечания
- Kumar V., Abbas A. K., Fausto N., Mitchel R. N. Robbins basic Pathology (неопр.). — 8th. — Saunders, 2007.
- Lee E.J., Pollak A., Leavitt R.D., Testa J.R., Schiffer C.A. Minimally differentiated acute nonlymphocytic leukemia: a distinct entity (англ.) // Blood : journal. — American Society of Hematology, 1987. — November (vol. 70, no. 5). — P. 1400—1406. — PMID 3663939. (недоступная ссылка)
- Greer J. P., Foerster J., Lukens J. N. Wintrobe's Clinical Hematology (неопр.). — 11th. — Lippincott Williams & Wilkins, 2003.
- Testa U., Torelli G.F., Riccioni R., et al. Human acute stem cell leukemia with multilineage differentiation potential via cascade activation of growth factor receptors (англ.) // Blood : journal. — American Society of Hematology, 2002. — June (vol. 99, no. 12). — P. 4634—4637. — doi:10.1182/blood.V99.12.4634. — PMID 12036900. (недоступная ссылка)
- Lichtman M., et al. Williams Hematology (неопр.). — 7th. — McGraw-Hill Education, 2005.
- Cuneo A., Ferrant A., Michaux J.L., et al. Cytogenetic profile of minimally differentiated (FAB M0) acute myeloid leukemia: correlation with clinicobiologic findings (англ.) // Blood : journal. — American Society of Hematology, 1995. — June (vol. 85, no. 12). — P. 3688—3694. — PMID 7780152. (недоступная ссылка)
См. также
- Острый миелоидный лейкоз
- Острый миелобластный лейкоз без созревания — M1 по классификации ФАБ — M9873/3
- Острый миелобластный лейкоз с созреванием — M2 по классификации ФАБ — M9874/3
