Идиопатическая кальцификация базальных ганглиев 1
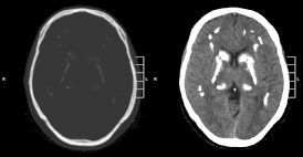
Идиопатическая кальцификация базальных ганглиев 1 (Синдром Фара) характеризуется накоплением кальция в различных областях мозга, преимущественно в базальных ганглиях. Деградация функций нервной системы у пациентов с синдромом становится заметной в возрасте от 30 до 50 лет, но может появиться в детстве или в более позднем возрасте.
| Синдром Фара | |
|---|---|
![]() Идиопатическая кальцификация базальных ганглиев | |
| OMIM | 213600 |
| DiseasesDB | 32200 |
| MeSH | C536275 |
Симптомы заболевания — деградация двигательных функций, деменция, судороги, головная боль, утомляемость, дизартрия, мышечная спастичность, атетоз. Также могут отмечаться симптомы паркинсонизма — тремор, ригидность мышц, маскоподобное лицо, шаркающая походка, «катающие» движения пальцев; такие симптомы обычно развиваются на поздних стадиях. Чаще наиболее заметна дистония и хорея. Также может развиваться психоз, в том числе напоминающий шизофрению.
Причины
Причины заболевания неизвестны. Отмечается ассоциация с одним участком на q-плече 14-й хромосомы.[1]
История
Название «синдром Фара» связано с описанием случая кальцификации структур мозга, представленного в 1930 году немецким неврологом Карлом Теодором Фаром.[2] В наше время предполагается, что пациент, описанный Фаром, не имел этого синдрома.[3]
См. также
- Идиопатическая кальцификация базальных ганглиев 2 (OMIM 606656) — не связана с областью 14q
- Синдром MELAS — также иногда сопровождается кальцификацией
Примечания
- Geschwind D.H., Loginov M., Stern J.M. Identification of a locus on chromosome 14q for idiopathic basal ganglia calcification (Fahr disease) (англ.) // Am. J. Hum. Genet. : journal. — 1999. — September (vol. 65, no. 3). — P. 764—772. — doi:10.1086/302558. — PMID 10441584.
- T. Fahr: Idiopathische Verkalkung der Hirngefässe. Zentralblatt für allgemeine Pathologie und pathologische Anatomie, 1930—1931, 50: 129—133.
- Manyam B.V. What is and what is not 'Fahr's disease' (неопр.) // Parkinsonism Relat. Disord.. — 2005. — March (т. 11, № 2). — С. 73—80. — doi:10.1016/j.parkreldis.2004.12.001. — PMID 15734663.
