Ключично-черепной дизостоз
Ключично-черепной дизостоз (Ключично-черепная дисплазия, синдром Шейтхауэра — Мари — Сентона) — это наследственное заболевание, вызванное мутациями в гене Runx2[1][2], расположенном на коротком плече 6 хромосомы. Ключично-черепной дизостоз передается по аутосомно-доминантному типу. Характеризуется дефектами развития костей черепа, а также полным или частичным отсутствием ключиц.
| Ключично-черепной дизостоз | |
|---|---|
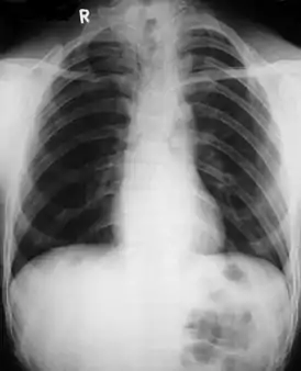
![]() Дефекты ключиц и сужающаяся грудная клетка | |
| МКБ-10 | Q74.0 |
| МКБ-10-КМ | Q74.0 |
| МКБ-9 | 755.59 |
| OMIM | 119600 |
| DiseasesDB | 30594 |
| MedlinePlus | 001589 |
| MeSH | D002973 |


История
Первый случай отклонений в развитии ключиц был описан М. Мартин в 1765 году. Случай, связанный с отклонениями в развитии ключиц и костей черепа был рассмотрен в 1861 году Шейтхауэром. В 1897 году Мари и Сентон более подробно рассмотрели это заболевание, указали на семейный характер патологии, и дали название dyostosis cleido-cranialis, поскольку соотносили его с дефектами костей черепа и ключиц. Гессе в 1926 году описал отклонения в развитии зубов и челюстей и связал его с ключично-черепным дизостозом.
Симптоматика
Основные симптомы ключично-черепного дизостоза:
- Недоразвитие или отсутствие одной или обеих ключиц. При отсутствии или недоразвитии ключицы плечевой пояс резко сужен, надплечья покаты и опущены. Отмечается избыточная подвижность в плечевых суставах, возможно даже соприкоснуться плечами спереди грудины.
- Задержка закрытия (окостенения) пространства между костями черепа (родничков), могут формироваться дополнительные костные включения. Большой родничок может оставаться открытым в течение всей жизни.
- Нарушения формирования корней, задержка в прорезывании молочных и постоянных зубов. Могут до 25-30-летнего возраста не меняться молочные зубы. Часто встречаются сверхкомплектные зубы.
Также в большинстве случаев отмечено:
- Низкий рост по сравнению с родственниками.
- Брахицефалия.
- Гипертелоризм.
- Высокий и выдающийся вперед лоб.
- Недоразвитие костей таза.
Другие медицинские проблемы включают рецидивы инфекций верхних дыхательных путей; осложнения, рецидивы инфекции ушей; ранний остеопороз и проблемы с суставами; высокую частоту кесарева сечения у женщин; легкую степень моторной задержки у детей в возрасте до пяти лет.
У больных классическим ключично-черепным дизостозом нормальный уровень интеллекта.
Заболевание встречается поровну у мужчин и женщин, и ему подвержены все расы.
Эпидемиология
Распространенность ключично-черепного дизостоза — один на миллион, но это, скорее всего, условно, так как по сравнению с другими скелетными дизостозами относительно мало медицинских осложнений.
Заболевание входит в Перечень редких (орфанных) заболеваний Министерства здравоохранения Российской Федерации[3].
Диагностика
Диагностика ключично-черепного дизостоза основана на клинических симптомах и рентгенологических исследованиях, которые включают изображения черепа, грудной клетки, таза и рук. Главный рентгенологический симптом — дефекты ключиц. Обычно отсутствует наружный (акромиальный) конец ключицы, в то время как внутренний (грудинный) конец присутствует. Но иногда ключица состоит из двух фрагментов. Полное отсутствие ключицы встречается редко.
При молекулярно-генетическом исследовании обнаруживаются мутации гена RUNX2 у 60 % −70 % людей с диагнозом ключично-черепной дизостоз.
Лечение
Заболевание в целом неизлечимо. Но чаще всего необходимо лечение проблем зубов, как наиболее значимых, причем начинать надо с детского возраста:
- Удаление молочных зубов.
- Удаление сверхкомплектных зубов.
- Ортодонтическое лечение.
Неправильность развития ключицы может повлечь за собой сдавление плечевого нервного сплетения, а также общую мышечную слабость верхних конечностей. При резко выраженных явлениях сдавления вполне целесообразно хирургическое вмешательство. При частичном дефекте ключицы возможна костно-пластическая операция — замещение костного дефекта ауто- или аллотрансплантатом. При полном отсутствии ключиц хирургическое лечение нецелесообразно. Консервативная терапия заключается в лечебной гимнастике.
Предотвращение инфекций придаточных пазух носа и среднего уха.
Если плотность костей ниже нормы, то необходимо лечение кальцием и витамином D. Профилактическое лечение при остеопорозе следует начинать в раннем возрасте.
Примечания
- Vega Genome Browser 44: Homo sapiens — Region in detail — Chromosome 6: 45,295,894-45,518,816
- Consilium Medicum (недоступная ссылка). Дата обращения: 7 октября 2011. Архивировано 31 октября 2021 года.
- Перечень редких (орфанных) заболеваний
Ссылки
- Cleidocranial Dysplasia. Национальная медицинская библиотека, США (англ.)
- Cleidocranial Dysplasia. Национальная черепно-лицевая ассоция, США Архивная копия от 3 октября 2011 на Wayback Machine (англ.)
- Becker, A. The orthodontic treatment of impacted teeth. — Martin Dunitz, 1998. — 234 p. — ISBN 1853173282.
- Treatment in a Patient with Cleidocranial Dysostosis (недоступная ссылка) (англ.)
- Сайт врачей лучевой диагностики. Черепно-ключичный дизостоз
- Хирургия / Болезни костей / Дизостозы
- С. А. Рейнберг Рентгенодиагностика заболеваний костей и суставов. В двух книгах. — 1964 г.
