Инфаркт лёгкого
Инфа́ркт лёгкого (лёгочный инфаркт) — болезнь, возникающаяся при блокировке лёгочной артерии, от чего часть лёгкого умирает[1]. Инфаркт лёгкого вызывается тромбоэмболией лёгочной артерии.
| Инфаркт лёгкого | |
|---|---|
![]() Инфаркт лёгкого, обнаруженный при вскрытии. | |
| МКБ-9 | 415.19 |
| MeSH | D054060 |
Благодаря двойному кровоснабжению лёгких как из бронхиального, так из лёгочного кровотока, ткань лёгкого более устойчива к инфаркту. Закупорка бронхиального кровообращения не вызывает инфаркта, но всё же он может возникать при тромбоэмболии лёгочной артерии, когда лёгочное кровообращение заблокировано и бронхиальное кровообращение не может полностью его компенсировать[2].
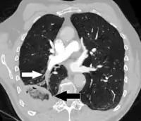
Компьютерная томография инфаркта лёгкого на фоне хронической тромбоэмболии легочной артерии (белая стрелка). Область инфаркта (чёрная стрелка) имеет обратный знак ореола.
Примечания
- Philip T. Cagle. Color atlas and text of pulmonary pathology. — 2. — Philadelphia : Lippincott Williams & Wilkins, 2008. — P. 291. — ISBN 9780781782081.
- Thomas H. McConnell. The Nature of Disease: Pathology for the Health Professions. — Lippincott Williams & Wilkins, 2007. — P. 81–. — ISBN 978-0-7817-5317-3.
Литература
Фтизиатрия. — С. 256.
This article is issued from Wikipedia. The text is licensed under Creative Commons - Attribution - Sharealike. Additional terms may apply for the media files.
