Корневой канал зуба
Корнево́й кана́л зу́ба (лат. canalis radicis dentis) — представляет собой анатомическое пространство внутри корня зуба. Данное природное пространство в пределах коронковой части зуба состоит из пульповой камеры, которая соединяется одним или несколькими основными каналами, а также более сложными анатомическими ответвлениями, которые могут соединить корневые каналы друг с другом или с поверхностью корня зуба.

Анатомия

Внутри зуба располагается полость, состоящая из пульповой камеры и корневого канала зуба. Через специальное (апикальное) отверстие, расположенное в верхушке корня (части зуба, расположенной глубоко в альвеоле и покрытой десной), в зуб проникают артерии, которые доставляют все необходимые вещества, вены, а также нервы, осуществляющие иннервацию зуба. Количество корней зависит от формы и положения зуба в ротовой полости: резцы и клыки имеют единственный корень, премоляры 1—2, число корней у моляров 3—4, а у зубов мудрости в редких случаях достигает пяти[1]. Однако, количество основных корневых каналов зуба далеко не всегда коррелирует с количеством корней. Зачастую корни зуба, кроме апикальных, имеют дополнительные отверстия — канал может раздваиваться как возле пульпы, так и в районе вершины корня (апекса): в таком случае корень обладает двумя верхушками. Встречаются варианты параллельного расположения каналов в пределах одного корня. Например, однокоренной клык чаще всего двухканальный и только в 6% случаев имеет единственный канал. В свою очередь, центральный нижний резец в 2/3 случаев имеет два канала. Корневые каналы зубов зачастую обладают неправильной формой, изогнуты и имеют узкий ход, что существенно затрудняет процесс их пломбировки[2]. Сложный комплекс разветвлённых, извитых, пересекающихся основных и дополнительных каналов, принимающих различные формы и вариабельные конфигурации, не всегда описанные в учебниках анатомии, получил название система корневых каналов[3].
Классификация конфигураций корневых каналов
В 1984 Vertucci идентифицировал восемь различных конфигураций корневых каналов зубов[3]:
- к I типу относятся корни, имеющие один канал и одно апикальное отверстие (при этом, речь идёт о любом канале в отдельно взятом корне);
- II—III типы наиболее часто встречаются в премолярах верхней и нижней челюсти, имеют разветвления на разных уровнях корня зуба, которые затем сливаются и заканчиваются одним апикальным отверстием (разделение носит теоретический характер и весьма условно, поэтому согласно классификации Vertucci II и III типы объединены в одну группу);
- IV тип (речь идёт о каждом корне отдельно) имеет единственное устье и два отдельных корневых канала, которые заканчиваются двумя обособленными апикальными отверстиями;
- V, VI и VII типы описывают варианты разделения, слияния и расхождения корневых каналов, которые в основном встречаются в нижних резцах;
- тип VIII представляет возможные варианты IV типа, когда из единственного устья расходятся три канала, заканчивающиеся тремя отдельными апикальными отверстиями.
Предложенная Vertucci классификация относится к каждому отдельному корню, поэтому в различных корнях многокорневых зубов могут встречаются любые комбинации типов. Следует подчеркнуть, что данная классификация даёт весьма грубую и приблизительную схему возможных вариантов систем корневых каналов. Таким образом, представленные схемы на практике могут отличаться вариабельностью, встречаться в разных комбинациях, создавая весьма сложную топографию системы корневых каналов. Особую настороженность должны вызывать у клиницистов случаи наличия множественных апикальных отверстий, имеющие немаловажное значение в возникновении возможных осложнений после проведения эндодонтического вмешательства[3]. Именно поэтому практикующие врачи-стоматологи перед началом процедуры депульпирования проводят рентгенографическое обследование, позволяющее достоверно определить тип и количество корневых каналов в зубе[2].
Лечение


Наиболее частыми причинами повреждения или отмирания пульпы являются наличие трещины, либо глубокой кариозной полости в зубе[4]. В стоматологической практике в процессе эндодонтического лечения острого гнойного и хронического пульпита производится механическая и медикаментозная обработка системы корневых каналов зуба (депульпирование — удаление сосудов и нерва) с последующей пломбировкой (герметичной обтурацией) канала(ов). Данный вид лечения исполняется в двух вариантах:
- девитальная экстирпация — удаление сосудисто-нервного пучка проводится за 2 посещения. При первом создаётся сообщение с пульпарной камерой зуба, в которую накладывают девитализирующую пасту (так называемый «мышьяк», который уже практически не используется и заменён менее токсичной пастой на основе параформальдегида и анестетика).
- витальная экстирпация — при отсутствии выраженных воспалительных явлений, переходящих в периодонт, удаление сосудисто-нервного пучка и его обтурация проводится под анестезией в одно посещение. В канале оставляют лекарство (для антисептики и снятия воспаления). В процессе лечения необходимо сделать как минимум 2 рентгеновских снимка: первый — до начала лечения (для оценки длины и структуры каналов), а второй — после (для оценки качества пломбирования каналов).
После депульпирования зуб становится «мёртвым» (прекращается его кровоснабжение). В связи с тем, что полная стерилизация такого зуба невозможна[5][6], в нём могут развиваться бактерии, которые защищены от действия иммунной системы хозяина и антибиотиков. Гипотетически, они могут стать причиной инфекции организма при серьёзном ослаблении иммунитета, например, при лечении рака[7].
Депульпированный зуб впоследствии нуждается в армировании (фиксации штифтом из стекловолокна, титана, серебра) и/или (по показаниям) покрытии коронкой.
Возможные осложнения

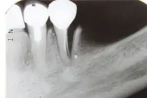
![]() |
![]() | |
Перфорация корня: слева рентгенограмма, справа — удалённый зуб (показан ход экстрактора) | ||
Планирование, а также решение поставленных задач формирования, очистки и обтурации корневых каналов в ходе эндодонтического лечения чреваты реальными и потенциальными опасностями, связанными со сложностью анатомического строения системы корневых каналов, а также техническими особенностями их инструментальной обработки, дезинфекции и пломбирования. В процессе эндодонтического лечения и после заполнения корневых каналов зуба могут возникать проблемы:
- непроходимость корневого канала, связанная с особенностями анатомического строения зуба (извитой ход, разветвлённость);
- наличие особо стойких болезнетворных микроорганизмов (лат. Enterococcus faecalis и лат. Candida albicans), резистентных к действию антисептиков, либо повторно проникших через дентинные трубочки;
- апикальный периодонтит;
- периостит;
- ятрогенные ошибки (например, перфорация корня[8][9]);
- перелом корня зуба.
Воспалительный процесс будет неизменно и планомерно разрушать слои зуба, провоцируя нестерпимую боль и неприятные последствия, главным из которых может стать потеря зуба. Кроме того, в некоторых случаях может потребоваться резекция корня или перепломбировка корневых каналов зуба. При этом основной задачей стоматолога является максимально полное заполнение канала корня пломбировочным материалом, предотвращающим возможное появление воспаления в дальнейшем. С этой целью широко применяются определённые пломбировочные составы, в состав которых добавлены антисептики. Для достижения поставленной цели в современных реалиях зачастую практикуются механические, а также медикаментозные методы. Механическая обработка корневых каналов может осуществляться при помощи соответствующих инструментов и современного оборудования, вплоть до эндодонтических моторов и так далее. В процессе медикаментозной распломбировки корневых каналов используют препараты, изготовленные на основе органических растворителей, которые способны изменять структуру пломбы. Альтернативным способом распломбировки каналов, заполненных цементом является использование специальных ультразвуковых эндонасадок, с помощью которых пломба удаляется за одно посещение стоматолога. Этот метод широко применяется в случаях, когда анкерный штифт не был установлен одномоментно с обтурацией корневого канала для распломбировки ранее вылеченного зуба под анкерный штифт для последующей реставрации коронки. Выполнение такой операции требует особой аккуратности, поскольку для последующей установки штифта необходимо сохранить часть пломбы, которая должна герметично закрывать верхушку корневого канала[10].
Примечания
- Полость моляров верхней челюсти. Дата обращения: 5 апреля 2015.
- Сколько в зубе каналов. Дата обращения: 5 апреля 2015.
- Корневые каналы зубов. Дата обращения: 5 апреля 2015.
- Что такое корневой канал?. Дата обращения: 5 апреля 2015.
- Endodontics // American Association of Endodontists, 2011: "Complexity of the root canal system, invasion of the dentinaltubules by microorganisms, formation of smear layer during instrumentation and presence of dentin as a tissue are the major obstacles for complete elimination of bacteria during cleaning and shaping of root canal systems. The bacterial population of infected root canals can be significantly reduced ... None of these irrigants has all of the characteristics of an ideal irrigant. ... The search for an ideal material and/or technique to completely clean infected root canals continues." (англ.)
- Siqueira Jr, José F., and Isabela N. Rôças. "Clinical implications and microbiology of bacterial persistence after treatment procedures Архивная копия от 24 сентября 2015 на Wayback Machine." Journal of Endodontics 34.11 (2008): 1291-1301. "Successful treatment does not necessarily sterilize the root canal but reduces bacterial populations to subcritical levels .." (англ.)
- Root Canals Contain Toxic Bacterium (англ.) (недоступная ссылка). Дата обращения: 5 апреля 2015. Архивировано 20 февраля 2015 года.
- Reinhard Marxkors: Lehrbuch der zahnärztlichen Prothetik. 4., überarbeitete Auflage. Deutscher Zahnärzte-Verlag, Köln 2007, ISBN 978-3-7691-3353-0, S. 69 (нем.)
- Michael Georgieff, Uwe Schirmer (Hrsg.): Klinische Anästhesiologie. Praxisorientierter Leitfaden unter besonderer Berücksichtigung des operativen Vorgehens. Springer, Berlin u. a. 1995, ISBN 3-540-57355-0, S. 613 (нем.)
- Алан Х. Глускин. Анатомия перепломбировок корневых каналов: размышления о процессе // Эндодонтия. — М.: Апекс Медиа, 2010. — № 3—4. — С. 11—28. — ISSN 2218-189X.
Литература
- И.В. Гайворонский, Т.Б. Петрова. Анатомия зубов человека: Учебное пособие. — СПб.: ЭЛБИ-СПб, 2005. — 56 с. — ISBN 5-93979-137-9.
- Алан Х. Глускин. "Анатомия перепломбировок корневых каналов: размышления о процессе" // Эндодонтия. — М.: Апекс Медиа, 2010. — № 3—4. — С. 11—28. — ISSN 2218-189X.
Ссылки
- Root Canals at WebMD (англ.)
- Video on Direct Pulp Capping, an alternative to Root Canal therapy (англ.)
- Onçağ O., Hoşgör M., Hilmioğlu S., Zekioğlu O., Eronat C., Burhanoğlu D. Comparison of antibacterial and toxic effects of various root canal irrigants (англ.) // International Endodontic Journal : journal. — 2003. — June (vol. 36, no. 6). — P. 423—432. — doi:10.1046/j.1365-2591.2003.00673.x. — PMID 12801290. (англ.)

